Search Dental Tribune

Un sistema que revoluciona la biomecánica en el movimiento dental

Fig. 1. Sistema de Ortodoncia con minitubos Flow Jac System.
Joaquín Ariza Olaya

Joaquín Ariza Olaya

mar. 25 enero 2022

guardar

El Dr. Joaquín Ariza, creador junto con su grupo de estudio en Bogotá de un sistema de ortodoncia mínimamente invasivo a base de minitubos, afirma que se trata de una estrategia de ortodoncia fija estética, higiénica y confortable. Con más de 15 años de estudios y análisis clínicos y sostenido por la evidencia, el sistema […]

El Dr. Joaquín Ariza, creador junto con su grupo de estudio en Bogotá de un sistema de ortodoncia mínimamente invasivo a base de minitubos, afirma que se trata de una estrategia de ortodoncia fija estética, higiénica y confortable.

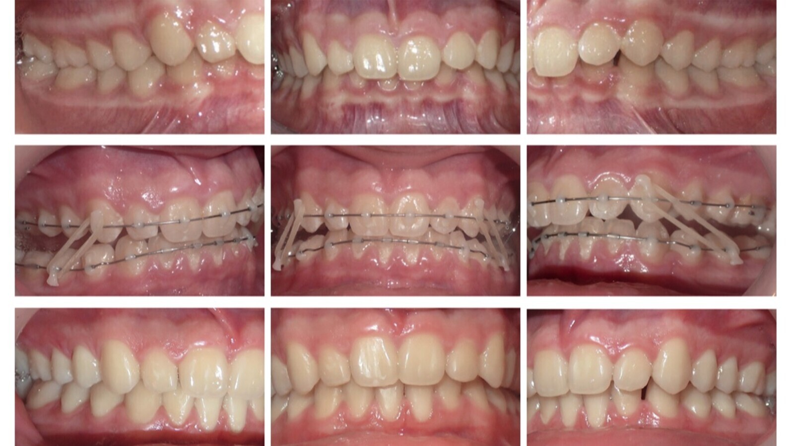
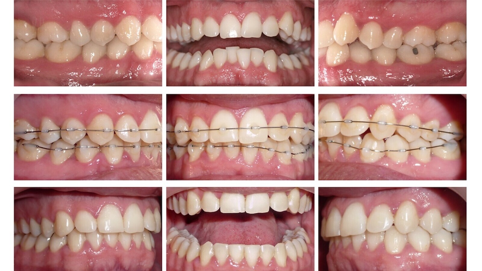
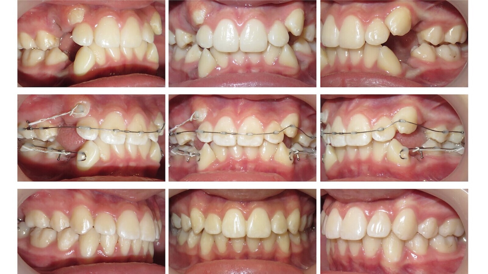
Con más de 15 años de estudios y análisis clínicos y sostenido por la evidencia, el sistema de ortodoncia con Mini-Tubos Flow Jac System (Fig. 1) ya se ha aplicado en más de 3.000 pacientes. Los resultados han sido excepcionalmente favorables para pacientes en un rango de edades muy amplio, tanto en casos simples de alineación y nivelación (Fig. 2) como para maloclusiones de alta complejidad (Figs. 3-5) tratadas por ortodoncistas capacitados en el manejo de las fuerzas biomecánicas y en los aspectos clínicos de esta técnica.

La evidencia en la que se sostiene el sistema comprende estudios in vitro sobre tipodontos desde 2008 [1] y la publicación de casos clínicos en revistas, posters y mesas clínicas a nivel nacional e internacional, así como investigaciones en proceso de publicación realizadas por el grupo de estudio de FJS. Una de estas investigaciones fue últimamente galardonada como finalista del premio de innovación y excelencia en investigación en ortodoncia por IADR en el último evento mundial de investigación en Washington D.C. USA 2020 [2].

Fig. 2. Muestras de corrección de apiñamiento y clase II canina con con minitubos.

