El especialista peruano en Odontología para bebés, Mario Elías Podestá, se centra en este segundo artículo en el tratamiento de la Anquiloglosia-Frenillo lingual-Frenotomía.
ODONTOLOGIA PARA BEBES
Técnica quirúrgica de frenectomía-frenotomía lingual en bebés1,2
Instrumentos y materiales utilizados: Sonda acanalada, espejo bucal, tijeras curvas, pinzas de algodón (Figura 1), Gluconato de Clorhexidina al 2%. Anestesia tópica (Benzocaína al 20% o Xilocaína al 10%) u oftálmica al 1%.
Procedimiento
Previa antisepsia con Gluconato de Clorhexidina al 2%, se coloca anestesia tópica en la zona lingual (sublingual a la altura de la futura ubicación de los primeros molares) donde el nervio lingual se encuentra más superficialmente; en la región del piso de boca (Figura 2).
Figura 2. Anestesia tópica en la zona lingual (sublingual a la altura de la futura ubicación de los primeros molares).
Con una sonda acanalada se separa la parte ventral de la lengua del piso de boca. Específicamente la zona hendida del pabellón de la sonda debe albergar al frenillo hasta que los límites de ambos lo permitan. Mientras mayor sea el contacto de la parte superior del pabellón con la zona ventral de la lengua, se obtendrá una mayor tensión de los tejidos a tratar cuando la lengua sea elevada por el operador; esto garantizará indirectamente la protección de los tejidos circundantes (Figura 3).
Figura 3. Separación de la lengua del piso de boca y visualización del frenillo.
Se ubica la parte activa de las tijeras curvas debajo del pabellón y se procede al corte. La posición de las tijeras para el corte deberá ser alta en el sector anterior (para protección de los conductos de Warthon) y baja en el sector posterior (para protección de nervio lingual, vena y arteria raninas). Este corte debe ser amplio, único y liberador, pero no debe sobrepasar hacia planos profundos. No es necesario realizar sutura, salvo lesión accidental de algún vaso sanguíneo (Figura 4).
Figura 4. (a) Corte del frenillo lingual, (b) es frecuente que la mezcla de la saliva con la sangre aparente un sangrado profuso.
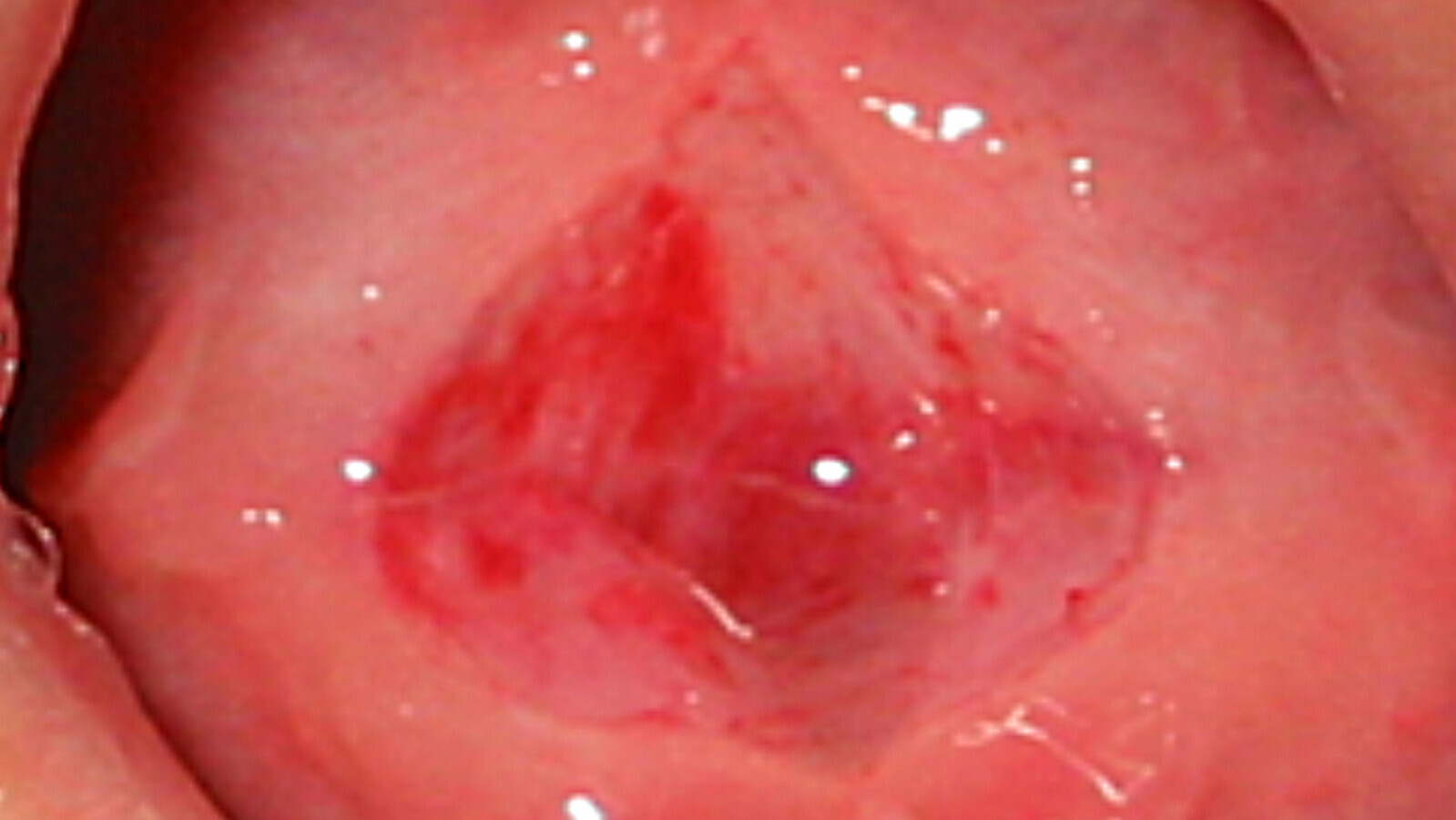
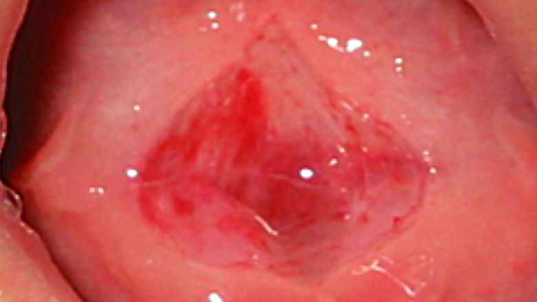
Vista de la zona del frenillo luego de la frenectomia. La presencia de dos triángulos unidos por su base será consecuencia de la separación (por corte horizontal) de la capa mucosa doble, componentes del frenillo lingual. (Figuras 4 y 5).
