El especialista italiano Michele Buda afirma en este artículo que la erupción forzada permite restaurar dientes comprometidos o reemplazar los no restaurables con implantes dentales, aumentando la cantidad de tejido duro y blando antes de la colocación del implante dental.
ORTODONCIA
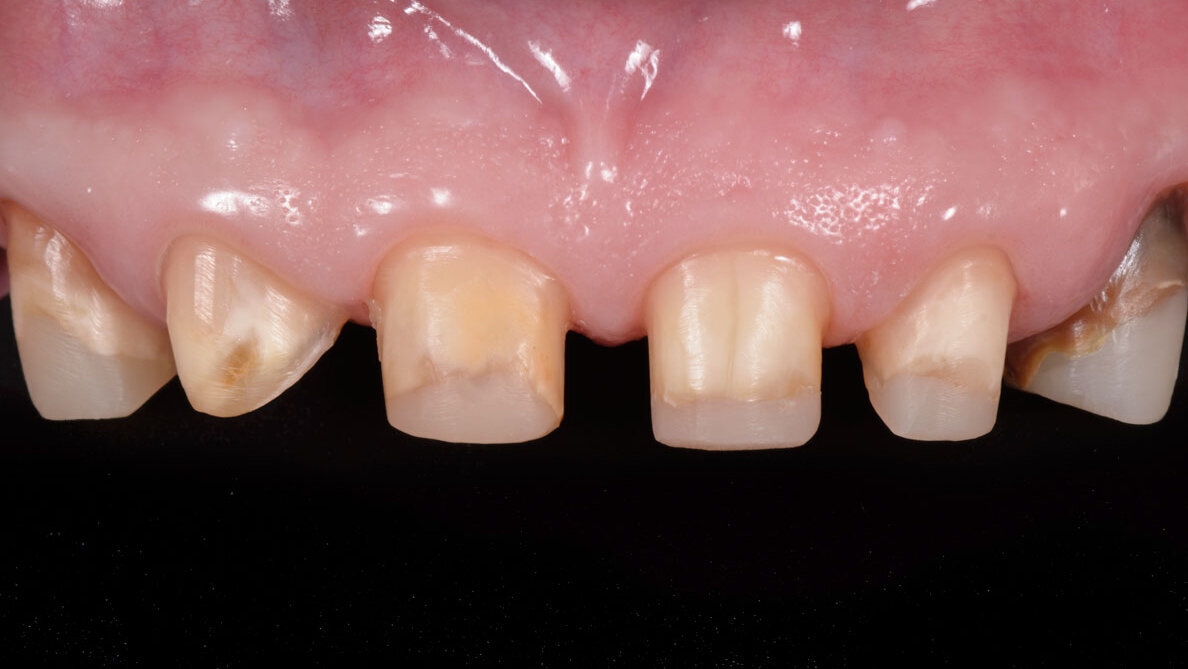
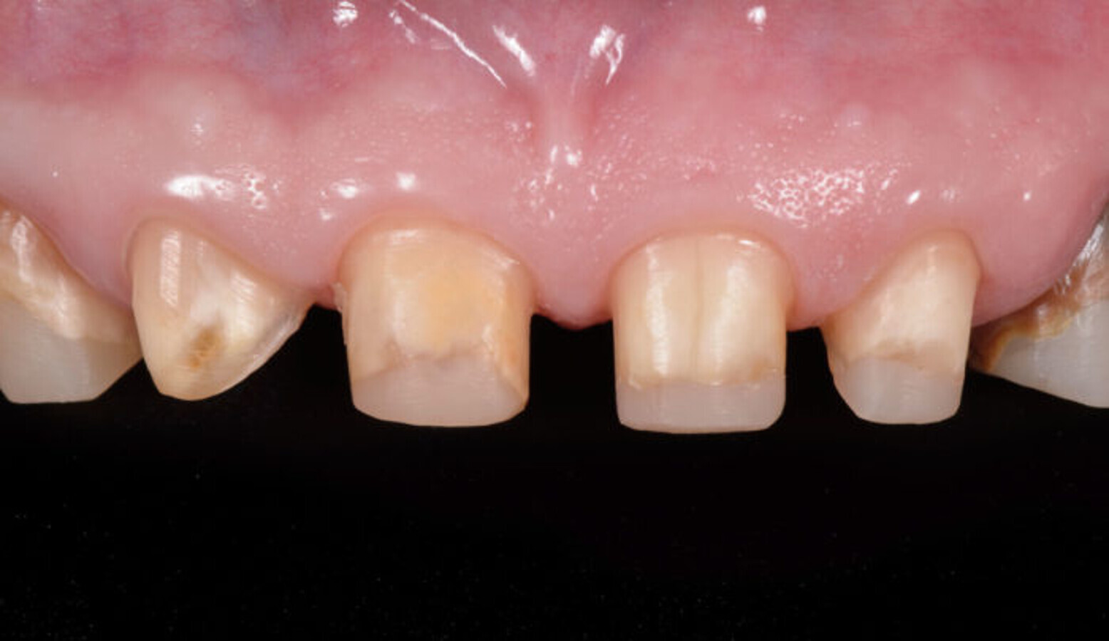
"Se debe obtener una cantidad adecuada de estructura dental sana para restaurar los dientes que se consideran no restaurables debido a fracturas, caries y perforaciones endodóncicas que están ligeramente por encima de la altura del hueso crestal".
Aunque la ortodoncia siempre se ha utilizado para lograr la apropiación del espacio y la corrección angular, las aplicaciones más recientes incluyen tanto la restauración de dientes comprometidos como la mejora de los resultados protésicos. El objetivo de la erupción forzada en ortodoncia (FOE, por sus siglas en inglés), también llamada extrusión forzada, consiste en cambiar la posición de los dientes en el eje vertical dentro del hueso alveolar. En consecuencia, se aplica una fuerza de ortodoncia de forma controlada para mover el diente verticalmente fuera del alvéolo alveolar.
