Search Dental Tribune

El puente reforzado como alternativa al implante

Varios pasos clínicos, desde la situación inicial al resultado final de la restauración, de la colocación de un puente de composite reforzado con fibra. Fotos: Tamara Niedzielska

mié. 21 mayo 2025

guardar

El autor explica una técnica que permite restaurar la función y la estética en una sola sesión, de manera más rápida y económica que la colocación de un implante dental. Los resultados de la misma se ilustran con un caso clínico.

La pérdida de un diente constituye una mutilación para el paciente, que ve afectada su masticación y su estética. El papel del dentista en estos casos consiste en brindar una solución eficaz y duradera que ofrezca el mayor beneficio para el paciente.

La implantología oral es una gran solución, pero no es adecuada para todos los pacientes. Existen contraindicaciones para la colocación de un implante, como la edad del paciente (sujeto joven) o su condición médica (antecedentes de radioterapia cérvico-facial). A ello se suman las consideraciones económicas del paciente, que muchas veces rechaza esta terapia.

 

Los avances en adhesión y biomateriales han permitido el desarrollo de fibras que combinan la elasticidad y resistencia adecuadas para utilizarse en restauraciones dentales.

 

La aparición de la fibra de polietileno para reforzar restauraciones de composite ha permitido combinar propiedades fisicoquímicas, como la elasticidad antes de la polimerización, con la resistencia a la fractura después de ésta.

 

 

Tecnología de refuerzo

El uso de fibra para reforzar un material se utiliza desde hace mucho tiempo en campos como la ingeniería y la arquitectura. En odontología apareció en la literatura en la década de 1960, particularmente para prótesis removibles (1-3). Desde entonces, las indicaciones se han ampliado, ya sea para uso extradental (retenedores fijos) o para uso intradental (puentes).

La literatura médica describe el uso de fibra de vidrio para reforzar una matriz de PMMA (polimetilmetacrilato). La fibra presenta ventajas fisicoquímicas (resistencia a la tracción, baja conductividad, resistencia a la corrosión, capacidad de adhesión) y estéticas (transmisión de luz). También tiene inconvenientes, como baja resistencia al desgaste (2).

Con la aparición del polietileno se desarrollaron diferentes tipos de fibras de gran elasticidad, que le confieren una mayor resistencia al impacto (4, 5).

El uso de fibra también permitió compensar los efectos de la contracción del fraguado del composite durante la fotopolimerización, aumentando al mismo tiempo sus propiedades mecánicas intrínsecas (6).

La mejora de las propiedades mecánicas ha permitido ampliar las indicaciones garantizando una adecuada adhesión, una estética satisfactoria y un costo razonable (7, 8).

Las resinas compuestas reforzadas con fibra de polietileno tienen una estabilidad hidrolítica superior a la de las de fibra de vidrio, pero el aislamiento del campo quirúrgico sigue siendo un requisito previo (9, 10). De esta forma, la tasa de supervivencia es mayor (95% a los 9 años) y se minimiza las posibles complicaciones (11).

 

Ventajas del puente de composite reforzado con fibra

Un puente es una solución terapéutica a la pérdida de dientes, especialmente indicado cuando la implantología oral y las prótesis removibles están contraindicadas. Sin embargo, requier el uso de pilares, por lo que no es útil en casos de edentulismo terminal de la arcada.

La principal reticencia hacia los puentes es que preparar los dientes que soportan los pilares es un procedimiento invasivo. La creación de un puente convencional implica una preparación periférica, que elimina tejido dentario a veces sano y puede provocar hipersensibilidad postoperatoria. Sin embargo, con la evolución de los protocolos de preparación, actualmente es posible crear cavidades mínimamente invasivas que proporcionen suficiente retención para colocar un puente.

La elección del material tiene una influencia significativa. Los materiales rígidos como el metal o la cerámica tienen estándares definidos debido a su resistencia mecánica. Sin embargo, la rigidez implica fractura en caso de fuerza excesiva. En el mejor de los casos, se trata de una fractura del biomaterial. En el peor, del diente de soporte. Aunque la resina compuesta proporciona flexibilidad, hacer un puente solo de composite no está indicado debido a su baja resistencia a la fractura. El refuerzo con fibra permite retirar el composite de las restauraciones cavitarias para lograr otras indicaciones, como retención ortodóncica, puente y onlay.

 

La superioridad del puente de composite radica en la posibilidad de reparar fácilmente una fractura en la cerámica.

