Search Dental Tribune

Un delicado juego de luces y colores

El reto del presente caso consistía en reproducir en todas sus facetas las características claramente pronunciadas de los dientes contiguos naturales. En última instancia, la corona anterior individual debía integrarse de forma armoniosa en la zona estética. Para conseguirlo, era preciso reproducir las pronunciadas características dentales mediante cerámica de recubrimiento y maquillaje, como describen el protésico dental Renato Carretti y el odontólogo Denis Schafroth.

  CASO CLINICO  

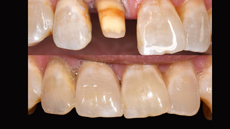
  1. Situación inicial

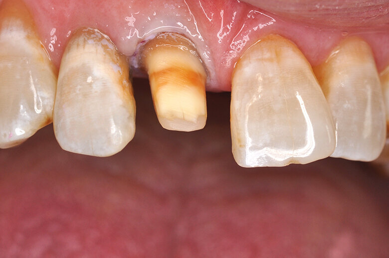
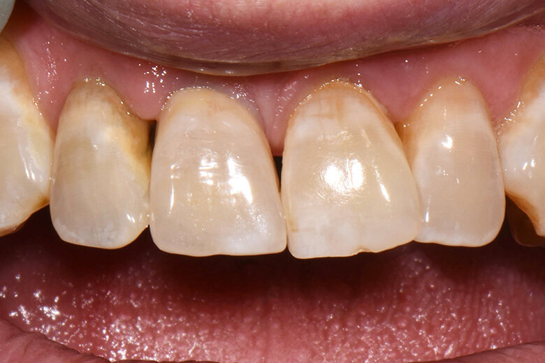
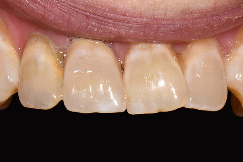
Un jubilado se presentó con una obturación de composite fracturada en el diente 11. El odontólogo y el paciente optaron por estabilizar el diente de forma duradera mediante una corona de cerámica libre de metal. Los dientes naturales presentaban un juego cromático polifacético, en el que destacaban fluorosis blanquecinas y tinciones parduscas. Para el exigente paciente era importante que la nueva restauración presentara una apariencia natural. De ahí que para el recubrimiento de la estructura de dióxido de circonio prevista se optara por la cerámica de recubrimiento rica en matices VITA VM 9, en combinación con los maquillajes VITA AKZENT Plus. En una primera sesión se preparó, se escaneó y se restauró provisionalmente el diente. Como color dental básico se determinó D3.

  1. Recubrimiento altamente personalizado

La estructura de la corona se confeccionó mediante CAD/CAM utilizando dióxido de circonio supertranslúcido, para así poder reproducir de forma óptima el juego de luces de los dientes contiguos. El recubrimiento personalizado se llevó a cabo empleando diversos materiales de dentina y de efectos VITA VM 9. Tras la primera cocción de la dentina se llevó a cabo el control visual. A continuación, se caracterizó la corona en varios pasos parciales y se comprobaron —directamente en boca del paciente— los resultados intermedios cocidos.

  1. Caracterización natural

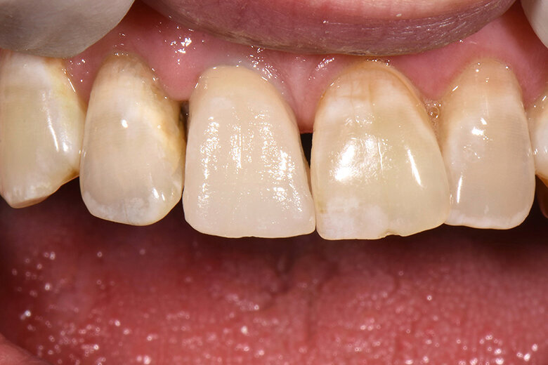
En la zona cervical se obtiene una saturación cromática amarillenta mediante VITA AKZENT Plus CHROMA STAINS B. En esta zona se cumple una característica adicional con los maquillajes VITA AKZENT Plus EFECTO ESTANPA 05 (naranja) y 06 (rojo óxido). Empleando ES 02 de color crema se intensificaron sutilmente las fluorosis en la zona incisiva y en el tercio cervical superior.

