El autor propone que el Sistema Damon es un paso importante en la evolución de la Ortodoncia, especialidad que no ha cambiado mucho en los últimas décadas.
La Ortodoncia es la especialidad odontológica que menos transformaciones ha tenido en los últimos tiempos. Desde la aparición del Arco Recto de Andrews, la introducción de los arcos de Titanio en los años 70 y posteriormente los arcos activados térmicamente en los 90, las innovaciones fueron mínimas por años y, a diferencia del resto de las especialidades médicas y odontológicas, es la única que trató a los pacientes con mecánicas que no han cambiado de forma apreciable, ni ha disminuido el tiempo de tratamiento promedio de nuestros pacientes y mantuvo las técnicas invasivas que requieren fuerzas elevadas, múltiples extracciones, y elementos auxiliares como expansores palatinos, botones de nance, arcos linguales, barras palatinas, etc. que también suelen ser una molestia para los pacientes.
Probablemente sean los microimplantes el primer hito que marcó un cambio en el rumbo de la Ortodoncia, un accesorio que sin ningún lugar a dudas corrió el límite de nuestros alcances terapéuticos.
Creo firmemente que los braquets autoligantes son el futuro de nuestra especialidad. No son nuevos, es cierto, ya que existen desde hace varias décadas. Pero los primeros braquets autoligantes solo buscaban ahorrar tiempo de sillón al no tener que ligar cada una de las piezas dentarias. El Sistema Damon va más allá de eso. Es un conjunto de factores que hacen de esta técnica algo mucho más complejo que un braquet diferente. Los conceptos fisiológicos aplicados a la clínica, el uso de fuerzas ligeras o la última tecnología aplicada a estos braquets y arcos superelásticos hacen de este Sistema una opción muy diferente a las que veníamos utilizando.
Fuerzas Ligeras: menor resistencia al deslizamiento Las propuestas biomecánicas, técnicas y los sistemas ortodónticos para la corrección de las maloclusiones han sido eficientes hasta el momento. Pero en el anhelo de encontrar un sistema idóneo con el cual se mejoren la duración de los tratamientos, los tiempos en el sillón dental y la calidad en los resultados, surge el Sistema Damon, que propone trabajar de la siguiente manera:
• Con braquets autoligantes pasivos con tecnología capaz de lograr una apertura y cierre de la tapa del mismo de manera muy sencilla, sin ejercer fuerza alguna, con ángulos redondeados en los bordes del slot para generar un menor rozamiento con el arco y de esta manera reducir al máximo el binding (efecto producido cuando el arco se dobla y toca las esquinas del slot) y el notching (deformación permanente o ruptura del arco en los bordes del slot), generando movimientos óptimos dentro de un rango de fuerzas biológicas. Todos cuentan con un slot horizontal accesorio para utilizar un doble arco en caso necesitarlo y otro slot vertical para poner hooks a cualquier braquet superior o inferior en el momento que querramos retirarlo de la misma manera.
• Con Arcos Superelásticos cuya aleación está conformada por níquel-titanio-cobre para hacer movimientos dentales a muy bajas presiones que se caracterizan por no tener una forma determinada superior e inferior, existe un solo diagrama de arco y esto se debe a que "la forma hace a la Función" y es la misma musculatura la que limita los movimientos dentales.
• Eliminando molestias a los pacientes, descartando el uso de aparatos extra o intraorales de anclaje (tales como barras palatinas, arcos linguales, botón de Nance, Quad Helix, entre otros), respetando la musculatura del mismo y permitiéndole a la lengua trabajar libremente sobre los tejidos duros modificando la disposición dentoalveolar de las arcadas en forma autolimitada.
• Disminuyendo el índice de extracciones (no se "sacan" dientes por falta de espacio, sino por el rostro y la función del paciente).
El Dr. Dwight Damon propone la creación de nuevo hueso alveolar que acompaña a las correcciones transversales en aquellos casos donde hay estrechez del maxilar superior y en casos con grandes apiñamientos dentarios, moviendo las piezas dentarias "con el hueso" y no "a través del hueso", lo cual es demostrado por tomografías computarizadas. Estudios recientes avalan la hipótesis de un hueso alveolar plástico que se moldea cuando se generan fuerzas leves sin colapsar el periodonto.