 

Los pacientes rechazan muchas veces la implantología debido al costo. La alternativa de tratamiento que se propone a menudo es el puente, que destaca por su comodidad y su tamaño reducido en comparación con la prótesis removible. El costo de un puente es inferior al de un implante, pero hay que presupuestar también la labor del protésico. Aquí es donde sobresalen las ventajas el puente de resina compuesta reforzado con fibra: no es necesario contar con un técnico dental, reduce el costo de los suministros y, además, la técnica directa es menos lenta que la técnica indirecta, que requiere varias sesiones.

Además de la biología y la función, es necesario tener en cuenta el aspecto estético y el resultado del puente es similar al de un implante. La superioridad del puente de composite radica en la posibilidad de reparar fácilmente una fractura en la cerámica. Incluso es posible pulirlo después de varios años de uso.

 

Caso clínico

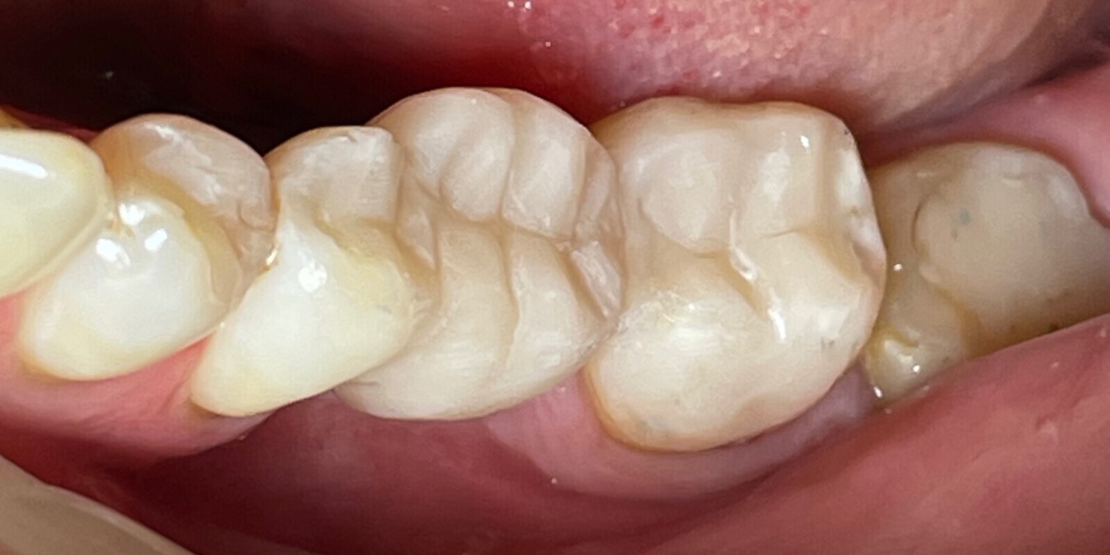
Un paciente se presentó en el consultorio exhibiendo la falta del diente número 36 (Figura 1). La entrevista clínica y el examen revelaron una extracción realizada hacía varios años con pérdida ósea vestibular. Aunque el paciente aún conservaba dos muelas en el sector 3, experimentaba molestias al masticar y se observó rotación en el diente número 35.

 

Figura 1. Situación clínica inicial.

Se propusieron varias opciones terapéuticas y el paciente rechazó la solución implantológica, seguramente por motivos económicos y por la necesidad de realizar una regeneración ósea y tisular guiada. El compromiso fue elegir un puente de composite reforzado con fibra de polietileno (Comcord, Arkona).

 

Las expectativas del paciente se superaron con creces en solo una sesión de tratamiento.

 

Se aislaron los dientes 34 al 37 con dique de goma y se retiraron las restauraciones antiguas de los dientes 35 y 37 (Figura 2). Las preparaciones se realizaron a nivel de esmalte y dentina para optimizar la unión. Las cavidades se encontraban a distancia de la pulpa dental, lo que ayudó a evitar una posible hipersensibilidad postoperatoria.

 

Figura 2. Pilares preparados y aislados.

La preparación del tratamiento comenzó con la determinación de la longitud de fibra necesaria. En lugar de medir en la boca con una regla, se colocó un alambre de retracción gingival de gran diámetro desde la superficie mesial de la cavidad del diente 35 hasta la superficie distal de la del diente 37 (Figura 3).

 

Figura 3. Medición de la longitud de fibra requerida.

Este hilo fue luego transferido al paquete de fibra (Figura 4). El embalaje tiene una película de color naranja para proteger su contenido de la exposición a la luz y evitar así cualquier fotopolimerización accidental. Esto significa que la fibra no utilizada que no ha sido expuesta a la luz puede guardarse en la bolsa de aluminio para uso posterior. El corte del largo necesario se realizó con tijeras adecuadas con filo ranurado para estabilizar la fibra y filo afilado para un corte limpio (Figura 5).

