Search Dental Tribune

Tratamiento de paciente con endocarditis y caries activas

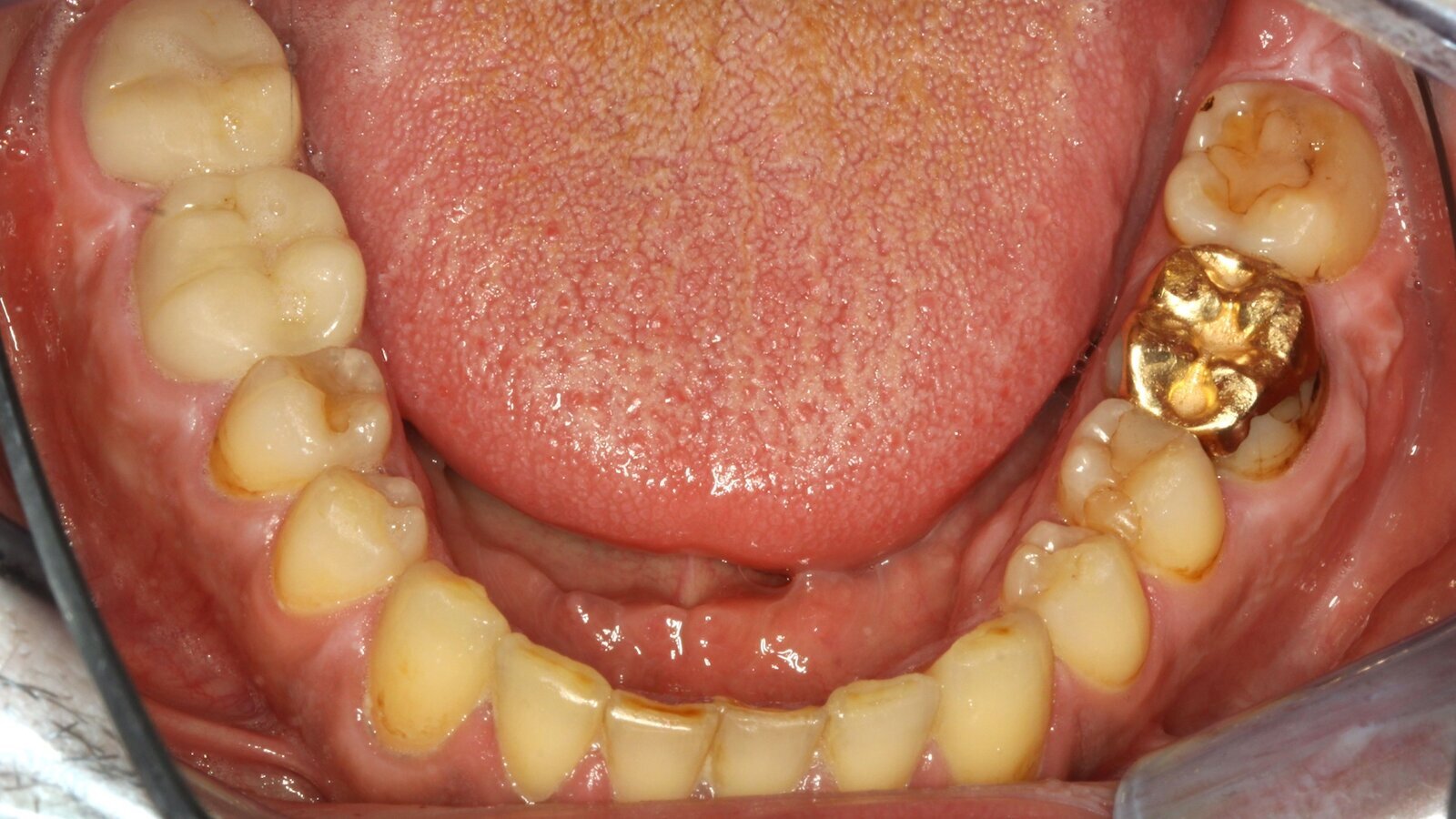
Paciente con endocarditis y lesiones de caries activas en el que se siguió para su tratamiento el Concepto de Prevención Personalizada.
Gerhard Schmalz y Dirk Ziebolz

