El experto francés Yassine Harichane aborda el tema del blanqueamiento dental de pacientes en tratamiento ortodoncia, ofrece indicaciones para su tratamiento y una serie de consejos y trucos y explica que es el complemento perfecto para finalizar un proceso de ortodoncia.
El blanqueamiento dental es un procedimiento terapéutico que proporciona el toque final al tratamiento de ortodoncia. Los objetivos en ortodoncia funcional son: restaurar la función masticatoria, deglución, respiración, fonación, equilibrar la estética con una armonización del rostro y mejorar la sonrisa.
Para lograr este último objetivo, se debe tener en cuenta varios criterios: alineación de los dientes, color y forma de los mismos, e incluso considerar la forma de los labios. Todos estos parámetros son importantes. Sin embargo, el aspecto más visible de la sonrisa es el color dental. Se puede restaurar la función, corregir una disfunción oclusal, cerrar un diastema o incluso inyectar rellenos dérmicos, pero si los dientes quedan con una tonalidad amarillenta, la sonrisa no es atractiva.
“Esta herramienta de la odontología estética agrega valor al consultorio de ortodoncia y al equipo dental involucrado en el proceso”.
El blanqueamiento dental es una solución terapéutica que restaura el brillo natural de los dientes al eliminar las manchas orgánicas. Es un procedimiento fácil de realizar para el ortodoncista y, más aún, el asistente dental puede participar en todo el proceso donde solo hay ventajas, ya que es un tratamiento no invasivo, no requiere anestesia, no produce destrucción irreversible del diente, y es adecuado para la mayoría de los pacientes.
El blanqueamiento dental es una técnica rentable que requiere poco material y tiempo, y es eficiente si el profesional es riguroso. Además, la principal preocupación de los pacientes se resuelve porque se trata de un tratamiento indoloro.
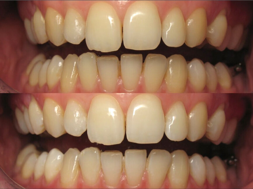
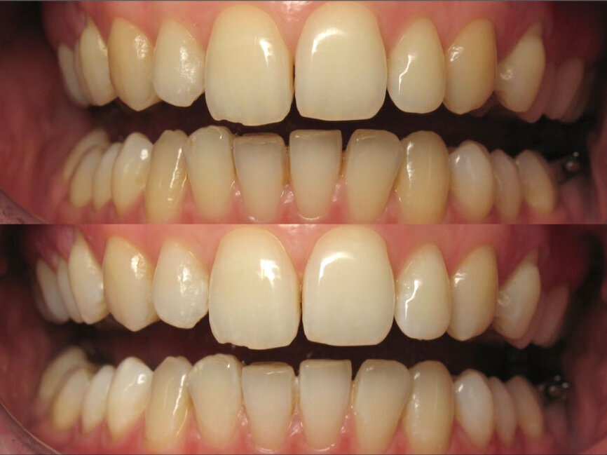
Antes y después del blanqueamiento en el consultorio de un paciente con tratamiento ortodóntico lingual.
Figura 1. Paciente con tratamiento de ortodoncia lingual.
Figura 2. Protección de tejidos blandos durante un procedimiento de blanqueamiento dental en consultorio.
Figura 3. Aplicación de gel blanqueador de dientes en la cara vestibular de los dientes.
Figura 4. Antes y después del blanqueamiento dental en el consultorio de un paciente con tratamiento ortodóntico lingual.
Figura 5. Opalescence Office Kit para blanqueamiento en el consultorio.
Figura 6. Cubetas a medida.
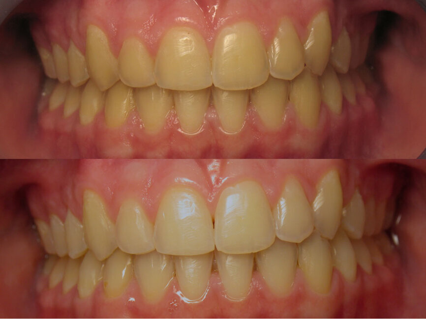
Figura 7. Caso clínico antes y después del blanqueamiento dental en casa con cubetas personalizadas.
Figura 8. Opalescence PF Kit para blanqueamiento para el hogar.
