La digitalización del flujo de trabajo en odontología ha ganado terreno en los últimos años debido a los avances tecnológicos en escáneres intraorales y programas de software.
CASO CLINICO
Por Miguel Stanley1, Ana Gomes Paz2, Inês Miguel3, Christian Coachman4
Este desarrollo ha resultado también en una mejor comunicación entre el dentista y el técnico dental. El diseño de sonrisa digital (DSD) es una herramienta digital para planificar la restauración estética de la simetría facial. No solo ayuda a la comunicación entre especialistas, sino que mejora también los resultados del tratamiento que pueden esperar (1). La documentación dinámica de la sonrisa es un paso importante en el proceso de DSD en 2D/3D. El proceso se puede digitalizar completamente y es compatible también con el procedimiento de rehabilitación. Las ventajas de la documentación en video radican en el hecho de que esto hace que la documentación, el diseño de la sonrisa, el análisis de la simetría facial, la planificación del tratamiento, la comunicación del equipo y la educación del paciente sean más simples y efectivos (2). El DSD se puede convertir en un modelo de diagnóstico convencional o virtual para simplificar el tratamiento clínico posterior, por ejemplo, la restauración mediante CAD/CAM (3-7). La combinación de la técnica adhesiva con materiales restauradores transmisores de luz hace que la preparación de una intervención odontológica restauradora mínimamente invasiva sea más simple. Materiales como la cerámica de disilicato de litio (8-11) presenta propiedades similares a las de los dientes naturales, lo que, a su vez, permite obtener resultados positivos (12, 13). La combinación de la técnica adhesiva con materiales restauradores transmisores de luz hace que la preparación de una intervención odontológica restauradora mínimamente invasiva sea más simple. Materiales como la cerámica de disilicato de litio (8-11) presenta propiedades similares a las de los dientes naturales, lo que, a su vez, permite obtener resultados positivos (12, 13). La combinación de la técnica adhesiva con materiales restauradores transmisores de luz hace que la preparación de una intervención odontológica restauradora mínimamente invasiva sea más simple. Materiales como la cerámica de disilicato de litio (8-11) presenta propiedades similares a las de los dientes naturales, lo que, a su vez, permite obtener resultados positivos (12, 13).
Los escáneres intraorales son una herramienta importante en el flujo de trabajo digital. Estos dispositivos prácticos permiten verificar directamente la calidad de la impresión y el control de los modelos de manera simple, rentable y rápida por correo electrónico al laboratorio (14). Sin embargo, existe poca información en la literatura sobre la capacidad de los escáneres intraorales para producir impresiones de alta calidad (15–24).
El software CAD es invaluable, ya que controla los dispositivos totalmente automatizados que crean los objetos y ensamblajes en un entorno virtual (25).
En este informe, se representa un caso clínico en el que el flujo de trabajo fue completamente digital. Después de realizar una preparación mínimamente invasiva, el protocolo DSD y las carillas y coronas monolíticas hechas de cerámica de disilicato de litio por medio de CAD/CAM se utilizarán para corregir la pérdida de altura de la mordida, así como las alteraciones estéticas y articulares temporomandibulares (ATM) asociados.
Caso clínico
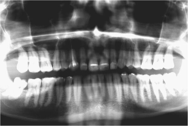
En 2015, un paciente de 47 años se quejó de dolor en la ATM. Teníamos también una solicitud estética, ya que parte de la carilla de uno de los incisivos centrales superiores se había roto (Figs. 1-3). El análisis clínico y radiográfico (Fig. 4) ocasionó una pérdida de altura de la mordida y; una sustancia dental debida a un bruxismo.
Se tomaron fotografías digitales intraorales frontales bajo retracción y desde perspectivas oclusal y lateral. También puede tomar fotografías adicionales usando una cámara réflex digital de lente fija (frontal, lateral y 45 °). Se produjo una impresión diagnóstica de ambas mandíbulas con un escáner intraoral (Carestream 3500). La posición intercuspal máxima se determina intraoralmente utilizando el escáner intraoral Carestream 3500, y la nueva dimensión vertical de oclusión (VDO) se obtiene abriendo el articulador virtual al ancho deseado en el software CAD / CAM.