Fig. 3. Corrección de apiñamiento severo con extracciones.

Hasta hace pocos años, los tratamientos de ortodoncia sólo se podían lograr de manera fija con brackets convencionales de diferentes diseños o con alineadores estéticos removibles. La nueva alternativa fija e intermedia que brinda el sistema de mini-tubos de Flow Jac System toma las bondades de los sistemas fijos de ortodoncia y las características estéticas y de confort de los alineadores para ofrecer a los pacientes un tratamiento más estético, higiénico y confortable, con el desempeño y la previsibilidad de los sistemas fijos de ortodoncia.

Fig. 4. Ejemplos de corrección de clase II con este sistema.

Fig. 5. Corrección de clase III con mordida abierta con Flow Jac System.

Con la versatilidad, el bajo perfil, las diferentes longitudes y formas que tiene el mini-tubo cubierto con diversos materiales como la resina (Fig. 6) únicamente descritos en las patentes del sistema, es posible guiar un movimiento dental ideal con fuerzas bajas y alta predictibilidad.

Fig. 6. Arco y minitubo recubierto para ser fijado al diente de diferentes longitudes y formas.

El nuevo sistema Flow Jac System sobre el que algunos especialistas han venido reportando desde hace más de 12 años, representa una nueva alternativa en donde el bracket es reemplazado por un mini-tubo (Fig. 7), con diferentes formas de corte transversal: redondo, ovalado y en forma de D (Fig. 7), y en donde el bracket cuyo slot máximo es de 0.022 x 0.028 pulgadas es reemplazado por un mini-tubo cuya luz interna es menor a 1 mm, con referencias de diámetros internos desde 0.017 hasta 0.040 de pulgada, cumpliendo siempre con parámetros de mínima invasión.

Fig. 7a. El tubo replica el slot del bracket. Fig. 7b. Medidas de luz interna de algunos minitubos.

En los protocolos del sistema se describe el uso de diversos calibres, formas y aleaciones de arcos redondos, cuadrados y rectangulares, que en combinación con las diferentes formas internas de los mini-tubos facilitan la aplicación de fuerzas determinadas para la obtención de movimientos de in-out, tip y torque (Fig. 8), los tratamientos son en su mayoría realizados con arcos de bajo calibre, superelásticos y de bajas fuerzas.

Fig. 8 .Minitubos con formas redondas, ovales y en D con arcos redondos, cuadrados y rectangulares para aplicación variable y selectiva de in-out, tip y torque.

La versatilidad del sistema permite que el operador certificado haga uso de diferentes protocolos y estrategias utilizadas generalmente en la ortodoncia convencional, dejando a su criterio y de acuerdo al diagnóstico y plan de tratamiento el uso de alambres tanto redondos como cuadrados y rectangulares según los requerimientos de cada caso. Adicionalmente, el operador puede utilizar la cementación especial del sistema determinada con consideraciones especiales para su adecuado desempeño.

Sabemos que la cementación tradicional aplicada a la aparatología fija convencional, con sus alturas predeterminadas, no garantiza la no reposición de brackets o aditamentos o la no elaboración de dobleces compensatorios durante el tratamiento. Sin embargo, aunque los Mini-Tubos Flow Jac System pueden ser cementados a estas alturas, se debe considerar que el paso de un alambre activo a través de estos slots produciría una alineación indiscriminada, convirtiéndolo en un sistema estáticamente indeterminado [3], dejando atrás la oportunidad de individualización que proporciona la cementación por deflexión en un tratamiento planeado de acuerdo al diagnóstico y los objetivos de tratamiento.

De acuerdo con lo anterior, en la cementación por deflexión de Flow Jac System se identifican las posiciones dentales adecuadas para no generar movimientos indeseados, como una ventaja versátil del sistema, pues crea la posibilidad de corregir sólo lo que debe moverse con fuerzas biomecánicas adecuadas y optimizando el tiempo de tratamiento. Esta estrategia se denomina posicionamiento y alineación secuencial fisiológica (PASF).

