El experto en ortodoncia australiano Derek Mahony, reconocido por sus artículos científicos, conferencias y por haber dirigido el Programa de Ortodoncia Internacional de la City of London Dental School, comienza una serie de columnas exclusivas en Dental Tribune presentando un método para prevenir la apnea del sueño.
GRANDES EXPERTOS
Mucho se ha escrito sobre la apnea del sueño. Sabemos que el ronquido es un precursor de la apnea del sueño. Lo que no se discute mucho es la visión fisiológica de cómo desarrollamos apnea del sueño y lo que se puede hacer para prevenirla.
Debemos ser conscientes de que la falta de desarrollo de la parte media del rostro y la respiración bucal son factores clave que contribuyen al desarrollo de la apnea del sueño. Pero antes de que se produzca apnea del sueño hay resistencia en las vías respiratorias superiores.
Cuando nacemos y amamantamos estamos obligados a respirar por la nariz. Estamos diseñados por naturaleza para respirar por la nariz y mantener así la salud de nuestro cuerpo. El óxido nítrico (NO) se produce en los senos paranasales situados en la parte posterior de la nariz. Cuando respiramos por la nariz enviamos el NO a lo más profundo de nuestros pulmones y como es una molécula de señalización y un vasodilatador, los capilares en los pulmones se expanden y se produce un intercambio adecuado de dióxido de carbono y oxígeno. El oxígeno está entonces disponible para mantener la salud de todos los órganos de nuestro cuerpo. Si respiramos por la boca, sacamos el NO del cuerpo. No hay dilatación de los capilares en los pulmones y vamos camino de un estado de enfermedad.
“La liberación continua de cortisol interrumpe el sueño y despierta al paciente para que cambie de posición, un intento del organismo por mejorar el acceso de aire a las vías respiratorias".
¿Por qué respiramos por la boca? La razón principal es la inflamación de la nasofaringe. Si usted no puede respirar por la nariz, entonces respirará por la boca. Homeoblock™, un aparato dental ortopédico/ortodóntico removible que proporciona expansión palatina y desarrollo del maxilar y la mandíbula en adultos, nos ayuda a respirar por la nariz!
Descripción del progreso hacia un estado de enfermedad:
Un joven con asimetría facial tiene los inicios de problemas en las vías respiratorias superiores, sus baroreceptores en las vías respiratorias superiores perciben un flujo de aire pobre o turbulento. Tiene una pequeña desaturación de oxígeno. En respuesta a estos estímulos, el sistema nervioso simpático se activa durante el sueño.La estimulación de las fibras simpáticas vasoconstrictoras en la vasculatura de la mucosa de las vías respiratorias superiores conduce a una reducción del grosor de la mucosa, un aumento de las dimensiones lumínicas de las vías respiratorias superiores y una disminución de la resistencia al flujo de aire. Si esto no consigue corregir el problema inicial de baja saturación de oxígeno y mal tono de flujo de aire, el cuerpo intenta la siguiente medida correctiva, que involucra de nuevo al sistema nervioso simpático.
El organismo, después de haber ajustado el tono de los músculos involuntarios, aunque sin éxito en la mejoría de las condiciones negativas, continúa su impulso simpático. Dado que la estimulación simpática tiende a ser sistémica a diferencia de la parasimpática, que es más localizada, el impulso simpático (que libera cortisol) afecta ahora a los músculos faciales voluntarios en una progresión natural.
Mientras esta persona duerme (probablemente fase N1 o N2 del sueño en este momento), el impulso simpático continúa a medida que los músculos maseteros, temporales, buccinadores y pterigoideos se contraen en un intento de "tonificar" los músculos y reducir el tejido flácido o los pliegues que pueden contribuir a un flujo de aire deficiente (tanto en volumen como en flujo turbulento). La constricción del masetero y buccinador tensa el rafe pterigomandibular (ligamento) que tonifica el músculo constrictor faríngeo superior debido a su unión al mismo ligamento largo (que se une al hamulus pterigoideo del esfenoides).
Si este impulso simpático continuado no corrige el problema, el organismo entonces continúa liberando cortisol, continúa el impulso simpático hasta que alcanza la saturación de oxígeno deseada (si es que lo consigue).
