Search Dental Tribune

¿Extracción o Expansión en Ortodoncia? (4)

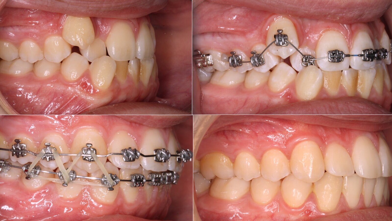
Figura 10. Con la entrada del nuevo siglo, la mayoría de las técnicas, incluida la SWLF nuestra, introducen en la secuencia de arcos de alineamiento las nuevas aleaciones super y termoelásticas, lo que conlleva un salto cualitativo en la génesis de nuevo hueso alveolar con el MDO.
David Suárez Quintanilla, Pedro Suárez Suquía

David Suárez Quintanilla, Pedro Suárez Suquía

vie. 11 marzo 2022

guardar

El dilema actual entre extracción y expansión dental en el tratamiento de la maloclusión se centra en una elección difícil para el ortodoncista. Por una parte, los pacientes no quieren exodoncias, y, por la otra, la expansión dental puede producir efectos indeseados de difícil solución, como recesión, reabsorción […]

Cuarto de una serie de cinco artículos

El dilema actual entre extracción y expansión dental en el tratamiento de la maloclusión se centra en una elección difícil para el ortodoncista. Por una parte, los pacientes no quieren exodoncias, y, por la otra, la expansión dental puede producir efectos indeseados de difícil solución, como recesión, reabsorción y recidiva. Los autores de este artículo explican los argumentos a favor y en contra de la extracción y la expansión, y analizan la veracidad clínica de las técnicas “milagrosas” que prometen eliminar las extracciones de la terapéutica ortodóncica.

Sin duda las nuevas ideas clínicas de Robert M. Ricketts supusieron algo nuevo en la ortodoncia mundial y una disminución del número de extracciones al abogar por una ortodoncia más temprana basada en el control molar, la expansión maxilar y la liberación mandibular en dentición mixta, a través de la intrusión incisiva. La maravillosa combinación del Quadhelix y el Arco Utilitario supuso un aire fresco en las encorsetadas técnicas fijas y una simplificación biomecánica evidente de resultados sorprendentes. La actualización de las técnicas clásicas de Arco de Canto, ahora en forma de Arco Recto, con sus distintas prescripciones, la adhesión directa (con la consiguiente eliminación del espacio para las bandas) y sobremanera las nuevas aleaciones (cromo-cobalto, níquel-titanio, beta III Titanio o TMA) supusieron una mejora exponencial en la eficiencia para mover dientes. Hay que ser consciente de que los tratamientos tempranos, en especial los que producen la fractura de la sutura palatina media (RME) o/y controlan el espacio de deriva maxilar y mandibular, son de indiscutible ayuda para prevenir la necesidad de realizar extracciones19.

La arcada ideal

En todo caso, la evolución de las técnicas (hablemos de la Bioprogresiva, Roth o MBT) no era ajena a una disminución en el número de extracciones y los criterios utilizados por la mayoría estaban basados en el diagnóstico clásico de: discrepancia óseo-dentaria, curvas de Spee y compensación de las arcadas y la reposición del incisivo inferior tomando como referencia la línea A-Pg u otras. El mundo de la ortodoncia seguía discutiendo la forma de arcada ideal (fundamental para conocer el cálculo de esa discrepancia óseo-dentaria) y los factores biométricos de la estabilidad (la no modificación de esta forma de arcada, la inviolabilidad de la anchura intercanina inferior, los cambios a largo plazo de la oclusión y de las áreas del punto “A” maxilar y “B” mandibular). Con la entrada del nuevo siglo, la mayoría de las técnicas, la nuestra SWLF entre ellas, introducen en la secuencia de arcos de alineamiento las nuevas aleaciones super y termoelásticas, lo que conlleva un salto cualitativo en la génesis de nuevo hueso alveolar con el MDO (Figura 10).

Nuestro mundo sufre un pequeño shock cuando irrumpe una nueva técnica, la del Dr. Damon, con un potente marketing dirigido tanto a profesionales como pacientes. Hay que felicitar a la compañía, en este caso Ormco, por haber sido extraordinariamente inteligentes a la hora de vender lo que la mayoría de ortodoncistas querían comprar. El éxito de Damon fue el resultado de la concatenación de dos hechos: dar al paciente y el profesional lo que querían y olvidarse de una ortodoncia un poco perdida ante los nuevos materiales y encorsetada por viejas ideas (herencia directa de Tweed y su escuela).

