Los pacientes tienen grandes expectativas, en especial en lo que respecta al resultado estético de los tratamientos de restauración dental. Por un lado, porque si el resultado no es excelente suele apreciarse de inmediato, y por otro, porque los dientes "bellos" tienen un papel importante a la hora de lograr la "sonrisa radiante" deseada.
Hoy en día el odontólogo dispone de una gran variedad de métodos para alcanzar resultados predicibles, especialmente en el ámbito estético. Además de utilizar "hardware" como, por ejemplo, la radiografía, la fotografía y software especial que permite simular distintos resultados en un monitor, es importante realizar una simulación intraoral (mock-up) diagnóstica, y por supuesto, hablar siempre con el paciente, también acerca de los límites del tratamiento de restauración dental. La simulación intraoral (mock-up) permite valorar por adelantado y con relativamente poco esfuerzo el resultado de un tratamiento planificado y, empleando los materiales adecuados, incluso aplicarse de manera provisional, sin que sea necesario emprender de momento medidas invasivas irreversibles.
De ahí la gran importancia de los materiales provisionales que se utilicen: deben estar disponibles en el tono de los dientes y resistir los elevados requisitos de la cavidad bucal a fin de que la restauración provisional pueda permanecer en la boca del paciente durante el tiempo requerido por éste para aceptar, o incluso rechazar, las modificaciones efectuadas.
El caso clínico a continuación muestra las posibilidades resultantes de combinar un encerado y una simulación intraoral
Caso clínico Una paciente (27) acudió al consultorio con el deseo de mejorar la apariencia no satisfactoria de los dientes anteriores de su maxilar superior. Ya tenía fecha fijada para su boda.
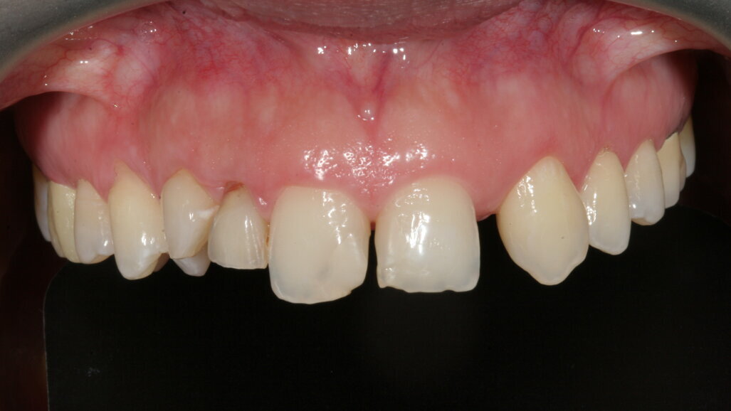
La exploración reveló una hipodoncia de la pieza 22, un considerable desplazamiento de la pieza 12 hacia el paladar, un contorno no homogéneo en el sector anterior de la arcada superior, incisivos centrales claramente separados, así como otras malposiciones en el sector anterior del maxilar superior. La exploración del sector posterior mostró una clara maloclusión de clase II.
En primer lugar, tomamos impresiones de ambos maxilares y elaboramos los modelos. Después de explorar detenidamente los modelos, llevamos a cabo un encerado diagnóstico en el sector anterior del maxilar superior con el objetivo de corregir la maloclusión, substituir la pieza 22 que faltaba y remodelar la estética de la arcada.
El siguiente paso fue tomar una impresión de silicona sobre el encerado del modelo y recortar cuidadosamente la llave de silicona obtenida: con la llave colocada, el contorno gingival de la zona vestibular apenas se aprecia, por lo que hacer cortes en la llave a modo de marca permite posicionar con precisión la llave en la boca. A continuación, procedimos a la meticulosa elección del tono de color en la paciente.
El método aquí presentado describe la elaboración de una restauración y la simultánea adhesión sobre las piezas acondicionadas en un solo paso. Como alternativa, la restauración provisional puede elaborarse y retocarse de forma convencional, es decir, sin pegarla simultáneamente. En ese caso, la unión provisional se realiza a posteriori en un paso aparte.
Seguidamente, acondicionamos con ácido fosfórico únicamente ciertas partes de los dientes anteriores del maxilar superior 13-23 durante 5-10 segundos, los enjuagamos y aplicamos un adhesivo compatible con composites autopolimerizables en las zonas grabadas. Tras fotopolimerizar el adhesivo, llenamos la llave de silicona con Structur (VOCO) y la colocamos sobre la arcada. La minuciosa adaptación previa de la llave de silicona, permite eliminar fácilmente el exceso de material durante la fase plástica, así como determinar de forma fiable el momento adecuado para retirar la llave, en el grado de polimerización del material en la boca. La restauración permanece en la boca gracias al paso de adhesión realizado con anterioridad.