“POR CHROMA STAINS A se dio una calidez en la zona central de la corona. Los resultados son muy importantes ”, explica Carretti. Finalmente, los CHROMA STAINS B incrementaron la cromaticidad en la zona interdental. Las caracterizaciones fueron acompañadas por las correspondientes cocciones de fijación, y el estado de la integración óptica.

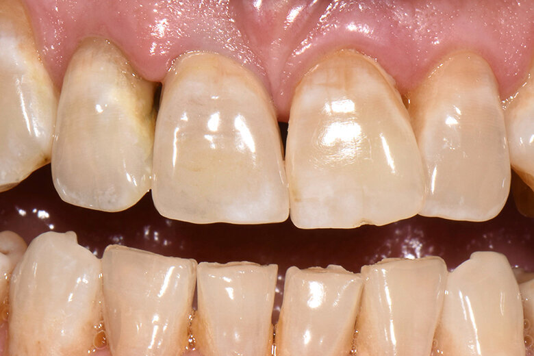
  1. Efecto cromático 3D expresivo

Para que los colores actúen desde el interior, se refiera a la zona central con VENTANA transparente y en la zona incisal se aplique a una estratificación alternativa de EE9 (azulado translúcido) y EE11 (grisáceo translúcido). Tras el acabado mediante un diamante fino y un papel de lija de grano fino, Carretti estaba muy satisfecho: “Para el acabado, solo tuve que realizar la cocción de glaseado con el material de glaseado Agente de acabado ya continuación pulir con piedra pómez”, detallado. La restauración rica en matrices se integra de forma absolutamente armoniosa en la zona estética. El exigente paciente se mostró muy satisfecho con el resultado altamente estético.

“La cerámica de recubrimiento VITA VM 9 y los maquillajes VITA AKZENT Plus permiten obtener prótesis totalmente personalizadas con una apariencia natural".

___________________________________________________________________________

  • Renato Carretti, prótesico dental que ejerce en Zurich, Suiza.
  • Denis Schafroth, odontólogo que ejerce en Dietikon, Suiza.

2 thoughts on “Un delicado juego de luces y colores

  1. Dental Tribune Latin America says:

    Gracias por percibir el error, que ya hemos corregido. Saludos

  2. DIEGO PÌNTO says:

    EN LA IMAGEN NUMERO 2, EN LA DESCRIPCIÓN DICE D4 PERO EN LA FOTO SE APRECIA D3, NO CONCUERDA LO UNO CON LO OTRO

To post a reply please login or register

Dental Summit CoLife 2026: una experiencia digital única

La cultura y la tradición barranquillera dieron la bienvenida al IX Dental Summit CoLife 2026. De izquierda a derecha, Elizabeth Hernández, CEO de CoLife; el Dr. Enrique Jadad, Director Científico; y Samy Camargo, parte del apoyo logístico de la organización. Fotos: Sofía Carreño

mar. 26 mayo 2026

guardar

Barranquilla se convirtió durante tres días en el epicentro de la odontología digital latinoamericana con la celebración del Dental Summit CoLife 2026, un encuentro que reunió a clínicos, especialistas y líderes de la industria en torno a una propuesta diferente: pasar de la teoría a la experiencia práctica.

Lejos del formato tradicional de congreso basado exclusivamente en conferencias magistrales, el evento celebrado del 21 al 23 de mayo, apostó por una inmersión completa en las tecnologías que están transformando la práctica odontológica. La premisa era clara: no basta con conocer la innovación, hay que experimentarla.

 

La inscripción combinó organización y hospitalidad, con una recepción amenizada por música que marcó el inicio de la Experiencia CoLife.

El ritmo y la alegría marcaron la primera experiencia de los asistentes al Dental Summit CoLife en Barranquilla.

Elizabeth Hernández y Eileen Triana, CEO y directora de marketing de la CoLife, respectivamente, posan con un robot en el Dental Summit.

Cuatro referentes internacionales de la odontología contemporánea: Sergio Kohen, Ahmad Al-Hassiny, David Troncoso y Enrique Jadad.

 

Los asistentes tuvieron acceso a talleres prácticos dedicados a escáneres intraorales, impresión 3D, CBCT, CAD/CAM y fotogrametría, permitiéndoles experimentar de primera mano cómo estas tecnologías pueden incorporarse a la consulta diaria.

