El CA® Clear-Aligner es un tratamiento ortodóncico cuya aparatología consiste en alineadores transparentes, estéticos, confortables, efectivos, progresivos y secuenciales.
El dispositivo permite el tratamiento de muchos pacientes que no están dispuestos a portar aparatos fijos. Se utiliza especialmente en pacientes adultos, pero también puede ser usado en dentición mixta.
Características
• Se usan alineadores de tres espesores: CA®-soft, CA®-medium y CA®-hard.
• Se construye paso a paso con cada nueva impresión. Es secuencial. Con la experiencia actual y dependiendo de las características del caso o de las circunstancias del paciente (posibilidades de desplazamiento a la consulta, vacaciones, viajes, etc.), se pueden hacer 2 ó 3 pasos con una misma impresión.
• Es un tratamiento progresivo realizado sobre modelos set-up. La exactitud de la planificación y la realización del set-up es fundamental para que el tratamiento sea efectivo.
• Cubre 3-4 mm de tejido gingival para mejorar la estética y optimizar el movimiento.
Ventajas
El CA® Clear-Aligner se hace en modelos vaciados sobre impresiones tomadas en cada visita, lo que permite:
• Adaptarse a los cambios que se puedan producir en los dientes como abrasiones, fracturas, obturaciones, etc.
• Utilizarlo en dentición mixta, adaptándose a los cambios que se producen en la dentición, como exfoliación de dientes temporarios o erupción de dientes permanentes.
• Adaptarse a las posibles recidivas o movimientos dentarios producidos por la falta de uso del CA® Clear-Aligner.
Para el especialista tiene además otras ventajas por el hecho de ser secuencial:
• Permite estudiar la evolución del caso en cada etapa y reajustar el plan de tratamiento si fuera necesario. Por eso no es necesario una evaluación y reajuste al final del tratamiento.
• El ajuste de CA® Clear-Aligner es muy preciso, por lo que cualquier cambio a nivel dentario (obturaciones, etc.) afectaría su retención y efectividad. Es posible que durante el tratamiento ortodóncico el paciente necesite algún tratamiento de operatoria y, con una nueva impresión, CA® Clear-Aligner puede volverse a ajustar.
• Es muy difícil reproducir el stripping indicado en el paciente con una precisión de 0,25 mm. Por este motivo, el stripping se realiza antes de la toma de una nueva impresión en la técnica de CA® Clear-Aligner, reproduciendo en el modelo el desgaste realizado en el diente, en vez de reproducir en el paciente el desgaste realizado en el modelo.
• La recidiva no se produce normalmente de forma simétrica e inversa al tratamiento. Por este motivo, no siempre que el paciente no use los alineadores, es capaz de volver a utilizar los aparatos anteriores para retomar el tratamiento. La recidiva depende entre otras cosas de los hábitos o disfunciones que pueda tener el paciente. CA® Clear-Aligner puede reajustar el tratamiento con una nueva impresión en cualquier momento del tratamiento.
• No requiere el desembolso del costo del tratamiento completo al inicio del mismo, sino que el especialista debe asumir el costo de cada etapa del tratamiento a medida que se realiza.
• El CA® Clear-Aligner ofrece una solución a los pacientes que requieren un tratamiento con movimientos dentarios menores o bien un tratamiento de la recidiva de tratamientos ortodóncicos previos.
• El CA® Clear-Aligner es: estético y confortable, no dificulta la pronunciación (aunque algunos pacientes pueden necesitar ejercicios de lectura en voz alta los primeros días).
• Su mecánica es simple, el tiempo de sillón es reducido, el tratamiento es rápido, la relación costo/beneficio resulta favorable.
• El CA® Clear-Aligner puede ser utilizado también en pacientes que presenten respiración oral o apnea del sueño.
Principios del CA® Clear-Aligner • Es un tratamiento de ortodoncia realizado con aparatos estéticos, confortables y compatibles con la vida social y profesional de los pacientes.
• El diagnóstico y el control del tratamiento debe ser realizado por odontólogos y ortodoncistas.
• Ofrece una solución rápida y eficaz a los pacientes que no quieren ser portadores de aparatos de ortodoncia fijos.
• Tiene un protocolo clínico preciso.
• Sigue un protocolo de laboratorio preciso.
• Tiene tener un protocolo de comunicación entre el clínico y el laboratorio eficaz.
• Los resultados son predecibles.
• Se utilizan alineadores CA® Clear-Aligner de diferentes espesores que cubren aproximadamente 3 mm de los tejidos gingivales para conseguir un movimiento más eficaz y un mejor efecto estético.
• Se deberán tomar impresiones periódicas para adaptarse a la evolución del tratamiento y a los cambios que se puedan producir en los dientes y tejidos gingivales.
