Search Dental Tribune

Tratamiento preventivo en paciente sana con enfermedad periodontal

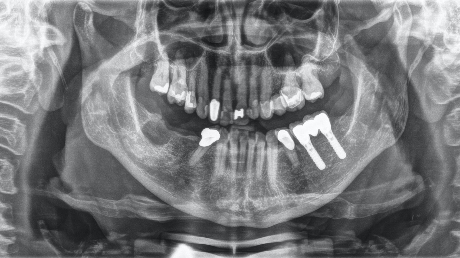
Radiografía de una paciente con buena salud oral y enfermedad periodontal temprana al que se lo trató siguiendo el Concepto de Prevención Personalizada.
Gerhard Schmalz, Dirk Ziebolz

Gerhard Schmalz, Dirk Ziebolz

vie. 4 febrero 2022

guardar

Este caso clínico ilustra el Concepto de Prevención Personalizada, que se ha desarrollado para evitar que los factores de riesgo de la salud general incidan en la salud oral, como sucede con enfermedades asociadas con un mayor riesgo de enfermedad periodontal. El Concepto de Prevención Personalizada (Concept of Individualized Prevention), desarrollado por los autores […]

Este caso clínico ilustra el Concepto de Prevención Personalizada, que se ha desarrollado para evitar que los factores de riesgo de la salud general incidan en la salud oral, como sucede con enfermedades asociadas con un mayor riesgo de enfermedad periodontal.

El Concepto de Prevención Personalizada (Concept of Individualized Prevention), desarrollado por los autores de este artículo, propone una forma de tratamiento preventivo personalizado en salud oral, en el que el foco deja de ser la salud oral aislada para ver al paciente como un todo.

Paciente de 68 años sin enfermedades previas relevantes de salud general que no toma medicación; sus hábitos alimenticios tampoco suponen un riesgo especial. La paciente tiene dos implantes (tercer cuadrante, desde hace cinco años) y enfermedad periodontal previa (periodontitis en etapa IV, grado B) con pérdida dental. Actualmente las condiciones periodontales son estables, pero la periodontitis aumenta de manera determinante las complicaciones biológicas cuando se realizan implantes y puede ocasionar la pérdida de un implante. Para la sesión de profilaxis se hacen cuatro recomendaciones.

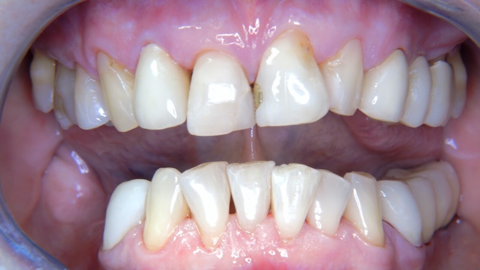
Imagen frontal de la situación de la paciente.

  • Dado que la paciente no tiene factores de riesgo especiales con efectos específicos para los dientes, los requisitos de su salud oral son determinantes. Se recomienda realizar una evaluación periodontal detallada una vez al año. De esta forma, es posible responder a tiempo a una posible progresión de la enfermedad periodontal previa o al desarrollo de periimplantitis.
  • Aunque las condiciones sean estables, no debe descuidarse la motivación y la formación de esta paciente. Hay que prestar especial atención a que aprenda a cómo cuidar los implantes correctamente. En este caso particular, un buen mantenimiento en casa puede jugar un papel importante en la estabilización a largo plazo de la salud oral y del implante.
  • Es necesarios utilizar instrumental especial en la zona de los implantes. Para conservar la superficie del implante y, al mismo tiempo, limpiarla con eficacia, es crucial seleccionar los instrumentos y polvos adecuados, como los aeropulidores con puntas periodontales especiales. La elección de los polvos adecuados puede hacerse según las necesidades y los riesgos. Por ejemplo, además del grado apropiado de abrasión, deben tenerse en cuenta requisitos alimenticios (como que sean alimentos sin azúcar o bajos en sal).
  • Debido a la situación del implante y la enfermedad periodontal previa, la paciente tiene riesgo de desarrollar periimplantitis. Por lo tanto, se recomienda realizar una sesión de control cada tres a cuatro meses.

Recursos

Autores

  1. El Dr. Gerhard Schmalz es médico jefe en el departamento de Policlínico de Medicina y Salud Oral para la Conservación Dental y Periodoncia, del Hospital Universitario de Leipzig, Alemania.
  2. El Dr. Dirk Ziebolz. MSc, es médico jefe en el Policlínico para la Conservación Dental y Periodoncia del Centro Médico de la Universidad de Leipzig, y está especializado en la preservación dental interdisciplinaria y la investigación en servicios de salud.

* Publicado con la autorización del Dr. G. Schmalz y el Prof. Dr. D. Ziebolz.

  TE RECOMENDAMOS: 

El misterio del hueso alveolar en el desarrollo facial (1)

En busca de la sonrisa perdida (1)

El arte de curar en la era digital

La-prevención dental en pacientes diabéticos

• Consejos para triunfar

 

 

 

To post a reply please login or register
advertisement
advertisement