Search Dental Tribune

Estética y blanqueamiento dental en la era digital (Capítulo 7)

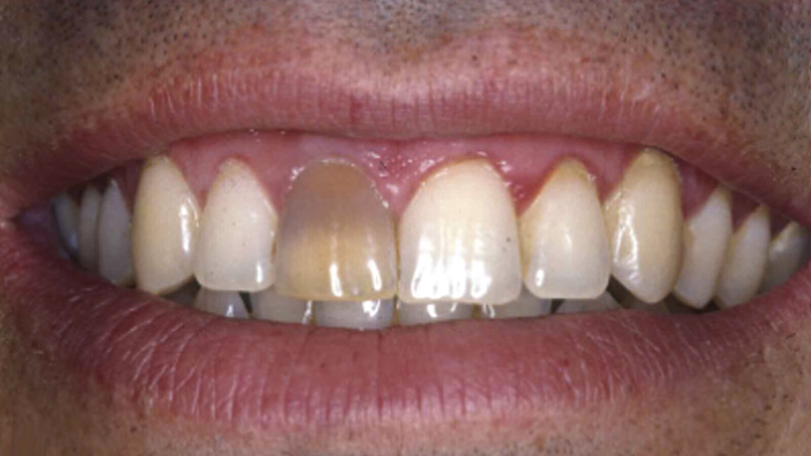
Severa alteración de color en un diente anterosuperior, que el autor trató mediante blanqueamiento dental.
Sergio Kohen, Carla de Franceschi y Guillermo

Sergio Kohen, Carla de Franceschi y Guillermo

lun. 16 septiembre 2024

guardar

Los autores explican en este capítulo del libro “Estética y blanqueamiento dental en la era digital”, que el aclaramiento de dientes no vitales es una técnica segura y predecible, siempre que se realice el diagnóstico adecuado, se tomen las precauciones necesarias y se utilice la técnica de tratamiento que ofrezca las mayores ventajas para cada caso individual.

Capítulo 7. Blanqueamiento (interno) de dientes no vitales

Las alteraciones de color originadas en decoloraciones dentinarias ocasionan una desarmonía óptica difícil de solucionar con un tratamiento conservador. Antiguamente, los dientes que presentaban anomalías de color se corregían mediante técnicas invasivas tales como el desgaste de tejido y la posterior reconstrucción a través de procedimientos directos o indirectos, lo cual comprometía el pronóstico y ponía en riesgo la viabilidad de la pieza a largo plazo. El camino más conservador actualmente es el del blanqueamiento dental interno. No obstante, antes de realizar un blanqueamiento en un diente desvitalizado, es preciso constatar si éste es el tratamiento más indicado. Un diente que ha recibido un tratamiento endodóntico, y que presenta una alteración de color, no lo convierte en un candidato inmediato para el blanqueamiento interno. Es necesario saber por qué ocurrió la alteración de color y si es posible corregir esas fallas antes de iniciar el tratamiento blanqueador.