• Está dirigido a pacientes que necesiten un tratamiento basado en movimientos dentarios menores o tratamientos de recidivas de incisivos y caninos.
Indicaciones
• Cierre de diastemas de hasta 4 mm.
• Corrección de apiñamientos de hasta 4 mm (6 mm).
• Corrección de rotaciones de dientes anteriores.
• Tratamiento de la mordida profunda anterior.
• Tratamiento de la mordida abierta anterior (con CA® Power Grips)
• Tratamiento de la mordida cruzada.
• Enderezamiento molar (10º)
• CA® Clear-Aligner en dentición mixta.
• CA® Clear-Aligner como parte de otros tratamientos.
• CA® Clear-Aligner en tratamientos de recidiva.
• CA® Clear-Aligner como aparato de retención pasivo/activo. Retención doble.
Limitaciones
• Cierre de diastemas mayores de 4 mm (6 mm).
• Corrección de apiñamientos mayores de 4 mm.
• Corrección de rotaciones de dientes posteriores.
• Casos con extracciones.
• Movimiento en masa de dientes.
• Tratamiento de la mordida abierta anterior (sin CA® Power Grips).
• Tratamientos de intercuspidación y extrusión (sin CA® Power Grips).
• Tratamientos que impliquen el control del torque o de la inclinación mesio-distal de los dientes.
• Tratamientos de la clase II.
• Tratamientos de la clase III.
Contraindicaciones
El CA® Clear-Aligner se encuentra contraindicado en pacientes que presenten:
• Bruxismo de apretamiento o rechinamiento.
• Disfunción cráneo-mandibular.
• Pacientes con hábitos como onicofagia, queilofagia, morder objetos, etc.
• Pacientes que presenten hipersensibilidad a los materiales del CA® Clear-Aligner, aunque no se han reportado casos.
• Pacientes poco colaboradores.
Casos clínicos A través de los siguientes casos clínicos, se pueden estudiar las posibilidades terapéuticas del CA® Clear-Aligner.
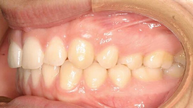
Caso Nº 01416: Caso con diastemas en arcada superior (8 pasos) y apiñamientos en arcada inferior (4 pasos).
Figs. 1-5: Fotografías intraorales iniciales.
Figs. 6-10: Fotografías intraorales finales.
Caso Nº 01416: Caso con diastemas en arcada superior (8 pasos) y apiñamientos en arcada inferior (4 pasos).
Figs. 11-15: Fotografías intraorales iniciales.
Figs. 16-21: Progreso de tratamiento
Figs. 22-26: Fotografías intraorales finales.
Caso Nº 00561: Apiñamientos y rotaciones en las dos arcadas. Mordida profunda. Tratado con expansión y stripping, e intrusión de los incisivos superiores e inferiores. Arcada superior: 12 pasos. Arcada inferior: 13 pasos.
• El Dr. Echarri, especialista en Ortodoncia, es presidente de la Sociedad Ibero-Americana de Ortodoncia Lingual, vicepresidente del comité científico de la Asociación Iberoamericana de Ortodoncistas, delegado de la World Federation of Orthodontists y presidente del comité científico del Colegio de Odontólogos y Estomatólogos de Cataluña. Además, es autor de libros como "Clear Aligner, aplicaciones clínicas y presentación de casos", "Ortodoncia y microimplantes, técnica completa paso a paso" o "Tratamiento ortodóncico con extracciones". ____________________________________________________________________________
CLINICAS SINGULARES - Implant Logyca
El arquitecto quiso aprovechar los beneficios terapéuticos del color para enmarcar la delicadas especialidades ...
David Suárez Quintanilla explica en este artículo la necesidad de crear técnicas que den soluciones integrales al profesional, pero que no obliguen a ...
BioHorizons Camlog presentará su línea de biomateriales regenerativos y su nuevo implante dental en el European Association of Osseointegration Congress, ...
La Asamblea General de la Organización Colegial de Dentistas de España ha fallado sus premios anuales, que se entregarán en diciembre, en el tradicional ...
La figura del higienista dental ha evolucionado más allá de la profilaxis y la educación en salud bucodental convirtiéndose en un miembro esencial de ...
3Shape e Ivoclar Vivadent anunciaron una nueva colaboración que permite a ortodoncistas, dentistas y profesionales de laboratorio aprovechar el programa ...
Formación
Webinars en vivo mar. 19 de mayo 2026 9:00 CST (Mexico City)
La odontología moderna ya no depende únicamente de la excelencia clínica.
Hoy, dirigir un consultorio rentable exige saber interpretar datos financieros,...
Decenas de miles de odontólogos, técnicos dentales y estudiantes recorrieron los stands comerciales de los principales distribuidores de la industria ...
To post a reply please login or register