La autora describe en esta columna, destinada a personas interesadas en procedimientos de aclaramiento dental, los mitos sobre los diferentes productos caseros que se usan para el blanqueamiento y recomienda ir siempre a un odontólogo capacitado.
LA FUERZA DE LA MUJER
¿A quién no le gustan los dientes blancos? Hasta Ross en la serie televisiva “Friends” los quería. Todos soñamos con dientes blancos, quizás es el tratamiento más solicitado en nuestras consultas, pero lo primero que debemos saber es que no existe blanqueamiento casero eficaz y que no existen dientes completamente blancos de forma natural. El color de los dientes depende de varios factores, en primer lugar, la herencia y, en segundo lugar, de las capas del diente, definido por el color de la dentina, su grosor y la cantidad de esmalte. Existen además factores externos, como el cigarrillo, que pueden causar manchas en el esmalte dental, lo que varía el color de éste. Así que si eres fumador empedernido, debes tener claro que tus dientes jamás serán blancos.
Todos aspiramos a tener una dentadura totalmente alineada y perfectamente blanca. A veces esta obsesión, bien sea por falta de conocimiento o desesperación, nos lleva a aplicar tratamientos que nos venden en televisión o recetas que nos recomiendan nuestros conocidos, que no son eficaces y que en muchos casos pueden causarnos daños graves en los dientes. Lo barato sale siempre caro, el único capaz de realizar tratamiento para blanquear dientes, es el dentista, ni los consejos de las amigas ni los productos vendidos en establecimientos, ayudan.
“Existen también pastas dentales a base de carbón, sumamente erosivas; piensen si de verdad algo así puede ser bueno".
Empecemos con los mitos sobre el blanqueamiento dental; aquí es muy importante prestar mucha atención, así que enfoquémonos.
Las pastas dentales blanqueadoras, esas que conseguimos en cualquier establecimiento, tienen poca eficacia pues no contienen agentes blanqueadores como el bicarbonato de sodio, solo contienen sustancias abrasivas que eliminan manchas externas y da la sensación de que los dientes están blancos. Lo único que vamos a lograr es el desgaste del esmalte dental por abrasión. Así que, queridos lectores, NO SIRVE.
Otra receta muy común entre amigas, son las pastas hechas con bicarbonato de sodio, jugo de limón y agua oxigenada, frotar los dientes con limón o los chicles blanqueadores. Repitamos todos juntos: NO FUNCIONA, ES UN MITO. Pero lo mas importante es saber que son sustancias abrasivas, que solo van a causar daños en el esmalte dental, produciendo una gran sensibilidad dental. Así que, queridos lectores, NO CREAN en este cuento.
Hay quienes hacen pastas con fresas o la piel del plátano, una vez más, ES UN MITO, NO SIRVE, pero a diferencia de las otras recetas, ésta no causa ningún daño.
Ahora, hablemos del agua oxigenada. Sola, por sí misma, no produce ningún blanqueamiento, pues necesita ser activada con una luz especial o por un efecto químico que no tiene cualquier mortal en su casa. Así que mis queridos lectores, tampoco funciona. Su abuso sí contribuye a resecar las encías: descartemos ésta también.
Existen kits con férulas termo-moldeables o tiras de blanqueamiento, que se venden en farmacias o tiendas por departamento, que aunque puedan blanquear; recordemos que esto debe estar controlado por profesionales capacitados, pues pueden producir sensibilidad dental, irritación en las encías. Los blanqueamientos dentales son productos químicos que deben ser manipulados solamente por los dentistas.
Los kits con luces LED o luces aceleradoras, tampoco, mis queridos lectores, son efectivas, por más caros que sean. Es indispensable que tengas claro que solo será efectivo si es realizado por los dentistas. Existen también las pastas dentales a base de carbón, sumamente erosivas; ésta es inclusive de color oscuro... no inventen y piensen si algo así de verdad puede ser bueno.
Una vez entendido que el blanqueamiento dental no es un juego de carritos y que solo debe ser realizado por un profesional, apunta tu cita en tu clínica dental de preferencia.
Todos los tratamientos realizados en consulta funcionan. Existen dos tipos de blanqueamientos, uno a base de peróxido de carbamida y otro a base de peróxido de hidrogeno.Su efecto es similar, solo que la carbamida es más lenta su acción.
Su acción se basa en un gel de carbamida o hidrógeno en diferentes concentraciones, que entra por los poros del esmalte y se libera en su interior. El blanqueamiento dental puede producir sensibilidad mientras se realiza, pero es reversible, una vez terminado el tratamiento o unos días después, esta sensibilidad desaparece. Muchas veces se recomienda el uso de pastas para desensibilizar o enjuagues tópicos de flúor con pH neutro. Este tratamiento no es abrasivo, por lo que no afecta el esmalte dental, no lo debilita.
