Este trabajo muestra la utilización del sistema Opallis (FGM), asociado al adhesivo Ambar (FGM), en una rehabilitación de dos incisivos centrales fracturados.
La utilización de la resina compuesta como material restaurador estético resulta una alternativa segura y eficiente, siempre que se respeten los criterios, protocolos e indicaciones de uso. Una de las mayores dificultades en la clínica suele presentarse cuando, siguiendo los conceptos de la odontología mínimamente invasiva, se intenta enmascarar los márgenes restauración/diente sin desgastar innecesariamente mucho tejido dental o bien evitando realizar restauraciones sobre contorneadas. También, suele ser un tema controvertido la utilización correcta de los sistemas adhesivos, ya que pueden generar en algunos casos filtración marginal, pigmentación de las restauraciones o bien fallas adhesivas a corto plazo.
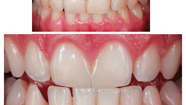
Caso clínico Una paciente, de 25 años de edad concurre al consultorio para mejorar estéticamente los dos incisivos centrales 11 y 21, los cuales tenían 2 restauraciones de 4 años de antigüedad en las que fueron restauradas dos fracturas. Al examenclínico, se verifico que las restauraciones se encuentran manchadas, con importantes cambios de color y forma. (Figs. 1-2).
1. Caso inicial vista de la sonrisa.
2. Caso inicial vista intraoral.
3. Registro inicial del color.
4. Aislamiento relativo usando el separador labial Arcflex (FGM).
5-6. Aplicación del gel desensibilizante Desensibilize KF 2% (FGM), previamente al tratamiento blanqueador en el consultorio.
Ambas piezas presentan vitalidad pulpar normal y no presentan movilidad. Al examen radiográfico no se observan lesiones periapicales ni alteraciones, de posibles fracturas o daños radiculares. Para el recambio de las restauraciones, se planifico un protocolo siguiendo los siguientes pasos:
1. Profilaxis.
2. Blanqueamiento en el consultorio y luego ambulatorio supervisado.
3. Impresiones para el encerado restaurador ideal.
4. Remoción de las restauraciones.
5. Realización de las restauraciones en resina compuesta.
6. Pulido y brillo final de las restauraciones.
7. Protección gingival para realizar el tratamiento blanqueador, Top dam (FGM).
8-10. Aplicación del gel blanqueador Whiteness NP BLUE 35% (FGM), 45 minutos cada sesión.
11-12. Remoción de burbujas, generadas en la reacción de peróxido de hidrógeno con los tejidos dentales.
Blanqueamiento profesional durante 45 min. Usando Whiteness HP BLUE 35% (FGM), (Figs. 7-12). El intervalo entre ambas sesiones fue de 30 días, periodo durante el cual el paciente uso el tratamiento ambulatorio con Whiteness Perfect 10% (FGM) 60 minutos diarios.
13. Registro de color después del tratamiento blanqueador.
14. Vista de la sonrisa luego del tratamiento blanqueador.
15-16.Tenga en cuenta la diferencia en la forma y el color de las restauraciones antiguas, además de un gran sobre contorneo realizado con resina compuesta.
“Antes de iniciar las técnicas restauradoras, se esperó 10 días luego de terminado el Blanqueamiento, con la idea de estabilizar el color a restaurar, y asegurarse la completa eliminación de los posibles restos de oxigeno residual del tratamiento blanqueador “(Figs. 13-16).
17. Para todo el procedimiento restaurador se usó aislamiento absoluto con goma dique.
18. La remoción de las antiguas restauraciones fue realizada con fresas de diamante usando grano fino para evitar desgastes innecesarios en la zona donde se encuentra el sobre-contorneado de la restauración.
19-20. El acondicionamiento ácido fue realizado durante 15 sg. En la zona a ser restaurada con ácido fosfórico 37% (Condac 37, FGM).
21. Antes da la aplicación del sistema adhesivo se incorporó una capa de clorhexidina al 2% (Clorhexidina S, FGM), con el fin de inhibir, las enzimas MMPs, que pueden resultar responsables de la alteración en la adhesión a dentina.
22a-b. Aplicación del sistema adhesivo convencional de 2 pasos Ambar (FGM). Sobre la superficie
23. Fotopolimerización del adhesivo por 20 segundos.
24-25. Confección de la primera capa de resina palatina con la ayuda de la matriz de silicona realizada con (Zetalabor, Zhermack), color Opallis T-Neutral (FGM).
26. Construcción del cuerpo de dentina con Opallis DA2 (FGM) en el tercio medio y Opallis DA1 (FGM) en el tercio incisal armando los mamelones dentarios.
27. Aplicación de resinas de efectos en las aristas mesial y distal y entre los mamelones color Opallis T-Blue (FGM) y sobre los mamelones se usó Opallis T-Orange (FGM).
28. La capa final de esmalte vestibular fue realizada con Opallis EA1 (FGM).
A continuación se realizó un encerado de diagnóstico o restaurador tipo “mock-up” con el objetivo de devolver la forma y tamaño correcto además de asegurarse, el cierre de diastema y la reproducción de los bordes incisales. Para transferir la forma del modelo a la boca se tomóuna impresión al modelo con silicona (Zetalabor, Zhermack, Italia).
29. Aspecto inmediatamente de concluida la restauración.
30. Pulido inicial con la remoción de sobrantes y delimitación de los márgenes de las restauraciones usando lijas y discos Diamond Pro (FGM), en orden decreciente.
31-32. Refinamiento de la textura superficial.
33. Pulido con los discos de fieltro Diamond Flex (FGM) y pasta de brillo Diamond R (FGM).
34-38. Restauración finalizada. Obsérvese la capacidad de mimetismo y brillo de la resina compuesta Opallis (FGM).