Se analizó el protocolo de documentación dinámica del DSD. Se grabará videos con un teléfono inteligente desde cuatro ángulos diferentes calculados para lograr una simetría facial armoniosa de la sonrisa: un video frontal de la cara sonriente con y sin el retractor de labios y mejillas, un video de perfil, un video de las 12 en punto y un video de la oclusión anterior perpendicular al nivel oclusal sin espejo.
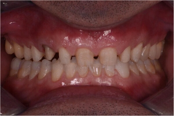
Fig. 1. Fotografías intraorales iniciales, vista frontal (A), vista oclusal del maxilar (B) y vista oclusal de la mandíbula (C).
Fig. 2. Situación inicial, radiografía panorámica (2015).
Fig. 3. Escaneado intraoral inicial con Carestream 3500.
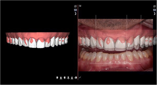
Fig. 4. Protocolo DSD: imagen del paciente sonriendo con un retractor de labios y mejillas.
Fig. 5. a Matriz para el mock-up motivacional y modelos digitales. b Mock-up motivacional hecho de bisacryl (Structur, VOCO).
Fig. 6. a Mock-up motivacional. b Mock-up motivacional y escaneo intraoral.
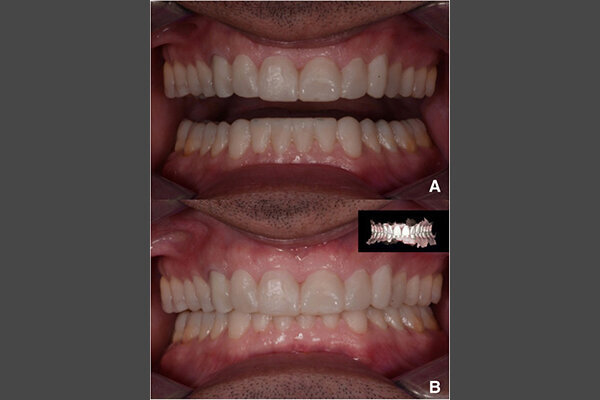
Fig.7. Dos años después, antes del tratamiento (2017).
Fig. 8. Escaneo intraoral pre-tratamiento con el Carestream 3600.
Fig. 9. Dientes posteriores sin preparación y mínima preparación de los dientes anteriores mandibulares, excepto los dientes 11-13 y 21-23 que ya estaban preparados.
Fig. 10. Escaneo digital de la preparación del pilar de dientes con el Carestream 3600.
Fig. 11. Planificación del Diseño Digital de Sonrisa.
Fig. 12. Carillas y coronas finales preparadas digitalmente con el software de diseño Ceramill Mind y producidas en una fresadora (Ceramill Motion 2) a partir de bloques de cerámica de disilicato de litio mecanizables (VITABLOCS TriLuxe forte).
Fig. 13. Las coronas (#11-13 y 21-23) y las carillas (#14-17, 24-27, 31-37 y 41-47) se cementaron a los pilares utilizando un cemento de resina fotopolimerizable (Futurabond U y Bifix QM).
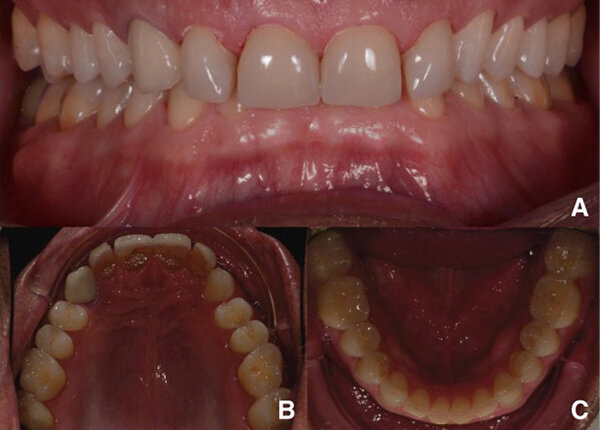
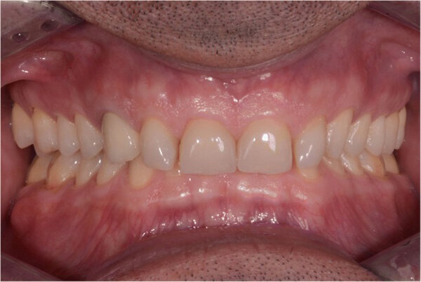
Fig. 14. Fotografías intraorales del tratamiento finalizado. a y b Vista frontal. c Vista oclusal de la mandíbula superior. d Vista oclusal de la mandíbula inferior.
