Search Dental Tribune

Estética y blanqueamiento dental en la era digital (Capítulo 17)

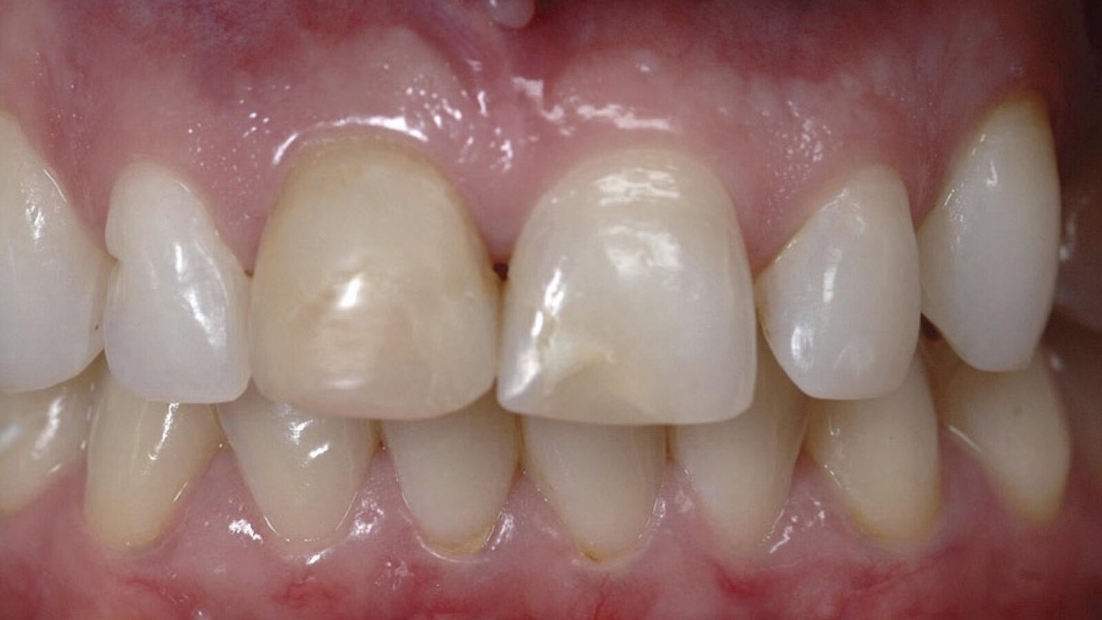
Figura 1. Caso clínico de un paciente joven con el primer bloque de atención terminado con serias anomalías de color en los incisivos centrales por traumatismos antiguos.
Sergio Kohen, Pablo Varas

Sergio Kohen, Pablo Varas

lun. 25 noviembre 2024

guardar

El décimoséptimo capítulo del libro “Estética y blanqueamiento dental en la era digital”, de Sergio Kohen, Agustín Varas y Enrique Jadad, explica la estrategia para ubicar el blanqueamiento dentro de un plan de tratamiento y presenta diagramas de flujo para determinar la etapa clínica más adecuada para realizarlo.

Capítulo 17. Blanqueamiento y rehabilitación integral

En la actualidad, el blanqueamiento contribuye en forma destacada a la rehabilitación estética integral. En muchas circunstancias, tanto el odontólogo como el paciente manifiestan la inquietud de conocer cuál es el momento adecuado para realizar el blanqueamiento dentro del plan rehabilitador integral. Muchas veces, por lógica, se sugiere realizarlo antes de cualquier tipo de prótesis para asegurar que el color de ésta se ajuste al logrado por el blanqueamiento previo. Sin embargo, ante la multiplicidad de tratamientos posibles resulta importante analizar en forma separada cada tratamiento rehabilitador para ubicar el blanqueamiento de manera adecuada y práctica.

Figura 2. Diagnóstico y planificación del tratamiento blanqueador.

En la odontología restauradora y preventiva actual podemos dividir la estrategia de tratamiento en tres pasos o etapas bien definidas: Diagnóstico integral y personalizado; primer bloque de atención, y segundo bloque de atención. En el primer bloque de atención realizaremos todas las especialidades básicas con el objetivo de lograr el control de las infecciones prevalentes, como el tratamiento inicial de las maloclusiones y áreas edéntulas, con el abordaje de diferentes especialidades. En el segundo bloque de atención integramos los tratamientos rehabilitadores con el uso de prótesis e implantes hasta llegar al alta integral del paciente.