 

“La mejor forma de entender la innovación es ponerla a prueba”.

 

Tecnología en acción

El programa reunió a 27 mentores internacionales que compartieron conocimientos basados en la experiencia clínica y en la implementación práctica de tecnologías digitales. Entre ellos destacaron figuras reconocidas como Ahmad Al-Hassiny (Nueva Zelanda), Eraldo Pesaressi (Perú), Sergio Kohen (Argentina), Newton Loguercio (Brasil), Álvaro Reuter (España), David Troncoso (Colombia), Luis Basoalto (Chile) o Enrique Jadad, Director Científico del Dental Summit Colife 2026.

El foro Experiencia Tech se consolidó como uno de los espacios más concurridos. En esta zona, los participantes pudieron probar equipos, comparar soluciones digitales y analizar aplicaciones clínicas de la odontología digital. El objetivo era trabajar directamente con los sistemas y evaluar su utilidad en escenarios clínicos concretos.

 

“La odontología digital ya no es una promesa de futuro: es una herramienta clínica disponible hoy”.

 

Las últimas tendencias en blanqueamiento dental fueron analizadas en un panel moderado por el Dr. Enrique Jadad, con la participación de expertos como John Franco, Juan Carlos Covaleda, Sergio Kohen y Juan Carlos Ramírez.

El Dr. Ahmad Al-Hassiny, uno de los referentes internacionales en odontología digital, compartió su visión ante una audiencia que siguió con gran interés su conferencia en el Dental Summit CoLife 2026.

Los asistentes disfrutaron de una experiencia que combinó conocimiento, innovación tecnológica y un ambiente de auténtica camaradería profesional.

El rehabilitador oral José Martínez visitando el stand de Guillermo Rhenals Laboratorio Dental, referente de la odontología restauradora y protésica en Colombia.

La Dra. Patricia Vergara protagonizó una de las sesiones destacadas del Summit, donde combinó la presentación de su conferencia con el lanzamiento de su libro.

El Dr. Camilo Serna presentó la técnica KISS de regeneración ósea guiada, un enfoque que busca simplificar protocolos clínicos manteniendo altos estándares de predictibilidad y éxito terapéutico.

El Dr. David Troncoso, una de las figuras más influyentes de la odontología latinoamericana, durante su intervención en el Dental Summit CoLife.

 

Transformación digital

La digitalización fue el eje central del Summit, pero el encuentro también puso especial énfasis en la rentabilidad y la gestión empresarial, tema sobre el que Dental Tribune publica en estos días una edición especial.

Varias sesiones analizaron cómo la incorporación de tecnología debe responder a una estrategia que debe planificarse para que sea económicamente sostenible. El mensaje fue recurrente: adquirir equipos digitales no garantiza el éxito por sí solo; el verdadero retorno de la inversión depende de la integración adecuada de procesos clínicos, administrativos, comerciales y financieros.

La exposición comercial complementó la experiencia formativa permitiendo conocer algunas de las soluciones más avanzadas disponibles actualmente en el mercado. Escáneres intraorales, sistemas de impresión 3D, plataformas CAD/CAM, soluciones de fotogrametría y herramientas de inteligencia artificial mostraron hacia dónde se dirige la odontología contemporánea.

 

“La tecnología genera valor cuando se integra en un modelo de negocio eficiente y centrado en el paciente”.

 

Más allá de los equipos y la tecnología, el Dental Summit CoLife destacó por generar un ambiente de colaboración y networking entre profesionales procedentes de distintos países. Clínicos, laboratorios, distribuidores, fabricantes y líderes de opinión compartieron experiencias, casos clínicos de éxito y desafíos comunes.

El resultado fue un evento que confirmó una realidad cada vez más evidente: la odontología digital ya no representa una visión de futuro, sino una realidad en nuestro presente.

El Dr. Alfredo Vargas, directivo del posgrado de Rehabilitación Oral de la Universidad Metropolitana de Barranquilla, recibe un bono de manos de una representante de Straumann Group durante el Dental Summit CoLife.

Alejandra Molina, Directora de SprintRay para Latinoamérica, presentó en Barranquilla el sistema de impresión 3D MIDAS, una de las plataformas más destacadas para la fabricación digital de restauraciones dentales.

