Search Dental Tribune

¿Extracción o Expansión en Ortodoncia? (1)

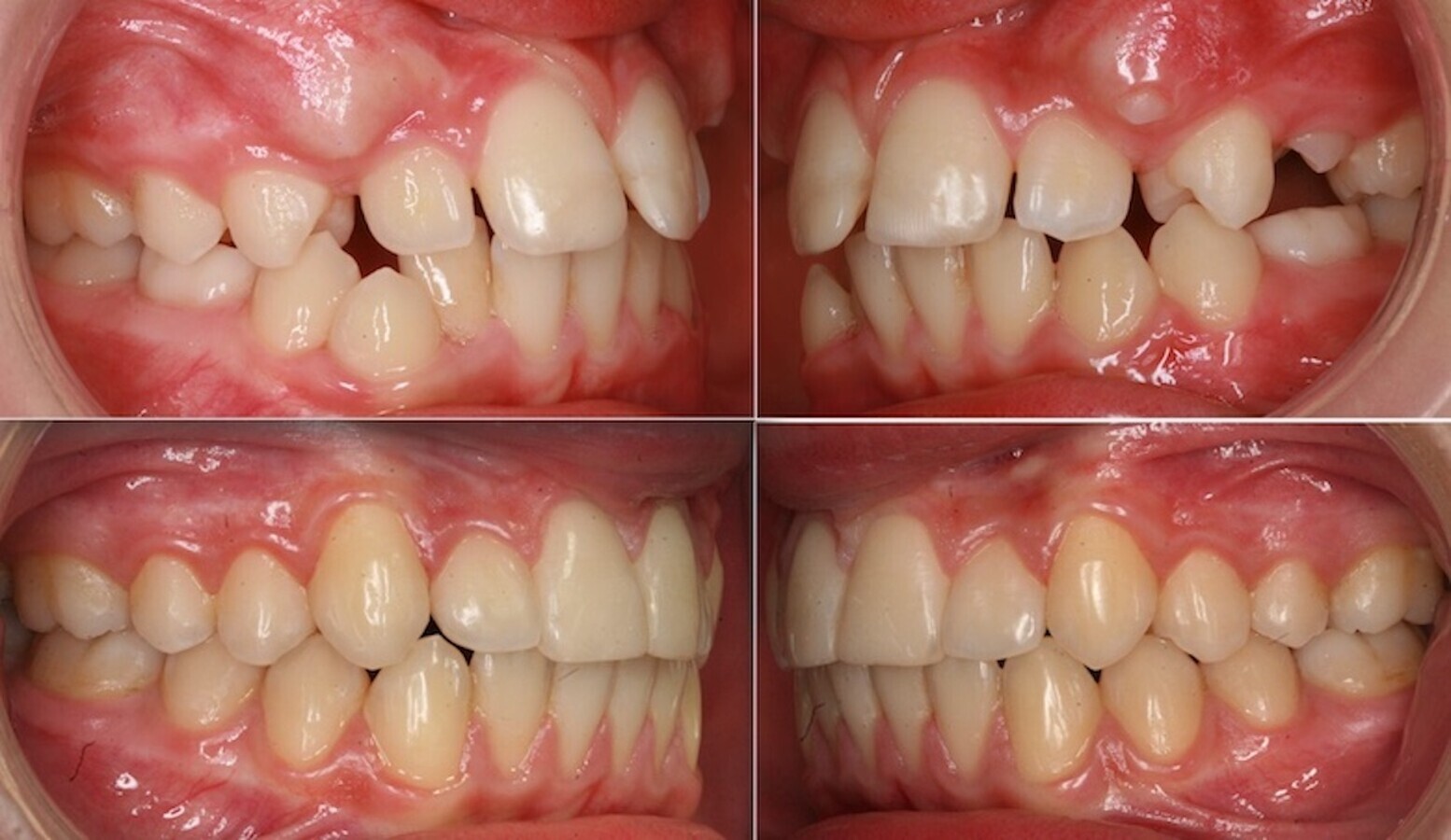
Figura 1. El Movimiento Dentario Ortodóncico (MDO) tiene la cualidad de acompañarse de formación de hueso alveolar en la dirección del movimiento, lo que nos permite modificar sonrisas, oclusiones y rostros solo con brackets y alambres. Angle, Noyes y los primeros ortodoncistas de la era moderna se percataron de este hecho insólito para abogar por la expansión en lugar de las extracciones.
David Suárez Quintanilla, Pedro Suárez Suquía

