El Sistema Myobrace™ ha sido aceptado por ser un dispositivo que permite dilatar los músculos orofaciales para ampliar los arcos mandibulares y conseguir una buena alineación dental.
Sin embargo, un error común entre los ortopedistas dentofaciales es creer que si bien el Sistema Myobrace™ sirve para la alineación de los dientes, hay otros aparatos funcionales tradicionales que son mejores para estimular el desarrollo facial.
De hecho, incluso yo creía que era así hasta que empecé a utilizar este sistema. Aunque conocía el papel que juegan los músculos en la maloclusión, no había apreciado el potencial para corregirla que se obtiene reentrenando los músculos.
Incluso muchos profesionales experimentados con Myobrace consideran que los dispositivos de terapia miofuncional tradicionales son simplemente una forma alotrópica del tratamiento ortodóncico tradicional: intervenciones mecánicas que ignoran el papel de los músculos.
Gran parte del escepticismo respecto al Sistema Myobrace proviene de las dudas que existen sobre la efectividad de la terapia miofuncional en sí.
La Terapia Miofuncional (TM) es una ciencia que tiene más de 100 años, la cual adquirió una gran popularidad en la década de 1970. Aunque ha demostrado que es capaz de obtener resultados impresionantes, Smithpeter y Covell citan una serie de razones que han impedido su mayor desarrollo:
1. Espacio limitado en la clínica para ofrecer esta terapia
2. Falta de profesionales capacitados en TM
3. Dificultad y tiempo requerido
4. Capacitación inadecuada
5. Creer que la función debe seguir a la forma
6. Pensar que no hay suficiente evidencia científica que la respalde
7. Desigualdad en la experiencia de los clínicos especializados en TM, por lo que lo resultados exitosos son impredecibles.
El Sistema MYOBRACE ™ es una forma de terapia miofuncional tradicional que asegura resultados fácilmente predecibles, en menor tiempo y con menor esfuerzo.
El sistema representa la confluencia y evolución de la terapia con aparatos fijos, la terapia con aparatos funcionales y la terapia miofuncional.
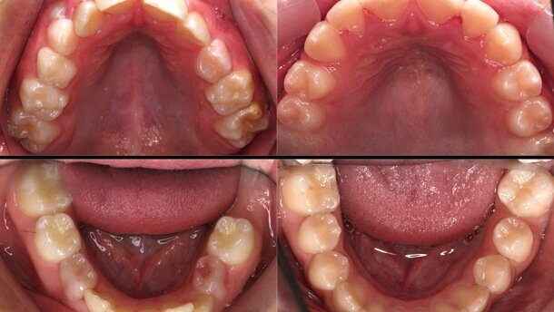
El siguiente caso clínico es un buen ejemplo de los resultados de un tratamiento que cumple con los objetivos de obtener una alineación adecuada, desarrollo facial y un tratamiento de la disfunción muscular para obtener un resultado más estable. La paciente fue tratada en la parte superior con el Farrell Bent Wire System™ y con un K1 Myobrace®, seguido de un K2 y los Myobrace T1 y T3 para conseguir la alineación final.
Desde el punto de vista dental, destaca el espacio recuperado en la parte superior derecha y en la inferior izquierda de los caninos. Desde una perspectiva facial, el ángulo nasolabial ha mejorado significativamente, mientras que es evidente que el crecimiento vertical en sentido de las agujas del reloj ha sido re-orientado a una dirección más horizontal. Estos resultados se logran aprovechando la fuerza de los músculos con un sistema que requiere menos tiempo y es más costo-efectivo que cualquier otro en la historia de la ortodoncia.
Referencias
1. Smithpeter J and Covell D. Relapse of anterior open bites treated with orthodontic appliance with and without orofacial myofunctional therapy. AJODO May 2010, p 605-614.
2. Sim JM. Twelve rules of orthodontic treatment during mixed dentition. J Gen Orthod 1998;9:22-7.
3. Zuroff J. Orthodontic treatment of anterior open-bite malocclusion: stability ten years post-retention. Cited by Shapiro PA. Stability of open bite treatment. Am J Orthod Dentofacial Orthop 2002;121:566-8.
4. Ohno T, Yogosawa F, Nakamura K. An approach to openbite cases 48. Gugino CF, Dus I. Unlocking orthodontic malocclusions: interplay between form and function. Semin Orthod 1998; 4:246-55.
5. Uysal T, Yagci A, Kara S, Okkesim S. Influence of Pre-Orthodontic Trainer treatment on the perioral and masticatory muscles in patients with Class II division 1 malocclusion. European Journal of Orthodontics 2011.
El autor propone que el Sistema Damon es un paso importante en la evolución de la Ortodoncia, especialidad que no ha cambiado mucho en los ...
El Profesor David Suárez Quintanilla, una de las máximas autoridades de la Ortodoncia a nivel mundial y creador de la Técnica SWLF, critica duramente ...
Los autores abordan en este artículo uno de los grandes retos de la Ortodoncia: cómo mantener la estabilidad y la retención de los resultados tras el ...
En la última década, la competencia de un profesional de la odontología se ha visto estrechamente vinculada a su capacidad de adaptación ante el ...
La importancia de la leche materna para el desarrollo del bebé ha sido bien establecida. En un estudio reciente, los investigadores analizaron dientes ...
El Dr. Joaquín Ariza, creador junto con su grupo de estudio en Bogotá de un sistema de ortodoncia mínimamente invasivo a base de minitubos, afirma que se...
Nuestro colaborador Moacyr Menéndez te explica cuáles son y para qué sirven las aplicaciones más destacadas de la Inteligencia Artificial para que ...
COPENHAGUE, DINAMARCA: Los escáneres tridimensionales permiten tomar impresiones digitales que eliminan este proceso manual, creando un archivo ...
“La Evolución Tecnológica en la Implantología Oral” es el tema que explorará la 35 Reunión Anual de la Academia de Oseointegración (AO), que se ...
Dental Tribune visitó las nuevas instalaciones del Postgrado de Ortodoncia de la Universidad de Santiago de Compostela (USC) que dirige el experto David ...
Webinars en vivo
mar. 19 de mayo 2026
9:00 CST (Mexico City)
Webinars en vivo
mar. 19 de mayo 2026
11:00 CST (Mexico City)
Prof. Dr. med. dent. Ivo Krejci
Webinars en vivo
mié. 20 de mayo 2026
5:00 CST (Mexico City)
Dr. Graham Carmichael BDSc (Hons), DClinDent (Pros), FRACDS, Dr. Robert Gottlander DDS
Webinars en vivo
mié. 20 de mayo 2026
7:00 CST (Mexico City)
Webinars en vivo
mié. 20 de mayo 2026
9:00 CST (Mexico City)
Webinars en vivo
mié. 20 de mayo 2026
11:00 CST (Mexico City)
Prof. Dr. med. dent. Tim Joda PhD, MSc, eMBA
Webinars en vivo
jue. 21 de mayo 2026
10:00 CST (Mexico City)
Dr. Leonardo Muniz DDS, MSC
To post a reply please login or register