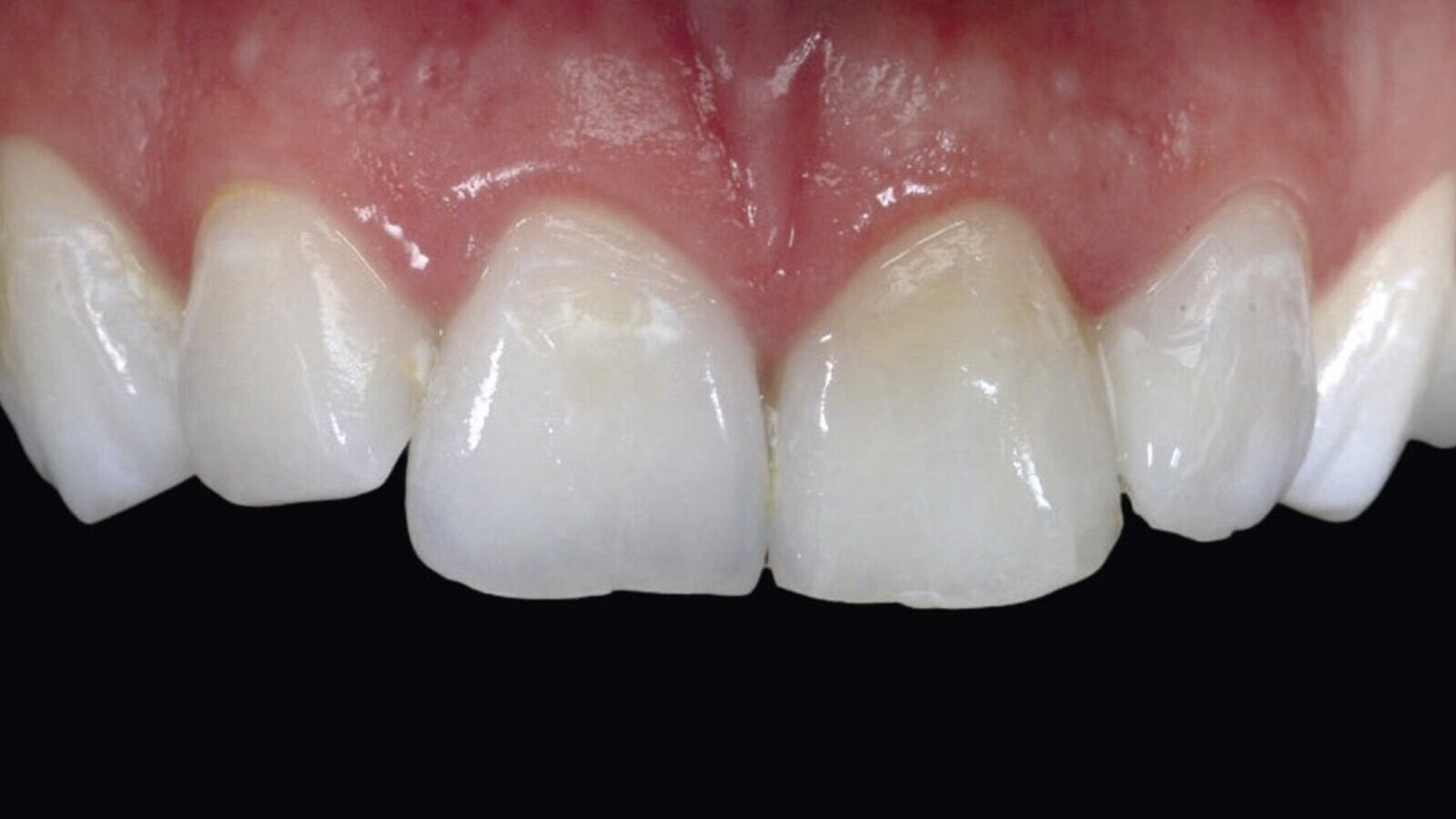
Figura 1A. Desarmonía óptica visible en el diente 1.1.

 

Figura 1B. La desarmonía de la imagen superior fue solucionada mediante un tratamiento de blanqueamiento combinado.

Antes de intentar corregir una alteración de color en un diente endodónticamente tratado, el profesional debe tener bien claros los siguientes tres puntos:

1) Diagnóstico de la etiología de la alteración de color y localización de los agentes pigmentantes en la pieza dentaria a tratar;

2) Plan de tratamiento a seguir, y,

3) Pronóstico.

Es fundamental informar al paciente de estos tres factores antes de iniciar el tratamiento, teniendo en cuenta que no deben prometerse resultados estéticos, ya que una mejoría sustancial del color dentario puede o no ocurrir.

Portada del libro "Estética y blanqueamiento dental en la era digital", que ofrece respuestas clínicas basadas en años de investigación.
Toque en la imagen para adquirir el libro.

El diagnóstico nos puede indicar que la alteración de color esté relacionada o no con una hemorragia pulpar o relacionadas con una iatrogenia. En este capítulo del libro se describen estas situaciones ya que es de vital importancia poder reconocerlas antes de iniciar el tratamiento. A partir de este reconocimiento se puede plantear el plan de tratamiento sabiendo las indicaciones y contraindicaciones de cada uno.

Si bien existen distintas técnicas de blanqueamiento interno, existen procedimientos que son comunes en todas ellas. El más importante es el aislamiento o sellado del conducto radicular para evitar el traspaso de los agentes blanqueadores al espacio periodontal o a la profundidad del canal radicular. Es un paso fundamental para llevar a cabo cualquier técnica y se detalla a lo largo del capítulo.

La probabilidad de que un tratamiento de blanqueamiento interno produzca reabsorción radicular externa es cada vez más lejana si se toman las precauciones necesarias.