Figura 9. Opalescence Go Kit para blanqueamiento para el hogar.
Figura 10. Caso clínico antes y después de un blanqueamiento dental con cubetas listas para usar.
Figura 11. Cubetas precargadas en los dientes.
Figura 12. Barniz Profluorid para el tratamiento de hipersensibilidad dental.
Figura 13. Remin Pro para uso doméstico.
Figura 14. Remin Pro Forte para uso doméstico.
Figura 15. Modelo de yeso piedra con resina en las caras vestibulares.
Figura 16. Bifluorid 10 para fluorización en consultorio.
¿Cómo funciona?
El color del esmalte puede cambiar debido a manchas de tabaco, comida, trauma. El protocolo implica la aplicación de un producto para blanquear los dientes, como peróxido de hidrogeno, peróxido de carbamida o perborato de sodio, siendo el último el que no debiera usarse, ya que está clasificado como reprotóxico. Los dos primeros son eficientes y seguros, la diferencia entre ellos radica en el hecho de que el peróxido de hidrogeno es el ingrediente activo y el peróxido de carbamida es un derivado que se degrada en peróxido de hidrógeno. Este proceso es adecuado cuando el profesional desea un efecto suave y progresivo; en cuanto a la dosificación, el porcentaje proporcionado por el fabricante refleja la concentración: 1% de peróxido de hidrógeno es equivalente a 3% de peróxido de carbamida.
¿Cuáles son las indicaciones?
Hay dos indicaciones principales: manchas intrínsecas post-erupción y manchas extrínsecas. Las manchas intrínsecas post-erupción se refieren principalmente a casos clínicos que involucran necrosis pulpar (trauma, tratamiento endodóntico, calcificación endodóntica). Por su parte, las manchas extrínsecas pueden ser producidas por el tabaco, decoloración producto del envejecimiento y manchas fisiológicas, siendo esta última la categoría o condición que se aplica la mayoría de los tratamientos post-ortodónticos. De hecho, el blanqueamiento dental permitirá un acabado hermoso al complementar el resultado de la ortodoncia. El paciente notará la diferencia (no solo tendrá dientes bien alineados sino también más blancos), olvidando de esta manera que el proceso de ortodoncia tomó un largo tiempo. El ortodoncista no solo restaurará la función, sino también mejorará el resultado estético sin dolor.
¿Cómo realizar un blanqueamiento dental?
Las diferentes técnicas serán demostradas a través de los casos clínicos. En el primer caso, la paciente estuvo siendo tratada con un dispositivo lingual (Fig. 1) y deseaba blanquear sus dientes. Se consideró que el blanqueamiento dental en el consultorio sería el más adecuado; los tejidos blandos (encías, lengua y labios) fueron protegidos (Fig. 2), para proceder con la aplicación del producto en las caras vestibulares de los dientes (Fig. 3), una nueva dosis fue re aplicada cada 15-20 minutos, cuidando cada detalle. Se puede obtener un buen resultado (Fig. 4) con un producto suave y eficiente que contenga peróxido de hidrógeno al 6% (Opalescence Office, Ultradent; Fig. 5). Para este caso, se eligió el peróxido de hidrógeno porque su eficacia es inmediata, siendo el ingrediente activo lo suficientemente fuerte como para observar una diferencia y lo suficientemente bajo como para evitar la hipersensibilidad dental térmica temporal.
Además le fue entregado un kit de blanqueamiento para llevar a casa, que implica el uso de cubetas que serán cargadas con un gel de blanqueamiento dental. Después del tratamiento de ortodoncia, hay dos opciones disponibles, se toman las impresiones de ambos arcos, luego con los modelos en yeso piedra, confeccionamos las cubetas flexibles termo formadas y personalizadas, las que serán empleadas para el blanqueamiento dental (Fig. 6). En una segunda cita el paciente recibe las cubetas y el producto junto con las instrucciones para el usuario, que deberá utilizarlas por un periodo de una a dos semanas durante 60-120 minutos (Fig. 7). Para esta aplicación, se puede elegir peróxido de carbamida de 10% o 16% (Opalescence PF, Ultradent; Fig. 8). La elección del peróxido de carbamida es adecuada para la aplicación en el hogar, ya que el gel libera peróxido de hidrógeno progresivamente. La elección de la concentración depende del caso clínico. Un paciente joven o un paciente con hipersensibilidad dental térmica ya tratada debe usar peróxido de carbamida al 10%; mientras que cualquier otro paciente sin antecedentes de sensibilidad o un ex fumador deben usar peróxido de carbamida al 16%.
