El diagnóstico en un paciente masculino de 44 años presentó defectos generalizados provocados por disfunción de la articulación temporomandibular y bruxismo, con pérdida de dimensión vertical de oclusión, además de pigmentación de los dientes; lesión cariosa en la pieza 35 (distal) y alteraciones periodontales leves, localizadas y aisladas.
Tratamiento
Secuencia de pasos del tratamiento
Aumento de la dimensión vertical de la oclusión (DVO) tras escáner intraoral (CS 3500, Carestream Dental) utilizando un articulador virtual CAD/CAM.
Fabricación de modelos con resina acrílica fotopolimerizable (V-Print model beige, VOCO) mediante impresión 3D. Para ello se exportaron a la impresora 3D (SolFlex 650, VOCO) los archivos STL definitivos de encerado digital.
Fabricación de férulas termoformadas de resina sobre los modelos mencionados anteriormente. Se debe utilizar una férula como molde negativo para la fabricación de la maqueta (mock-up) de un composite de nanorrelleno autopolimerizable. El material debe ser idóneo para coronas y puentes provisionales (Structur 3, A1, VOCO).
Fijación provisional convencional de la maqueta con un cemento de fraguado dual y con base de composite (Bifix Temp, VOCO). El paciente pasó varias semanas con la maqueta provisional colocada en la boca para comprobar la adaptación a la nueva dimensión vertical. La llevó hasta que afirmó sentirse cómodo y no sufrir dolores musculares.
Preparación de los dientes del maxilar superior conforme a las reglas convencionales aplicadas en las restauraciones íntegramente de cerámica. A continuación, las coronas definitivas de las piezas 16-26 se fresaron con un material de composite híbrido nanocerámico (Grandio disc, A2 low translucent, VOCO).
Preparación asimismo de los dientes del maxilar inferior conforme a las reglas convencionales aplicadas en las restauraciones íntegramente de cerámica. Las carillas definitivas de las piezas 33-43, así como los overlays de los premolares hasta el 2.º molar se elaboraron con composite nanohíbrido fresado (Grandio disc, A2 LT, VOCO).
Para obtener una adhesión óptima, se arenó la superficie de la restauración a fijar con óxido de aluminio (25-50 µm) a 1,5-2,0 bar, eliminando simultáneamente el polvo generado con un dispositivo de aspiración. Las restauraciones tratadas previamente se limpiaron con un baño de ultrasonidos y se secaron con aire sin aceite. Las superficies internas de las restauraciones a fijar se acondicionaron a continuación con un agente adhesivo de silano (Ceramic Bond, VOCO).
Fijación adhesiva definitiva de las restauraciones indirectas mediante la aplicación del adhesivo universal de fraguado dual Futurabond U (VOCO) en el diente y el sistema de fijación permanente de fraguado dual (Bifix QM, VOCO) en las superficies internas de las restauraciones a fijar.
La polimerización se llevó a cabo con una lámpara LED de fotopolimerización de alta potencia (Celalux 3, VOCO).
Fig. 1: Situación inicial, imagen intraoral: vista oclusal.
Fig. 2: Situación final, imagen intraoral: vista frontal/lateral. Coronas, carillas y overlays elaborados con composite nanohíbrido fresado.
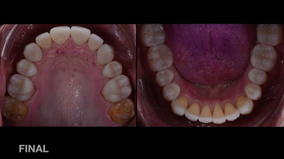
Fig. 3: Situación final, imagen intraoral: vista oclusal. Rehabilitación completa con restauraciones de composite nanohíbrido fresado.
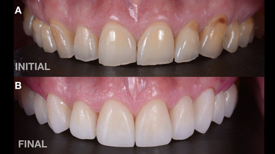
Fig. 4: Comparación entre la situación inicial y final del maxilar superior. A) Situación inicial. B) Situación final, obtenida mediante una rehabilitación completa con coronas de composite nanohíbrido fresado.
Las ventajas más notables de los productos de VOCO utilizados
Structur 3: La aplicación es sencilla, rápida y fiable gracias al cartucho con relación de mezcla 1:1. El tiempo de fraguado intraoral es también muy breve. La fase elástica permite una rápida retirada del diente preparado. Las restauraciones provisionales de Structur 3 ofrecen, gracias a sus ocho tonos y su fluorescencia y brillo natural, excelentes propiedades estéticas. No se requiere pulido de alto brillo, ya que con tan solo eliminar la capa de inhibición se obtiene una superficie de restauración brillante. Gracias a su elevada resistencia a la compresión y a la flexión las restauraciones son extremadamente duraderas.
