Este artículo describe el uso la membrana Cytoplast™ mediante el desarrollo de un caso clínico en el que se realiza la extracción un incisivo anterior superior y la preservación alveolar por medio de injerto alogénico y de membrana PTFE.
El uso de membranas en la regeneración ósea guiada es muy frecuente en la práctica clínica diaria. La elección de un tipo de membrana que se adapte a las condiciones deseadas es fundamental para obtener el resultado óptimo.
En el mercado existen gran variedad de apósitos quirúrgicos y membranas fabricados a partir de diferentes materiales como el colágeno y el politetrafluoroetileno (PTFE), ya sea expandible (e-PTFE) o de alta densidad (d-PTFE).
Introducción
¿Reabsorbible o no reabsorbible? ¿Colágeno o teflón? ¿Cierre primario o cierre por segunda intención? Estas son algunas de las preguntas más frecuentes de los clínicos a la hora de escoger el tipo de membrana a utilizar principalmente en los casos de preservación alveolar posterior a una extracción dental. Usualmente las membranas reabsorbibles de colágeno y las membranas de teflón expandible requieren de un cierre primario para prevenir crecimiento de tejido blandos, invasión bacteriana, infecciones, reabsorción temprana y exposición del injerto de hueso.
En casos en los que se desea conservar la integridad y la arquitectura de los tejidos blandos, el clínico se debe de alejar de incisiones y colgajos extensos, ya que siempre que se realiza una incisión y levantamiento de colgajo, hay una reacción del tejido.
Las membranas de PTFE de alta densidad son las ideales en estos casos, debido a las características que presentan.
Membrana Cytoplast™
La membrana Cytoplast™ fue desarrollada en 1993 y desde entonces sus diferentes usos han sido documentados en la literatura. Esta membrana es fabricada a partir de politetrafluoroetileno (teflón) de densidad alta.
La principal ventaja de la membrana Cytoplast™ es que puede quedar expuesta al medio oral, por lo que se evita la necesidad de realizar incisiones para obtener cierre primario, desplazando tejidos queratinizados. Esta membrana también cuenta con una superficie texturizada Regentex™, las cual incrementa el área de superficie disponible para la adhesión tisular durante los injertos óseos.
La membrana se puede remover después de 21 días, sin la necesidad de realizar procedimientos quirúrgicos.
Características
• No reabsorbible, por lo que no se va reabsorber prematuramente, el clínico define el tiempo para remover la membrana.
• PTFE de alta densidad, con poros menores de 0.3um, impermeable a las bacterias.
• DiseñadA para mantenerse expuesta, lo que disminuye el tiempo quirúrgico y se mantiene la arquitectura de tejidos suaves, especialmente los tejidos queratinizados.
• Poros hexagonales que incrementan el área de superficie, lo que incrementa la estabilización de la membrana.
Fig. 1. Vista microscópica de los poros hexagonales de la membrana
Al realizar una extracción dental, se da una reacción natural de organismo, iniciando con una repoblación tanto de células reproductoras de hueso y de tejidos blandos. Las células de tejidos blandos se reproducen en forma más acelerada que las células reproductoras de hueso, por lo que muchas veces tenemos una pérdida de tejido óseo importante posterior a una extracción dental. Si se quiere evitar el crecimiento de tejido blando en el alveolo post-extracción, se recomienda realizar procedimientos de regeneración ósea y regeneración tisular guiada.
Una vez que la membrana de PTFE de alta densidad es colocada en el sitio quirúrgico, esta es recubierta por proteínas plasmáticas facilitando la adhesión celular a una superficie lisa y biocompatible; esta adhesión posteriormente forma un sello hermético, resultando en resistencia a migración bacteriana y células epiteliales adyacentes a través de la membrana.
Presentación comercial
La membrana de PTFE Cytoplast se comercializa en dos presentaciones, la más popular, de 12mm x 24mm (TXT-200 12mm x 24mm) y la de 25mm x 30mm (TXT – 200 25mmx 30mm).
Figs. 2 y 3. Presentación comercial de la membrana Cytoplast.
Caso clínico
Paciente masculino de 22 años conocido sano, referido por un odontólogo general de la comunidad para valorar el incisivo central maxilar izquierdo que presenta un pronóstico reservado. Se realiza la valoración clínica y radiográfica del paciente, se concluye que la pieza dental no puede ser restaurada y que debido a la posición y a las dimensiones de la pieza dental, se debe realizar un tratamiento en tres fases. En la primera fase se planea realizar la preservación alveolar, extracción de la pieza dental, injerto alogénico en partículas corticales y esponjoso, colocación de membrana de PTFE de alta densidad sin refuerzo de titanio, y seis meses después colocación de implante endoóseo y por último fabricación de corona sobre implante.
Fig. 3. Radiografía panorámica preoperatoria.
Figs. 4, 5, 6. Corte coronal y cortes sagitales de la tomografía dental volumétrica preoperatorios..
Figs. 7, 8, 9. Vista clínica preoperatoria..