Por otro lado si el profesional no desea preparar las cubetas en el consultorio o en el laboratorio, se puede usar un kit ya preparado que contiene cubetas listas para usar (Opalescence Go, Ultradent; Fig. 9). En este caso, en la primera cita, el paciente recibe un kit que contiene una cubeta precargada con producto para blanquear los dientes. Una vez en casa, durante diez días aproximadamente, el paciente se coloca la cubeta en la boca y deja que el gel trabaje durante 60-90 minutos (Figs. 10 y 11). Es un enfoque de gran ahorro de tiempo para el paciente y el ortodoncista, con un resultado sin compromisos.
Costo de materiales y tarifa de tratamiento
Para la aplicación en el consultorio, un kit de Opalescence Office cuesta aproximadamente $99 USD. Por lo general, el kit contiene dos jeringas, suficiente para dos citas de un mismo paciente o dos pacientes diferentes. Para la aplicación del producto blanqueador en el hogar, y si el consultorio posee una máquina de termoformado, la asistente dental preparará las cubetas, utilizando las láminas de termoformado cuyo costo aproximado es de $2 USD. De lo contrario, un técnico dental generalmente cobra $55 USD para producir un par de cubetas personalizadas, pero si prefiere emplear el kit Opalescence PF de peróxido de carbamida al 10% o 16% el costo aproximado es de $66 USD. Otra alternativa para el ortodoncista que no desea invertir tiempo y dinero en cubetas personalizadas es el kit listo para usar, cuyo costo es de $77 USD para cubetas ya cargadas con gel para blanqueador. La aplicación en el consultorio requiere 1 hora. El profesional no necesita estar con el paciente durante todo el procedimiento, sino que aplica el gel y lo deja completar su ciclo. En las cubetas personalizadas, una primera cita es necesaria para la toma de impresiones y otra para la entrega de las mismas y el producto, en total menos de 15 minutos. De lo contrario, las cubetas precargadas se entregan al paciente y la asistente dental explica el proceso en una breve cita. En nuestra experiencia, tener cubetas personalizadas con buen ajuste reduce significativamente cualquier ingreso de saliva y siempre proporciona resultados óptimos.
La tarifa depende de la estrategia financiera de cada consultorio dental. El tratamiento puede ser gratuito, una forma de ofrecer un regalo después de un procedimiento de ortodoncia largo y/o costoso, o para compensar un resultado final imperfecto. Si es un regalo, el paciente se siente privilegiado. De lo contrario, las tarifas se calculan de acuerdo con el costo por hora dl consultorio, en función del tiempo dedicado al proceso según lo estimado por el especialista. Una posibilidad final es que el propietario de la clínica determine la tarifa basada en lo que cobra la competencia. El costo promedio es de $770 USD para la aplicación en la clínica, $440 USD para la aplicación en el hogar con cubetas personalizadas y $220 USD para el kit Opalescence Go.
Consejos y trucos
La experiencia indica que algunos pacientes pueden sentir sensibilidad dental térmica, algo para lo cual el especialista tiene muchas opciones. Entre la gran cantidad de productos en el mercado, el barniz Profluorid (VOCO; Fig. 12) ofrece una estabilidad particular. Este barniz, que se aplica a la superficie del diente, tiene propiedades desensibilizantes. Su uso es totalmente adecuado para el blanqueamiento dental. También recomendamos enviar al paciente a casa con un kit de profilaxis (Remin Pro o Remin Pro Forte, VOCO; Figs. 13 y 14).
Otro consejo es utilizar las cubetas personalizadas para realizar el blanqueamiento en el hogar, lo que evita que el producto blanqueador se aprete entre la cubeta y los dientes y pueda fluir hacia las encías, ocasionando sensibilidad.
Para la sensibilidad dental el especialista tiene muchas opciones, como el barniz Profluorid que ofrece una estabilidad particular.