Futurabond U: Como es un adhesivo de aplicación universal para todas las restauraciones directas e indirectas elaboradas con materiales con base de metacrilato, simplifica muchos pasos del tratamiento. Ofrece una mejor adhesión que otros adhesivos y, al mismo tiempo, tolerancia a la humedad. Además, es compatible con todos los materiales con base de metacrilato sin necesidad de un activador adicional para DC. Gracias al formato SingleDose (monodosis), Futurabond U puede aplicarse de forma fácil, higiénica y rápida en una sola capa (aplicar > secar > fraguar en solo 35 segundos), evitando al mismo tiempo que se evapore el disolvente. En función de las necesidades y los requisitos, el odontólogo puede aplicar todas las técnicas: autograbado, grabado selectivo o grabado total. No se requiere enfriamiento.
Bifix Temp: Cemento provisional translúcido con tonalidad similar a la del diente para restauraciones estéticas. El proceso de fraguado dual permite tiempos de fraguado flexibles (tiempo de fraguado máximo de 4 minutos) mediante el uso de una lámpara de polimerización. Además, después de una fotopolimerización de corta exposición (Tack Curing), los excesos de cemento se eliminan de forma cómoda en una sola pieza. Bifix Temp es un cemento sin eugenol que, debido a esta propiedad, es particularmente adecuado para su uso con fijaciones adhesivas permanentes (en este caso Bifix QM), ya que no influye ni perjudica en modo alguno su fraguado. De hecho, el eugenol puede impedir el fraguado de los composites de fijación si estos se van a utilizar más adelante en la fase de fijación permanente.
Grandio disc: Grandio disc está compuesto por composite nanohíbrido y permite preparaciones mínimamente invasivas. Este material posee una similitud insuperable con los dientes naturales, así como unas propiedades físicas excelentes en cuanto a la resistencia a la flexión y a la abrasión (abrasión de dos cuerpos) debido al contenido de relleno del 86 % en peso, lo que lo convierte en una opción óptima para el tratamiento de pacientes con bruxismo. La utilización de este material permite también una considerable reducción de costes. A diferencia de las restauraciones íntegramente de cerámica, no requiere calentamiento. La reparación es menos complicada que la de la cerámica. Además, Grandio disc es ideal para tratamientos de fresado incluso en caso de bordes finos.
Bifix QM: Bifix QM es un cemento permanente adecuado para todos los materiales de restauración y que ofrece una excelente adhesión a la dentina y al esmalte. Tiene un grado de radiopacidad tal que permite su visualización en radiografías. Está disponible en tres tonos para obtener una calidad estética satisfactoria. La jeringa QM permite una aplicación sin burbujas, directa y eficiente.
Conclusiones
Junto a las tecnologías digitales de última generación, los materiales de alta calidad también han contribuido a lograr unos resultados presentables.
Nota editorial: la lista de referencias se puede pedir a la editorial.
Los autores
Dr. Miguel Stanley, Dra. Inês Miguel, Dra. Ana Paz, Dra. Catarina Rodrigues, Dra. Inês Correia; White Clinic, Rua Dr. António Loureiro Borges. Edif. 5, 1° Andar Arquiparque; 1495-131 Algés, Lisboa, Portugal
La digitalización del flujo de trabajo en odontología ha ganado terreno en los últimos años debido a los avances tecnológicos en escáneres intraorales...
El autor describe paso a paso la restauración mediante corona sobre pilar de un caso en el que se utilizaron supraconstrucciones para absorber las fuerzas ...
El Centro de Prácticas Profesionales Avanzadas (CAPP) invita por decimocuarta vez a los profesionales de la odontología al congreso titulado "14thCAD/CAM ...
La odontología moderna ya no depende únicamente de la excelencia clínica.
Hoy, dirigir un consultorio rentable exige saber interpretar datos financieros,...
Decenas de miles de odontólogos, técnicos dentales y estudiantes recorrieron los stands comerciales de los principales distribuidores de la industria ...
To post a reply please login or register