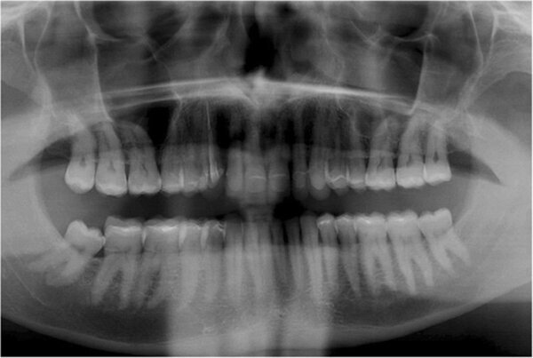
Fig. 15. Imagen panorámica final.
Fig. 16. Confirmación de la oclusión mediante tecnología T-scan.
Se grabaron cuatro videos complementarios para el análisis funcional, estructural y facial: una consulta sobre las expectativas del paciente, un video fonético de 180 °, un video funcional intraoral y un video estructural intraoral con retractor de labios y mejillas (Fig. 5). La información fue transmitida al laboratorio DSD. El objetivo principal de la técnica DSD es combinar las fotografías de las tres vistas (oclusal, frontal y de las 12 en punto) con una regla digital para recrear las proporciones correctas de sonrisa mediante un análisis de video (marco de sonrisa).
El marco de sonrisa se creó de la siguiente manera, teniendo en cuenta la simetría facial: arco facial digital, forma y posición de la curva de la sonrisa, determinación del ancho utilizando la cantidad dental estética recurrente, proporciones de longitud del diente, curva papilar del margen gingival, arco de Cupido y curva mandibular. Las proporciones en 2D de la sonrisa se convirtieron con el software CAD en un modelo de simulación digital en 3D. El archivo 3D resultó en formato STL se transmitió a una impresora, que creó un modelo con el nuevo diseño. Después de identificar para producir una matriz hecha de bisacrilo (Estructura 3, VOCO) para la maqueta motivacional (Fig. 6).
La dimensión vertical (VD) aumentó en el nuevo modelo y, por esta razón, el paciente probó la maqueta durante dos semanas para las limitaciones de la nueva altura de mordida cumplió con sus expectativas. La prueba de mordida sin problemas de estabilidad, y el paciente estuvo contento con el resultado. Así, no tenía necesidad de una mayor desprogramación de la oclusión y de definir una nueva relación céntrica. El paciente se encuentra cómodo con el nuevo VD y no experimentó dolor en el cajero automático. Se presentó el plan de tratamiento, pero el paciente tuvo éxito no continuar por razones económicas.
El paciente regresó a la clínica en 2017 para reanudar el tratamiento (Fig.7), y se realizó un nuevo escape intraoral (Carestream 3600). Se imprimió un nuevo modelo para la preparación del diente en una impresora 3D (SolFlex, VOCO) con bisacryl (Structur 3) utilizando una matriz compuesta al vacío (V-Print ortho, VOCO). Los pilares de los dientes se prepararon mínimamente sobre la base de la maqueta (Fig. 8).
Se conservaron las preparaciones dentales antiguas en el segundo sextante. Los dientes posteriores maxilares (# 14-17 y 24-27) y los dientes posteriores mandibulares (# 34-37 y 44-47) no estaban preparados, y los dientes anteriores mandibulares estaban mínimamente preparados. Se realizó una nueva escaneo intraoral. La información se transmite al laboratorio DSD (Fig. 9), que creó un archivo STL con modelos virtuales producidos en el laboratorio (Anatomic Lab). Estos modelos 3D (modelo V-Print, VOCO) se pueden crear en una impresora 3D (SolFlex 650, VOCO).