Además, recomendamos leer las instrucciones del fabricante y preparar un espacio en la cubeta de acuerdo con éstas. Para este fin, solo se necesita agregar un poco de resina a las caras vestibulares de los dientes en el modelo de yeso (Fig. 15). La ventaja es doble, ya que esta preparación, 1), guiará al paciente a colocar la cubeta y, 2), empleará la cantidad exacta de gel en el lugar correcto sin exceso. Durante el blanqueamiento, el paciente no debe fumar ni consumir bebidas que pigmentan como el café y el té para evitar una nueva coloración de los dientes. La mejor solución es realizar la aplicación de fluoruro después del tratamiento. El kit de fluoruro (Bifluorid 10, VOCO; Fig. 16) contiene dosis únicas para aplicar en las caras vestibulares de los dientes. Este barniz de flúor protegerá la superficie del diente contra las manchas para mantener un buen resultado a largo plazo.
Conclusión
El blanqueamiento dental es un procedimiento que complementa el acabado de ortodoncia. Es un toque final que marca una diferencia visible. La técnica es simple y no requiere un entrenamiento largo y exigente, solo un estricto cumplimiento del protocolo. El rigor del profesional es suficiente para entender el protocolo. Esta herramienta de la odontología estética agrega valor a la clínica especializada en ortodoncia y al equipo dental involucrado en el proceso, desde la recepción hasta el sillón, sin mencionar que mejora significativamente las fotografías de antes y después. Finalmente, todos, desde paciente al equipo de la clínica, quedarán satisfechos al final del tratamiento.
____________________________________________________________________
El doctor Yassine Harichane, que mantiene una práctica privada en París, Francia, se graduó en la Universidad de París Descartes, donde realizó una maestría y un doctorado en células madre de la pulpa dental.
Notas
El autor declara que no tiene conflicto de intereses con las marcas citadas.
El autor agradece a la Dra. Ivonne Ayestas por la traducción del texto original y la revisión. Este artículo fue publicado originalmente en DTI Ortho Vol.3(2)2018:18-22.
Enrique Jadad Bechara, co-autor del libro “Estética y blanqueamiento dental en la era digital”, revisa en este artículo la evidencia científica sobre...
Opalescence Go es un sistema blanqueamiento que no necesita de impresiones, modelos ni laboratorio. El producto viene en las cubetas precargadas de ...
Las Newsletters de Dental Tribune, donde aparecen éste y otros artículos, ofrecen contenido exclusivo para suscriptores y también artículos de acceso ...
Tres reconocidos investigadores se han dedicado durante años a realizar pruebas, comparar y determinar cuáles son los elementos diferenciadores de un ...
El Profesor y Doctor David Suárez Quintanilla fue el encargado de dar el discurso con el que la Real Academia de Medicina de Galicia inauguró el curso ...
Los autores abordan en este artículo uno de los grandes retos de la Ortodoncia: cómo mantener la estabilidad y la retención de los resultados tras el ...
David Suárez Quintanilla, catedrático de Ortodoncia de la Universidad de Santiago de Compostela, lanza un blog en el que describe la relevancia que tiene ...
El mercado global de productos de ortodoncia alcanzará aproximadamente 3.900 millones de dólares en 2020, a una tasa compuesta de crecimiento ...
La autora describe en esta columna, destinada a personas interesadas en procedimientos de aclaramiento dental, los mitos sobre los diferentes productos ...
Webinars en vivo
mar. 19 de mayo 2026
9:00 CST (Mexico City)
Webinars en vivo
mar. 19 de mayo 2026
11:00 CST (Mexico City)
Prof. Dr. med. dent. Ivo Krejci
Webinars en vivo
mié. 20 de mayo 2026
5:00 CST (Mexico City)
Dr. Graham Carmichael BDSc (Hons), DClinDent (Pros), FRACDS, Dr. Robert Gottlander DDS
Webinars en vivo
mié. 20 de mayo 2026
7:00 CST (Mexico City)
Webinars en vivo
mié. 20 de mayo 2026
9:00 CST (Mexico City)
Webinars en vivo
mié. 20 de mayo 2026
11:00 CST (Mexico City)
Prof. Dr. med. dent. Tim Joda PhD, MSc, eMBA
Webinars en vivo
jue. 21 de mayo 2026
10:00 CST (Mexico City)
Dr. Leonardo Muniz DDS, MSC
Excellent exposure. Greetings from Lima Peru ??