Los dispositivos de Flow Jac System cuentan con las debidas credenciales para uso en humanos, como CCAA y certificaciones sanitarias aprobadas por Invima en Colombia y FDA en Estados Unidos. También con registros de propiedad industrial a nivel mundial que dan fe del nivel de compromiso de FJS con la innovación y el desarrollo de nuevas tecnologías. Actualmente cuenta con dos patentes en Colombia y tres en Estados Unidos [4-8].

La certificación se otorga exclusivamente a ortodoncistas graduados en la academia del grupo de investigación y desarrollo de FJS que deben cumplir con las competencias obtenidas a través de los cursos de procedimientos básicos y avanzados del sistema. Las capacitaciones se imparten por la academia del grupo de investigaciones Flow Jac System en Colombia y a través de la Sociedad Colombiana de Ortodoncia o apoyados en las asociaciones gremiales científicas de cada país.

 ________________________________________________________________________________

El doctor Joaquín Tiberio Ariza Olaya, Director Científico del Grupo de Estudio e Investigaciones de Flow Jac System, es un experto en Ortodoncia y Ortopedia Maxilar. Director del Departamento de Epidemiología e Investigaciones de la Federación Odontológica Colombiana y Miembro de honor de esta institución por sus aportes a la profesión en innovación e investigación.

Referencias

  1. Aragón J, Ariza J, Martínez A, Orjuela G. Comparación del movimiento dental obtenido por un arco 0.014 copper ni-ti entre dos sistemas:brackets de autoligado y sistema Flow Jac en tipodontos electrónicos. J Business Res. 2011; 14(37):30-40.
  2. Ariza J, Plaza S.P, Tamara J.C, Vergara S. Three-dimensional changes assessment of self-ligating, conventional and mini-tubes systems after orthodontic treatment. Poster presentado en: IADR General Session. 98th General Session & Exhibition of the IADR; 2020 Marzo 18-21; Washington, D.C. USA.
  3. Charles J. Burstone, Kwangchul Choy. The Biomechanical Foundation of Clinical Orthodontics. Quintessence Publishing Co, Inc. 2015.
  4. Ariza J. (2007). Sistema ortodóncico de alineación sin brackets (Patente CO No.5820211A1). Superintendencia de Industria y Comercio.
  5. Ariza J. (2014). Tubo para ortodoncia. (Patente CO No.7091169A2). Superintendencia de Industria y Comercio.
  6. Ariza J. (2017). Tube for orthodontics. (Patente EE UU No.9615898B2). Oficina de Patentes y Marcas Registradas de Estados Unidos. https://n9.cl/wricp
  7. Ariza J. (2018). Orthodontic system and method of use. (Patente EEUU No.20180193113A1). Oficina de Patentes y Marcas Registradas de Estados Unidos. https://n9.cl/hozqc
  8. Ariza J.(2020). Orthodontic system and method of use. (Patente EE UU No.10675128B2). Oficina de Patentes y Marcas Registradas de Estados Unidos.

 _________________________________________________

  TE RECOMENDAMOS: 

El misterio del hueso alveolar en el desarrollo facial (1). Extraordinario artículo que propone que la odontología puede alterar la fisonomía humana, con lo cual cobraría mayor relevancia entre las ciencias médicas.

En busca de la sonrisa perdida (1) Un tratamiento que es un viaje en el tiempo.

El arte de curar en la era digital. Tenemos que utilizar toda la tecnología digital y virtual posible en nuestra clínica, pero sin perder nunca el contacto directo con el paciente.

La-prevención dental en pacientes diabéticos. Un concepto clínico desarrollado para evitar que los riesgo de la salud general afecten la salud oral.

• Consejos para triunfar. Serie de entrevistas con los líderes de opinión sobre sus estrategias para prosperar.

• Ver Ediciones Digitales. Consulta más de diez años de ediciones de Dental Tribune Latinoamérica.

________________________________________________________________________________________

Ver Ediciones Digitales

Suscríbete gratis a nuestra Newsletter

Toca en la imagen y síguenos en Instagram

Toca en la imagen y síguenos en FaceBook

 

To post a reply please login or register
advertisement
advertisement