El blanqueamiento interno puede llevarse a cabo tanto de manera ambulatoria como en el consultorio.

La técnica ambulatoria más utilizada es la técnica intracameral mediata o walking bleach, que consiste en preparar el agente blanqueador según las indicaciones del fabricante y colocarlo dentro de la cámara pulpar. Se sugiere mezclar el perborato de sodio con peróxido de carbamida al 10% o mezclar el perborato de sodio con agua destilada para disminuir el riesgo de reabsorciones dentinarias externas. Se deja actuar el agente (generalmente por una semana) y se cambia el agente blanqueador hasta conseguir el resultado deseado. En ese momento se debe eliminar el agente blanqueador y diferir una semana la colocación de la restauración definitiva. Es necesario esperar por lo menos 7 días para eliminar el oxígeno residual del agente blanqueador y que no se vean afectados los procedimientos adhesivos para la restauración final. El peróxido de carbamida en concentraciones altas (hasta 30% - 35%) también ha demostrado ser una alternativa segura y eficaz para esta técnica de blanqueamiento.

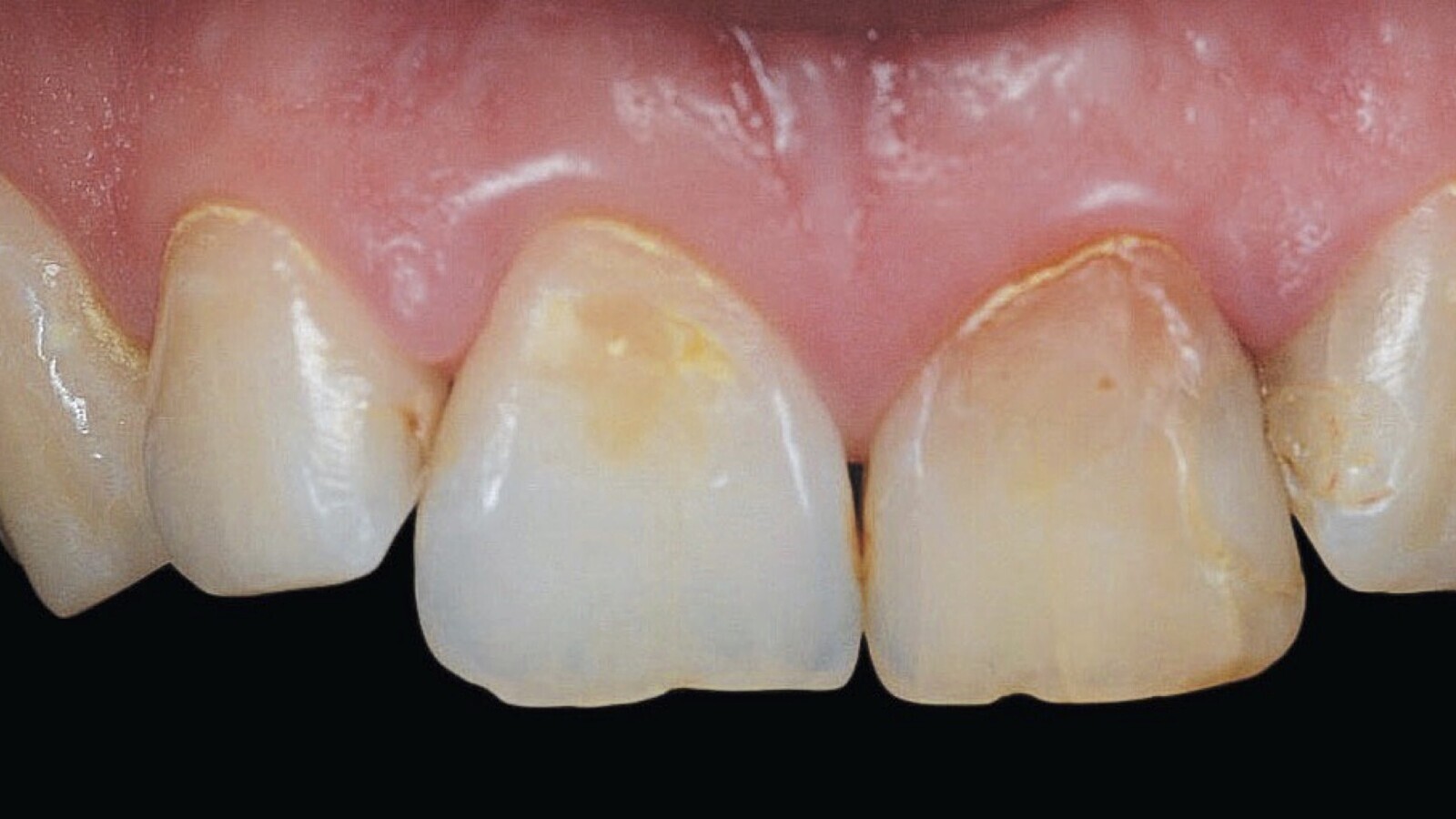
Figura 2A. Preoperatorio: cambio de coloración en la pieza 21 por residuos de obturaciones de tratamiento endodóntico anterior, donde se observan también restauraciones con resinas filtradas y restos de cálculo por higiene bucal deficiente.

