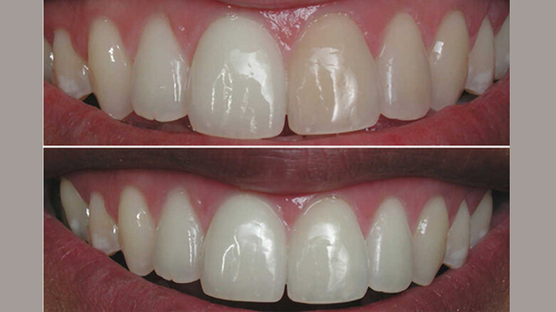
El Profesor Rony Joubert, experto en odontología estética y reconocido conferenciante internacional, hace un repaso de los procedimientos de aclaramiento dental en el hogar y en la clínica.
DESDE SANTO DOMINGO
La odontología estética ofrece desde hace años la técnica de aclaramiento dental, un procedimiento mediante el cual un agente determinado (el oxígeno) rompe los dobles y tripes enlaces de las sustancias orgánicas pigmentantes y transforma las macromoléculas en moléculas más pequeñas, dejando pasar la luz entre ellas, lo que hace que el diente se vea más claro. En algunas ocasiones, esas moleculas orgánicas son transformadas en moléculas “más claras”, lo que favorece el resultado final del proceso.
En líneas generales, la base de los sistemas dentales blanqueantes son el peróxido de hidrógeno o de carbamida, los cuales bajo diferentes mecanismos (físicos o químicos) se desdoblan y liberan el oxígeno necesario para el tratamiento. Los sistemas más concentrados son para clareamientos en la clínica dental, y los de menor concentración son para terapias caseras.
Es importante mencionar que la capacidad de liberación de oxígeno de un sistema a base de peróxido de carbamida es la tercera parte que uno a base de peróxido de hidrógeno. Vale decir que, si un producto determinado dice que contiene un 20% de peróxido de carbamida, esto sería igual a un 7% de peróxido de hidrógeno, por ejemplo.
"El abuso de la técnica puede llegar a producir daños en el esmalte, si es que el clínico pasa el llamado punto de saturación".
Hay que subrayar también que las terapias de blanqueamiento dental están indicadas cuando el cambio de color de los dientes es generado por elementos orgánicos y no por óxidos metálicos, ya que el oxígeno actúa sobre las ligaduras de los átomos de carbonos y no sobre los enlaces metálicos.
El agente aclarador puede ser activado por el diferencial entre la carga eléctrica de él y el esmalte, por reacciones de óxido-reducción o mediante la utilización de luz banca dentro del espectro de los 450 nanómetros de longitud de onda, o bien por luz generada por la tecnología de diodos (láser).
Debe tenerse presente que los pacientes con hipersensibilidad cervical, restauraciones desadaptadas, caries abiertas o exposiciones dentinarias, no son candidatos primarios a la terapia, ya que el oxígeno podría penetrar en profundidad, generar dolor y hasta comprometer la pulpa.
Existen dos posibilidades de terapia. La que hacemos en los dientes vitales, donde el trabajo se hace desde afuera y a través del esmalte; y la que se hace en dientes endodonciados, donde podemos blanquear incluso desde la cámara pulpar, facilitándose así la terapia.
Es importante saber que las terapias a altas concentraciones recidivan más rápido que las que se realizan de manera lenta en los procedimientos caseros. El líneas generales, las concentraciones de los sistemas caseros están dentro de los 10-15% en los avíos de peróxido de hidrógeno, y entre el 25-35% en los sistemas a base de peróxido de carbamida o urea. Básicamente, el gel clareante se lo aplica el paciente en su hogar en una cubeta personalizada de goma durante una hora diaria por unas cuatro semanas. El ciclo se podría repetir dos veces más con semana intermedia de receso.
Los blanqueamientos “in office” se realizan en altas concentraciones, normalmente con sistemas a base de un 30-45% de peróxido de hidrógeno o agua oxigenada. El material es aplicado por 45 minutos continuos sobre el diente, y, en ocasiones, se puede “activar” el agente con una lámpara (luz) para esos fines. El procedimiento se puede realizar hasta tres veces separadas por 10 días de por medio. El abuso de la técnica puede llegar a producir daños en el esmalte, si es que el clínico pasa el llamado punto de saturación.