Figura 5. Zona ventral luego del corte. Obsérvese la presencia de dos triángulos unidos por su base.
Inmediatamente se entrega el bebé a la madre, quien le dará de lactar (Figura 6).
Figura 6. La lactancia luego de la cirugía es sumamente importante para la recuperación.
Es necesario comunicar a la madre que los primeros minutos del ordeño del bebé será en extremo dificultoso por dos motivos: la anestesia que ha disminuido la sensibilidad de la lengua y por el tiempo que tarde el bebé de adecuarse a los nuevos movimientos de la misma. A los pocos minutos, el bebé empezará a mamar sin problemas. Es recomendable que tanto el bebé como la madre se queden en consulta por lo menos 30 minutos después de la cirugía, a fin de darle tiempo al bebé de calmar su llanto, disminuir la ansiedad de la madre, observar coagulación y explicar detenidamente los cuidados post-operatorios.
La herida operatoria en el séptimo día aparece de color amarillento (tejido de granulación) y de forma romboidal (profundidad del corte, no permite recidiva) (Figura 7).
Figura 7. El color amarillento es tejido de cicatrización de la zona donde se encontraba el frenillo.
Cuidados post-operatorios
Se medica con analgésico condicional al dolor.
El paciente deberá continuar con su alimentación e higiene habituales, con especial cuidado en la zona del frenillo.
Se debe hacer total hincapié en que la zona operada no debe ser tocada. Muchas veces se dan casos de familiares que quieren “ver” (tocar) lo que le han hecho al bebé. Esta manipulación de la zona puede provocar la ruptura de la costra formada entre otras cosas por la misma leche materna.
Se indica regresar en una semana, salvo que existan complicaciones.
La frenectomía es incruenta. Esto se evidencia en el momento del corte, ya que el bebé no cambia ni la intensidad ni la forma de su llanto, y, porque, además, se produce un escaso o nulo sangrado. Si el procedimiento es realizado adecuadamente, el corte estará lejos de estructuras anatómicas importantes y que nos preocupan: nervio lingual, arteria y vena raninas (Figura 8).
Figura 8. Nótese (a) frenillo lingual y sus relaciones anatómicas, (b) profundización de capa muscular: músculo geniogloso (alfiler rosa), nervio lingual (alfiler rojo) y vena ranina (alfiler celeste) que corre junto a la arteria del mismo nombre la cual está más profunda, (c) acercamiento de la zona.
El objetivo de este resumen es compartir información de trabajos de investigación que contribuyen a aumentar el conocimiento sobre el Covid-19, en este ...
La técnica CLO3 es un protocolo que permite el tratamiento de maloclusiones que afectan a los dientes anteriores en pacientes que presenten una buena...
El experto en Endodoncia Mayid Barzuna explica en este segundo artículo que la mejor forma de prevenir los traumas orales en los deportes es el uso de ...
La experta en psicología en el consultorio, Helga Mediavilla, describe en este segundo artículo las cualidades de un buen líder para conseguir un equipo ...
Los autores, especializados en Medicina Dental del Sueño, describen los síntomas del bruxismo, sus concomitancias con otros trastornos del sueño y sus ...
Claudia Esparza, Especialista en Periodoncia, Administración de empresas y Dirección de compañías internacionales, especifica las características que ...
Formación
Webinars en vivo lun. 11 de mayo 2026 10:00 CST (Mexico City)
La inauguración del Congreso Nacional e Internacional de Odontología UNAM 2026, que se celebra paralalemente a Expo AMIC Dental, atrajo a las principales ...
La inauguración de la 82ª edición de Expo AMIC Dental ha puesto de manifiesto la creciente relevancia en la salud de este gran evento de la odontología....
Los riesgos para la salud de prácticas difundidas en redes sociales como blanqueamientos caseros, limado de dientes, alineadores online o ejercitadores de ...