El autor asegura en este artículo que las imágenes tridimensionales que proporciona la tomografía computarizada de haz cónico (CBCT) revelan detalles anatómicos únicos de cada paciente que son imposibles de detectar por otros medios, razón por la que se ha convertido en una herramienta fundamental para la colocación de implantes dentales.
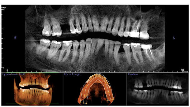
El advenimiento de la tomografía computarizada a finales de la década de 1980 expandió considerablemente la capacidad clínica para visualizar la anatomía de nuestros pacientes, limitada hasta entonces a la radiografía convencional periapical bidimensional o la radiografía panorámica. En principio se utilizó como una herramienta para ayudar a entender el complejo maxilomandibular para la colocación de implantes dentales. Sin embargo, su costo, poca disponibilidad y alta radiación limitaron el uso de esta tecnología. Además, las escuelas dentales no ofrecían cursos de tomografía computarizada. La mayoría de estas barreras desaparecieron con la llegada de la tomografía computarizada de haz cónico (CBCT, por sus siglas en inglés) a principios de la década del 2000. Poco a poco, los tomógrafos CBCT entraron en el mercado y en los consultorios, ofreciendo a los odontólogos un acceso inmediato a esta tecnología de visualización. La evolución de la tecnología trajo consigo sensores más sofisticados, mejoras como campo visual grande y pequeño (FOV) y programas que combinan datos con innovadores programas digitales interactivos para la planificación de tratamientos dentales, lo cual ha ampliado el alcance y la capacidad de esta herramienta diagnóstica (Figura 1).
Figuras 2a y 2b. Imágenes transversales que revelan
la anatomía individual..
Muchas de las complicaciones asociadas con los implantes dentales pueden atribuirse a un mal diagnóstico, a una falta de comprensión completa de la anatomía ósea de cada paciente y de las estructuras adyacentes, o a no poder visualizar adecuadamente la relación entre la restauración deseada y el volumen óseo. Una radiografía panorámica o periapical no puede describir el contorno ni la calidad del hueso, el grosor de las placas corticales bucales o linguales, ni la trayectoria de la dentición natural. La trayectoria de los dientes anteriores mandibulares puede llevar a una colocación deficiente del implante si la relación no se aprecia en su totalidad, como se muestra en la Figura 2a (línea naranja). Además, la ausencia de hueso en el aspecto lingual del diente no se puede determinar con una radiografía bidimensional periapical (flecha amarilla). La anatomía vital adyacente también debe ser visualizada para evitar complicaciones (flecha roja).
Si no se visualizan totalmente el volumen y la trayectoria del diente, los implantes terminan siendo colocados fuera del hueso. El diente anterior maxilar, tal y como se visualiza en el corte transversal de la tomografía, revela cuán singular puede ser la anatomía del paciente, como se muestra en la Figura 2b. En el área facial y palatal hay una concavidad ósea que puede complicar la colocación de un implante si no se realizan procedimientos de injerto adicionales, debido a la escasa información sobre el volumen óseo del área del sitio receptor (flechas amarillas). Si se extrajera el diente y se colocara un implante siguiendo las líneas del lugar de la extracción (línea naranja), se perforaría la placa facial del hueso y terminaría parcialmente en la zona vestibular. Este corte transversal muestra claramente una complicación potencial, igual que si el sitio de extracción fuera injertado previamente al implante, sin considerar el menor grosor del hueso apicalmente. El injerto maduraría bien, pero no sería suficiente para sostener un implante dental si no se hace un injerto en la concavidad facial o se usan avanzadas técnicas de división de la cresta ósea.
Figura 3. Corte transversal
en la región molar que revela patología en los senos (flechas).
Figura 4. Corte transversal
en la región de la sínfisis anterior que revela anatomía significativa.
La maxila posterior es única porque alberga las cavidades maxilares bilaterales de los senos. La relación entre las raíces de los molares maxilares y los senos puede apreciarse en su totalidad con el corte transversal del área (Figura 3). Una inspección más profunda revela una patología o engrosamiento de la membrana de los senos (flechas rojas), la cual puede afectar procedimientos de aumento de senos, extracciones dentales o colocación de implantes. La sínfisis mandibular anterior de ese área varía considerablemente, así como también el grosor de las placas corticales y caries potenciales, que no pueden ser detectadas con radiografía convencional. Un corte transversal ayuda a valorar la mandíbula anterior y a identificar la posible existencia de vasos sanguíneos (flechas rojas), que pueden complicar la colocación de implantes (Figura 4). Si no se identifican estos vasos, la perforación de los mismos durante la cirugía puede resultar en episodios de hemorragia severa que pueden ser difíciles de controlar.
5a. Volumen tridimensaional
de la mandíbula que muestra
un tercer molar impactado.
Figura 5b. "Transparencia selectiva" que permite una visualización optimizada del diente y del nervio.
Figura 6a. Imagen transversal
del tercer molar impactado y
su proximidad al IAN (flecha).
Figura 6b. Corte transversal
del volumen tridimensioanl
que permite una inspección
más detallada del área
La cirugía de terceros molares impactados puede mejorar con tomografía CBCT. La Figura 5a permite visualizar la reconstrucción de un volumen tridimensional. Utilizando herramientas avanzadas, tales como "transparencia selectiva", se pueden asignar diferentes valores de densidad a las estructuras adyacentes, lo cual aumenta nuestra capacidad diagnóstica (Figura 5b). En la imagen se puede ver que el nervio dentario inferior (IAN) atraviesa la mandíbula muy cerca del tercer molar impactado (flecha amarilla). El "volumen" de hueso cortical que cubre parcialmente el molar impactado (flecha roja) puede verse claramente en el corte transversal 12 de la Figura 6a. La proximidad al IAN y la relación con la concavidad lingual es importante para determinar el abordaje quirúrgico (flecha amarilla). El volumen tridimensional también se puede cortar virtualmente para poder inspeccionar mejor la zona (Figura 6b).