 

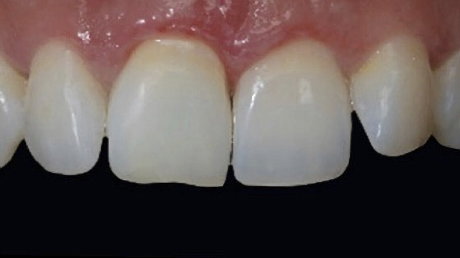
Figura 2B. Postoperatorio luego del blanqueamiento interno y externo ambulatorio y el cambio de las restauraciones de resina filtradas.

Otra técnica ambulatoria es la que utiliza una cubeta similar a la del blanqueamiento externo, la cual retiene en posición el agente blanqueador (peróxido de carbamida al 11%) y evita que ingresen elementos extraños en la cámara pulpar. El paciente debe colocar el gel blanqueador y cambiarlo varias veces durante un período de tiempo, según la magnitud de la pigmentación.

También se describe la técnica profesional, donde se utilizan concentraciones altas de peróxido de hidrógeno en el consultorio bajo supervisión del odontólogo.

Cuando se realiza un tratamiento de blanqueamiento interno existe la posibilidad de que a corto o largo plazo (de 1 a 7 años) se produzca una reabsorción radicular externa. La probabilidad de que se produzca como consecuencia de un blanqueamiento interno es cada vez más lejana si se tienen los recaudos necesarios. La patogenia no es aún muy clara pero existen algunas hipótesis que se detallan en el capítulo. De todas formas, la mejor manera de evitar las reabsorciones cervicales externas en el blanqueamiento interno es el meticuloso seguimiento de la técnica que permite un adecuado sellado cervical.

Conclusión

El blanqueamiento o aclaramiento de piezas despulpadas o no vitales, es una técnica segura y predecible siempre que se valoren las variables en forma cuidadosa y exhaustiva, como diagnóstico, técnica seleccionada, precauciones y ventajas e inconvenientes de cada una de las diferentes alternativa.

NOTA: Ver el próximo lunes el Capítulo 8: El blanqueamiento de dientes calcificados.

 

Autores

Sergio Gustavo Kohen, Doctor en Odontología (PhD). Profesor Adjunto, Cátedra de Odontología Integral Adultos; Facultad de Odontología UBA. Docente autorizado de la Facultad de Odontología de la Universidad de Buenos Aires. Profesor de postgrado de la Universidad del Salvador y AOA.

Carla De Franceschi, Jefe de Trabajos Prácticos de la Cátedra de Odontología Integral Adultos, FOUBA. Docente de postgrado de la Asociación Odontológica Argentina y USAL.

Guillermo Adrián Rodríguez, Ex Titular de las Cátedras Técnica de Operatoria, Clínica Preventiva, Cariología y Clínica Integrada A; Facultad de Odontología de la Universidad Maimónides, Buenos Aires. Especialista en Implantología y Endodoncia.

_____________________________________________________________________________

Para adquirir el libro en Latinoamérica hacer clic aquí. 

_____________________________________________________________________________

 

Serie de artículos del libro "Estética y blanqueamiento dental en la era digital"

Dental Tribune ofrece en abierto con acceso libre los primeros seis artículos de este libro. Para ver los demás artículos, por favor inscríbase para recibir nuestra Newsletter, un servicio que le ofrecemos de forma gratuita.