Los profesores de universidad y los líderes de opinión solemos sobrevalorar la formación, vocación y amor por la ortodoncia de la mayoría de los profesionales, de aquí muchas de nuestras decepciones y frustraciones con los alumnos y compañeros. La mayoría de los ortodoncistas usan su trabajo como modo de ganarse la vida e intentan sacar adelante los casos con los aparatos y sistemas más económicos (o que les den más rentabilidad), sencillos, predecibles y cómodos y suelen olvidarse de la parte médica de su práctica, no de la económica , cuando cada tarde cierran la puerta de su clínica. Poco de vocación y devoción y mucho de gestión. La mayoría, y es una constatación, no una opinión, se preocupan del cómo y pocos del por qué, esperando el ansiado fin de semana. Por eso, no es de extrañar que muchos profesionales se pasaran en masa a la técnica de Damon y después a los alineadores, es el signo de nuestro tiempo y más de las nuevas generaciones. Muchos de los clínicos que se maravillan por la capacidad “mágica de alineamiento de los actuales aparatos deberían ver los modelos de los casos de Angle (como el del paciente Winfred Gregory, de 13 años) de 19032.

“El CBCT pone en evidencia los desastrosos resultados, a medio y largo plazo, de la expansión indiscriminada con aparatos que se dicen mágicos”.

La técnica de Damon tiene su base en la expansión de las arcadas con arcos anchos de una extraordinaria aleación de níquel-titanio-cobre que permite generar fuerzas intensas con arcos muy finos y flexibles; la pseudo o superelasticidad hace el resto al generar fuerzas constantes independientemente de la deflexión del alambre y en relación con la transformación reversible de fases (austenítica/martensítica). Los brackets (de autocierre pasivo) son de muy buena calidad, lo que disminuye la engorrosa fricción de las primeras fases del tratamiento. Naturalmente la compañía, con la connivencia o ignorancia de los speakers, centraba sus loas en el bracket y no en los alambres, porque es mucho más rentable vender un juego de brackets y fidelizar al profesional que vender un par de arcos. La biomecánica se centraba en un uso inteligente de la combinación de brackets-arcos, elásticos intermaxilares y planos de mordida, eso sí, rompiendo algunas normas sacrosantas de la ortodoncia clásica. He de decir que la propaganda de la compañía no era de mi agrado, y la encontraba un poco burda, pero triunfó, tuvo su público entre una gran mayoría de ortodoncistas que aún, después de años de experiencia, seguían perdidos en sus clínicas con un maremágnum inconexo de brackets y alambres.

Figura 11. La resaca tras las expansión indiscriminada se acompaña de las “3R”: Recesión, Recidiva y Reabsorción.

No debemos de olvidar que el alineamiento dentario, sensu estricto, es el único objetivo que buscan los pacientes y más de un profesional (lo estamos viendo ahora con los alineadores), limita el tratamiento de las Clase II o III al uso de elásticos. Con la perspectiva que da el tiempo, parece que la Técnica de Damon fue preparando el terreno para los alineadores, para una nueva manera de entender la ortodoncia, muy alejada de lo que mis maestros me habían inculcado. Una práctica incardinada en la actual cultura de la superficialidad, la cosmética y la apariencia, de lo soft y lo light, una cultura de la rentabilidad a cualquier precio22. En absoluto critico la tecnología y excelente biomecánica de la Técnica de Damon, sino la idea de la sobreexpansión indiscriminada, al menos en muchas clínicas, que tantos efectos adversos va a traer. La resaca tras este tipo de expansión resulta muy dura para el paciente y el profesional (Figura 11) .

Ver la quinta parte de este artículo la próxima semana.

Autores

  1. El Dr. David Suárez Quintanilla, autor de libros como "Ortodoncia. Eficiencia Clínica y Evidencia Científica” y “Pienso, luego resisto”, es catedrático de Ortodoncia de la Universidad de Santiago de Compostela, España.
  2. Pedro Suárez Suquía es alumno de Odontología en la Universidad de Santiago de Compostela.

Ver el artículo completo próximamente en la Edición Digital.

  TE RECOMENDAMOS: 

El misterio del hueso alveolar en el desarrollo facial (1). Extraordinario artículo que propone que la odontología puede alterar la fisonomía humana, con lo cual cobraría mayor relevancia entre las ciencias médicas.

En busca de la sonrisa perdida (1) Un tratamiento que es un viaje en el tiempo.

El arte de curar en la era digital. Tenemos que utilizar toda la tecnología digital y virtual posible en nuestra clínica, pero sin perder nunca el contacto directo con el paciente.

La-prevención dental en pacientes diabéticos. Un concepto clínico desarrollado para evitar que los riesgo de la salud general afecten la salud oral.

• Consejos para triunfar. Serie de entrevistas con los líderes de opinión sobre sus estrategias para prosperar.

• Ver Ediciones Digitales. Consulta más de 15 años de ediciones de Dental Tribune Latinoamérica.

Toca en la imagen y síguenos en Instagram

Toca en la imagen y síguenos en FaceBook

 

To post a reply please login or register
advertisement
advertisement