Directivos de Alliedstar compartieron un momento con el Dr. Ahmad Al-Hassiny, uno de los conferencistas internacionales más esperados del Dental Summit CoLife. En la imagen aparecen Patrick Stockkirsh, General Manager USA; Thais Capp, Directora de Marketing para Latinoamérica; Ariel Brenes, Director Global de Postventa; y Carolina Díaz, Directora de Ventas para Latinoamérica.

El Dr. Wulfran Morón Benítez, expresidente de la Sociedad Colombiana de Ortodoncia y recientemente nombrado Director del Departamento de Ortodoncia de Nova Southeastern University, recibió un homenaje del Grupo Empresarial CoLife en reconocimiento a su destacada trayectoria profesional.

Los conferencists Eraldo Pesaressi, Marinelly Mendes y Luis Basoalto comparten un momento de camaradería durante el Dental Summit CoLife.

Kike Ramírez, el coach encargado de inaugurar y clausurar el Dental Summit CoLife, junto al Dr. Régulo Chapman durante el evento.en el evento.

Referentes de la odontología digital de cuatro países compartieron experiencias y conocimiento durante el Dental Summit CoLife. De izquierda a derecha, Álvaro Reuter (España), Eraldo Pesaressi (Perú), Luis Basoalto (Chile), David Troncoso y Enrique Jadad (Colombia).

Talento colombiano con proyección internacional. En la imagen, Salvador Insignares, Juan Carlos Guerrero, Juan Pablo Platón y Adolfo Maciá junto al Dr. David Troncoso, uno de los mentores del Dental Summit CoLife.

El Dr. Carlos Vélez cautivó a la audiencia con una brillante conferencia sobre el valor de las imágenes diagnósticas 3D en la odontología digital. En la imagen, junto a los odontólogos José Morón y Harold Berdugo.'

 

Barranquilla fue así el escenario de la Experiencia CoLife, que permitió a más de 900 profesionales comprobar que el futuro de la odontología ya está aquí y que hoy puede tocarse con las manos.

 

ARTICULOS RELACIONADOS

_____________________________________________________________________________________________________________________________________

DENTAL SUMMIT COLIFE 2026

La odontología digital es el nuevo standard clínico

VER MAS

_____________________________________________________________________________________________________________________________________

DENTAL SUMMIT COLIFE 2026

Promover la salud oral para reducir la necesidad de restauraciones

VER MAS

_____________________________________________________________________________________________________________________________________

DENTAL SUMMIT COLIFE 2026

El camino hacia la pasividad perfecta en implantología

VER MAS

_____________________________________________________________________________________________________________________________________

DENTAL SUMMIT COLIFE 2026

“La odontología digital potencia nuestro criterio clínico”

VER MAS

_____________________________________________________________________________________________________________________________________

DENTAL SUMMIT COLIFE 2026

La impresión 3D transforma la práctica 

VER MAS

_____________________________________________________________________________________________________________________________________

DENTAL SUMMIT COLIFE 2026

Ortodoncia con láser: más precisa, más humana

VER MAS

_____________________________________________________________________________________________________________________________________

DENTAL SUMMIT COLIFE 2026

Adental: 40 años de precisión, innovación y excelencia

VER MAS

_____________________________________________________________________________________________________________________________________

DENTAL SUMMIT COLIFE 2026

Claves para el abordaje del bruxismo

VER MAS

_____________________________________________________________________________________________________________________________________

DENTAL SUMMIT COLIFE 2026

Cómo integrar la odontología digital en la consulta

VER MAS

_____________________________________________________________________________________________________________________________________

DENTAL SUMMIT COLIFE 2026

¡Vive la odontología digital en acción!

VER MAS

_____________________________________________________________________________________________________________________________________

DENTAL SUMMIT COLIFE 2026

Los protocolos más eficientes entre clínica y laboratorio

VER MAS

_____________________________________________________________________________________________________________________________________

DENTAL SUMMIT COLIFE 2026

Prueba la nueva experiencia de la odontología digital

VER MAS

_____________________________________________________________________________________________________________________________________

 

Temas:
To post a reply please login or register
advertisement
advertisement