Search Dental Tribune

Doctor: ¿es solo por estética o por función?

Dental Tribune International

Dental Tribune International

jue. 13 mayo 2021

guardar

Buenos días. En esta edición de nuestra Newsletter semanal, un experto te explica que estética y función son siempre conceptos complementarios, presentamos un caso clínico sobre caries de la primera infancia y publicamos una descripción de una empresa dental que se preocupa por el medio ambiente.

 

Las Newsletters semanales de Dental Tribune llegan a más de 100,000 odontólogos en América Latina y ofrecen contenido exclusivo para suscriptores y también artículos de acceso libre.

Suscríbete a Dental Tribune para tener acceso a la información más actual y relevante para tu práctica. Esta es la Edición número 15 de nuestra Newsletter, publicada originalmente para nuestros subscriptores el pasado 29 de abril.

Doctor: ¿es solo por estética o por función?

David Suárez Quintanilla expone la falsa dicotomía que pretende enfrentar dos conceptos que son complementarios en Odontología y, más todavía si cabe, en Ortodoncia.

Leer más »

 

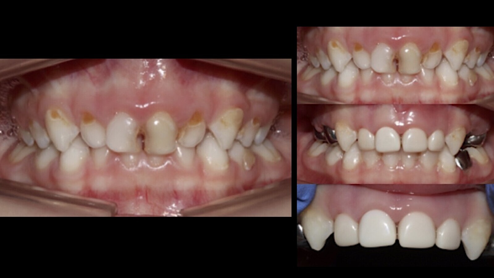
Caries severa de primera infancia en Odontopediatría

Caso clínico de una afección que puede condicionar la salud bucodental en la edad adulta, causar alteraciones del sueño, ansiedad, depresión e incluso déficit de atención.

Leer más

Una empresa dental ecológica

La compañía W&H Dentalwerk se ha comprometido desde hace años a trabajar por un futuro sostenible, usando solo tecnología de fuentes de energía renovables.

Leer más »

 

To post a reply please login or register
advertisement
advertisement