Se realiza la extracción de la pieza dental de manera atraumática, siempre realizando la luxación con elevador recto a nivel palatino para preservar los tejidos óseos y gingivales a nivel vestibular. Se debe de eliminar todo el tejido de granulación de las zonas adyacentes y poner especial cuidado en la eliminación de la lesión periapical.
Figs. 10, 11, 12. Extracción atraumática.
Como material de injerto se utiliza una mezcla de hueso en partículas corticales y medulares en una proporción de 50%-50%. El injerto se debe de hidratar previamente para facilitar su manipulación.
Figs. 13, 14, 15. Injerto de hueso en partículas corticales y medulares.
La membrana Cytoplast de PTFE es la membrana de elección para este caso debido a las características mencionadas anteriormente. Una de la ventajas principales es que la membrana puede quedar expuesta al medio oral, por lo que no se necesitan realizar incisiones, colgajos y desplazamiento de tejidos gingivales, por lo que se preserva la arquitectura gingival, así como el tejido queratinizado propio de la zona. Debido a que es una preservación alveolar de una sola pieza dental, se decide utilizar la presentación de 12mmx24mm. La membrana es de fácil manipulación y no requiere hidratación previo uso, esta se contornea y se ajusta al tamaño de defecto utilizando tijeras quirúrgicas convencionales.
Figs. 16, 17, 18. Presentación comercial de la membrana de PTFE de alta densidad, la cual se contonea previo colocación en boca.
La membrana debe de ser lo suficientemente extensa para cubrir tanto el aspecto vestibular como el palatino del alveolo con el objetivo de cubrir el injerto en su totalidad; la membrana debe descasar en hueso, de esta manera se logra un sellado completo en el proceso de cicatrización.
Figs. 19, 20, 21. Inserción de membrana de PTFE.
Posterior a la colocación de la membrana, esta se asegura con puntos simples o con un punto en cruz, y la membrana queda expuesta a la cavidad oral. Se debe de tener especial cuidado en no perforar la membrana a la hora de suturar, ya que esto permitiría la filtración de bacterias.
Figs. 22, 23, 24. Suturas en cruz para estabilizar la membrana, rehabilitación provisional con prótesis parcial acrílica tipo Hawley.
Fig. 25, 26, 27 Vista clínica una semana post operatorio
Al utilizar una membrana no reabsorbible el clínico tiene la posibilidad de decidir el protocolo a utilizar. Se recomienda remover la membrana a los 21 días post operatorios. La remoción de la membrana es usualmente atraumática y se realiza sin anestesia local; en los casos en las que la membrana se cubre completamente, la necesidad de realizar una remoción quirúrgica puede estar indicada.
Figs. 28, 29, 30. Vista clínica tres semanas postoperatorio.
Se remueven las suturas y utilizando fórceps de tejidos se realiza la remoción de la membrana de PTFE. Al retirar la membrana se observa tejido osteoide y tejidos gingivales inmaduros que continuarán su cicatrización por segunda intención.
Figs. 31, 32, 33. Remoción de membrana de PTFE tres semanas postoperatorio.
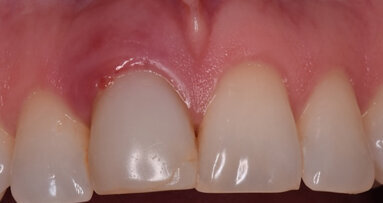
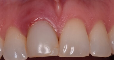
A las seis semanas postoperatorias se observa una cicatrización de 90% de la zona tratada, se logra apreciar el volumen de los tejidos blandos y se puede valorar la conservación de la arquitectura gingival.
Figs. 34, 35, 36. Vista clínica seis semanas postoperatorio y 3 semanas postremoción de la membrana.
Discusión
La membrana de PTFE cuenta con ventajas sobre otros tipos de membrana disponibles en el mercado.Al no requerir cierre primario, evita procedimientos adicionales, como incisiones y colgajos con desplazamientos del mismo, permitiendo al clínico tratar defectos grandes, preservar la papila interdental y conservar el tejido queratinizado. Debido a sus características, las membranas de PTFE no permiten el crecimiento bacteriano, por lo que al quedar expuestas el clínico tiene una opción predecible en los tratamientos de preservación alveolar en la zona estética.
Asimismo, las membranas reabsorbibles y los apósitos a base de colágeno tienen la ventaja de que no tienen que ser retirados de boca. Hay que mencionar que los mismos muchas veces son menos predecibles al presentar una reabsorción rápida o pérdida del apósito por manipulación del paciente. Esto puede reflejarse en exposición temprana del injerto y reabsorción del mismo en su parte más coronal.
