Search Dental Tribune

Estética y blanqueamiento dental en la era digital (Capítulo 14)

Figura 1. Comienzo de la preparación de la cara vestibular para una carilla cerámica.
Sebastián Ignacio Costa, Sergio Gustavo Kohen

Sebastián Ignacio Costa, Sergio Gustavo Kohen

lun. 4 noviembre 2024

guardar

Este capítulo del libro “Estética y blanqueamiento dental en la era digital”, de Sergio Kohen, Agustín Varas y Enrique Jadad, ofrece una visión general acerca de los fundamentos y aplicación de las carillas adhesivas, sus ventajas, desventajas, materiales, preparaciones y mantenimiento.

Capítulo 14. Carillas estéticas de cerámica adheridas

Las carillas adhesivas o frentes estéticos son restauraciones parciales que pueden cubrir la superficie vestibular hasta el borde incisal, y en determinados casos, proximales y parte de la cara palatina de las piezas dentarias anteriores. En ciertas situaciones, pueden alcanzar incluso el área de premolares.

Estos recubrimientos parciales construidos de material cerámico, basan sus principios de fijación en procedimientos clínicos y técnicas adhesivas muy minuciosas y sensibles, pero también muy seguras y confiables si se realizan con los conocimientos y manejo adecuados, en función del diagnóstico y pronóstico de cada situación clínica en particular. De esta manera, el blanqueamiento y las carillas se presentan como alternativas de trabajo viables, que nos conducen hacia el logro de la “armonía estética”.

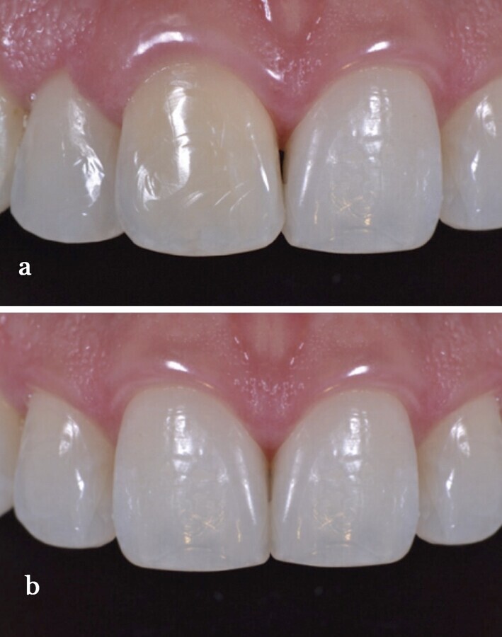
Figura 2. Preoperatorio (a) y postoperatorio (b) de una carilla cerámica en el diente 1.1, donde el blanqueamiento no fue suficiente para lograr la armonía óptica de la pieza.

Se pueden lograr carillas con un espesor de capa muy fino y que presenten excelentes efectos ópticos, utilizando una cerámica convencional. Sin embargo, lograr un balance apropiado entre el nivel necesario de opacidad y translucidez es muy difícil para las cerámicas convencionales, debido fundamentalmente al espesor de capa tan delgado. Este concepto actual de belleza que contempla parámetros específicos, con altos niveles de exigencia, representa un desafío muy importante en la Odontología contemporánea.

El blanqueamiento y las carillas se presentan como alternativas de trabajo viables, que nos conducen hacia el logro de la “armonía estética”.

En cuanto a la relación de las carillas cerámicas estéticas y su relación con el blanqueamiento, se pueden mencionar como indicaciones: cuando el blanqueamiento no logra los resultados deseados por alteraciones severas de color (tetraciclinas, fluorosis graves, hipoplasias); cuando el blanqueamiento está contraindicado; cuando combinamos el blanqueamiento con el empleo de carillas adhesivas; o ante la presencia de alteraciones de forma hereditarias y/o adquiridas. Se describen también las limitaciones en este tipo de tratamiento, ya sea por factores relacionados al paciente (bruxismo, hábitos lesivos, bulimia), como por factores relacionados a la pieza dentaria.