Las carillas y coronas finales se prepararon digitalmente usando el software de diseño Ceramill Mind (Amann Girrbach) y se produjeron en una fresadora (Ceramill Motion 2, Amann Girrbach) a partir de bloques de cerámica de disilicato de litio mecanizable (VITABLOCS TriLuxe forte para Ceramill Movimiento 2, Amann Girrbach; Fig.10). Después de confirmar el sellado marginal y las propiedades visuales mediante la inserción de prueba, se colocó un retractor de labio y mejilla (OptraGate, Ivoclar Vivadent) en la boca del paciente.
Los pilares de dientes y las carillas y coronas de cerámica se prepararon de acuerdo con las recomendaciones del fabricante: la superficie de cerámica se preparó con 50 μm de óxido de aluminio y durante 20 segundos con ácido fluorhídrico al 5%. Después se enjuagó durante 20 segundos antes de ser tratado con ácido fosfórico al 37% (Total Etch, Ivoclar Vivadent) y 96% de alcohol para limpiarlo y finalmente acondicionarlo durante 20 segundos con silano (Monobond Plus, Ivoclar Vivadent).
Las coronas (n° 11-13 y 21-23) y las carillas (n° 14-17, 24-27, 31-37 y 41-47) se fijan en los pilares utilizando un adhesivo de resina fotopolimerizable (Futurabond U y Bifix QM, VOCO). Se usó un dispositivo de fotocurado LED de alto rendimiento (Celalux 3, VOCO) para la polimerización (Figs. 11 y 12).
Se retiró el exceso de material de fijación, y la oclusión se adaptó y verificó con la tecnología T-Scan (Tekscan). Se usó una férula de resina acrílica removible para proteger las restauraciones finales. Las restauraciones finales se verifican después de seis meses. Las restauraciones estaban estables y no mostraban signos de fractura (Figs. 13-15). El paciente también informó que ya no sufría dolores de cabeza con la nueva altura de la mordida.
Conclusión
Gracias a los desarrollos tecnológicos odontológicos, es posible realizar un tratamiento totalmente digital, que puede resolver problemas como la pérdida de la altura de la mordida con éxito. Sin embargo, se necesitan más estudios clínicos para lograr resultados confiables con respecto al proceso de trabajo digital en comparación con las técnicas específicas en caso de pérdida de la altura de la mordida. La funcionalidad de las restauraciones permanentes también debe evaluar a largo plazo.
_______________________________________________________________________
Autores
- El Dr. Miguel Stanley es un reconocido conferenciante a nivel internacional y autor de la filosofía de tratamiento que denomina "Odontología Invisible". Actualmente ejerce en Portugal en la White Clinic
- La Dra. Ana Gomes Paz ejerce en práctica privada en São Paulo, Brasil.
3. La Dra. Inês Miguel es profesora en el Departamento de Medicina Dental de la Universidad de Lisboa, Portugal.
- El Dr. Christian Coachman, conocido por desarrollar el protocolo de Diseño Digital de Sonrisa, ejercer en su práctica privada en São Paulo, Brasil.
Referencias
- Coachman C, Van Dooren E, Gürel G, Landsberg CJ, Calamita MA, Bichacho N. Diseño de la sonrisa: de la planificación digital del tratamiento a la realidad clínica. En: Cohen M, editor. Planificación interdisciplinaria del tratamiento. Vol. 2: Estudios de casos completos. Chicago: quintaesencia; 2012. pp. 119-174. [ Google Scholar ]
- Coachman C, Calamita A, Sesma N. Documentación dinámica de la sonrisa y el proceso de diseño de la sonrisa digital 2D / 3D. En J Periodontics Restorative Dent. 2017; 37: 183–193. doi: 10.11607 / prd.2911. [ PubMed ] [ CrossRef ] [ Google Scholar ]