David Suárez Quintanilla, Pedro Suárez Suquía

vie. 18 febrero 2022

guardar

El dilema actual entre extracción y expansión dental en el tratamiento de la maloclusión se centra en una elección difícil para el ortodoncista. Por una parte, los pacientes no quieren exodoncias, y, por la otra, la expansión dental puede producir efectos indeseados de difícil solución, como recesión, reabsorción […]

Primero de una serie de cinco artículos

El dilema actual entre extracción y expansión dental en el tratamiento de la maloclusión se centra en una elección difícil para el ortodoncista. Por una parte, los pacientes no quieren exodoncias, y, por la otra, la expansión dental puede producir efectos indeseados de difícil solución, como recesión, reabsorción y recidiva. Los autores de este artículo explican los argumentos a favor y en contra de la extracción y la expansión, y analizan la veracidad clínica de las técnicas “milagrosas” que prometen eliminar las extracciones de la terapéutica ortodóncica.

A pesar de los evidentes avances tecnológicos de nuestra especialidad y que millones de personas deciden cada día alinear sus dientes para mejorar la estética de su sonrisa y la función de su aparato estomatognático, la etiología de las maloclusiones y del apiñamiento dentario no están del todo claras, lo que se traduce en que frente al dilema de la expansión o la extracción, la profesión sigue inmersa en un mar de dudas.

El desconcierto a la hora de decidir si aumentar el continente (expansión) o eliminar parte del contenido (extracciones) viene de un hecho único en la economía de nuestro cuerpo: la extraordinaria capacidad de los dientes tras el Movimiento Dentario Ortodóncico (MDO) para generar hueso alveolar de calidad. Como decía Ortega y Gasset, tenemos nuestras ideas pero vivimos sumergidos en nuestras creencias, como el pez que no es consciente del agua por la que nada.

Los ortodoncistas vivimos con creencias estereotipadas; unos creen más en la disincronía evolutiva de los maxilares respecto a los dientes, se encomiendan a San Charles Darwin y fían a la extracción dentaria la resolución del mencionado conflicto volumétrico; otros abrazan la creencia de la función, de la preeminencia de la actividad muscular sobre la estructura ósea y abogan por la neoformación del hueso alveolar a través de la vigorosa masticación (estos rezan a santos más locales como San Pedro Planas, ¡Dios lo tenga en su Gloria!) o la utilización de distintos aparatos de acción indirecta sobre los músculos (caso del Regulador de Función de Rolf Frankel) o directa sobre los dientes (Técnica de Damon, la NextOrtho de Greenfield, y similares, que prometen eliminar la necesidad de extracciones).

La terapéutica basada en la evidencia científica es el mejor antídoto contra las mentiras comerciales y el mejor repelente para los charlatanes de feria”.

Entre estos dos polos encontramos una masa de colegas que van alineando los dientes mes tras mes hasta que la desastrosa evolución del caso, la mordida abierta o total anoclusión, la duración infinita del tratamiento o una angustiada madre (que ve despavorida cómo los dientes parecen salirse de la boca de su hija) hacen tomar la decisión de extracciones a la poca experimentada ortodoncista. Ya decía el maestro Juan Canut “que lo que decimos a los padres en la primera visita son explicaciones y el resto excusas”. Plantear extracciones cuando deberíamos estar en el postre del tratamiento es un fracaso clínico evidente y suele obligar al profesional a dilatar un mínimo de 18-24 meses la terapia, con un paciente/padres quemado/s, con la colaboración mermada y la cuenta ya pagada.

¿La mayoría de los humanos deberíamos tener espacio suficiente para nuestros 32 dientes? El dentista más novato, con apenas meses de experiencia profesional, podría contestarnos a esta simple cuestión con un no rotundo.

No solo no hay espacio para los terceros molares, sino que las agenesias dentarias son cada vez más frecuentes y marcan una tendencia evolutiva (como bien destacó la antropóloga Marina Martínez de Pinillos en el reciente simposio que organizamos en Burgos en el Centro de Referencia Estatal de Enfermedades Raras sobre “Anomalías Dentarias de Número: Agenesias”)1.

