Un técnico dental italiano reconocido a nivel internacional por su profundo conocimiento del comportamiento de los materiales de restauración ofreció recientemente una conferencia en Lima (Perú), durante el Primer Congreso de AILARO.
El TD Stefano Romano impartió una conferencia titulada "La toma de color en la era digital" en el área de demostraciones de la empresa Dent Import en el imponente evento de la Sociedad Peruana de Prótesis Dental y Maxilofacial en el hotel Westin.
"Yo soy instructor VITA y estoy preparado para la toma de color con todos los instrumentos que tenemos a nuestra disposición", manifestó, señalando la guía de color clásica, el Linearguide, el sistema 3D-MASTER o el nuevo dispositivo para la toma de color Easyshade, todos de VITA.
Romano, que se actualiza anualmente en viajando a la sede de capacitación de VITA en Alemania, explicó que estos sistemas "nos permiten escoger los tres tonos del diente: valor, croma y tonalidad" y simplifican la selección del color.
El TD Romano subrayó que no solo la simplifican, sino que obtienen "un 100% de éxito en la elección del color". El técnico explicó que, en muchos casos, los odontólogos usan guías incompletas que no me permiten seguir los tres pasos necesarios para elegir el color del diente.
"Con VITA podemos elegir el valor —que es la tonalidad del diente—, el croma, —que es la intensidad—, y la tonalidad, rojo o amarillo. Esto es algo que permite hacer el Linearguide y el 3D-MASTER", explicó.
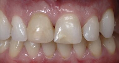
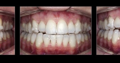
Romano dijo que el antiguo VITAPAN, "es el sistema de toma de color más usado en el mundo, y que todavía se fabrica para resinas, cementos o cerámicas, incluso de otras marcas, porque es el colorímetro más acertado en la boca del paciente".
El TD aclaró que VITAPAN es un sistema bueno, pero incompleto: "No me ayuda a elegir exactamente el valor". El 3D-MASTER, en cambio, "es una revolución, donde puedo elegir primero el valor, luego el croma y por último la tonalidad", afirmó.
Este sistema de toma de color está divido en 5 grupos de valores, que van del más oscuro al más claro, y cada grupo tiene un valor propio. Romano explicó así el proceso:
"Se acerca al paciente la paleta y se escoge en fotografía en blanco y negro la claridad u oscuridad del diente del paciente. Después, se elige un grupo y del grupo se va tomando el croma, o sea la intensidad del pigmento que tiene el diente. Si fuera necesario, si tiene un diente más amarillo, se puede ajustar para elegir la tonalidad. El odontólogo estaba acostumbrado a usar líneas de dientes acrílicos como VITAPAN, y le parecía muy trabajoso hacer tres pasos. VITA simplificó la vida modificando el mismo colorímetro, poniéndolo en una guía linear, de solo dos pasos. Con uno se elige el valor, de ahí sacamos el grupo, y en el grupo ya está el croma y la tonalidad".
Los asistentes a la conferencia de Romano quedaron impresionados por los avances realizados en este campo, que facilitan el proceso de toma de color y mejoran sus resultados, hasta ser prácticamente imperceptibles en boca del paciente.
Recursos
El Dr. David Suárez Quintanilla reflexiona sobre el futuro de la Odontología en este ensayo en el que describe los múltiples cambios y peligros que ...
La especialista en estética Patricia Uribe aborda en este artículo el tema del miedo que produce en algunos pacientes la anestesia local y describe las ...
El doctor Mauricio Guerrero es un odontólogo de gran conocimiento y larga trayectoria, tanto a nivel clínico como docente. Como Director de la División ...
La compañía colombiana Innova4D presentó en IDS su amplia serie de avanzados servicios destinados a llevar al laboratorio dental y al ...
Fundador y propietario del laboratorio dental VM Lab Technologies en Aventura, Florida, Rafael Santrich es una verdadera eminencia del laboratorio dental, ...
Este octavo y último artículo de la serie de Dental Tribune sobre Formación explora la relevancia de los sistemas informáticos en las clínicas de ...
Este es el resumen del primer capítulo del libro “Estética y blanqueamiento dental en la era digital”, de Sergio Kohen, Agustín Varas y Enrique ...
Este es el resumen del segundo capítulo del libro “Estética y blanqueamiento dental en la era digital”, escrito por Sergio Kohen, Agustín Varas y ...
Este es el resumen del tercer capítulo del libro “Estética y blanqueamiento dental en la era digital”, escrito por Sergio Kohen, Pablo Varas y ...
Este es el resumen del cuarto capítulo del libro “Estética y blanqueamiento dental en la era digital”, escrito por Sergio Kohen, Agustín Varas y ...
Webinars en vivo
mié. 29 de abril 2026
17:00 CST (Mexico City)
Dr. Renato Leonardo D.M.D.
Webinars en vivo
jue. 30 de abril 2026
11:00 CST (Mexico City)
Webinars en vivo
dom. 3 de mayo 2026
10:00 CST (Mexico City)
Dr. Rickard Brånemark MSc, MD, PhD, Dr. Robert Gottlander DDS
Webinars en vivo
dom. 3 de mayo 2026
18:00 CST (Mexico City)
Webinars en vivo
mar. 5 de mayo 2026
8:00 CST (Mexico City)
Webinars en vivo
mar. 5 de mayo 2026
10:00 CST (Mexico City)
Webinars en vivo
mar. 5 de mayo 2026
11:00 CST (Mexico City)
Dr. Maximilian Dobbertin M.Sc
To post a reply please login or register