Gerhard Schmalz y Dirk Ziebolz

vie. 21 enero 2022

guardar

El siguiente caso clínico ilustra el Concepto de Prevención Personalizada, el cual se ha desarrollado para evitar que los factores de riesgo de la salud general incidan en la salud oral. El Concepto de Prevención Personalizada (Concept of Individualized Prevention) propone una forma de tratamiento preventivo personalizado en salud oral, en el que el foco […]

El siguiente caso clínico ilustra el Concepto de Prevención Personalizada, el cual se ha desarrollado para evitar que los factores de riesgo de la salud general incidan en la salud oral.

El Concepto de Prevención Personalizada (Concept of Individualized Prevention) propone una forma de tratamiento preventivo personalizado en salud oral, en el que el foco deja de ser la salud oral aislada para ver al paciente como un todo, lo cual incluye su salud general, como indica el siguiente caso.

Paciente tiene 39 años con valvuloplastia, insuficiencia valvular y endocarditis, que toma regularmente 100mg de ácido acetilsalicílico como anticoagulante. En lo que se refiere al estilo de vida, se identifica la alimentación del paciente como promotora de caries, ya que suele consumir alimentos azucarados y seis o siete comidas al día. La salud oral del paciente muestra un riesgo medio de caries con lesiones activas. El riesgo de periodontitis es bajo y presenta gingivitis. Se hacen las siguientes recomendaciones para el tratamiento profiláctico.

  • La valvuloplastia y el historial de endocarditis indican un mayor riesgo de complicaciones. Para reducir el riesgo de recurrencia de inflamación, se recomienda profilaxis antibiótica (por ejemplo, 2g de amoxicilina 1h antes de la sesión). A pesar del tratamiento continuo existente con un anticoagulante, no se espera un mayor riesgo de hemorragia en la sesión de profilaxis.
  • Se debe planificar suficiente tiempo para la entrevista de instrucción y motivación. La influencia negativa en la salud oral de ciertos hábitos alimenticios debe explicársele claramente al paciente. Con respecto a la endocarditis, también deben explicársele la relación entre las bacterias cariogénicas y las enfermedades cardiovasculares, lo que puede reforzar la motivación para que haga un cambio sostenible en la dieta. La conversación debe motivas al paciente para que mantenga una buena higiene oral en el hogar.
  • No hay recomendaciones específicas de instrumental para la sesión de profilaxis. Mediante un aeropulidor y un pulido rotativo puede eliminarse suavemente la placa y la decoloración en los bordes de la restauración y reducirse los nichos de recolonización de bacterias carcinógenas.
  • Para prevenir aún más la caries, se recomienda la fluoración, especialmente para prevenir la nueva formación en el área de los márgenes de restauración y para sellar las superficies radiculares. Ambas medidas pueden reducir la hipersensibilidad de los dientes a la temperatura.
  • Debido a las lesiones de caries activas y el riesgo de progresión asociado, se recomienda un control posterior más corto a los tres o cuatro meses.

Recursos

Autores

  1. El Dr. Gerhard Schmalz es médico jefe en el departamento de Policlínico de Medicina y Salud Oral para la Conservación Dental y Periodoncia, del Hospital Universitario de Leipzig, Alemania.
  2. El Dr. Dirk Ziebolz. MSc, es médico jefe en el Policlínico para la Conservación Dental y Periodoncia del Centro Médico de la Universidad de Leipzig, y está especializado en la preservación dental interdisciplinaria y la investigación en servicios de salud.

* Publicado con la autorización del Dr. G. Schmalz y el Prof. Dr. D. Ziebolz.

  TE RECOMENDAMOS: 

El misterio del hueso alveolar en el desarrollo facial (1)

En busca de la sonrisa perdida (1)

El arte de curar en la era digital

La-prevención dental en pacientes diabéticos

• Consejos para triunfar

 

 

To post a reply please login or register
advertisement