Search Dental Tribune

Nueva línea de radiología con funciones inteligentes

La línea de radiología Seethrough incluye cinco productos intraorales y extraorales de alta calidad y precisión. Fotos: W&H
W&H

W&H

lun. 24 marzo 2025

guardar

El nuevo sistema incluye cinco productos intraorales y extraorales de alta calidad y precisión.

La compañía austríaca W&H irrumpe sorpresivamente en el panorama dental con una nueva línea de radiología que incluye cinco avanzadas soluciones y un nuevo software que sienta nuevos estándares en este campo. Estas soluciones, para aplicación extraoral o intraoral, ofrecen la máxima facilidad de uso, la mejor calidad de imagen y una avanzada conectividad.

La línea de radiología Seethrough está cuidadosamente diseñada y cuenta con dos unidades CBCT –Seethrough Max y Seethrough Flex–, un brazo periapical y dos fuentes de lectura: un escáner PSP y un sensor digital.

"Nuestras soluciones dan prioridad tanto a la excelencia clínica como a la seguridad del paciente, ya que proporcionan imágenes de alta calidad con dosis seguras para el paciente, para obtener diagnósticos precisos ", explica Valeria Ferrari, Directora de Productos de W&H.

Cinco productos, cinco principios comunes

Las soluciones Seethrough comparten cinco principios básicos: una calidad de imagen excepcional; una integración perfecta con cualquier sistema de gestión de clínicas, funciones inteligentes como la corrección del movimiento, la ayuda a la colocación y los procesos de registro guiados, así como innovadoras herramientas de Inteligencia Artificial que respaldan el análisis de las imágenes y el diagnóstico. Además, todos los productos están conectados a ioDent, la plataforma en la nube de W&H, lo que permite utilizar imágenes online, guardar datos de pacientes y mucho más.

 

 

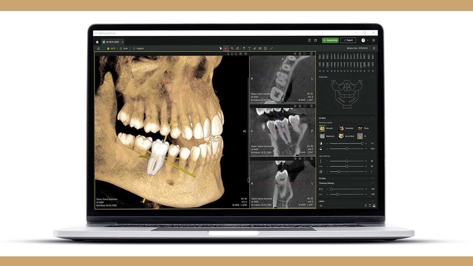
  El avanzado software Seethrough Studio garantiza los altos estándares de esta nueva línea de radiología de W&H.

 

Seethrough Max y Seethrough Flex ofrecen una calidad de imagen excelente, simplifican la captación de imágenes y facilitan la interacción con el paciente gracias a la colocación cara a cara. Los dispositivos CBCT de W&H son intuitivos y se integran a la perfección en los flujos de trabajo existentes. Seethrough Max destaca por su excepcional cobertura del FOV, que lo hace ideal para una amplia gama de aplicaciones, desde el más mínimo detalle en endodoncia a secciones precisas de implantología o volúmenes craneales completos para cirugía maxilofacial o aplicaciones ORL. En contraste, Seethrough Flex proporciona imágenes precisas en los lugares más pequeños, lo que la convierte en la elección perfecta para las aplicaciones dentales más comunes.

Seethrough Studio eleva la odontología digital

El revolucionario software Seethrough Studio es un factor decisivo de la línea completa de radiología de W&H. "Nos hemos esforzado mucho para que el software sea lo más intuitivo posible, desde la captación de imágenes hasta el módulo de análisis, integrando todos los productos en un solo software y añadiendo también un módulo de planificación de implantes", explica Ferrari. Además, están disponibles también la selección libre del FOV en la imagen radiográfica y funciones basadas en IA, como la segmentación de dientes, el reconocimiento automático de nervios, la generación de líneas de arcos, la alineación de volúmenes 3D y una ayuda práctica para la detección de distintas patologías.

Pida aquí información sobre Seethrough.

 

ARTICULOS RELACIONADOS

_______________________________________________________________________________________________________________________________

ENTREVISTA

"La innovación está en nuestro ADN"

"Hemos pasado de ser fabricantes de instrumentos odontológicos de precisión a proveedores de soluciones clínicas".

Peter Malata

VER MAS

_______________________________________________________________________________________________________________________________

ODONTOLOGIA DIGITAL

El motor del Summit
de Odontología Digital 

Elizabeth Hernández Puerto

Un aspecto clave del Summit es la financiación que ofrece para la transformación digital de los odontólogos.

VER MAS

_______________________________________________________________________________________________________________________________

RADIOLOGIA

Radiología inteligente para clínicas especiales

Soluciones basadas en calidad de imagen, integración de flujos de trabajo, funcionalidades asistidas, conectividad y herramientas basadas en IA.

W&H

VER MAS

_______________________________________________________________________________________________________________________________

CASO CLINICO

Protocolos para
selladores en lesiones cariosas

Eraldo Paressi

Una explicación sobre hasta cuánto se debe postergar la primera intervención operatoria en caries dental.

VER MAS

_______________________________________________________________________________________________________________________________

CONGRESOS & EXPOSICIONES

El país ideal para el
FDI Regional Congress

Javier de Pisón

"El Congreso Regional de FDI en Costa Rica es una oportunidad única que nadie debe desaprovechar”.

VER MAS

_______________________________________________________________________________________________________________________________

INVESTIGACION

Los inmensos beneficios en la salud general
de la Ortodoncia Médica 

Extraordinarios resultados en la sonrisa, la función y la estética facial, con procedimientos relativamente sencillos y poco invasivos.

David Suárez Quintanilla

VER MAS

_______________________________________________________________________________________________________________________________

CIRUGIA PIEZOELECTRICA

Piezoeléctrico + motor de implantes en un solo dispositivo

Este avanzado dispositivo abre nuevas posibilidades en campos, que van desde la cirugía oral a la implantología o la endodoncia.

W&H

VER MAS


 

EDICIONES RECOMENDADAS

Pura vida: la FDI en Costa Rica

 

 

Edición Especial sobre Piezocirugía #1

 

Edición Especial sobre Piezocirugía #2

 

• Especial sobre Blanqueamiento Dental

 

• Especial sobre Técnicas de escanear

 

• Especial sobre Formación en Odontología

 

• Edición Especial sobre Láser en Odontología

 

• Edición Especial sobre Odontogeriatría

 

Edición Especial sobre Cáncer Oral

 

 

 

 

 

 

 

Temas:
To post a reply please login or register
advertisement
advertisement