No todos los pacientes y no todos los dientes responden igual al tratamiento; no es lineal en todos los dientes, no blanquean igual en todos los pacientes, no produce sensibilidad en todos los tratados y en unos pacientes es más rápido que en otros. Durante el proceso, es necesario no consumir ciertas bebidas con colorantes, como café o té negro, pues altera la efectividad del mismo. El blanqueamiento dura entre 1 a 3 años y el especialista, de considerarlo, puede hacer consulta de mantenimiento o refuerzo anual. Los pacientes menores de 15 años no deben realizarse un blanqueamiento, pues su esmalte no está completamente formado; tampoco es recomendado para mujeres embarazadas o pacientes con problemas periodontales, inclusive aquellos que sean alérgicos a algún componente.
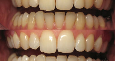
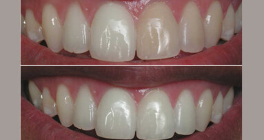
El blanqueamiento dental, realizado por un especialista, es una técnica efectiva que no produce daños irreversibles en los dientes; muy por el contrario, los beneficios estéticos en el paciente son grandiosos, inclusive desde la primera sesión. Los pacientes siempre sonreirán más cuando estén conforme tanto con la anatomía de sus dientes como con el color de los mismos.
Recordemos que lo barato siempre sale caro o muy caro, así que si deseas realizarte un blanqueamiento dental, no lo piensas más: pide tu cita con tu dentista, solo él o ella tiene las herramientas y conocimientos necesarios para logarlo.
____________________________________________________________________
* La doctora Carolina Bechara Amengual, odontóloga egresada de la Universidad Central de Venezuela, trabajó en diversas instituciones de salud pública durante 14 años y ejerce en Caracas.
El Profesor Rony Joubert, experto en odontología estética y reconocido conferenciante internacional, hace un repaso de los procedimientos de aclaramiento ...
Enrique Jadad Bechara, co-autor del libro “Estética y blanqueamiento dental en la era digital”, revisa en este artículo la evidencia científica sobre...
El Dr. Gálvez Núñez se adentra en el escabroso tema de los blanqueamientos dentales y la eficacia o no de métodos dudosos, como las lámparas, para ...
Opalescence Go es un sistema blanqueamiento que no necesita de impresiones, modelos ni laboratorio. El producto viene en las cubetas precargadas de ...
Iveri Whitening Sytem presentó en Puerto Rico su sistema de blanqueamiento dental para uso en el consultorio en una o dos sesiones de 20 minutos, el ...
El experto francés Yassine Harichane aborda el tema del blanqueamiento dental de pacientes en tratamiento ortodoncia, ofrece indicaciones para su ...
El experto en estética y fotografía dental, Dr. Miladinov Milos, impartió una conferencia en el Greater New York Dental Meeting 2015 ...
Tres reconocidos investigadores se han dedicado durante años a realizar pruebas, comparar y determinar cuáles son los elementos diferenciadores de un ...
La compañía brasileña FGM ofreció en la 65 Expo AMIC Dental en CIudad de México una amplia serie de conferencias y ...
Webinars en vivo
mar. 19 de mayo 2026
9:00 CST (Mexico City)
Webinars en vivo
mar. 19 de mayo 2026
11:00 CST (Mexico City)
Prof. Dr. med. dent. Ivo Krejci
Webinars en vivo
mié. 20 de mayo 2026
5:00 CST (Mexico City)
Dr. Graham Carmichael BDSc (Hons), DClinDent (Pros), FRACDS, Dr. Robert Gottlander DDS
Webinars en vivo
mié. 20 de mayo 2026
7:00 CST (Mexico City)
Webinars en vivo
mié. 20 de mayo 2026
9:00 CST (Mexico City)
Webinars en vivo
mié. 20 de mayo 2026
11:00 CST (Mexico City)
Prof. Dr. med. dent. Tim Joda PhD, MSc, eMBA
Webinars en vivo
jue. 21 de mayo 2026
10:00 CST (Mexico City)
Dr. Leonardo Muniz DDS, MSC
Muy buena información doctora Carolina. Muchas gracias.
Es super importante que nosotros como odontólogos conozcamos muy bien las particularidades de cada paciente para poder elaborar un plan de aclaramiento dental adecuado y evitar cualquier tipo de problemas, pues de no hacerlo, ponemos en peligro su salud y también nuestro buen nombre.
Simple y al grano, muy bueno Dra.