- Pimentel W, Teixeira ML, Costa PP, Jorge MZ, Tiossi R. Resultados predecibles con carillas de porcelana laminada: un informe clínico. J. Prosthodont. 2016; 25: 335–340. doi: 10.1111 / jopr.12413. [ PubMed ] [ CrossRef ] [ Google Scholar ]
- Lin WS, Zandinejad A, Metz MJ, Harris BT, Morton D. Flujo de trabajo restaurador predecible para el diseño asistido por computadora / fabricación asistida por computadora, carillas de cerámica fabricadas utilizando un principio de diseño de sonrisa virtual. 2015; 40: 357–363. doi: 10.2341 / 13-295-S. [ PubMed ] [ CrossRef ] [ Google Scholar ]
- Arias DM, Trushkowsky RD, Brea LM, David SB. Tratamiento del paciente con sonrisa gomosa junto con un enfoque de sonrisa digital. Dent Clin N Am. 2015; 59: 703–716. doi: 10.1016 / j.cden.2015.03.007. [ PubMed ] [ CrossRef ] [ Google Scholar ]
- Coachman C, Calamita MA, Coachman FG, Coachman RG, Sesma N.Diseño digital tridimensional guiado por cefalometría y generado facialmente para la rehabilitación completa de implantes bucales: un informe clínico. J. Prosthet Dent. 2017; 117: 577–586. doi: 10.1016 / j.prosdent.2016.09.005. [ PubMed ] [ CrossRef ] [ Google Scholar ]
- Zimmermann M, Mehl A. Sistemas de diseño de sonrisa virtual: una revisión actual. En J Comput Dent. 2015; 18: 303–317. [ PubMed ] [ Google Scholar ]
- Edelhoff D, Liebermann A, Beuer F, Stimmelmayr M, Güth JF. Opciones de tratamiento mínimamente invasivas en prostodoncia fija. 2016; 47: 207–216. [ PubMed ] [ Google Scholar ]
- Culp L, McLaren EA. Disilicato de litio: el material restaurador de múltiples opciones. Compend Contin Educ Dent. 2010; 31: 716–725. [ PubMed ] [ Google Scholar ]
- Zarone F, Ferrari M, Mangano FG, Leone R, Sorrentino R. Materiales orientados digitalmente: enfoque en cerámica de disilicato de litio. En J Dent. 2016; 2016: 9840594. doi: 10.1155 / 2016/9840594. [ Artículo gratuito de PMC ] [ PubMed ] [ CrossRef ] [ Google Scholar ]
- Soares PV, Spini PH, Carvalho VF, Souza PG, Gonzaga RC, Tolentino AB, et al. Rehabilitación estética con carillas de cerámica laminada reforzada con disilicato de litio. 2014; 45: 129–133. [ PubMed ] [ Google Scholar ]
- Morimoto S, Albanesi RB, Sesma N, Agra CM, Braga MM. Principales resultados clínicos de las carillas de porcelana feldespática y laminado de vitrocerámica: una revisión sistemática y un metanálisis de la supervivencia y las tasas de complicaciones. En J Prosthodont. 2016; 29: 38–49. doi: 10.11607 / ijp4315. [ PubMed ] [ CrossRef ] [ Google Scholar ]
- Sulaiman TA, Delgado AJ, Donovan TE. Tasa de supervivencia de restauraciones de disilicato de litio a los 4 años: un estudio retrospectivo. J. Prosthet Dent. 2015; 114: 364–366. doi: 10.1016 / j.prosdent.2015.04.011. [ PubMed ] [ CrossRef ] [ Google Scholar ]
- Tarantili VV, Halazonetis DJ, Spyropou-Los MN. The spontaneous smile in dynamic motion.Am J Orthod Dentofac Orthop. 2005;128:8–15. doi: 10.1016/j.ajodo.2004.03.042. [PubMed] [CrossRef] [Google Scholar]
- Ender A, Mehl A. Accuracy of complete-arch dental impressions: a new method of measuring trueness and precision.J Prosthet Dent. 2013;109:121–128. doi: 10.1016/S0022-3913(13)60028-1. [PubMed] [CrossRef] [Google Scholar]
- Aragón ML, Pontes L, Bichara L, Flores-Mir C, Normando D. Validity and reliability of intraoral scanners compared to conventional gypsum models measurements: a systematic review.Eur J Orthod. 2016;38:429–434. doi: 10.1093/ejo/cjw033. [PubMed] [CrossRef] [Google Scholar]
- Patzelt SB, Emmanouilidi A, Stampf S, Strub JR, Att W. Accuracy of full-arch scans using intraoral scanners.Clin Oral Investig. 2014;18:1687–1694. doi: 10.1007/s00784-013-1132-y. [PubMed] [CrossRef] [Google Scholar]
