Search Dental Tribune

Estética y blanqueamiento dental en la era digital (Capítulo 16)

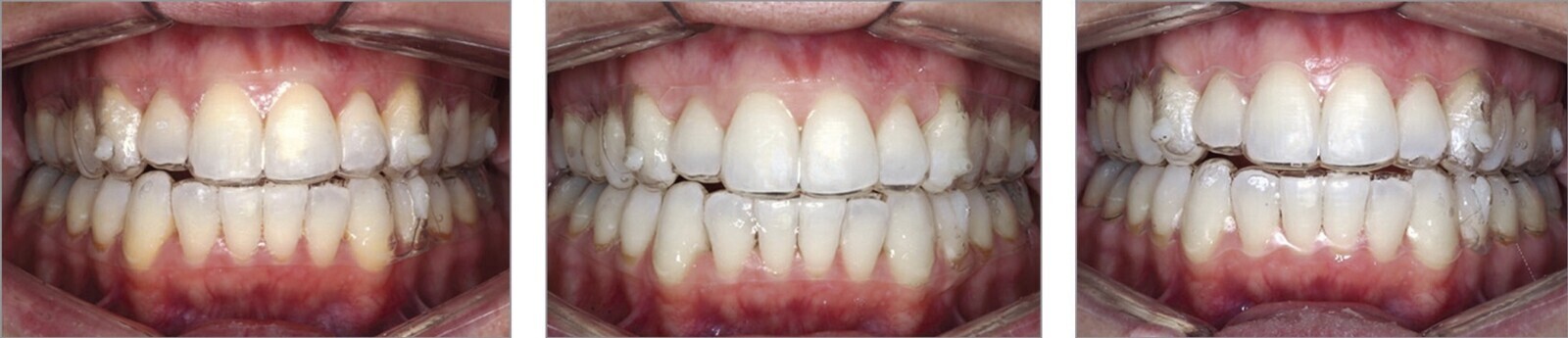
Figura 1. Imagen intraoral de terapia ortodóntica con el alineador n° 11, combinada con un gel de blanqueamiento.
Natalia Iacovino

Natalia Iacovino

lun. 18 noviembre 2024

guardar

Esta sección del libro “Estética y blanqueamiento dental en la era digital”, de Sergio Kohen, Agustín Varas y Enrique Jadad, describe las ventajas de la terapia combinada de alineadores y blanqueamiento dental, un tratamiento que es muchas veces preferido a los brackets entre los pacientes adultos.

Capítulo 16. Ortodoncia con alineadores y blanqueamiento

Durante muchos años, los tratamientos de ortodoncia estaban limitados a niños y adolescentes. En la actualidad, esto ya no es así y se ha vuelto habitual que los pacientes adultos reciban tratamientos de ortodoncia, que se ha convertido en el procedimiento estético de elección en los últimos años.

El desarrollo tecnológico, no solo en la composición de los materiales sino también en el diseño de brackets y arcos, permite realizar tratamientos de ortodoncia en estos pacientes. Brackets de autoligado de baja fricción y/o con bases customizadas, arcos superelásticos de níquel, titanio y cobre o de biopolímeros permiten ejercer fuerzas ortodóncicas suaves que no ponen límite de edad al tratamiento de nuestros pacientes.

Es aconsejable no realizar el blanqueamiento en los inicios de la ortodoncia, ya que el movimiento dentario muchas veces produce molestias que son comunes al proceso de remodelación ósea.

Actualmente, una gran parte de la población adulta no está dispuesta a llevar brackets, no sólo por razones estéticas, sino también por comodidad para comer e higienizarse. La creciente demanda de tratamientos de ortodoncia con alineadores se debe principalmente a los beneficios de este tipo de aparatología.