Tras una polimerización completa de 4 minutos, la restauración provisional ya puede retocarse con cuidado en la boca. Los instrumentos adecuados para ello son un escalpelo afilado e instrumentos giratorios de carburo de diferentes tamaños. En caso de que sea necesario realizar pequeñas correcciones, éstas se harán con el mismo material o con composites (fluidos) fotopolimerizables. El acabado se logra empleando pulidoras de silicona adecuadas para materiales de composite. También es muy importante la higiene bucal: con regularidad utilizamos cepillos interdentales, hilo dental y una solución de enjuague de clorhexidina como complemento.
¿Mucho trabajo, tal vez demasiado? ¡No desde el punto de vista de la paciente! Si comparamos la sonrisa forzada anterior al tratamiento con la sonrisa tras la elaboración de las coronas provisionales, vemos que hay una clara diferencia. Seguramente la inminente boda también juega un papel importante.
Desde el punto de vista odontológico, esta primera etapa del tratamiento que permite visualizar el resultado final posterior es también un gran éxito. La paciente y el odontólogo tienen la posibilidad de ver cómo quedaría el posterior resultado sin necesidad de recurrir a procedimientos invasivos. En este caso, la paciente dio su total consentimiento, incluso a las medidas posteriores necesarias para lograr el resultado final. Asimismo, la paciente se mostró muy cooperativa en todas las etapas del tratamiento.
La experiencia odontológica, la aplicación de medidas específicas de diagnóstico, la destreza manual y la utilización de materiales de alta calidad han llevado a este impresionante resultado, que convence incluso en su ejecución provisional.
¿Cuál es el siguiente paso? La restauración provisional se retiró poco después. Al acondicionar únicamente algunas partes de los dientes para la unión, la restauración puede retirarse mediante un escarificador, una cureta adecuada o una sonda resistente. Normalmente retirar la restauración provisional implica destruirla por completo. Con frecuencia hay que eliminar con cuidado restos en la zona de unión usando instrumentos giratorios.
Actualmente, la paciente se halla en tratamiento ortodóncico. El objetivo es ordenar los dientes anteriores del maxilar superior y eliminar el espacio entre los dientes existentes. Además, debe armonizarse el contorno de la arcada y crear una oclusión estable. Cuando finalice el tratamiento ortodóncico, substituiremos la pieza 22 que falta, aunque aún no está claro el tratamiento definitivo. Tanto una restauración con un miniimplante como un puente adhesivo son alternativas posibles.
Resumen El análisis de modelos y fotografías, el encerado diagnóstico, la simulación intraoral y las restauraciones provisionales son herramientas importantes para informar al paciente, anticipándole los resultados que pueden obtenerse. Esto puede lograrse con el método presentado aquí a modo de ejemplo, sin etapas terapéuticas irreversibles y con relativamente poco esfuerzo. Los requisitos son un diagnóstico minucioso y el uso de productos de alta calidad para la restauración provisional.
* Dr. Saraiva es odontólogo en Belo Horizonte (Brasil) especializado en implantología (Máster en Implantología por la Universidade Sagrado Coração de São Paulo, médico especialista en Implantología por la Pontifícia Universidade Católica de Belo Horizonte). Además, imparte cursos de especialización en la Universidade Federal de Minas Gerais de Belo Horizonte. Contacto: irfeosaraiva@gmail.com
____________________________________________________________________________
La rehabilitación de la sonrisa es un verdadero desafío profesional para el dentista. Todo el conocimiento sobre el tema se pone en juego para lograr un ...
Los materiales provisionales tienen que cumplir con los mismos requisitos que los de las restauraciones definitivas y eso es precisamente lo que ofrecen los...
El lema de la edición 2025 de Expo ARIC Dental, el congreso y exposición dental que se celebra del 25 al 27 de septiembre en Guadalajara, México, no ...
La Agencia Española de Medicamentos y Productos Sanitarios afirma que los tratamientos con alineadores invisibles deben ser prescritos y supervisados por ...
La ortodoncia está entrando en una nueva era marcada por la integración de tecnologías digitales y herramientas biológicas avanzadas. Entre ellas, el ...
La odontología vive una transformación profunda impulsada por la digitalización. Tecnologías como el escaneo intraoral, el diseño CAD y la impresión ...
To post a reply please login or register