Portada del libro "Estética y blanqueamiento dental en la era digital", que ofrece respuestas clínicas basadas en años de investigación.
Toque en la imagen para adquirir el libro.

Para lograr ubicar la oportunidad del blanqueamiento dentro de un plan de tratamiento existen pautas básicas para tener en cuenta como requisitos indispensables. El más importante es lograr un estado gingivo-periodontal saludable. De la misma forma, resulta indispensable el tratamiento de las caries o lesiones abiertas o expuestas, ya que los peróxidos tienen un bajo peso molecular y tiene gran penetración a través de la dentina o cemento expuesto produciendo gran sensibilidad. Entonces, podríamos claramente tener la primera premisa, que es realizar el blanqueamiento con el primer bloque de atención terminado. Existe una excepción que puede ser la realización de un blanqueamiento interno dentro del primer bloque de atención como parte de los complementos de la operatoria dental conservadora. También es posible la realización de un blanqueamiento externo en el segundo bloque de atención como complemento del tratamiento estético de prótesis fijas y removibles.

La oportunidad de realizar una rehabilitación prostética debe ser analizada en la etapa diagnóstica del plan de tratamiento integral para obtener los mejores resultados estéticos.

En cuanto a la inserción de los tratamientos de blanqueamiento dentro del segundo bloque de atención, en este capítulo se analizan las distintas variables ante los casos de rehabilitación con prótesis fijas, removibles o prótesis sobre implantes para una optimización de los tiempos y del tratamiento integral del paciente.

Independientemente de la etapa en la que sea realizado el tratamiento blanqueador, resulta conveniente realizar un plan de tratamiento con flujos y variables singulares dependiente de cada caso en particular; en este capítulo se presentan ejemplos de diagramas de flujo.

Tanto el blanqueamiento profesional como el ambulatorio representan una alternativa interesante y segura para incluirlas como técnicas de tratamiento estético conservador en una gran cantidad de casos en los cuales podrían reemplazar técnicas invasivas. La oportunidad y secuencia de uso en un plan de rehabilitación prostético debe ser analizada en la etapa de diagnóstico dentro del plan de tratamiento integral, como parte de la secuencia adecuada y lógica para la obtención de los mejores resultados estéticos con criterios racionales.

Conclusión

La inserción del blanqueamiento dentro de un plan de rehabilitación integral debería ser incorporada luego del primer bloque de atención cuando los tejidos gingivo-periodontales se encuentran normalizados. En el caso del blanqueamiento interno, puede realizarse dentro del primer bloque de atención junto con las operatorias y endodoncias. También se puede realizar en el segundo bloque simultáneo a la rehabilitación protética, o bien en el período de espera de la osteointegración en el caso de implantes.

NOTA: Ver el próximo lunes el Capítulo 18: Comunicación y marketing en odontología estética.

 

Autores

Pablo Agustín Varas, Especialista en Prostodoncia; y en Operatoria y Estética Dental, FOUBA. Jefe de Trabajos Prácticos de la Cátedra de Odontología Integral Adultos; Facultad de Odontología, UBA. Prof. Adjunto, Cátedra de Operatoria Dental, Pontificia Universidad Católica Argentina.

Sergio Gustavo Kohen, Doctor en Odontología.Profesor Adjunto, Cátedra de Odontología Integral Adultos; Facultad de Odontología UBA. Docente autorizado de la Facultad de Odontología de la Universidad de Buenos Aires. Profesor de post grado de la Universidad del Salvador y AOA.

_____________________________________________________________________________

Para adquirir el libro en Latinoamérica hacer clic aquí. 

_____________________________________________________________________________

 

Serie de artículos del libro "Estética y blanqueamiento dental en la era digital"

Dental Tribune ofrece en abierto con acceso libre los primeros seis artículos de este libro. Para ver los demás artículos, por favor inscríbase para recibir nuestra Newsletter, un servicio que le ofrecemos de forma gratuita.