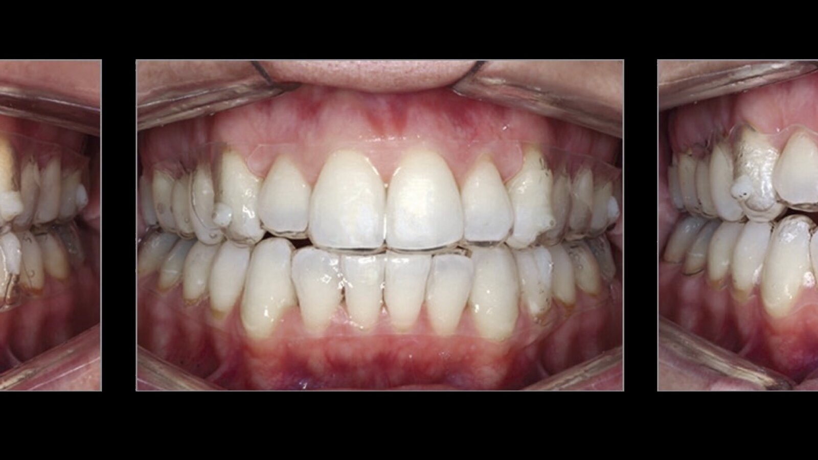
Figura 2. Fotos intraorales utilizando (de izquierda a derecha) las últimas secuencias de alineadores (n° 10, n° 11 y n° 12, respectivamente), tratamiento combinado con el uso de gel para blanqueamiento.

Los alineadores son unas férulas transparentes personalizadas que se adaptan a la morfología dentaria y son los encargados de realizar los movimientos buscados en el tratamiento de ortodoncia.

Portada del libro "Estética y blanqueamiento dental en la era digital", que ofrece respuestas clínicas basadas en años de investigación.
Toque en la imagen para adquirir el libro.

El proceso comienza con la impresión de los arcos dentarios utilizando un escáner intraoral. Continúa con la alineación dentaria utilizando un software de diseño 3D, siguiendo las indicaciones del ortodoncista. Una vez realizado el set-up de forma digital, se debe materializar esa secuencia de movimientos mediante la impresión de los modelos en una impresora 3D. Por último, sobre cada modelo 3D se termoforman los alineadores a partir de una placa de poliuretano. Cada alineador tendrá un pequeño movimiento dentario, de modo que la sucesión de alineadores completará la alineación dental buscada.

La relación entre alineadores y blanqueamiento es muy efectiva porque las cubetas ya estaban hechas (los alineadores mismos) y entonces solo era necesario proporcionar a los pacientes algunas jeringas de peróxido de carbamida para complementar los dos tratamientos. Esa tendencia, cada vez más común, de alinear y blanquear los dientes simultáneamente generó la necesidad de formalizar el método, con los productos y protocolos apropiados.

Es aconsejable no realizar el blanqueamiento en los inicios de la ortodoncia, ya que el movimiento dentario muchas veces produce molestias que son comunes al proceso de remodelación ósea. Si a esta instancia le sumamos la sensibilidad dental que puede ocurrir por el gel, es posible que el paciente no use los alineadores debidamente y que el tratamiento no sea satisfactorio. Otra variable a tener en cuenta es la desalineación de las piezas dentarias. Muchas veces, en casos de apiñamiento, la superposición de un diente sobre otro puede imposibilitar el íntimo contacto del gel de blanqueamiento sobre los dientes, resultando en un efecto blanqueador irregular.

Está demostrado que no hay diferencia significativa en el efecto blanqueador cuando los alineadores tenían reservorios o sin ellos. Esto tiene particular relevancia clínica que lleva a pensar que el blanqueamiento ambulatorio en la última etapa del tratamiento con alineadores puede resultar un tratamiento efectivo y seguro.

Conclusión

La ortodoncia combinada con el blanqueamiento, nos permite devolver estética en forma conservadora, ya que no se alteran estructuras dentarias. Entre los beneficios de combinar alineadores y blanqueamiento ambulatorio, podemos remarcar la optimización del tiempo de tratamiento y la disminución en los costos.

NOTA: Ver el próximo lunes el Capítulo 17: Blanqueamiento y rehabilitación integral.

Autor

Natalia Iacovino, Especialista en Ortodoncia y Ortopedia Funcional de los Maxilares. Docente de la Cátedra Odontología Integral Adultos; Facultad de Odontología, UBA. Miembro de la European Aligner Society y de la Sociedad Española de Alineadores.

_____________________________________________________________________________

Para adquirir el libro en Latinoamérica hacer clic aquí. 

_____________________________________________________________________________

 

Serie de artículos del libro "Estética y blanqueamiento dental en la era digital"

Dental Tribune ofrece en abierto con acceso libre los primeros seis artículos de este libro. Para ver los demás artículos, por favor inscríbase para recibir nuestra Newsletter, un servicio que le ofrecemos de forma gratuita.

