Existen agentes químicos y técnicas no recomendables de aclaramiento dental, que sin embargo se emplean frecuentemente. Las lámparas fabricadas para este fin no son más que un ingenioso plan de marketing sin asidero científico.
En 2001, hablé por telefóno con un colega residente en Miami que me comentó sobre la aparición de un equipo de luz especialmente desarrollado para hacer más rápido y efectivo el blanqueamiento dental. Sin pensarlo, le pedí que me comprara una de estas lámparas y me la enviara a Colombia.
Esta decisión fue tal vez la menos acertada de todas las que he tomado, pero me llevó a realizar varias investigaciones que me guiaron a entregar respuestas serias y concluyentes sobre el uso de lámparas en el aclaramiento dental.
En 2006, presenté en el Congreso de la Academia Internacional de Gnatología, en Argentina, el trabajo más profundo de investigación hasta esa fecha. Con varios de mis estudiantes de postgrado, evaluamos el daño generado por los aclaramientos dentales a base de peróxido de hidrógeno que se activan con lámparas. El impacto que generó esta investigación fue tal, que nos alzamos con el premio de investigación “En Honor a la Ciencia” de esta importante institución.
La investigación fue respaldada por varios autores, que han expresado repetidamente que para acelerar el proceso de aclaramiento con peróxido de hidrógeno se requiere aplicar una temperatura promedio de entre 52 a 60° C. Esta alta temperatura genera una respuesta pulpar irreversible, ya que el nivel máximo de tolerancia pulpar a los aumentos de temperatura intra-pulpar no debe exceder el nivel crítico de los 5,5° C.
La mayoría de las lámparas de aclaramiento dental presentan un espectro de luz visible con rangos de entre 400 a 700 nm, mientras que otras lo superan y entran en el espectro infrarrojo. Ejemplo de esto son algunos láseres de diodo que tienen una longitud de onda que supera los 808 nm, lo cual provoca un aumento de temperatura en el tejido pulpar que puede llegar a 10,9° C.
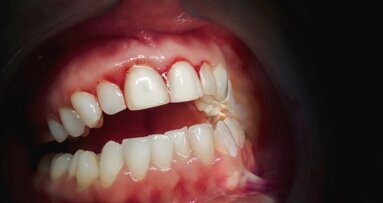
Durante más de 15 años hemos revisado cientos de artículos científicos en los que sus autores coinciden que la presencia de dolor e hipersensibiidad dental está asociada al aumento de temperatura por el uso de lámparas. Además, se han encontrado cambios en la topografía y la estructura dental, así como una gran disminución de su microdureza.
La hipersensibilidad dental durante o tras este tipo de tratamiento se ha convertido en la queja principal de los pacientes. En cientos de cursos en congresos y universidades de muchos países he advertido que las lámparas generan un incremento de temperatura en los tejidos pulpares y por ende producen dolor e hipersensibilidad, que en algunos casos es irreversible.
Conclusiones
Al inicio del tratamiento se debe tener certeza en lo que vamos a hacer, cómo lo haremos y con qué lo realizaremos. Esto se refiere al tipo de peróxido de hidrógeno a utilizar, su porcentaje y su pH. Debemos conocer los productos y evitar siempre el uso de lámparas.
Debemos implementar un manejo racional de los aclaramientos dentales, con un criterio biológico y un adecuado diagnóstico del esmalte, los tejdos y el nivel de pigmentaciones en los dientes a tratar para poder seleccionar adecuadamente el producto más efectivo y menos agresivo.
Siempre que hagamos un aclaramiento en el consultorio, se debe realizar refuerzo en casa con guardas blandas y peróxidos de carbamida en bajas concentraciones. Recomendamos para esta fase casera concentraciones al 10, 15 o 16% de peróxidos de carbamida para ser usados de 2 horas a toda la noche.
Si se prefiere evitar los peróxidos de hidrógeno en altas concentraciones, se pueden utilizar peróxidos de carbamida a entre el 25 y 45%. Estos se deben aplicar por 30 minutos en férulas blandas para uso en el consultorio y bajo la supervisión del odontólogo, lo cual se puede repetir de tres a cinco días.
*El Dr. Jadad es especialista en Rehabilitación Oral, investigador, conferencista con práctica privada en Barranquilla (Colombia) y fundador del Grupo Dignificar la Odontología (FaceBook). Contacto: ejadad@gmail.com
La odontóloga dominicana Aimée Román, que está haciendo su especialización en Implantología Oral en la Universidad FACOP Bauru, de Brasil, describe el...
Existen agentes químicos y técnicas no recomendables de aclaramiento dental, que sin embargo se emplean frecuentemente. Las lámparas ...
El metal sinterizado (CoCr) Ceramill Sintron® permite confeccionar restauraciones de metales no preciosos en el laboratorio interno con máquinas CNC.
La compañía austríaca Amann Girrbach estuvo presente las pasadas semanas celebrando diferentes eventos por varios países de ...
El unidad quirúrgica Implantmed Classic ofrece al odontólogo y al implantólogo un extraordinario dispositivo para uso diario, en el que la ergonomía de ...
Adrián Hernández, fundador de la empresa PIC dental, reflexiona en esta entrevista sobre la evolución de la fotogrametría en la implantología oral y el...
El Dr. Enrique Jadad, reconocido rehabilitador oral y conferencista internacional, cuenta en esta columna la minuciosa búsqueda que realizó para elegir el...
El Dr. Enrique Jadad, reconocido rehabilitador oral y conferencista internacional, cuenta en esta columna la minuciosa búsqueda que realizó para elegir el...
La red de Clínicas W, que ofrece su exitoso método de Odontología Slow a más de 200.000 pacientes, revela las técnicas que les ha permitido no solo ...
Dental Tribune tiene el honor de contar entre sus colaboradores al ilustre Dr. Benjamín Herazo Acuña, elegido como uno de los 50 personajes más ...
Webinars en vivo
mar. 19 de mayo 2026
9:00 CST (Mexico City)
Webinars en vivo
mar. 19 de mayo 2026
11:00 CST (Mexico City)
Prof. Dr. med. dent. Ivo Krejci
Webinars en vivo
mié. 20 de mayo 2026
5:00 CST (Mexico City)
Dr. Graham Carmichael BDSc (Hons), DClinDent (Pros), FRACDS, Dr. Robert Gottlander DDS
Webinars en vivo
mié. 20 de mayo 2026
7:00 CST (Mexico City)
Webinars en vivo
mié. 20 de mayo 2026
9:00 CST (Mexico City)
Webinars en vivo
mié. 20 de mayo 2026
11:00 CST (Mexico City)
Prof. Dr. med. dent. Tim Joda PhD, MSc, eMBA
Webinars en vivo
jue. 21 de mayo 2026
10:00 CST (Mexico City)
Dr. Leonardo Muniz DDS, MSC
To post a reply please login or register