La cara de los humanos sufrió dramáticos cambios en el Pleistoceno tardío (hace 50-100.000 años) por un menor uso de los músculos de la masticación, lo que acabó influyendo en el continente (los huesos se contrajeron, se hicieron más porosos y delgados) y en el contenido (no solo no hubo una disminución paralela del volumen dentario sino que decayó la abrasión interproximal), resultando en un exceso de material dental que algunos como Sheldon Peck cifran en un 30%2.

“La pregunta del millón es, ¿qué pasa cuándo teniendo que extraer no lo hacemos?”.

Cuando hacemos stripping interproximal, en realidad estamos imitando a la naturaleza en el funcionamiento del aparato estomatognático del hombre primitivo y compensando las discrepancias de Bolton que pudieran existir. Si bien no hay duda del incremento de las maloclusiones en los últimos siglos3, no resulta fácil identificar la parte que corresponde a una disminución de la función masticatoria y cuál a la movilidad y mezcla de la población.

Los estudios en cráneos de relativa antigüedad, de mil o dos mil años para acá, incluso algunos realizados por nosotros con el Prof. José Carro o el grupo de Atapuerca (necrópolis altomedieval de San Vicente de O Grove, cráneos guanches de Tenerife), no dejan espacio a las teorías evolutivas y hablan más de factores nutricionales, hábitos y, sin duda, de la homogeneidad y consanguinidad de la población.

La sofisticación culinaria, el uso de los cubiertos y las normas de educación y cortesía en la mesa, así como el predominio de una dieta blanda es cosa muy reciente4. Tanto el tenedor como el cuchillo de mesa, no fueron usados profusamente hasta el siglo XVIII; fueron introducidos en la corte por Catalina de Médici, el tenedor, y por el cardenal Richelieu, el cuchillo, en la Francia de mediados del XVII.

La tendencia más reciente es a considerar la herencia, la consanguinidad y determinados hábitos (como la respiración oral), que conducen a una posición alterada de la lengua/mandíbula, así como las mezclas étnicas, como factores determinantes en el apiñamiento y las maloclusiones. En este sentido, recomiendo leer los trabajos clásicos de Robert Corruccini en su libro de 1999 “How anthropology informs the orthodontic diagnosis of malocclusions´s causes”5 o los más recientes de Marco Almeida de la Universidad Estatal de Río de Janeiro sobre los indios del Amazonas6.

Es evidente que son varios los factores que han hecho decaer el número de extracciones en la clínica. La combinación de las nuevas aleaciones superelásticas con brackets de control selectivo de la fricción crean el entorno perfecto para el desarrollo del hueso alveolar (como los brackets Synergy de nuestra técnica Straight Wire Low Friction). Por tanto, no voy a discutir la capacidad de las nuevas tecnologías para disminuir la proporción de extracciones, sino dónde estamos y a dónde vamos y, lo que es más importante: ¿qué hay de verdad en las técnicas milagrosas que prometen eliminar las extracciones de la terapéutica ortodóncica? (Figuras 1-6).

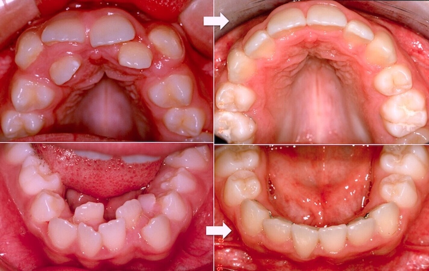
Figura 2. Tratamiento con nuestra Técnica SWLF de un marcado apiñamiento combinando brackets de fricción controlada (Synergy), arcos termoelásticos y orthostripping mecánico secuencial; resultado estable tras 12 años fuera de retención.

