Los autores afirman que el perno anatómico es una alternativa clínica para la reconstrucción radicular y coronaria de dientes tratados endodónticamente con alta destrucción del tejido dentinario, que equilibra las tensiones de la masticación, disminuye los riesgos de fractura radicular y ofrece un resultado estético.
El tratamiento endodóntico de los dientes que han sufrido una gran pérdida coronaria ha sido un procedimiento clínico muy común en la práctica clínica restauradora. Así, cuando vemos una situación clínica de inmediato procedemos al uso de retenedores intrarradiculares para poder obtener una mayor estabilidad y retención de la restauración1,2.
La técnica restauradora denominada de perno anatómico es una propuesta para la rehabilitación de dientes anteriores con el canal radicular ampliamente comprometido y con gran pérdida de tejido dentinario3.
En esta modalidad restauradora además del perno de fibra de vidrio se utiliza una resina compuesta para modelar el conducto radicular con objeto de poder reducir el espacio a ser llenado con cemento resinoso. De esta forma, la combinación de dos materiales restauradores (resina compuesta y perno) soportará y servirá biomecánicamente como un sustituto de la estructura dentinaria perdida4.
Los pernos anatómicos poseen un prognóstico extremadamente favorable en casos de raíces fragiles debido a la pérdida de estructura dentinaria y contribuyen a la rehabilitación del diente tanto en la función de masticación como en su estética6. Además, los pernos de fibra poseen una distribución de tensión más uniforme en la región oclusal y radicular con respecto a los pernos metálicos5.
Es de vital importancia el acondicionamiento de los pernos y su silanización para promover la adhesión interfacial, principalmente en la zona de confección del núcleo7,8.
Este trabajo tiene como objetivo presentar un caso clínico que demuestra la técnica de la confección del perno anatómico, usando resina compuesta y pernos de fibra de vidrio, en un incisivo central superior con la raíz debilitada para poder restablecer la porción coronaria del diente.
Caso clínico
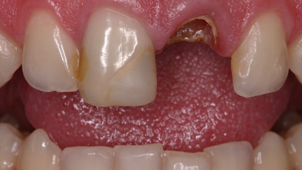
Un paciente jovem de género masculino vino a la Clínica Integrada del Curso de Odontología en la Universidad Severino Sombra solicitando la restauración del diente 21. En el examen clínico y radiográfico se observó una gran destrucción coronaria con tratamiento de endodoncia satisfactorio (Figuras 1, 2 y 3).
embedImagecenter("Imagecenter_2_1860",1860,"small");
Se sugirió al paciente la confección de un perno anatámico para poder recuperar la función y la estética del diente y permitir la rehabilitación futura del diente con una corona total de cerámica.
Primeramente, fue retirado el tejido cariado del resto del diente y se seleccionó el perno de fibra de vidrio (Exacto #3, Angelus, Brasil) al igual que los pernos accesorios (Reforpin, Angelus, Brasil) (Figura 4).
Se aisló el conducto radicular con aceite mineral y se insertó la resina compuesta (Fill Magic NT Premium, Coltene-Vigodent, Brasil) sobre el resto del diente con ayuda de una espátula suprafill #1/2 (Figuras 5 y 6). Después de rellenar el conducto con resina se insertó el perno Exacto cónico y los pernos accesorios previamente silanizados (Silano, Angelus, Brasil), para lo cual se utilizó el adhesivo (Fusion Duralink, Angelus, Brasil) (Figuras 7, 8 y 9). Enseguida, se realizó el fotocurado inicial del conjunto perno-resina durante 20 segundos.
Para finalizar, se realizó la reconstrucción coronaria con la resina compuesta anteriormente usada en porciones aumentadas y con fotocurado (Figuras 10 y 11).
Se realizó una marcación en la porción más incisal de los pernos para orientar su posterior recorte (Figura 12). A continuación, se retiró el perno anatómico y se realizó el fotocurado final durante 40 segundos (Figura 13). Después de eso, se verificó la adaptación del perno anatómico al remanente coronario (Figura 14).
Después de la etapa de confección del perno anatómico y la porción coronaria del núcleo con resina compuesta, se realiza la preparación del mismo para la cementación adhesiva al resto del diente (Figura 15).
Luego se realizó el acondicionamiento con ácido del perno durante 30 segundos, y después fue lavado y secado. Enseguida, se aplicó el silano (Silano, Angelus, Brasil) durante 20 segundos y el adhesivo (Fusion Duralink, Angelus, Brasil) con posterior fotocurado de 20 segundos (Figuras 16, 17 y 18).
Despues de haber preparado el perno anatómico, se realizó el acondicionamiento con ácido del resto dentinario por 20 segundos, y enseguida fue lavado y secado ligeramente para dejar la dentina húmeda (Figura 19). Después se aplicó el primer dentinario y el adhesivo (Sistema Fusion Duralink, Angelus, Brasil) y fue fotocurado durante 20 segundos (Figura 20).
La cementación fue realizada con cemento resinoso autopolimerizado aguardando un tiempo de cinco minutos para el curado químico del cemento (Figuras 21 y 22).
Finalizada la cementación del perno anatómico, se aplicó el adhesivo a la porción coronaria, se fotocuró durante 20 segundos y se insertó la resina compuesta en porciones aumentadas para la confección del núcleo (Figuras 23 y 24).