Esto es lo que causa que el paciente se despierte. La liberación continua de cortisol por parte del organismo interrumpe el sueño y despierta al paciente para que CAMBIE DE POSICION, en un intento por mejorar físicamente el acceso de aire a las vías respiratorias o de verificar que una serpiente pitón no esté estrangulándonos. Esta excitación implica muy probablemente que el paciente se mueva de una posición supina a una posición lateral. El cuerpo ha hecho con esto todo lo posible por abrir las vías respiratorias para mejorar la saturación de oxígeno, pero si el paciente tiene asimetrías faciales o maxilares subdesarrollados, el problema está sólo en las primeras etapas de un ciclo de viscosidad crónica... y esta persona puede tener dificultades para volver a dormir debido al cortisol circulante y al impulso simpático que lo despertó inicialmente.
El intento del organismo por autocorregir la baja saturación de oxígeno (debido a la respiración desordenada) ha causado: 1) Sobreestimulación del sistema nervioso simpático, sobreproducción de cortisol y sobrecarga de las glándulas suprarrenales; 2) Sobrecarga de los músculos de masticación durante largos períodos; 3) Compresión del disco articulado y, posiblemente, inicio del movimiento anterior del disco activando aún más la actividad simpática; 4) Inicio de un ciclo de inflamación viscosa que podría progresar a enfermedad; 5) Inicio de ATM utilizando músculos masticatorios voluntarios para asistir en la respiración cuando deberían estar descansando y limpiando los metabolitos desechables; 6) Creación de una patología crónica a menos que se trate.
Así que el organismo no está hace un buen trabajo para lidiar con este problema moderno causado por nosotros mismos al ingerir alimentos procesados, pan blanco y azúcar: el cuerpo necesita nuestra intervención inteligente para detener un fallecimiento autoinfligido.
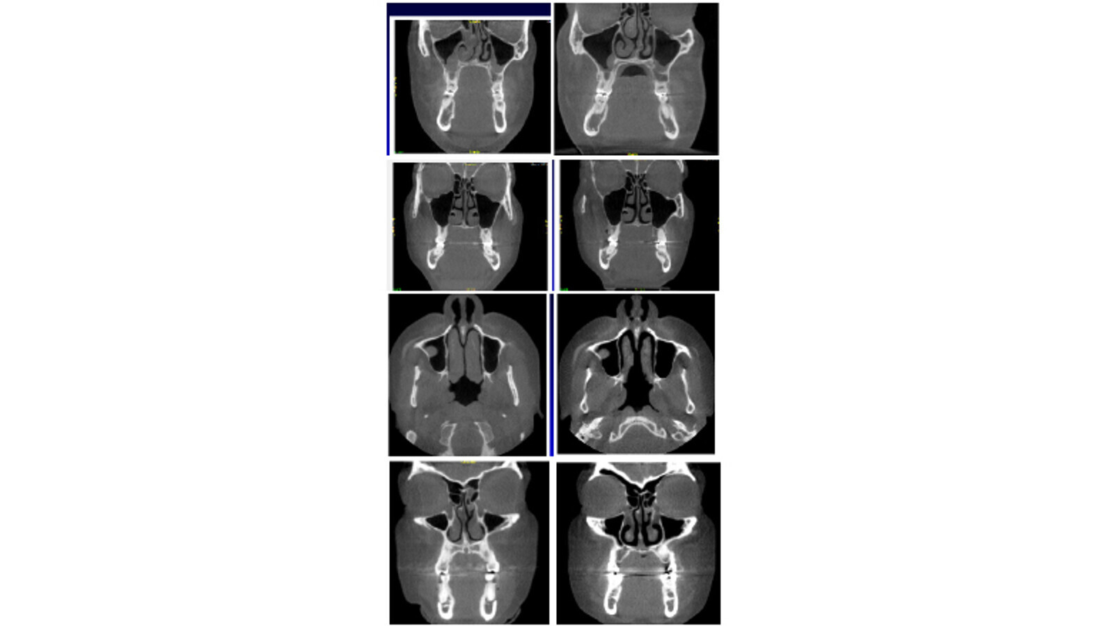
Figura 2. El Homeoblock™, un aparato ortodóntico removible de expansión palatina y maxilar, abre la respiración nasal: el lado izquierdo antes y el derecho después.