- Renne W, Ludlow M, Fryml J, Schurch Z, Mennito A, Kessler R, Lauer A. Evaluation of the accuracy of 7 digital scanners: an in vitro analysis based on 3-dimensional comparisons. J Prosthet Dent. 2016; 10.1016/j.prosdent.2016.09.024. [PubMed]
- Güth JF, Runkel C, Beuer F, Stimmelmayr M, Edelhoff D, Keul C. Accuracy of five intraoral scanners compared to indirect digitalization.Clin Oral Investig. 2017;21(5):1445–1455. doi: 10.1007/s00784-016-1902-4. [PubMed] [CrossRef] [Google Scholar]
- Imburgia M, Logozzo S, Hauschild U, Veronesi G, Mangano C, Mangano F. Accuracy of four intraoral scanners in oral implantology: a comparative in vitro study.BMC Oral Health. 2017;17(1):92. doi: 10.1186/s12903-017-0383-4. [PMC free article] [PubMed] [CrossRef] [Google Scholar]
- Mangano FG, Veronesi G, Hauschild U, Mijiritsky E, Mangano C. Trueness and precision of four intraoral scanners in oral Implantology: a comparative in vitro study. PLoS One. 2016;11 10.1371/journal.pone.0163107[PMC free article] [PubMed]
- van der Meer WJ, Andriessen FS, Wismeijer D, Ren Y. Application of intra- oral dental scanners in the digital workflow of implantology. PLoS One 2012;7. 10.1371/journal.pone.0043312[PMC free article][PubMed]
- Güth JF, Edelhoff D, Schweiger J, Keul C. A new method for the evaluation of the accuracy of full-arch digital impressions in vitro.Clin Oral Investig. 2016;20:1487–1494. doi: 10.1007/s00784-015-1626-x.[PubMed] [CrossRef] [Google Scholar]
- Ajioka H, Kihara H, Odaira C, Kobayashi T, Kondo H. Examination of the Position Accuracy of Implant Abutments Reproduced by Intra-Oral Optical Impression. PLoS One 2016;11. 10.1371/journal.pone.0164048[PMC free article] [PubMed]
- Chew AA, Esguerra RJ, Teoh KH, Wong KM, Ng SD, Tan KB. Three- Dimensional Accuracy of Digital Implant Impressions: Effects of Different Scanners and Implant Level. Int J Oral Maxillofac Implants. 2017;32:70–80. [PubMed]
- Nedelcu RG, Persson AS. Scanning accuracy and precision in 4 intraoral scanners: an in vitro comparison based on 3-dimensional analysis.J Prosthet Dent. 2014;112:1461–1471. doi: 10.1016/j.prosdent.2014.05.027. [PubMed] [CrossRef] [Google Scholar]
- Patzelt SB, Vonau S, Stampf S, Att W. Assessing the feasibility and accuracy of digitizing edentulous jaws.J Am Dent Assoc. 2013;144:914–920. doi: 10.14219/jada.archive.2013.0209. [PubMed] [CrossRef] [Google Scholar]
- Goracci C, Franchi L, Vichi A, Ferrari M. Accuracy, reliability, and efficiency of intraoral scanners for full-arch impressions: a systematic review of the clinical evidence.Eur J Orthod. 2016;38:422–428. doi: 10.1093/ejo/cjv077. [PubMed] [CrossRef] [Google Scholar]
- Roperto R, Assaf H, Soares-Porto T, Lang L, Teich S. Are different generations of CAD/CAM milling machines capable to produce restorations with similar quality?J Clin Exp Dent. 2016;8:423–428.[PMC free article] [PubMed] [Google Scholar]
- Guess PC, Selz CF, Steinhart YN, Stampf S, Strub JR. Prospective clinical split- mouth study of pressed and CAD/CAM all-ceramic partial-coverage restorations: 7-year results.Int J Prosthodont. 2013;26:21–25. doi: 10.11607/ijp.3043. [PubMed] [CrossRef] [Google Scholar]
- Ma L, Guess PC, Zhang Y. Load-bearing properties of minimal-invasive mono- lithic lithium disilicate and zirconia occlusal onlays: finite element and theo- retical analyses.Dent Mater. 2013;29:742–751. doi: 10.1016/j.dental.2013.04.004. [PMC free article] [PubMed] [CrossRef] [Google Scholar]
