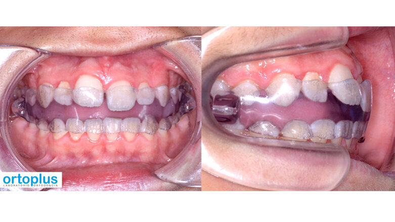
El Laboratorio Ortoplus anunció la creación del primer Teuscher realizado mediante diseño y fabricación totalmente digital.
El Profesor Dr. Luis Fernando Morales Jiménez trabajó conjuntamente con el Laboratorio Ortoplus para crear un aparato único en Europa: el primer Teuscher diseñado en un entorno 100% digital y fabricado con impresora 3D.
La razón de este avance es que estaba indicado colocar un aparato combinado de estas características para resolver el caso de un paciente de Clase II ósea mixta, con protrusión maxilar, retrognatismo mandibular y patrón mesodolicofacial.
La planificación del dispositivo fue compleja porque aún hoy se está investigando la mejor manera de llevar a cabo la unión de los alambres a la resina con el método digital. A pesar de ser un procedimiento nunca desarrollado hasta ahora, la puesta en boca en el paciente se realizó con éxito. Casos como este demuestran que Ortoplus es el laboratorio de ortodoncia líder en aparatología digital en Europa gracias al equipo de ingenieros que conforman su departamento de I+D+i, y al gran elenco de clínicos investigadores que forman parte de la empresa.
Recursos
El experto en Gestión de la práctica Andrés Cordero es un hombre de carácter afable pero exigente a nivel profesional, obsesionado con ofrecer lo mejor ...
La publicación del informe de Rebmann Research sobre el mercado dental de América Latina y el Caribe presenta por primera vez un análisis de mercado ...
Los odontólogos no sólo podemos regalar una sonrisa armónica, si no alargar la vida de nuestros pacientes, lo que le da un sentido todavía más valioso ...
La Odontología Slow se basa en tomar las mejores decisiones clínicas y empresariales, con respaldo científico, con método y con especial atención al ...
SAN JUAN, Puerto Rico — El Dr. Ricardo J. Jiménez Bosch, propietario de la clínica Cirugía Oral y Maxilofacial de Caparra de esta...
Hablamos con el Dr. José Manuel Aguirre Urizar, Catedrático de Medicina Bucal en la Facultad de Medicina y Enfermería de la Universidad del País Vasco, ...
El complejo dentinopulpar debe ser sellado para evitar el drenaje permanente de fluido dentinario, proteger el medio interno y evitar la penetración ...
W&H presentó recientemente una novedad a nivel mundial: el primer contra-ángulo de 45 grados. El instrumento combina las ventajas de las ...
Henry Schein, Inc. anunció que ha entrado en la lista de Fortune de las "Compañías más admiradas del mundo" de 2021, vigésimo año consecutivo en que ...
El VIII Summit de Odontología Digital, Estética y Robótica, celebrado en Barranquilla del 22 al 24 de mayo, superó por mucho la participación esperada,...
Webinars en vivo
mar. 19 de mayo 2026
9:00 CST (Mexico City)
Webinars en vivo
mar. 19 de mayo 2026
11:00 CST (Mexico City)
Prof. Dr. med. dent. Ivo Krejci
Webinars en vivo
mié. 20 de mayo 2026
5:00 CST (Mexico City)
Dr. Graham Carmichael BDSc (Hons), DClinDent (Pros), FRACDS, Dr. Robert Gottlander DDS
Webinars en vivo
mié. 20 de mayo 2026
7:00 CST (Mexico City)
Webinars en vivo
mié. 20 de mayo 2026
9:00 CST (Mexico City)
Webinars en vivo
mié. 20 de mayo 2026
11:00 CST (Mexico City)
Prof. Dr. med. dent. Tim Joda PhD, MSc, eMBA
Webinars en vivo
jue. 21 de mayo 2026
10:00 CST (Mexico City)
Dr. Leonardo Muniz DDS, MSC