Luego de terminada una terapia de blanqueamiento, cualquier restauración adhesiva debe de ser postergada unos días, ya que el oxígeno remanente intra-adamantino evitará la polimerización total del sistema resinoso de unión, producto de la creación de una capa inhibida indeseada en la interfaz adhesiva esmalte-restauracion.
Se debe seguir estrictamente el protocolo sugerido por cada fabricante, y debemos recordar que el “agente blanqueante” es cáustico y puede producir quemaduras en los tejidos blandos gingivales o en la mano. Hay que proteger con dique de goma preferiblemente, o con aislantes para esos fines. Existen líquidos neutralizadores por si ocurre algún accidente.
Otros efectos colaterales indeseables son el desencadenamiento de sensibilidad dentaria, así como molestias pulpares importantes. También se han reportados casos de abscesos periodontales y reabsorciones radiculares marcadas. Casi siempre, estos efectos adversos están asociados al desconocimiento de la técnica o a materiales producidos sin control de calidad.
Es importante conocer que aquellas macromoléculas que fueron seccionadas por la ruptura de sus ligaduras, con el tiempo se reorganizan (vale decir se unen de nuevo entre ellas) creando de nuevo moléculas grandes que dificultan el paso de la luz, lo que genera a su vez que el diente se vea oscuro de nuevo. Por eso, la terapia blanqueadora no siempre es permanente y el paciente necesita retoques ocasionales.
El almacenamiento de los “kits” debe ser bajo las sugerencias que hace el fabricante y alejados del calor y la luz.
__________________________________________________________________________
* El Prof. Dr. Rony Joubert es un experto en odontología estética y conferencista internacional que ejerce en Santo Domingo, República Dominicana.
Enrique Jadad Bechara, co-autor del libro “Estética y blanqueamiento dental en la era digital”, revisa en este artículo la evidencia científica sobre...
La autora describe en esta columna, destinada a personas interesadas en procedimientos de aclaramiento dental, los mitos sobre los diferentes productos ...
Una noticia reciente que afirmaba que los beneficios del uso de hilo dental nunca han sido investigados adecuadamente se volvió viral en las redes, ...
El Dr. Gálvez Núñez se adentra en el escabroso tema de los blanqueamientos dentales y la eficacia o no de métodos dudosos, como las lámparas, para ...
Dental Tribune presenta una Edición Especial de 20 artículos dedicada al aclaramiento dental, basada en el libro “Estética y blanqueamiento dental en ...
La figura del higienista dental ha evolucionado más allá de la profilaxis y la educación en salud bucodental convirtiéndose en un miembro esencial de ...
Tres reconocidos investigadores se han dedicado durante años a realizar pruebas, comparar y determinar cuáles son los elementos diferenciadores de un ...
La firma internacional de investigación Technavio prevé que el mercado mundial de equipos de diagnóstico y cirugía dental exceda...
El Instituto Dental del King’s College de Londres ha probado con éxito un conjunto de herramientas que mejoran la educación de los ...
El distribuidor de productos dentales Jaime Pareja Lecaros ha producido una guía para educar a los pacientes cuando vuelvan al consultorio.
Webinars en vivo
mar. 19 de mayo 2026
9:00 CST (Mexico City)
Webinars en vivo
mar. 19 de mayo 2026
11:00 CST (Mexico City)
Prof. Dr. med. dent. Ivo Krejci
Webinars en vivo
mié. 20 de mayo 2026
5:00 CST (Mexico City)
Dr. Graham Carmichael BDSc (Hons), DClinDent (Pros), FRACDS, Dr. Robert Gottlander DDS
Webinars en vivo
mié. 20 de mayo 2026
7:00 CST (Mexico City)
Webinars en vivo
mié. 20 de mayo 2026
9:00 CST (Mexico City)
Webinars en vivo
mié. 20 de mayo 2026
11:00 CST (Mexico City)
Prof. Dr. med. dent. Tim Joda PhD, MSc, eMBA
Webinars en vivo
jue. 21 de mayo 2026
10:00 CST (Mexico City)
Dr. Leonardo Muniz DDS, MSC