Uno de los desafíos más habituales en las restauraciones estéticas parciales es mimetizar la restauración con el tejido dentario adyacente, especialmente cuando existen diferencias entre ambos. Este artículo explica el procedimiento para obtener resultados satisfactorios a partir de la difusión de la luz en las piezas dentarias.
Normalmente se manejan materiales restauradores directos que tienen un Indice de Refracción diferente del de la pieza dentaria. Se han propuesto técnicas de estratificación complejas que intentan resolver el problema pero que, según muchos autores, sólo disminuyen esta diferencia entre la restauración con el tejido dentario adyacente.
La solución más acertada es el manejo de la Difusión. Esto significa la utilización de materiales de restauración directa que difunden hacia el diente los haces de luz que llegan a su superficie, y, a su vez, absorben la luz de los haces que llegan al diente, distribuyéndolos hacia una y otra masa (del diente y la restauración).
Este es un camino conceptual simple, que elude las complicaciones que se presentan a otros niveles, y se basa en los tres principios ópticos del paso de la luz: Transparencia, Translucidez, y Opacidad (Born, Wolf, 1999).
Los materiales disminuyen la energía transportada por la luz, que se transforma parcialmente en otras formas de energía, o es absorbida por los átomos de los materiales, que inmediatamente vuelven a emitir en distintas direcciones laterales respecto a la dirección inicial incidente; este fenómeno se conoce como DIFUSIÓN (Novotny, Hecht, 2006).
Estos materiales restauradores directos difusores son en general resinas para esmalte, específicamente creadas para tal fin. Las más conocidas son las "Pearl" de Vit-l-escence y las "Enamel" de Amelogen Plus (ambos de Ultradent), existiendo pocos más en el mercado.
Las "Pearl" cuentan con mayor difusión que las "Enamel", pero las "Enamel" presentan mejores características ópticas.
Los productos "Trans" de ambas líneas tienen en general menos difusión aún que los antes mencionados, y varían bastante entre unos y otros: por ejemplo, el Trans White de Amelogen Plus tiene mayor difusión que el Trans Gray, y el Trans Frost y el Trans Blue de Vit-l-escence difunden más que el Trans Gray y el Trans Yellow. En general, los "Trans" permiten el PASO DE LUZ y algo de difusión.
Existe una gama de DIFUSIÓN de la luz, y materiales para odontología que tienen diferentes grados de difusión .
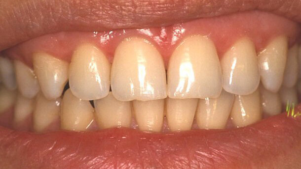
Elegir el material que ofrece la difusión necesaria es un aspecto muy importante para lograr el éxito en las restauraciones, como demuestran los siguientes casos clínicos.
Vea los casos clínicos en la edición digital.
Regular la fluorescencia de las restauraciones es un tema poco estudiado en la literatura, probablemente porque no se contaba con materiales que lo ...
Curso online que desmitifica el concepto de que la estética en odontología es puramente artística y empírica, dirigido a los clínicos que buscan ...
El Dr. Luiz Rafael Calixto, reconocido experto brasileño en odontología estética, impartió una serie de conferencias en el ...
El autor, miembro del grupo Fradeani Education que dirige Mauro Fradeani en Italia, describe la etiológía multifactorial de la caries y subraya que los ...
El especialista en láser odontológico e implantes dentales, Dr. David Montero (Ecuador), ofreció una conferencia durante el Congreso ...
Buenos días, en esta nueva edición de la Newsletter semanal de Dental Tribune, la Dra. Lina Muñoz cuenta que la pandemia le ha permitido ser una luz para...
El autor, catedrático de Ortodoncia de la Universidad de Santiago de Compostela, cree que existen indicios de que España va a cambiar el notablemente ...
En los últimos años se ha producido un cambio significativo a nivel de la ciencia: las nanotecnologías han dado paso a los ...
En los últimos años se ha producido un cambio significativo a nivel de la ciencia: las nanotecnologías han dado paso a los ...
El experto en cariología y odontología de mínima intervención, Eraldo Pesaressi Torres, ha dedicado gran parte de su carrera a promover la salud oral ...
Webinars en vivo
mar. 19 de mayo 2026
9:00 CST (Mexico City)
Webinars en vivo
mar. 19 de mayo 2026
11:00 CST (Mexico City)
Prof. Dr. med. dent. Ivo Krejci
Webinars en vivo
mié. 20 de mayo 2026
5:00 CST (Mexico City)
Dr. Graham Carmichael BDSc (Hons), DClinDent (Pros), FRACDS, Dr. Robert Gottlander DDS
Webinars en vivo
mié. 20 de mayo 2026
7:00 CST (Mexico City)
Webinars en vivo
mié. 20 de mayo 2026
9:00 CST (Mexico City)
Webinars en vivo
mié. 20 de mayo 2026
11:00 CST (Mexico City)
Prof. Dr. med. dent. Tim Joda PhD, MSc, eMBA
Webinars en vivo
jue. 21 de mayo 2026
10:00 CST (Mexico City)
Dr. Leonardo Muniz DDS, MSC
To post a reply please login or register