Según lo descrito por varios autores, la FOE ayuda a: 1) mejorar las bolsas periodontales, 2) recuperar la estructura del diente, y, 3) desarrollar tejido duro y blando para la colocación del implante. Con mayor detalle, Brown describió por primera vez la FOE en 1972 para eliminar el defecto de infraóseo causado por la enfermedad periodontal. Ingber demostró su potencial para manejar el diente aislado no restaurable en 1974, mientras que Salama lo utilizó para mejorar el tejido duro y blando para la colocación de implantes en 1993.
Entre todas las aplicaciones de la FOE, los prostodoncistas están particularmente interesados en recuperar la estructura dental y desarrollar tejido duro y blando para la colocación del implante.
Se debe obtener una cantidad adecuada de estructura dental sana para restaurar los dientes que se consideran no restaurables debido a fracturas coronal y radicular, caries y perforaciones endodóncicas que están ligeramente por encima de la altura del hueso crestal. El nivel y la extensión de la estructura dental faltante es crucial para determinar la cantidad de extrusión requerida. El objetivo es restablecer el espacio necesario para la unión del tejido supracrestal (2 mm en promedio), una profundidad mínima del surco gingival de 0,69 mm y una cantidad adecuada de férula para restaurar el diente de una manera predecible (1,5 -2mm). Si el diente se fractura a nivel del hueso, se necesitan al menos 4 ó 5 mm de estructura dental sana por razones periodontales y protésicas. Además, varios otros factores deben tenerse en cuenta antes de considerar la FOE:
Longitud de la raíz: aunque una relación favorable entre la corona y la raíz inicial de 1:1 se ha considerado adecuada, la longitud final de la raíz al final de la extrusión es el factor más crítico.
Forma de la raíz: una forma de raíz más cónica y cónica es la menos favorable, especialmente si se combina con una cámara pulpar más ancha.
Patología periapical: es posible que se requiera un tratamiento de endodoncia o un nuevo tratamiento antes del movimiento del diente en ortodoncia.
Espacio interoclusal: se debe proporcionar un adecuado espacio libre interoclusal para permitir la extrusión. Además, las mordidas profundas son más desafiantes que las de poca profundidad.
FRADEANI EDUCATION
Como la FOE implica un movimiento coronal del margen gingival, se puede utilizar un enfoque quirúrgico para corregir dicho desequilibrio y obtener una estructura dental sana.
El vector de la erupción debe calcularse cuidadosamente para evitar la creación de dehiscencia ósea alveolar. Debido a esto, en 1982 Karring declaró que el vector debería seguir el eje largo del diente, mientras que Ziskind utilizó un modelo matemático para calcular el movimiento lateral máximo y el ángulo de extrusión. Se encontró que este último tenía entre 26 (premolares) y 37 grados (molares) porque el ángulo máximo está influenciado por la posición en el orificio del canal (y la posición del gancho) y el borde del diente.
Cuando se determina que un diente no es restaurable y necesita ser extraído, los tejidos blandos y duros a menudo colapsan. La preservación del injerto óseo o la cresta con biomateriales son algunas de las técnicas que se han descrito para aumentar o prevenir parcialmente el colapso y la resorción.
Como enfoque no quirúrgico, la FOE también puede crear un mayor volumen de hueso y tejido blando antes de la colocación del implante. En su primer artículo, Salama propuso la FOE para mejorar el futuro lecho de implante y transformar un sitio tipo 2 (con deficiencia ósea) en un sitio tipo 1, donde hay hueso adecuado para colocar un implante de manera predecible. En 2012, Amato reemplazó 27 dientes sin esperanza con implantes dentales en un estudio de una serie de casos clínicos. El resultado demostró que la erupción en ortodoncia era un procedimiento efectivo para regenerar tejidos duros y blandos, y que la relación de regeneración ósea/extrusión de ortodoncia era del 70% (el 30% restante era la extrusión del diente). Un nivel de fijación residual limitado en el diente no fue una limitación a la cantidad de hueso regenerado. Por último, pero no menos importante, la tasa de supervivencia del implante fue del 96%, por lo tanto, similar a los porcentajes tradicionales en la literatura.
Después de la erupción forzada se obtuvo una cantidad adecuada de férula.
En conclusión, la FOE es una técnica útil que ayuda a los rehabilitadores orales a restaurar los dientes comprometidos o reemplazar los dientes no restaurables con implantes dentales, aumentando la cantidad de tejido duro y blando antes de la colocación del implante dental.
El doctor Michele Buda, miembro del grupo Fradeani Education, se graduó cum laude de la Universidad de Trieste en 2011 y realizó su especialidad en Prostodoncia en la Universidad de Washington, Seattle, en 2017.Fue ganador del 1er lugar del premio Tylmann por su investigación sobre la precisión de la tecnología de impresión 3D en el campo de la prostodoncia y la implantología.Actualmente, tiene consultorios privados en Treviso y Udine (Italia), dedicados a prostodoncia e implantología con enfoque especial en rehabilitaciones estéticas complejas.
El tercer día de la 82ª edición de Expo AMIC Dental confirmó el enorme dinamismo de la industria odontológica en México, con pasillos llenos, intensa ...
La 82ª edición de Expo AMIC Dental reafirmó su posición como la mayor exposición dental del mundo hispanohablante, reuniendo a miles de odontólogos, ...
La inauguración del Congreso Nacional e Internacional de Odontología UNAM 2026, que se celebra paralalemente a Expo AMIC Dental, atrajo a las principales ...
To post a reply please login or register