 

Capítulo 1. La estética del color dentario

Descripción de los distintos métodos para evaluar el color de los dientes, de gran importancia para realizar restauraciones imperceptibles ...  Ver más

 

Capítulo 2. Las alteraciones de color dental

Un correcto diagnóstico etiológico de cada paciente es fundamental para el éxito del tratamiento blanqueador ...  Ver más

 

Capítulo 3. Agentes blanqueadores y mecanismos de acción

Cada agente blanqueador es descrito en detalle, así como sus características diferenciales y sus distintas formas de comercialización ...  Ver más

 

Capítulo 4. El blanqueamiento externo

Pasos clínicos de cada técnica, precauciones y pronóstico de cada una y los distintos productos ...  Ver más

 

Capítulo 5. Blanqueamiento externo profesional

Una correcta técnica de blanqueamiento profesional incluye fotografías previas y registro del color inicial, higiene de ... Ver más

 

Capítulo 6. La técnica de la microabrasión

Se describen la técnica operatoria correcta de la microabrasión y las recomendaciones clínicas para un procedimiento más ...  Ver más

 

Suscríbase gratis haciendo clic aquí para ver los demás capítulos del libro

 

Capítulo 7. Blanqueamiento interno de dientes no vitales

La probabilidad de que este tratamiento produzca reabsorción radicular externa es cada vez más lejana si se ... Suscríbase gratis

Capítulo 8. Blanqueamiento de dientes calcificados

Las alternativas son el blanqueamiento externo en piezas vitales y no vitales, y/o el blanqueamiento interno de ... Suscríbase gratis

Capítulo 9. Aclaramiento y mantenimiento

Los resultados del blanqueamiento dental pueden cambiar a través del tiempo, por lo que es importante incluir un ... Suscríbase gratis

Capítulo 10. Efectos de los peróxidos sobre los tejidos dentarios y biomateriales

Se analizan los efectos de los materiales blanqueadores sobre el esmalte y la dentina, sobre la pulpa y sobre distintos ... Suscríbase gratis

Capítulo 11. La hipersensibilidad dentinaria

El tratamiento requiere identificar los signos, descartar otras causas, educar sobre las técnicas correctas de cuidado oral y ... Suscríbase gratis

Capítulo 12. Diseño Digital de la Sonrisa

El DSD combina la tecnología digital con los principios estéticos y funcionales de la odontología para crear un diseño personalizado de ... Suscríbase gratis

Capítulo 13. La Odontología Digital

El flujo de trabajo digital se utiliza para el diagnóstico, la planificación, y el tratamiento involucra estos tres procesos ... Suscríbase gratis

Capítulo 14. Carillas estéticas de cerámica

Las carillas son alternativas de trabajo viables, que nos conducen hacia la “armonía estética”, pero que ... Suscríbase gratis

Capítulo 15. Aclaramiento dental durante la ortodoncia

En este tratamiento se deben utilizar agentes aclaradores con bajas concentraciones, que minimizan el riesgo de ... Suscríbase gratis

Capítulo 16. Ortodoncia con alineadores

Es aconsejable no realizar el blanqueamiento en los inicios de la ortodoncia, ya que el movimiento dentario muchas veces ... Suscríbase gratis

Capítulo 17. Blanqueamiento y rehabilitación integral

Para obtener los mejores resultados estéticos, la oportunidad de realizar una rehabilitación prostética debe ser ... Suscríbase gratis

Capítulo 18. Comunicación y marketing

Este capítulo ofrece consejos para promocionar la clínica dental y explica el futuro de ... Suscríbase gratis

Capítulo 20. Consideraciones legales

Antes de comenzar un tratamiento estético, todos los procedimientos clínicos deben estar totalmente claros para el paciente ... Suscríbase gratis

Capítulo 21. Inteligencia Artificial y su aplicación odontología estética

Los escáneres faciales permiten crear modelos digitales precisos de la cara del paciente y su dentadura que se utilizan para ... Suscríbase gratis

Suscríbase gratis haciendo clic aquí para ver todos los capítulos del libro

 

 

Nota editorial:

Este resumen de “Estética y blanqueamiento dental en la era digital” se publica con la autorización de la editorial del libro.

 

MAS SERIES DE ARTICULOS

 

• Edición Especial sobre Odontogeriatría
• Edición Especial sobre Láser en Odontología
• Edición Especial sobre Cirugía Piezoeléctrica
To post a reply please login or register
advertisement
advertisement