Search Dental Tribune

Tratamiento de paciente con trasplante e hiperplasia gingival

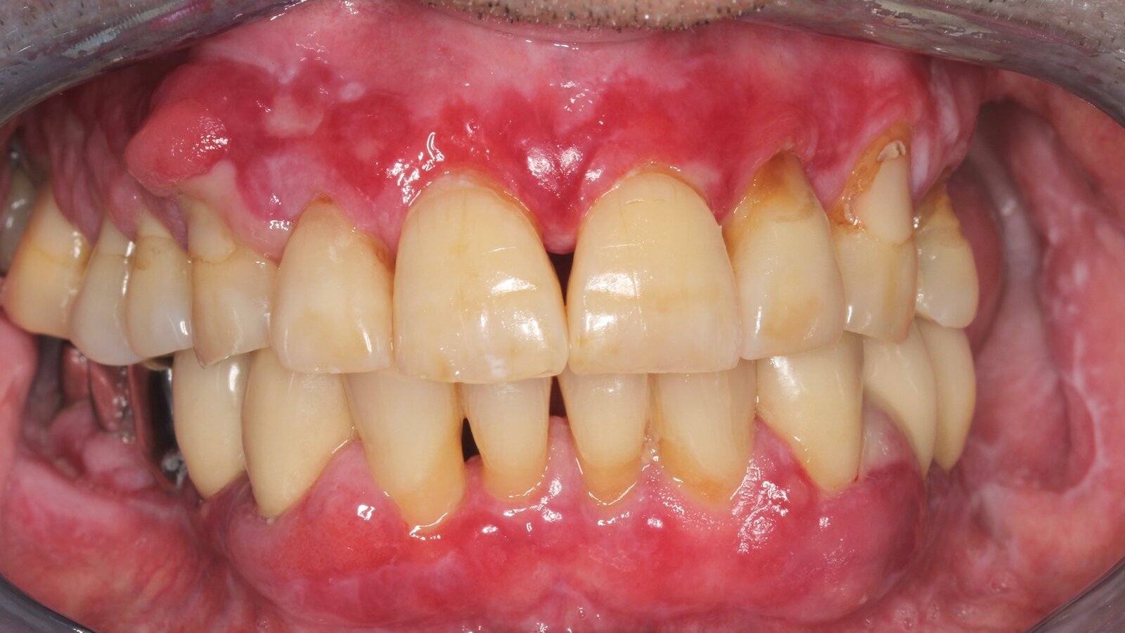
El paciente con trasplante mostraba hiperplasia gingival provocada por la medicación que toma. Los autores siguieron para su tratamiento el Concepto de Prevención Personalizada.
Gerhard Schmalz y Dirk Ziebolz

Gerhard Schmalz y Dirk Ziebolz

vie. 28 enero 2022

guardar

El siguiente caso clínico ilustra el Concepto de Prevención Personalizada, que se ha desarrollado para evitar que los factores de riesgo de la salud general incidan en la salud oral, como sucede con enfermedades asociadas con un mayor riesgo de enfermedad periodontal. El Concepto de Prevención Personalizada (Concept of Individualized Prevention), desarrollado por los autores […]

El siguiente caso clínico ilustra el Concepto de Prevención Personalizada, que se ha desarrollado para evitar que los factores de riesgo de la salud general incidan en la salud oral, como sucede con enfermedades asociadas con un mayor riesgo de enfermedad periodontal.

El Concepto de Prevención Personalizada (Concept of Individualized Prevention), desarrollado por los autores de este artículo, propone una forma de tratamiento preventivo personalizado en salud oral, en el que el foco deja de ser la salud oral aislada para ver al paciente como un todo, lo cual incluye su salud general.

Se presenta en la consulta un paciente de 71 años con trasplante de riñón e hipertensión. Debido a su historia médica, necesita tratamiento continuo con ciclosporina para suprimir el sistema inmunitario y amlopidina para bajar la presión arterial. Además, el paciente relata encías sensibles y sangrantes. Desde el punto de vista de la salud oral, hay dientes restaurados con ocho piezas faltantes, hiperplasia gingival pronunciada, periodontitis en fase II de grado B con bolsas activas y una caries inicial en la pieza 22. En la evaluación del riesgo de caries se establece un riesgo medio (API 60). Para la sesión de profilaxis se hacen las siguientes recomendaciones.

  • Con base en la historia médica, se identifica un riesgo de complicaciones importante. Debido al trasplante de riñón, el paciente está inmunodeprimido (toma ciclosporina), tiene el sistema inmunitario debilitado y necesita profilaxis para infecciones (recomendación: 2g de amoxicilina como antibiótico 1h antes de la sesión). Al mismo tiempo, el tratamiento médico a largo plazo hace que el paciente tenga un mayor riesgo de enfermedad, dado que la hiperplasia gingival detectada está asociada con la medicación que toma.
  • Se debe abordar la situación del paciente, especialmente en lo que se refiere a educación y motivación. La hiperplasia gingival dificulta su higiene oral en casa. La mayor susceptibilidad a infecciones y el avance y nueva formación de hiperplasias debe explicársele de forma sencilla. Al mismo tiempo, deben explicarse las técnicas de higiene adecuadas para sus necesidades individuales.
  • No hay recomendaciones específicas para la limpieza. Según el grado de conocimiento, debe hacerse pulido rotativo de forma selectiva en zonas sensibles a la erosión. Precisamente porque la salud oral del paciente es frágil, es importante aprovechar la sesión de profilaxis para crear las mejores condiciones posibles para el mantenimiento en el hogar, por ejemplo, creando superficies lisas, fluorizando para prevenir las caries y usando un enjuague bucal con clorhexidina para tratar las inflamaciones activas.
  • Se recomienda un intervalo de control posterior más corto, de tres a cuatro meses. Esto se debe principalmente a la hiperplasia gingival asociada con la medicación, la situación asociada de cuidado difícil y el alto riesgo de progresión de la periodontitis.

Recursos

Autores

  1. El Dr. Gerhard Schmalz es médico jefe en el departamento de Policlínico de Medicina y Salud Oral para la Conservación Dental y Periodoncia, del Hospital Universitario de Leipzig, Alemania.
  2. El Dr. Dirk Ziebolz. MSc, es médico jefe en el Policlínico para la Conservación Dental y Periodoncia del Centro Médico de la Universidad de Leipzig, y está especializado en la preservación dental interdisciplinaria y la investigación en servicios de salud.

* Publicado con la autorización del Dr. G. Schmalz y el Prof. Dr. D. Ziebolz.

  TE RECOMENDAMOS: 

El misterio del hueso alveolar en el desarrollo facial (1)

En busca de la sonrisa perdida (1)

El arte de curar en la era digital

La-prevención dental en pacientes diabéticos

• Consejos para triunfar

 

 

To post a reply please login or register
advertisement
advertisement