 

Capítulo 1. La estética del color dentario

Descripción de los distintos métodos para evaluar el color de los dientes, de gran importancia para realizar restauraciones imperceptibles ...  Ver más

 

Capítulo 2. Las alteraciones de color dental

Un correcto diagnóstico etiológico de cada paciente es fundamental para el éxito del tratamiento blanqueador ...  Ver más

 

Capítulo 3. Agentes blanqueadores y mecanismos de acción

Cada agente blanqueador es descrito en detalle, así como sus características diferenciales y sus distintas formas de comercialización ...  Ver más

 

Capítulo 4. El blanqueamiento externo

Pasos clínicos de cada técnica, precauciones y pronóstico de cada una y los distintos productos ...  Ver más

 

Capítulo 5. Blanqueamiento externo profesional

Una correcta técnica de blanqueamiento profesional incluye fotografías previas y registro del color inicial, higiene de ... Ver más

 

Capítulo 6. La técnica de la microabrasión

Se describen la técnica operatoria correcta de la microabrasión y las recomendaciones clínicas para un procedimiento más ...  Ver más

 

Suscríbase gratis haciendo clic aquí para ver los demás capítulos del libro

 

Capítulo 7. Blanqueamiento interno de dientes no vitales

La probabilidad de que este tratamiento produzca reabsorción radicular externa es cada vez más lejana si se ... Suscríbase gratis

Capítulo 8. Blanqueamiento de dientes calcificados

Las alternativas son el blanqueamiento externo en piezas vitales y no vitales, y/o el blanqueamiento interno de ... Suscríbase gratis

Capítulo 9. Aclaramiento y mantenimiento

Los resultados del blanqueamiento dental pueden cambiar a través del tiempo, por lo que es importante incluir un ... Suscríbase gratis

Capítulo 10. Efectos de los peróxidos sobre los tejidos dentarios y biomateriales

Se analizan los efectos de los materiales blanqueadores sobre el esmalte y la dentina, sobre la pulpa y sobre distintos ... Suscríbase gratis

Capítulo 11. La hipersensibilidad dentinaria

El tratamiento requiere identificar los signos, descartar otras causas, educar sobre las técnicas correctas de cuidado oral y ... Suscríbase gratis

Capítulo 12. Diseño Digital de la Sonrisa

El DSD combina la tecnología digital con los principios estéticos y funcionales de la odontología para crear un diseño personalizado de ... Suscríbase gratis

Capítulo 13. La Odontología Digital

El flujo de trabajo digital se utiliza para el diagnóstico, la planificación, y el tratamiento involucra estos tres procesos ... Suscríbase gratis

Capítulo 14. Carillas estéticas de cerámica

Las carillas son alternativas de trabajo viables, que nos conducen hacia la “armonía estética”, pero que ... Suscríbase gratis

Capítulo 15. Aclaramiento dental durante la ortodoncia

En este tratamiento se deben utilizar agentes aclaradores con bajas concentraciones, que minimizan el riesgo de ... Suscríbase gratis

Capítulo 16. Ortodoncia con alineadores

Es aconsejable no realizar el blanqueamiento en los inicios de la ortodoncia, ya que el movimiento dentario muchas veces ... Suscríbase gratis

Capítulo 17. Blanqueamiento y rehabilitación integral

Para obtener los mejores resultados estéticos, la oportunidad de realizar una rehabilitación prostética debe ser ... Suscríbase gratis

Capítulo 18. Comunicación y marketing

Este capítulo ofrece consejos para promocionar la clínica dental y explica el futuro de ... Suscríbase gratis

Capítulo 20. Consideraciones legales

Antes de comenzar un tratamiento estético, todos los procedimientos clínicos deben estar totalmente claros para el paciente ... Suscríbase gratis

Capítulo 21. Inteligencia Artificial y su aplicación odontología estética

Los escáneres faciales permiten crear modelos digitales precisos de la cara del paciente y su dentadura que se utilizan para ... Suscríbase gratis

Suscríbase gratis haciendo clic aquí para ver todos los capítulos del libro

 

 

Nota editorial:

NOTA: Este resumen de “Estética y blanqueamiento dental en la era digital” se publica con la autorización de la editorial del libro.

 

MAS SERIES DE ARTICULOS

 

• Edición Especial sobre Odontogeriatría
• Edición Especial sobre Láser en Odontología
• Edición Especial sobre Cirugía Piezoeléctrica

 

 

To post a reply please login or register
advertisement
advertisement