Se detallan las características de la técnica de carillas indirectas, desde su proceso de elaboración (estratificada, inyectada o maquinada) y los criterios de selección y se describen en forma minuciosa la técnica operatoria para la preparación dentaria con todas sus variantes clínicas (los distintos tipos de preparaciones) e indicaciones.

Como toda técnica adhesiva, es fundamental la preparación de los sustratos con el tratamiento tanto de la superficie dentaria como de la carilla (acondicionamiento ácido de la superficie cerámica) y el conocimiento de los materiales adhesivos que se van a utilizar. En este capítulo se analizan los distintos materiales que existen en la actualidad y la indicación de cada uno: los sistemas adhesivos, los sistemas cementantes y las resinas de fijación.

Portada del libro "Estética y blanqueamiento dental en la era digital", que ofrece respuestas clínicas basadas en años de investigación.
Toque en la imagen para adquirir el libro.

Se analizan los nuevos sistemas adhesivos universales, sus requerimientos y propiedades, así como la importancia del correcto uso de la unidad de fotopolimerización. También se hace referencia al mantenimiento de este tipo de carillas, su reparación y se hace una comparación con las carillas de composite como alternativa terapéutica.

También se hace un análisis bibliográfico de la longevidad de este tipo de restauraciones, tema que suele presentarse siempre en la consulta. Si bien el pronóstico de la mayoría de las restauraciones odontológicas depende de muchas variables como el diagnóstico, la oclusión, la dieta, las preparaciones dentarias, el mantenimiento, este tipo de restauraciones indirectas pueden ser predecibles a mediano plazo cuando se respetan los protocolos técnicos y clínicos oclusales y preventivos.

Conclusión

A la luz de la evidencia científica y del comportamiento de este sistema restaurador a través de los años, el uso de carillas estéticas representa un recurso muy útil. En casos donde no es posible obtener el color deseado con el blanqueamiento, si bien requiere una mínima preparación dentaria, con el uso de protocolos adhesivos correctos y minuciosos, el pronóstico asegura un excelente recurso estético ante muchas situaciones de desarmonías de color y forma.

NOTA: Ver el próximo lunes el Capítulo 15: Aclaramiento dental durante la ortodoncia.

 

Autores

Sebastián Ignacio Costa es Profesor Regular Adjunto; Cátedra de Odontología Integral Adultos, FOUBA, Doctor en Odontología (PhD) por la Universidad de Buenos Aires en el área de materiales dentales y rehabilitación oral, Especialista en Periodoncia, Implantología y Diagnóstico por imágenes; Facultad de Odontología, UBA.

Sergio Gustavo Kohen es Doctor en Odontología, Profesor Adjunto, Cátedra de Odontología Integral Adultos; Facultad de Odontología UBA, Docente autorizado de la Facultad de Odontología de la Universidad de Buenos Aires, Profesor de postgrado de la Universidad del Salvador y AOA.

 

 

_____________________________________________________________________________

Para adquirir el libro en Latinoamérica hacer clic aquí. 

_____________________________________________________________________________

 

Serie de artículos del libro "Estética y blanqueamiento dental en la era digital"

Dental Tribune ofrece en abierto con acceso libre los primeros seis artículos de este libro. Para ver los demás artículos, por favor inscríbase para recibir nuestra Newsletter, un servicio que le ofrecemos de forma gratuita.