 

Capítulo 1. La estética del color dentario

Descripción de los distintos métodos para evaluar el color de los dientes, de gran importancia para realizar restauraciones imperceptibles ...  Ver más

 

Capítulo 2. Las alteraciones de color dental

Un correcto diagnóstico etiológico de cada paciente es fundamental para el éxito del tratamiento blanqueador ...  Ver más

 

Capítulo 3. Agentes blanqueadores y mecanismos de acción

Cada agente blanqueador es descrito en detalle, así como sus características diferenciales y sus distintas formas de comercialización ...  Ver más

 

Capítulo 4. El blanqueamiento externo

Pasos clínicos de cada técnica, precauciones y pronóstico de cada una y los distintos productos ...  Ver más

 

Capítulo 5. Blanqueamiento externo profesional

Una correcta técnica de blanqueamiento profesional incluye fotografías previas y registro del color inicial, higiene de ... Ver más

 

Capítulo 6. La técnica de la microabrasión

Se describen la técnica operatoria correcta de la microabrasión y las recomendaciones clínicas para un procedimiento más ...  Ver más

 

Suscríbase gratis haciendo clic aquí para ver los demás capítulos del libro

 

Capítulo 7. Blanqueamiento interno de dientes no vitales

La probabilidad de que este tratamiento produzca reabsorción radicular externa es cada vez más lejana si se ... Suscríbase gratis

Capítulo 8. Blanqueamiento de dientes calcificados

Las alternativas son el blanqueamiento externo en piezas vitales y no vitales, y/o el blanqueamiento interno de ... Suscríbase gratis

Capítulo 9. Aclaramiento y mantenimiento

Los resultados del blanqueamiento dental pueden cambiar a través del tiempo, por lo que es importante incluir un ... Suscríbase gratis

Capítulo 10. Efectos de los peróxidos sobre los tejidos dentarios y biomateriales

Se analizan los efectos de los materiales blanqueadores sobre el esmalte y la dentina, sobre la pulpa y sobre distintos ... Suscríbase gratis

Capítulo 11. La hipersensibilidad dentinaria

El tratamiento requiere identificar los signos, descartar otras causas, educar sobre las técnicas correctas de cuidado oral y ... Suscríbase gratis

Capítulo 12. Diseño Digital de la Sonrisa

El DSD combina la tecnología digital con los principios estéticos y funcionales de la odontología para crear un diseño personalizado de ... Suscríbase gratis

Capítulo 13. La Odontología Digital

El flujo de trabajo digital se utiliza para el diagnóstico, la planificación, y el tratamiento involucra estos tres procesos ... Suscríbase gratis

Capítulo 14. Carillas estéticas de cerámica

Las carillas son alternativas de trabajo viables, que nos conducen hacia la “armonía estética”, pero que ... Suscríbase gratis

Capítulo 15. Aclaramiento dental durante la ortodoncia

En este tratamiento se deben utilizar agentes aclaradores con bajas concentraciones, que minimizan el riesgo de ... Suscríbase gratis

Capítulo 16. Ortodoncia con alineadores

Es aconsejable no realizar el blanqueamiento en los inicios de la ortodoncia, ya que el movimiento dentario muchas veces ... Suscríbase gratis

Capítulo 17. Blanqueamiento y rehabilitación integral

Para obtener los mejores resultados estéticos, la oportunidad de realizar una rehabilitación prostética debe ser ... Suscríbase gratis

Capítulo 18. Comunicación y marketing

Este capítulo ofrece consejos para promocionar la clínica dental y explica el futuro de ... Suscríbase gratis

Capítulo 20. Consideraciones legales

Antes de comenzar un tratamiento estético, todos los procedimientos clínicos deben estar totalmente claros para el paciente ... Suscríbase gratis

Capítulo 21. Inteligencia Artificial y su aplicación odontología estética

Los escáneres faciales permiten crear modelos digitales precisos de la cara del paciente y su dentadura que se utilizan para ... Suscríbase gratis

Suscríbase gratis haciendo clic aquí para ver todos los capítulos del libro

 

 

Nota editorial:

Este resumen de “Estética y blanqueamiento dental en la era digital” se publica con la autorización de la editorial del libro.

 

MAS SERIES DE ARTICULOS

 

• Edición Especial sobre Odontogeriatría
• Edición Especial sobre Láser en Odontología
• Edición Especial sobre Cirugía Piezoeléctrica
To post a reply please login or register
advertisement
advertisement