1. El Dr. Navarro es Especialista en Implantología Oral por la Universidad de Miami. Contacto: ivan@implantdentistrycr.com
2. Dr. Carr es Especialista en Implantología Oral por la Universidad de Miami. Contacto: drcarr@implantdentistrycr.com
3. El Dr. Marín es Especialista en Cirugía Maxilofacial por la Universidad de Berlín.
____________________________________________________________________________
1. Bartee BK: Evaluation of new polytetrafluoroethylene-guided tissue regeneration membrane in healing extraction sites. Compendium 19:1256, 1998
2. Moses O, Pitaru S, Artzi Z, et al: Healing of dehiscence-type defects in implants placed together with different barrier membranes: A comparative clinical study. Clin Oral Implant Res 16:210, 2005
3. Tawil G, El-Ghoule G, Mawla M: Clinical evaluation of a bilayered collagen membrane supported by autografts in the treat- ment of bone defects around implants. Int J Oral Maxillofac Implants 16:857, 2001
4. Bartee BK: The use of high-density polytetrafluoroethylene membrane to treat osseous defects: Clinical reports. Implant Dent 4:21, 1995
5. Bartee BK, Carr JA: Evaluation of a high-density polytetrafluo- roethylene membrane as a barrier material to facilitate guided bone regeneration in the rat mandible. J Oral Implantol 21:88, 1995
6. Barber D, Lignelli J, Smith B, Bartee B. Using a Dense PTFE Membrane Without Primary Closure to Achieve Bone and Tissue Regeneration. J Oral Maxillofac Surg 65:748-752, 2007
7. Lamb JW III, Greenwell H, Drisko C, Henderson RD, Scheetz JP, Rebitski G. A comparison of porous and non-porous teflon membranes plus demineral- ized freeze-dried bone allograft in the treatment of class II buccal/lingual furcation defects: A clinical reentry study. J Periodontol 2001;72:1580-1587.
8. Chesnoiu-Matei I, Texeira HS, Tovar N, Marin C, Dragan IF, Coelho PG. Alveolar bone dimensional changes following tooth extraction in sites treated with or without PTFE membranes: A histological study in dogs. Presented at the 2012 research forum poster session. Annual meeting of the American Academy of Periodontology (AAP) in Los Angeles, CA, September 30 – October 2, 2012.
9. Yamashita M, Horita S, Takei N, Sasada Y, Shi- bato W, Ishikawa Y, Takao K, Maki K, Funakoshi E. Minimally invasive alveolar ridge preservation/ augmentation procedure (open barrier membrane technique). Presented at the 2010 Research Forum Poster Session. Annual Meeting of the American Academy of Periodontology (AAP) in Honolulu, HI, October 30 – November 2, 2010.
10. Barboza EP, Stutz B, Ferreira VF, Carvalho W.Guided bone regeneration using nonexpanded polytetrafluoroethylene membranes in preparation for dental implant placements – A report of 420 cases. Implant Dent 2010;19:2-7.
11. Ekholm U, Becker W, Dahlin C, et al: The role of early versus late removal of GTAM membranes on bone formation at oral implants placed into immediate extraction sockets: An exper- imental study in dogs. Clin Oral Implant Res 4:121, 1993
12. Simion M, Baldoni M, Rossi P, et al: A comparative study of the effectiveness of e-PTFE membranes with and without early exposure during the healing period. Int J Periodont Restor Dent 14:166, 1994
13. Minsk L: Guided tissue regeneration for the treatment of peri- odontal defects. Compendium 26:870, 2005
14. Evian CI, Rosenberg ES, Coslet JG, et al: The osteogenic activity of bone removed from healing extraction sockets in humans. J Periodontol 53:81, 1992
15. Buser D, Bragger U, Lang NP, et al: Regeneration and enlarge- ment of jawbone using guided tissue regeneration. Clin Oral Implant Res 1:22, 1990
16. 4. Wang HL, O’Neal RB, Thomas CL, et al: Evaluation of an absorbable collagen membrane in treating class I furcation defects. J Periodontol 65:1029, 1994
17. Zitzmann NU, Naef R, Scharer P: Resorbable versus non-resorb- able membranes in combination with Bio-Oss for guided bone regeneration. Int J Oral Maxillofac Implants 12:844, 1997
La Universidad de León y el Colegio de Odontólogos y Estomatólogos de León han formado una simbiosis perfecta en la que las dos instituciones participan...
El Dr. Norberto Manzanares, profesor de Implantología y Rehabilitación Oral en la Universidad de Alcalá de Henares y en la Universidad de Barcelona, ...
El Dr. Norberto Manzanares, profesor de Implantología y Rehabilitación Oral en la Universidad de Alcalá de Henares y en la Universidad de Barcelona, ...
Los congresos de la Federación Dental Internacional se caracterizan por presentar un alto nivel académico. El FDI Regional Congress 2025, que tendrá ...
David Suárez Quintanilla y colaboradores reivindican en este artículo original el papel de un hueso al que por lo general se le da poca importancia, pero ...
David Suárez Quintanilla y colaboradores reivindican en este artículo original el papel de un hueso al que por lo general se le da poca importancia, pero ...
David Suárez Quintanilla y colaboradores reivindican en este artículo original el papel de un hueso al que por lo general se le da poca importancia, pero ...
David Suárez Quintanilla y colaboradores reivindican en este artículo original el papel de un hueso al que por lo general se le da poca importancia, pero ...
Formación
Webinars en vivo lun. 20 de abril 2026 11:00 CST (Mexico City)
Debido a la creciente importancia de la estética en la sociedad contemporánea, las necesidades de los pacientes han evolucionado, posicionando la armonía...
To post a reply please login or register