Para concluir la restauración, se realizó la preparación protética del núcleo para la confección futura de una corona total de cerámica (Figura 25).
Conclusiones
El perno anatómico constituye una alternativa clínica para la reconstrucción coronaria y radicular de dientes tratados endodónticamente con alta destrucción del tejido dentinario.
Además de rehabilitar el diente, esta propuesta clínica promueve una distribución más equilibrada de las tensiones provenientes de la masticación, que no compromete al resto dentario y disminuye los riesgos de fractura radicular.
Uno de los factores importantes de esta alternativa restauradora es que posibilita un resultado estético con el uso de una corona total libre de metal.
____________________________________________________________________________
1. Doctor en Prótesis, Profesor Adjunto I y Coordinador del Curso de Odontología en la Universidad Severino Sombra (USS) de Vassouras-Río de Janeiro. Coordinador de los Cursos de Postgrado (Perfeccionamiento y Especialización en Prótesis de EAP-ABO-Barra Mansa-Río de Janeiro).
2. Profesor de Clínica Integrada del Curso de Odontología de la Universidad Severino Sombra.
____________________________________________________________________________
Referencias
1. Torabi K, Fathahi F. Fracture of endodontically treated teeth restored by different FRC posts: An in vitro study. Indian J Dent Res. 2009; 20: 282-7.
2. Mumcu E, Erdemir U, Topcu FT. Comparison of micro pushout bond strengths of two fiber posts luted using simplified adhesive approaches. Dent Mater J. 2010 May;29(3):286-96.
3. Clavijo VGR, Avaliação da resistência à fratura de raízes fragilizadas reabilitadas por diferentes técnicas de construção de núcleos intra-radiculares. Araraquara; s.n; 2007. 120 p. ilus.
4. Martins LRM, et al. Restauração com pinos intrarradiculares anatômicos em grandes destruições coronárias. Rev Assoc. Paul. Cir. Dent. 2011. Ene/feb; 65(1): 60-64.
5. Hattori M, Takemoto S, Yoshinari M, Kawada E, Oda Y. Durability of fiber-post and resin core build-up systems. Dent Mater J. 2010. Mar;29(2):224-8.
6. Goyatá FR, et al. Restabelecimento estético anterior multidisciplinar: relato de caso clínico. R Dental Press Estet. Maringá. 2009. Oct/nov/dic; 6(4): 2-11.
7. Khanverdi Z, Kanaei S, Azarsina M, Ghegsari F. Microtensile bond of quartz fiber posts to different composite cores. Braz Oral Res. São Paulo. 2011. Jul/ago; 25(4): 295-301.
8. Sumitha M, Kothandaraman R, Sekar M. Evaluation of post-surface conditioning to improve interfacial in post-core restorations. J Conserv Dent. 2011. Jan/mar; 14(1). doi: 10.4103/0972-0707.80728.
Los resultados del estudio realizado por el autor indican que una técnica químico–mecánica de ácido fosfórico al ...
Los autores proponen una nueva técnica que utiliza injerto homogéneo particulado para corregir defectos óseos y permitir la ...
Los autores proponen una nueva técnica que utiliza injerto homogéneo particulado para corregir defectos óseos y permitir la ...
El pronóstico del tratamiento endodóntico depende principalmente de la capacidad del odontólogo para acceder a la anatomía del ...
La compañía alemana especializada en productos de endodoncia VDW presentó en la feria de IDS de Colonia su nuevo VDW Direct, sistema ...
Si el agua pura es vital para la salud humana, lo mismo ocurre con algunos dispositivos que son esenciales para conseguir una verdadera desinfección de los...
Un diseño exclusivo anti-atornillamento, una sección triangular con filos vivos para un mejor corte y un Disco de Memoria de Seguridad (SMD) ...
Un diseño exclusivo anti-atornillamento, una sección triangular con filos vivos para un mejor corte y un Disco de Memoria de Seguridad (SMD) ...
Con un poste radicular aglomerado de composite reforzado con fibra de vidrio pueden obtenerse resultados asombrosos. Este fue el caso de un paciente de ...
El autor describe los procedimientos clínicos y terapéuticos para la rehabilitación de dientes anteriores fracturados con fractura ...
Webinars en vivo
mar. 19 de mayo 2026
9:00 CST (Mexico City)
Webinars en vivo
mar. 19 de mayo 2026
11:00 CST (Mexico City)
Prof. Dr. med. dent. Ivo Krejci
Webinars en vivo
mié. 20 de mayo 2026
5:00 CST (Mexico City)
Dr. Graham Carmichael BDSc (Hons), DClinDent (Pros), FRACDS, Dr. Robert Gottlander DDS
Webinars en vivo
mié. 20 de mayo 2026
7:00 CST (Mexico City)
Webinars en vivo
mié. 20 de mayo 2026
9:00 CST (Mexico City)
Webinars en vivo
mié. 20 de mayo 2026
11:00 CST (Mexico City)
Prof. Dr. med. dent. Tim Joda PhD, MSc, eMBA
Webinars en vivo
jue. 21 de mayo 2026
10:00 CST (Mexico City)
Dr. Leonardo Muniz DDS, MSC
To post a reply please login or register