Todos estos pacientes muestran una mejoría en la respiración nasal, una reducción de la inflamación y una menor hinchazón de los cornetes.
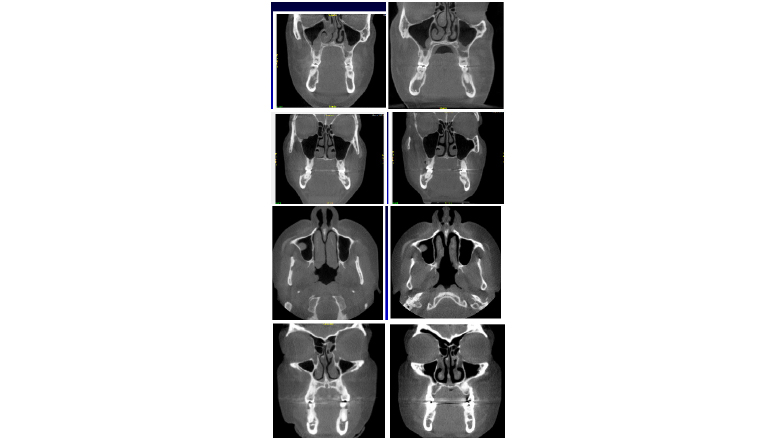
El aparato Homeoblock aumenta el volumen de la parte media de la cara, incrementa el volumen nasal, mejora la coherencia del sistema nervioso autónomo y reduce la inflamación.
Vea los patrones de desarrollo facial, que se muestran en rojo en 5 pacientes seleccionados al azar, antes y después del tratamiento (Figura 3).
Figura 3. El color rojo muestra un ensanchamiento en el área nasal anterior del maxilar superior, como si tuviera implantado una tira nasal de respiración permanente.
___________________________________________________________________________* El Doctor Derek Mahony, BDS, MDS, Especialista en Ortodoncia de renombre mundial y conferencista internacional con práctica privada en Sydney y Londres, dirigió el Programa de Ortodoncia Internacional de la City of London Dental School y es editor colaborador de revistas de investigación como Journal of Clinical Paediatric Dentistry, International Orthodontic Journal y Journal of Dentofacial Orthopaedics.
El experto en ortodoncia australiano Derek Mahony, reconocido por sus artículos científicos y por haber dirigido el Programa de Ortodoncia Internacional ...
El Dr. Luis Aneyba, odontólogo y educador mexicano especializado en Medicina Dental del Sueño en la TUFTS University, comienza con este escrito una serie ...
El Profesor David Suárez Quintanilla exhorta a valorar y promover los múltiples beneficios para la salud del paciente que ofrece la Ortodoncia, y a evitar...
El Dr. Juan Manuel Cortés Mejía, fundador de la Academia Mexicana de Medicina Dental del Sueño, explica la etiología de este trastorno, tema que será ...
Los consultorios dentales se enfrentan desafíos importantes durante epidemias virales como la actual. Implementar una higiene meticulosa para prevenir de ...
En 2022, 39 millones de personas en todo el mundo tenían VIH, según ONUSIDA. También en el mismo año, 1,3 millones de personas se infectaron por el VIH ...
En esta edición de nuestra Newsletter, Juan Manuel Cortés Mejía te explica desde México que el tratamiento del ronquido amplía tu cartera de clientes; ...
La figura del higienista dental ha evolucionado más allá de la profilaxis y la educación en salud bucodental convirtiéndose en un miembro esencial de ...
El eminente ortodoncista e investigador David Suárez Quintanilla explica la relevancia que ha adquirido la Medicina Dental del Sueño en la odontología a ...
Formación
Webinars en vivo jue. 23 de abril 2026 9:00 CST (Mexico City)
La implantología oral continúa avanzando hacia niveles de precisión y predictibilidad sin precedentes. En este contexto, la fotogrametría se posiciona ...
Las tomografías de momias egipcias están reescribiendo lo que creíamos saber sobre la salud bucal en el Antiguo Egipto. Detrás del esplendor de estas ...