Dental Tribune Latinoamérica lanza un número especial de sobre "Aclaramiento dental" que le ofrecen las técnicas más avanzadas de este popular procedimiento estético. Igualmente, advierte sobre los peligros potenciales de estos tratamientos con objeto de evitar causar daños a los pacientes. Este número ha sido coordinado, en calidad de Director Invitado, por el Dr. Enrique Jadad, uno de los mayores expertos latinoamericanos sobre este tópico.
* El Dr. Jadad es especialista en rehabilitación oral y profesor asociado en las universidades de Cartagena y Cali (Colombia). Además, es profesor visitante en la Universidad de Viña del Mar (Chile) y en la Autónoma de Puebla (México). Contacto: www.enriquejadad.com
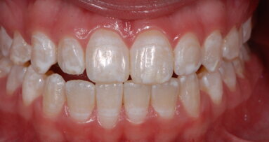
En español es común usar el término "blanqueamiento dental" para describir el tratamiento para decolorar los dientes. Sin embargo, en países como Brasil se prefiere el término "aclaramiento dental", ya que define de manera más precisa el proceso y el resultado de este tipo de tratamiento.
Además de esta diferencia linguística, es importante señalar que existe otra gran diferencia clínica entre el aclaramiento y el blanqueamiento dental.
El aclaramiento dental es un procedimiento que se basa en una reacción de reducción-oxidación, mientras que el blanqueamiento está asociado con la deshidratación de la estructura dental, uno de los temas que se explican en este número especial.
La odontología moderna trabaja para desarrollar técnicas que permitan resultados más estéticos para el paciente y el aclaramiento se ha convertido en la más popular. Sin embargo, deben tenerse muy en cuenta las limitaciones, contraindicaciones, efectos adversos y cuidados necesarios de este tipo de tratamientos.
El aclaramiento dental es un tratamiento químico a base de agentes oxidantes no selectivos, cuyo resultado depende del diagnóstico, la técnica seleccionada y el uso de una posología correcta. Por lo tanto, requiere de mucha paciencia, amplio entrenamiento y del estudio individual de cada paciente y cada situación.
El problema del aclaramiento dental en el hogar con férulas es el prolongado tiempo que requiere para alcanzar los resultados deseados. Este tiempo oscila entre 15 y 30 días de tratamiento continuo, aplicando el gel en férulas por períodos que varían de acuerdo a la concentración y al tipo del agente aclarador, que puede ser peróxido de carbamida o de hidrógeno.
La industria ha intentado acelerar el proceso, aumentando la concentración de los peróxidos y disminuyendo el tiempo de contacto del gel en los dientes. Además, se ha revivido el uso de lámparas generadoras de calor, a expensas de generar procesos iatrogénicos, tanto a nivel pulpar como en la estructura del esmalte.
Las lámparas han generado mucha controversia, ya que se desarrollaron para acelerar la activación de los agentes aclaradores. Estos aparatos han sido investigados ampliamente y el resultado es el siguiente: aumentan la temperatura de los dientes por encima del nivel de tolerancia pulpar (que es 5.5 grados centígrados más que la temperatura corporal), y requieren el uso de blanqueadores a base de peróxidos de hidrógeno a concentraciones de más del 35% con productos con un pH muy ácido (alrededor de 3 a 4).
Las consecuencias son una elevada sensibilidad de los dientes, daños irreversibles en el esmalte debido a los largos períodos de aplicación (alrededor de una hora) y una degradación de la matriz del esmalte.
Este número de Dental Tribune ofrece un amplio panorama de los beneficios y los perjuicios de estos procedimientos, a cargo de renombrados especialistas.
El artículo del Dr. Sergio Kohen, de la Universidad de Buenos Aires, especifica el manejo de la sensibilidad antes, durante y después del proceso de aclaramiento.
Por su parte el Dr. Edgar Guiza, presidente de la Asociación Colombiana de Prostodoncia y Director del Postgrado de rehabilitación Oral de la Universidad Javeriana, desarrolla el tema de los efectos de los radicales libres en el aclaramiento.
Esperamos que esta serie de artículos le sirvan como una guía útil, basada en la evidencia, para seguir tratamientos eficaces y seguros para sus pacientes.
Un estudio sobre los conocimientos y percepciones de los pacientes respecto a la terapia con implantes dentales ha hallado que un número alarmante de...
Una investigación realizada en Australia confirmó que las consultas dentales pueden desempeñar un valioso papel en la salud sistémica de las personas ...
El Dr. Enrique Jadad arremete contra los gobiernos que creen que los odontólogos no deben estar en el grupo prioritario de vacunación, cuando por trabajar...
Los más de mil de implantólogos que llegaron ayer a las Bahamas para asistir a la Cuarta Conferencia Mundial de MIS experimentaron la sorpresa de sus ...
El odontólogo dispensará los beneficios de su profesión a las personas que los necesiten, sin más limitaciones que las expresamente señaladas en las ...
En la primera parte de este artículo, el autor describió las tres etapas de la evolución de la dentición natural, desde cambios en la forma y tamaño de...
Formación
Webinars en vivo mar. 19 de mayo 2026 9:00 CST (Mexico City)
La odontología moderna ya no depende únicamente de la excelencia clínica.
Hoy, dirigir un consultorio rentable exige saber interpretar datos financieros,...
Decenas de miles de odontólogos, técnicos dentales y estudiantes recorrieron los stands comerciales de los principales distribuidores de la industria ...
To post a reply please login or register