El primer paso para asegurar un buen procedimiento adhesivo es el aislamiento absoluto, y luego que el profesional, maneje bien los pasos de la técnica comenzando por el acondicionamiento ácido y luego una correcta aplicación del adhesivo y su polimerización para evitar los riesgos de sensibilidad post operatoria. Para este caso se usó un adhesivo convencional de 2 pasos (Ambar, FGM) que fue aplicado luego del grabado ácido 15 sg. Lavado y secado, usando ácido orto-fosfórico al 37 % (Condac 37, FGM), para eliminar la humedad después del lavado se usaron aplicadores o pinceles (Figs. 17-20), y sobre esta superficie aun húmeda, se aplicó clorhexidina 2.0% (Clorhexidina S FGM) durante 30 sg. Con el propósito de inhibir las enzimas de la metaloproteinasas (MMPs) que pueden ser responsables de la degradación o alteración de la adhesión a dentina 4 (Fig. 21). Los excesos fueron removidos con una cánula o pincel y luego se aplicó el sistema adhesivo Ambar en el remanente dentario, aguardando 30 sg.
Para la evaporación del solvente, y finalmente se secó con aire de la jeringa triple. (Figs. 22-23). Para colocar el composite, se colocó una primera capa de Opallis T-Neutral (FGM), sobre la matriz de silicona y así armar la capa o cara palatina de esmalte (Figs. 24-25). Luego se aplicaron capas de dentina OpallisDA2 (FGM) en el tercio medio y Opallis DA1 en incisal, armando como mamelones (Fig. 26).Luego de polimerizada se usaron masas de efectos para las regiones de las crestas mesial y distal con Opales T-Blue y sobre los mamelones se usó Opallis T-Orange (Fig. 27). Las resinas de efectos son usadas para crear una sensación visual de profundidad de la restauración, asociada al fenómeno de opalescencia y contraopalescencia. Para la capa vestibular se usó Opallis EA1 y también sobre la región proximal (Figs. 28- 29). Para el pulido inicial y remoción de excesos se usaron los discos Diamond Pro (FGM) siguiendo la secuencia de rugosidad decreciente (Fig. 30). Para crear la textura superficial, puede ser de utilidad marcar con un lápiz de color las características anatómicas y evitar que con los discos, la superficie quede demasiada plana (Figs. 31-32).
Antes del pulido final es importante usar gomas abrasivas para suavizar los desgastes, de las fresas que marcaron las características anatómicas superficiales.
Para el pulido superficial se usaron los discos de fieltros Diamond Flex (FGM) con la pasta de brillo Diamond R (FGM) (Fig. 33). En otra consulta se realizó la evaluación final con los dientes hidratados, y ahí se puede observar el excelente brillo de este material restaurador que muestra un efecto mimetizador ideal ya que resulta imposible diferenciar la unión o la diferencia entre el tejido dentario y el material restaurador (Figs. 34-38).
Conclusión
En la actualidad es posible reafirmar la verdadera posibilidad estética que pueden lograr las resinas compuestas como materiales restauradores. La planificación de cada caso es fundamental para establecer protocolos predecibles, y obviamente resulta fundamental el conocimiento y el respeto de las limitaciones existentes en diversos materiales y técnicas que utilizamos en la vida cotidiana para que la indicación correcta permita lograr el éxito en cualquier nivel de tratamiento.
1. Especialista en Operatoria Dental Restauradora de la FAB - PUC (PR) Profesor del Dental Esthetic Training - Curitiba (PR), Director Clínico del Dental Esthetic Center - Curitiba (PR). Fellow en Odontología Estética de la Ohio State University (EUA)
Vice-presidente y miembro de la Sociedad Brasilera de Odontología.
2. Graduado en Odontología en la PUC-PR, Profesor del Dental Esthetic Training - Curitiba (PR), Miembro del Dental Esthetic Center - Curitiba (PR) Estética (SBOE).
Referencias 1. Kose C, Reis A, Loguercio AD. Rev Assoc Paul Cir Dent. 2010;64(5):352-54.
2. Machado JS, Candido MSM, Sundfeld RH, Alexandre RS, Cardoso JD, Sundefeld
MLMM. The influence of time interval between bleaching and enamel bonding. J
Esthet Restor Dent. 2007;19(2):111-8
3. Cadenaro M, Breschi L, Antoniolli A, Mazzoni A, Di Lenarda R. Influence of whitening
on the degree of conversion of dental adhesives on dentin. Eur J Oral Sci
2006;114:257–62.
4. Carrilho MRO, Geraldeli S, Tay FR, De Goes MF, Carvalho RM, Tjaderhane L, Reis
AF, Pashley DH. Chlorhexidine Preserves In Vivo Hybrid Layers. Transactions Academy
of Dental Materials. 2006.
La autora expone en este caso clínico el dominio clínico adquirido en el Máster en Estética Dental Online de la Universidad Internacional de Cataluña ...
La autora expone en este caso clínico el dominio clínico adquirido en el Máster en Estética Dental Online de la Universidad Internacional de Cataluña ...
Una investigación sobre las preferencias estéticas entre el Diseño Digital de la Sonrisa (DSD) creado manualmente y el creado mediante Inteligencia ...
El Dr. Conrado Aparicio es un científico con una carrera profesional brillante, la mayor parte de ella desarrollada en Estados Unidos. En la Universidad de...
La odontología moderna ya no depende únicamente de la excelencia clínica.
Hoy, dirigir un consultorio rentable exige saber interpretar datos financieros,...
Decenas de miles de odontólogos, técnicos dentales y estudiantes recorrieron los stands comerciales de los principales distribuidores de la industria ...
To post a reply please login or register