¿Por que es tan dificil cambiar? Cuando uno hace algo durante mucho tiempo de la misma manera, y lo hace bien, es fantástico. La pregunta que debemos hacernos en ese momento es: "¿Lo puedo perfeccionar?"
Proponer un nuevo sistema siempre es controvertido, ya que cambiar toda una infraestructura en el consultorio como material, inventario, y procedimientos clínicos, hacen de una nueva propuesta un verdadero problema, y lamentablemente terminamos por no intentar y seguir nuestros mismos procedimientos aunque estos pudiesen tener desventajas, las cuales asumimos como parte de nuestra rutina de trabajo, y curiosamente, las llegamos a defender de manera tal que no nos detenemos a evaluar lo productivo o ventajoso del método que usamos a diario. Pero, ¿por qué es tan difícil romper estos paradigmas?
En la Ortodoncia hay un fenómeno que se repite al momento de elegir una técnica que nos acompañará en nuestra práctica privada: por lo general nos inclinamos por un método tomando en cuenta el precio, la simplicidad, la familiaridad, la seguridad de manejo, etcétera, pero pocas veces analizamos la relación costo-beneficio y la repercusión que esto tiene en la parte clínica. La literatura sugiere que una forma de evaluar la efectividad de un sistema es por el número de citas requeridas para la solución de un tratamiento. Si realizáramos una evaluación de las veces que vemos a un paciente en el consultorio y observáramos lo que implica en costo y tiempo, sería interesante ver el efecto que representaría esto en nuestra economía diaria y como lo aplicaríamos de forma diferente.
A pesar que pasen los años y las décadas y que mejoren los materiales y las mecánicas, lo más importante fue, es y seguirá siendo hacer un CORRECTO DIAGNOSTICO Y UNA ADECUADA MECÁNICA DE TRATAMIENTO. Si se omite o se falla en el diagnóstico de un caso clínico, es lógico que los resultados sean adversos. Los casos clínicos hay que analizarlos detalladamente e individualizar la mecánica de tratamiento que utilizaremos, sea el braquet que sea, y esa será la razón de nuestro éxito, sea con la técnica que sea.
Conclusiones
El Dr. Dwight Damon sugiere una propuesta que reduce los tiempos de tratamiento, tiempos en el sillón dental, el desuso de aparatos de anclaje pesados, y se mejora la calidad en los resultados, teniendo una excelente contención muscular y grandes resultados en lo estético y funcional. Como cualquier otra técnica, debe usarse de manera responsable, siguiendo los procedimientos de toda una disciplina. Y, por supuesto, debemos reconocer que cualquier braquet, incluyendo los de autoligado, vienen acompañados de una campaña de marketing para venderlo. Tampoco es cierto que se sobreexpandan las arcadas para conseguir espacios, que genere reabsorciones radiculares por fuerzas excesivas, o la presencia de fenestraciones o pérdidas de cortical vestibular, no se vuelcan las piezas dentarias y hay casos en los cuales se hacen extracciones (priorizando el perfil del paciente). ¡Tampoco existe el braquet perfecto y no te convertirás en un excelente profesional de un día para otro por usar un braquet de estas características!
Lo más importante sigue siendo el diagnóstico y el plan de tratamiento de nuestros casos, para lo cual debemos perfeccionarnos día a día para disminuir al máximo nuestros errores. No me interesa que se interprete que el Sistema Damon es una técnica superior a cualquier otra, sí que existe y es otra herramienta para solucionar casos clínicos, que es bueno conocerla, aprenderla, y aplicarla, no digo en todos, pero al menos en algunos casos donde valga la pena utilizarla. Pero es indiscutible que el braquet de autoligado es un paso irreversible en la evolución de esta apasionante especialidad, uno más en la gran búsqueda de un sistema de ortodoncia ideal.