 

Capítulo 1. La estética del color dentario

Descripción de los distintos métodos para evaluar el color de los dientes, de gran importancia para realizar restauraciones imperceptibles ...  Ver más

 

Capítulo 2. Las alteraciones de color dental

Un correcto diagnóstico etiológico de cada paciente es fundamental para el éxito del tratamiento blanqueador ...  Ver más

 

Capítulo 3. Agentes blanqueadores y mecanismos de acción

Cada agente blanqueador es descrito en detalle, así como sus características diferenciales y sus distintas formas de comercialización ...  Ver más

 

Capítulo 4. El blanqueamiento externo

Pasos clínicos de cada técnica, precauciones y pronóstico de cada una y los distintos productos ...  Ver más

 

Capítulo 5. Blanqueamiento externo profesional

Una correcta técnica de blanqueamiento profesional incluye fotografías previas y registro del color inicial, higiene de ... Ver más

 

Capítulo 6. La técnica de la microabrasión

Se describen la técnica operatoria correcta de la microabrasión y las recomendaciones clínicas para un procedimiento más ...  Ver más

 

Suscríbase gratis haciendo clic aquí para ver los demás capítulos del libro

 

Capítulo 7. Blanqueamiento interno de dientes no vitales

La probabilidad de que este tratamiento produzca reabsorción radicular externa es cada vez más lejana si se ... Suscríbase gratis

Capítulo 8. Blanqueamiento de dientes calcificados

Las alternativas son el blanqueamiento externo en piezas vitales y no vitales, y/o el blanqueamiento interno de ... Suscríbase gratis

Capítulo 9. Aclaramiento y mantenimiento

Los resultados del blanqueamiento dental pueden cambiar a través del tiempo, por lo que es importante incluir un ... Suscríbase gratis

Capítulo 10. Efectos de los peróxidos sobre los tejidos dentarios y biomateriales

Se analizan los efectos de los materiales blanqueadores sobre el esmalte y la dentina, sobre la pulpa y sobre distintos ... Suscríbase gratis

Capítulo 11. La hipersensibilidad dentinaria

El tratamiento requiere identificar los signos, descartar otras causas, educar sobre las técnicas correctas de cuidado oral y ... Suscríbase gratis

Capítulo 12. Diseño Digital de la Sonrisa

El DSD combina la tecnología digital con los principios estéticos y funcionales de la odontología para crear un diseño personalizado de ... Suscríbase gratis

Capítulo 13. La Odontología Digital

El flujo de trabajo digital se utiliza para el diagnóstico, la planificación, y el tratamiento involucra estos tres procesos ... Suscríbase gratis

Capítulo 14. Carillas estéticas de cerámica

Las carillas son alternativas de trabajo viables, que nos conducen hacia la “armonía estética”, pero que ... Suscríbase gratis

Capítulo 15. Aclaramiento dental durante la ortodoncia

En este tratamiento se deben utilizar agentes aclaradores con bajas concentraciones, que minimizan el riesgo de ... Suscríbase gratis

Capítulo 16. Ortodoncia con alineadores

Es aconsejable no realizar el blanqueamiento en los inicios de la ortodoncia, ya que el movimiento dentario muchas veces ... Suscríbase gratis

Capítulo 17. Blanqueamiento y rehabilitación integral

Para obtener los mejores resultados estéticos, la oportunidad de realizar una rehabilitación prostética debe ser ... Suscríbase gratis

Capítulo 18. Comunicación y marketing

Este capítulo ofrece consejos para promocionar la clínica dental y explica el futuro de ... Suscríbase gratis

Capítulo 20. Consideraciones legales

Antes de comenzar un tratamiento estético, todos los procedimientos clínicos deben estar totalmente claros para el paciente ... Suscríbase gratis

Capítulo 21. Inteligencia Artificial y su aplicación odontología estética

Los escáneres faciales permiten crear modelos digitales precisos de la cara del paciente y su dentadura que se utilizan para ... Suscríbase gratis

Suscríbase gratis haciendo clic aquí para ver todos los capítulos del libro

 

 

Nota editorial:

Este resumen de “Estética y blanqueamiento dental en la era digital” se publica con la autorización de la editorial del libro.

 

MAS SERIES DE ARTICULOS

 

• Edición Especial sobre Odontogeriatría
• Edición Especial sobre Láser en Odontología
• Edición Especial sobre Cirugía Piezoeléctrica
To post a reply please login or register
advertisement
advertisement