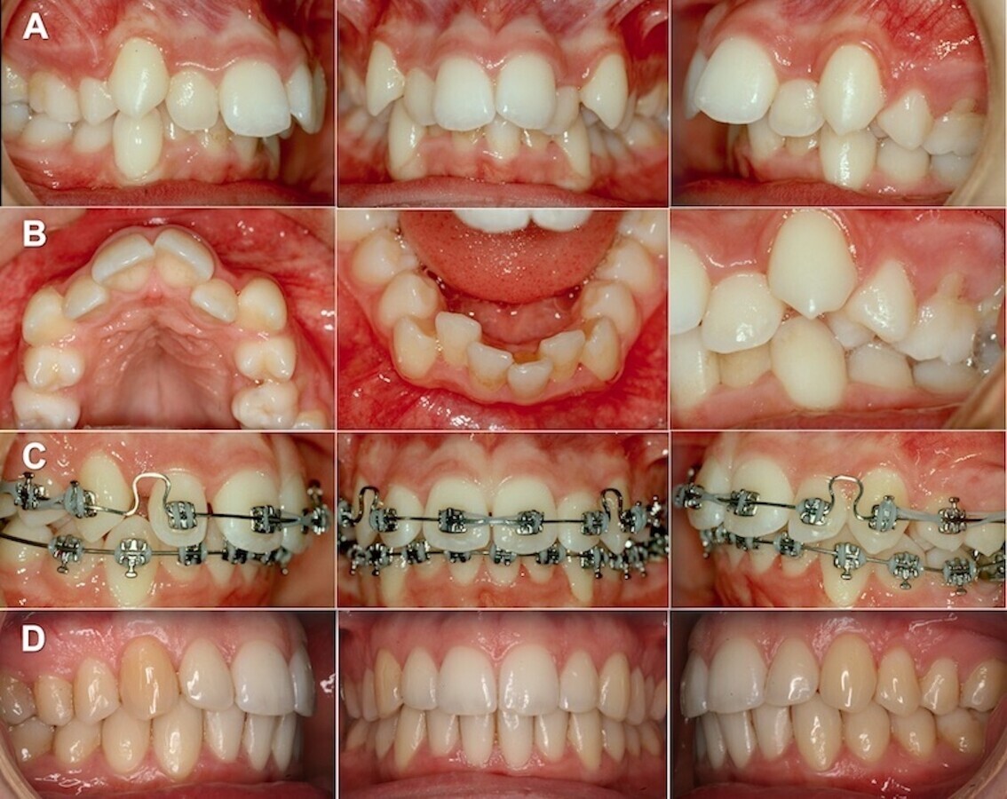
Figura 3. Tratamiento de una Clase II de origen mandibular y severa discrepancia óseo-dentaria con la Técnica SWLF (A-C); estabilidad funcional y estética tras 15 años fuera de retención (D).

Figura 4. El orthostripping y el distalamiento molar son muy útiles para conseguir espacio en los casos con marcado apiñamiento que no hace muchos años se verían abocados a cuatro extracciones.

Figura 5. No es cierto que las extracciones conducen a efectos deletéreos sobre la estética del perfil, todo depende del manejo del anclaje. Tratamiento con extracciones de cuatro premolares.

Figura 6. El resultado final estético de la sonrisa, del caso anterior, depende del control del anclaje, la fricción, la biomecánica y la formación y experiencia del ortodoncista, no del hecho de hacer o no extracciones.

Ver la segunda parte de este artículo la próxima semana.

Autores

  1. El Dr. David Suárez Quintanilla, autor de libros como "Ortodoncia. Eficiencia Clínica y Evidencia Científica” y “Pienso, luego resisto”, es catedrático de Ortodoncia de la Universidad de Santiago de Compostela, España.
  2. Pedro Suárez Suquía es alumno de Odontología en la Universidad de Santiago de Compostela.

Ver el artículo completo próximamente en la Edición Digital.

  TE RECOMENDAMOS: 

El misterio del hueso alveolar en el desarrollo facial (1). Extraordinario artículo que propone que la odontología puede alterar la fisonomía humana, con lo cual cobraría mayor relevancia entre las ciencias médicas.

En busca de la sonrisa perdida (1) Un tratamiento que es un viaje en el tiempo.

El arte de curar en la era digital. Tenemos que utilizar toda la tecnología digital y virtual posible en nuestra clínica, pero sin perder nunca el contacto directo con el paciente.

La-prevención dental en pacientes diabéticos. Un concepto clínico desarrollado para evitar que los riesgo de la salud general afecten la salud oral.

• Consejos para triunfar. Serie de entrevistas con los líderes de opinión sobre sus estrategias para prosperar.

• Ver Ediciones Digitales. Consulta más de 15 años de ediciones de Dental Tribune Latinoamérica.

Toca en la imagen y síguenos en Instagram

Toca en la imagen y síguenos en FaceBook

To post a reply please login or register
advertisement
advertisement