- Schlichting LH, Maia HP, Baratieri LN, Magne P. Novel-design ultra-thin CAD/ CAM composite resin and ceramic occlusal veneers for the treatment of severe dental erosion.J Prosthet Dent. 2011;105:217–226. doi: 10.1016/S0022-3913(11)60035-8. [PubMed] [CrossRef] [Google Scholar]
- Fradeani M, Barducci G, Bacherini L, Brennan M. Esthetic rehabilitation of a severely worn dentition with minimally invasive prosthetic procedures (MIPP)Int J Periodontics Restorative Dent. 2012;32:135–147. [PubMed] [Google Scholar]
- Magne P, Belser U. Porcelain versus composite inlays/onlays: effect of mechanical loads on stress distribution, adhesion, and crown flexure.Int J Periodontics Restorative Dent. 2003;23:543–555. [PubMed] [Google Scholar]
- Magne P, Douglas WH. Porcelain veneers: dentin bonding optimization and biomimetic recovery of the crown.Int J Prosthodont. 1999;12:111–121. [PubMed] [Google Scholar]
- Magne P, Douglas WH. Diseño interdental de carillas de porcelana en presencia de rellenos compuestos: análisis de elementos finitos de contracción compuesta y tensiones térmicas. En J Prosthodont. 2000; 13: 117–124. [ PubMed ] [ Google Scholar ]
- Cerámica dental de Hian L.: una revisión de nuevos materiales y métodos de procesamiento Restauraciones monolíticas de circonio. 2017; 31: 133–146. [ Google Scholar ]
- Abduo J, Lyons K. Consideraciones clínicas para aumentar la dimensión vertical oclusal: una revisión. Aust Dent J. 2012; 57: 2–10. doi: 10.1111 / j.1834-7819.2011.01640.x. [ PubMed ] [ CrossRef ] [ Google Scholar ]
El diagnóstico en un paciente masculino de 44 años presentó defectos generalizados provocados por disfunción de la articulación temporomandibular y ...
Miguel Stanley, Ana Gomes, Inês Miguel y Christian Coachman filman y fotografían todo el proceso digital de Diseño de Sonrisa.
El Centro de Prácticas Profesionales Avanzadas (CAPP) invita por decimocuarta vez a los profesionales de la odontología al congreso titulado "14thCAD/CAM ...
Un equipo de "Doutores Sem Fronteiras"(DSF), organización brasileña sin ánimo de lucro que brinda atención dental a los pueblos indígenas, visitó por ...
EL Dr. Jonathan L. Ferencz es diplomado de la American Board of Prosthodontics y profesor clínico de prostodoncia y oclusión en la Facultad de...
El Dr. Andreas Klar, presidente de RK, empresa fabricante de avanzadas cámaras intraorales y sistemas CAD/CAM, habló con Dental Tribune en la ...
Conferencias Dentales Virtuales & Exposiciones
La tecnología digital está determinando cada vez más el trabajo en la práctica odontológica cotidiana. Los ...
El especialista en CAD/CAM de la compañía Dent Import ofreció una demostración a Dental Tribune sobre la efectividad de sus sistemas para la confección...
La tecnología CAD/CAM nos abre una nueva dimensión de soluciones que nos permiten realizar tratamientos simples, rápidos y ...
Webinars en vivo
mar. 19 de mayo 2026
9:00 CST (Mexico City)
Webinars en vivo
mar. 19 de mayo 2026
11:00 CST (Mexico City)
Prof. Dr. med. dent. Ivo Krejci
Webinars en vivo
mié. 20 de mayo 2026
5:00 CST (Mexico City)
Dr. Graham Carmichael BDSc (Hons), DClinDent (Pros), FRACDS, Dr. Robert Gottlander DDS
Webinars en vivo
mié. 20 de mayo 2026
7:00 CST (Mexico City)
Webinars en vivo
mié. 20 de mayo 2026
9:00 CST (Mexico City)
Webinars en vivo
mié. 20 de mayo 2026
11:00 CST (Mexico City)
Prof. Dr. med. dent. Tim Joda PhD, MSc, eMBA
Webinars en vivo
jue. 21 de mayo 2026
10:00 CST (Mexico City)
Dr. Leonardo Muniz DDS, MSC
To post a reply please login or register