Figura 7a. Imagen del volumen
en 3D que muestra ausencia
de dentición en la mandíbula.
Figura 7b. El proceso de "segmentación" permite la extracción virtual del diente.
A la hora de evaluar el arco parcial o completo de dientes naturales, la capacidad de contar con imágenes de CBCT es muy valiosa. Las innovaciones en los programas interactivos de planificación de implantes agregan más funcionalidad al software original del tomógrafo CBCT. Aplicaciones como la capacidad de rotación total, la potencia de zoom y la transparencia selectiva permiten hacer una inspección completa del volumen tridimensional, que maximiza la capacidad diagnóstica. El volumen del hueso alveolar y su relación con el resto de la dentición natural puede evaluarse con el software interactivo para la planificación del tratamiento (Figura 7a). El software facilita la valoración de sitios potenciales de recepción, al permitir la extracción virtual de dientes a través de un proceso llamado "segmentación" (Figura 7b). La segmentación permite separar los diferentes niveles de densidad, mejorando enormemente la capacidad diagnóstica. El hueso anterior puede ser muy delgado para colocar implantes dentales, por lo que la "remoción" virtual de los dientes permite al clínico determinar la cantidad de hueso que debe eliminar para ensanchar la cresta antes de la colocación del implante.
Figura 8a. Una "plantilla de reducción ósea" permite la nivelación precisa del hueso
para la colocación de implante.
Figura 8b. Simulación de colocación de cinco implantes
en el hueso nivelado entre forámenes dentales.
Un software sofisticado permite nivelar el hueso a la altura y grosor vertical deseado. Este autor ha creado una plantilla especial para ayudar en la remoción del hueso, llamada plantilla de reducción ósea o "bone reduction template" (Figura 8a). Una vez que el hueso se ha nivelado virtualmente, se puede evaluar el hueso restante en relación con el número de implantes que se quiere colocar con objeto de restaurar el arco de manera exitosa. En este caso, se determinó que se deben colocar cinco implantes en la región de la sínfisis mandibular para dar suficiente soporte a una restauración fija de tipo híbrido (Figura 8b). Obsérvese que los implantes son paralelos, otra función automática de algunos programas. La colocación paralela incrementa la probabilidad de un encaje pasivo de las barras protésicas, asistiendo de esta forma a la fase de laboratorio de la reconstrucción del implante. En el momento de la cirugía se extraen los dientes, el hueso se remueve utilizando la plantilla de reducción y se usa una plantilla diferente para colocar el implante.
Esta breve revisión revela la multitud de aplicaciones que la tomografía CBCT ofrece a los clínicos que quieren ampliar su capacidad diagnóstica para realizar diversos procedimientos intraorales. El reciente documento de consenso del ICOI (Congreso Internacional de Implantólogos Orales) sobre el uso de CBCT para implantes dentales, y el informe de la AAOMR (Academia Americana de Radiólogos Orales y Maxilofaciales), confirman el valor de la imagen tridimensional para la colocación de implantes dentales cuando se utiliza de forma adecuada. Independientemente del procedimiento específico, la tomografía CBCT requiere de capacitación para entender la anatomía individual del paciente a través de imágenes tridimensaionales, al igual que para dominar el software interactivo para la planificación del tratamiento.
* El Dr. Ganz es un pionero en el campo de los programas de tomografía para el diagnóstico y planificación del tratamiento. Profesor en el Departamento de Restauración y Ciencias Diagnósticas de la Universidad de Medicina y Odontología de Nueva Jersey (UMDNJ) y del Centro Médico de la Universidad de Hackensack, es autor del libro "Guía ilustrada sobre implantes dentales". Mantiene práctiva privada dedicada exclusivamente a prostodoncia e implantes dentales en Fort Lee, Nueva Jersey (EE UU). Contacto: www.drganz.com. _____________________________________________________________________________
El especialista en CAD/CAM de la compañía Dent Import ofreció una demostración a Dental Tribune sobre la efectividad de sus sistemas para la confección...
La plataforma de gestión de tratamientos de apnea del sueño y ronquido de OrthoApnea, ApneaDock, es una herramienta para ayudar en el tratamiento de tus ...
James B. Fine, Decano Principal de Estudios de Postdoctorado para Asuntos Académicos y Estudiantiles del Centro Médico de la Universidad de Columbia, en ...
La figura del higienista dental ha evolucionado más allá de la profilaxis y la educación en salud bucodental convirtiéndose en un miembro esencial de ...
El especialista en marketing Roberto Ardila señala la importancia que tiene la calidad de la atención desde el primer contacto, ya que la confianza que se...
Formación
Webinars en vivo mié. 29 de abril 2026 17:00 CST (Mexico City)
La ortodoncia está entrando en una nueva era marcada por la integración de tecnologías digitales y herramientas biológicas avanzadas. Entre ellas, el ...
La odontología vive una transformación profunda impulsada por la digitalización. Tecnologías como el escaneo intraoral, el diseño CAD y la impresión ...
To post a reply please login or register