 

Figura 4. Transferencia de la medición al embalaje.

Figura 5. Corte de la fibra con las tijeras recomendadas.

El protocolo de unión se inicia con un grabado (Etchgel, Arkona) durante 30 segundos sobre el esmalte y 10 segundos sobre la dentina (Figura 6). El enjuague con agua y el secado en aire sin aceite (Figura 7) prepara la penetración del sistema de unión en los tejidos dentales. El adhesivo (Bond, Arkona) se aplica mediante un microcepillo que se frota vigorosamente sobre las superficies dentales y luego se seca antes de la fotopolimerización durante 15 segundos (Figura 8).

Figura 6. Grabado con ácido ortofosfórico.

Figura 7. Pilares después del enjuague y secado.

Figura 8. Aplicación del adhesivo.

La propia creación del puente implica definir la forma del contacto entre el pilar intermedio y la encía. En este caso, la elección recayó en un póntico en silla de montar. Para ello se aplicó un disco de composite (Create, Arkona) a nivel del diente, asegurando que las dimensiones fueran consistentes y permitieran crear una forma globular anatómicamente satisfactoria (Figura 9). Se aplicó una primera tira de fibra (Comcord, Arkona) longitudinalmente (Figura 10).

 

Figura 9. Póntico en silla de montar de composite.

Figura 10. Aplicación de la primera fibra longitudinal.

La plasticidad del material no polimerizado permite una colocación fácil y una adaptación perfecta tanto a las cavidades dentales como al asiento del pilar intermedio del puente. De hecho, una vez colocada, la fibra no se deforma espontáneamente, sino que mantiene su posición para facilitar el trabajo del profesional. Una fotopolimerización inicial (10 segundos con una lámpara de más de 2.000mW/cm2) permite fijar la fibra antes de cubrirla con una primera capa de composite fluido (Silkflow, Arkona) (Figura 11).

 

Figura 11. Aplicación de la resina compuesta.

Las características de humedad del producto (fibras de polietileno en una matriz de resina) permite una fusión óptima con el composite sin burbujas de aire. Para asegurar la resistencia mecánica a la masticación, se aplica una segunda tira de fibra longitudinalmente (Figura 12).

 

Figura 12. Aplicación de la segunda fibra longitudinal.

Para reforzar la estructura intermedia del puente se utilizan dos tiras transversales cortas (Figura 13).

 

Figura 13. Aplicación de fibras transversales.

En el nivel intermedio se aplica composite para crear cohesión a la restauración. Se colocan dos esquinas a nivel de las troneras para mantener un espacio compatible con la higiene interdental. A nivel de los pilares, la reconstrucción de la anatomía se realiza de forma clásica para recrear las cúspides y los surcos (Figura 14).

 

Figura 14. Reconstrucción de los dientes pilares.

La anatomía del pilar intermedio es un verdadero desafío para el profesional, que puede expresar toda su talento y creatividad para recrear el diente que falta (Figura 15).

 

Figura 15. Reconstrucción del pilar intermedio.

 

El resultado final es impresionante tanto desde el punto de vista estético como técnico.

 

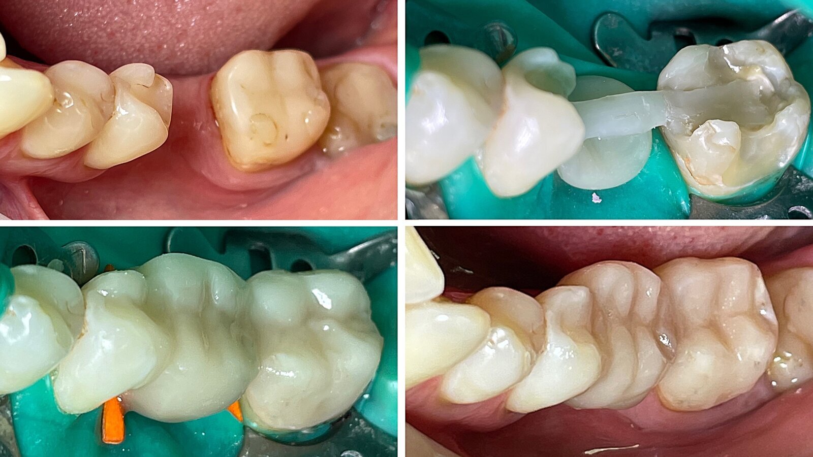
La retirada del dique dental permite comprobar la oclusión y realizar los ajustes necesarios (Figura 16). Para dar un brillo natural, el pulido se completa con maquillaje y esmaltado. Para ello, se graba la superficie para eliminar los contaminantes superficiales (Figura 17). Primero se enjuaga y se seca la superficie del puente (Figura 18).