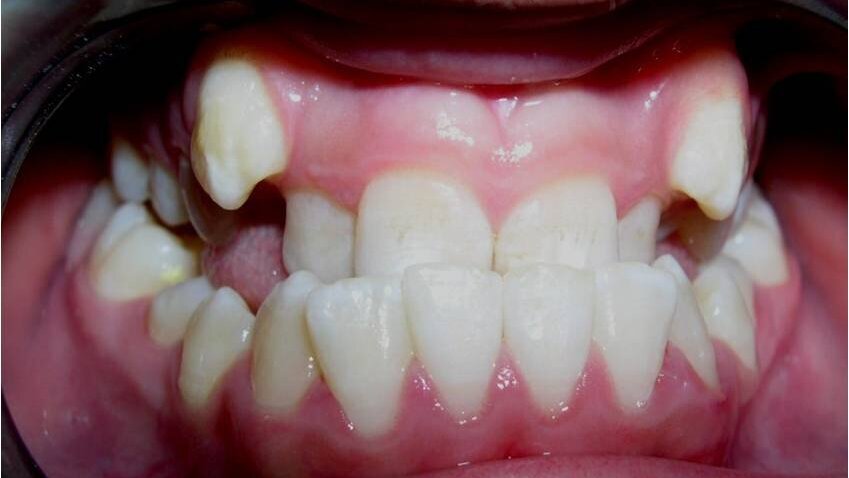
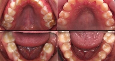
Caso clínico Mi consultorio se caracteriza porque muchas de las consultas son complejas, derivados por colegas, casos clínicos que rozan lo quirúrgico pero, en la mayoría de las situaciones, con una rotunda negativa al mismo por parte del paciente y/o los padres. En fin, casos muy alejados de los que uno suele ver en la mayoría de las publicaciones ortodónticas. Es lo que me gusta llamar "Ortodoncia Real". Hay algunas situaciones donde es imposible encarar el tratamiento sin una cirugía ortognática. Pero evaluemos el siguiente caso para ver los resultados alcanzados en la boca de Mayra, una adolescente que ya se había desarrollado hace más de un año, ya tuvo su pico de crecimiento, por lo que se complicaba pensar en un tratamiento con mecánicas de fuerzas fuertes para trabajar en las suturas (como por ejemplo un bondeado de McNamara). Estudie las fotos y piense qué haría usted en este caso y cómo lo resolvería con sus herramientas actuales.
* El Dr. Matías, Especialista en Ortodoncia y Ortopedia Funcional de los Maxilares de Bahía Blanca (Argentina), es miembro de la Asociación Iberoamericana de Ortodoncistas, dictante de cursos de la Sociedad Argentina de Ortodoncia y de Cursos Intensivos de Damon en Argentina y otros países latinoamericanos. Contacto: info@matiasanghileri.com
____________________________________________________________________________
Referencias - Ramos, Killiani, Kesling. A comparison of standard edgewise, preadjusted edgewise and Tip-Edge, in Class II extraction treatment. J Clin of Ortho. 2001, pp 145-153.
- Pandis N, Strigous S, Eliades T. Maxillary Incisor torque with conventional and self-ligating brackets: a prospective clinical trial. Orthod Craniofacial Res 9, 2006; pp 193-198.
- Reitan K. & Rygh. P. Principios y reacciones biomecánicas. En: Graber T. & Vanarsdall R. (1997) Ortodoncia. Principios generales y técnicas. Segunda edición. Ed. Panamericana, Bs.As.; pp. 1030-1097.
- BA Prassana Kumar Shivapuja. Comparative Study of Conventional Ligation and Self ligation bracket system. Am J. Orthodentofacil Orthop. 1994.
- JJ Eberting, S.R. Srtaja, OC. Tunkay. Treatment time, outcome and patient satisfaction comparisons of Damon and conventional brackets. Clin Orthod. Res., 2001.
- Alan Bagden, Dwight Damon. Damon System – The Workbook, 2000.
La importancia de la leche materna para el desarrollo del bebé ha sido bien establecida. En un estudio reciente, los investigadores analizaron dientes ...
El Dr. Juan F. Yepes, decano asociado en la Universidad de Indiana, es un conferenciante con argumentos clínicos de peso y una facilidad única para ...
Enrique Jadad hace un recuento de los avances tecnológicos en la Odontología y de las posibilidades diagnósticas y de tratamiento que posibilitan, aunque...
Podemos identificar lo moderno en el arte con dos características que, unidas o independientes, confieren una identidad.
Lo moderno es una determinada ...
La odontología moderna ya no depende únicamente de la excelencia clínica.
Hoy, dirigir un consultorio rentable exige saber interpretar datos financieros,...
Decenas de miles de odontólogos, técnicos dentales y estudiantes recorrieron los stands comerciales de los principales distribuidores de la industria ...
To post a reply please login or register