 

Figura 16. Ajuste de la oclusión.

 

Figura 17. Grabado con ácido ortofosfórico.

 

Figura 18. Puente después del enjuague y secado.

Luego se aplica una pequeña cantidad de maquillaje de superficie (Colorante, Arkona) y se distribuye uniformemente sobre los surcos antes de ser fotopolimerizado. Posteriormente se añade el producto de glaseado (Glaze, Arkona) para dar un brillo natural a la restauración en pocos segundos (Figura 19). El resultado final es impresionante tanto desde el punto de vista estético como técnico. Las expectativas del paciente se superaron con creces con un tratamiento de una sola sesión (Figura 20).

 

Figura 19. Aplicación de maquillaje y luego glaseado.

 

Figura 20. Resultado clínico final.

Aspectos económicos

La implantología requiere una capacitación especial, al que hay que sumar el costo de consumibles e implantes. Es normal por tanto que tenga un costo elevado, sin contabilizar siquiera la labor del profesional y el tiempo del tratamiento.

En cambio, la creación de un puente convencional forma parte del conocimiento clínico de todo dentista. Su experiencia y la formación continua le permiten elegir los materiales adecuados y reducir su tiempo de trabajo. Sin embargo, requiere la intervención del laboratorio dental, donde el protésico elabora una joya que se adaptará perfectamente a los pilares dentales. Una adaptación perfecta significa una impresión perfecta.

El puente de resina compuesta reforzado con fibra de polietileno tiene muchas ventajas en cuanto a costo y tiempo. Por un lado, en el consultorio dental ya se encuentran los materiales necesarios (bonding, composite, lámpara). La fibra no requiere ningún equipo especial, ya que es compatible con diferentes adhesivos y composites, y su costo es competitivo con un puente convencional realizado por un laboratorio. Por otra parte, el tiempo de este procedimiento es inferior a 40 minutos. Esto permite al odontólogo ofrecer tarifas atractivas que reflejen sus habilidades técnicas sin tener que adquirir equipos caros o contratar a terceros.

Conclusión

La rehabilitación oral debido a pérdida de dientes sigue siendo una realidad clínica en la consulta diaria. El puente de composite reforzado con fibra de polietileno es una solución ideal tanto desde el punto de vista biológico como mecánico. Utilizando componentes de calidad, es posible dominar esta técnica, que es sencilla y rápida de implementar. El paciente se beneficia de un tratamiento asequible y el profesional pone en valor su destreza manual e intelectual.

Nota. El autor desea agradecer a Barbara Mrozek (Arkona) por su apoyo y a la Dra. Tamara Niedzielska (Polonia) por el caso clínico.

Nota editorial. Este artículo fue publicado originalmente en Dental Tribune France 2025:17/2.

Ver Bibliografía. 

 

 

ARTICULOS RECOMENDADOS

_______________________________________________________________________________________________________________________________

ESTETICA

Buscando la belleza en
los dientes de la Historia

Un libro investiga las intervenciones realizadas en los dientes desde los egipcios y los mayas hasta nuestros días.

Javier de Pisón

VER MAS

_______________________________________________________________________________________________________________________________

INVESTIGACION

Los inmensos beneficios en la salud general
de la Ortodoncia Médica 

Extraordinarios resultados en la sonrisa, la función y la estética facial, con procedimientos relativamente sencillos y poco invasivos.

David Suárez Quintanilla

VER MAS

_______________________________________________________________________________________________________________________________

ODONTOLOGIA DIGITAL

El motor del Summit
de Odontología Digital

Un aspecto clave del Summit es la financiación que ofrece para la transformación digital de los odontólogos.

Elizabeth Hernández Puerto

VER MAS

_______________________________________________________________________________________________________________________________

CASO CLINICO

Protocolos para
selladores en lesiones cariosas

Una explicación sobre hasta cuánto se debe postergar la primera intervención operatoria en caries dental.

Eraldo Paressi

VER MAS

_______________________________________________________________________________________________________________________________

ODONTOLOGIA DIGITAL

Fotografía dental inteligente

Un manual que incluye desde la configuración del 'smart phone' a cómo evitar errores en la práctica.

Miguel Ángel Saravia

VER MAS

_______________________________________________________________________________________________________________________________

Temas:
To post a reply please login or register
advertisement
advertisement