Regular la fluorescencia de las restauraciones es un tema poco estudiado en la literatura, probablemente porque no se contaba con materiales que lo permitieran. Sin embargo, desde hace algunos años podemos realizar la Técnica de Regulación de la Fluorescencia.
La fluorescencia es la propiedad de las sustancias de emitir luz visible cuando se iluminadan con luz ultravioleta. Esta luz ultravioleta puede proceder de una fuente específica (tubos o bombillas de "luz negra") o de fuentes que la contienen, como la luz del sol.
El paciente utiliza palabras diferentes para referirse a esa propiedad. Una de las más comunes es "naturalidad": por ejemplo, ve sus restauraciones poco naturales sin saber a qué adjudicar esa percepción. Pero al someter la restauración a una fuente ultravioleta se entiende rápidamente dónde radica el problema.
Cuando se habla de Fluorescencia a nivel dentario se encuentran generalizaciones que llevan a la confusión sobre este concepto, y más allá, a no comprender las bases y procedimientos a seguir para lograr la fluorescencia exacta de la pieza a restaurar.
Para comprender esto se deben tener en cuenta tres conceptos:
1. Cada paciente tiene una fluorescencia diferente
2. Las zonas de cada pieza dentaria tienen, a su vez, grados diferentes de fluorescencia: la zona cervical tiene mayor fluorescencia que la zona incisal
3. La dentina natural tiene más fluorescencia que el esmalte natural.
Estos enunciados son fácilmente comprobables mediante la simple observación bajo luz ultravioleta.
Los tejidos dentarios tienen diferentes fluorescencias. La dentina es más fluorescente que el esmalte. Y eso sucede en todas la piezas dentarias naturales. Esta diferencia se aprecia claramente entre la corona (que muestra la fluorescencia del esmalte) y la raíz, donde está perdido el cemento radicular, y se ve la fluorescencia de la dentina.
En un corte se ve esto con mucho mayor precisión, e incluso el tejido más fluorescente de todos: la proteína amelo-dentinaria.
Esta es la causa del enunciado #2 (la zona cervical es más fluorescente que la incisal). En cervical, la capa de esmalte es más delgada, permitiendo que se vea a través de ella la mayor fluorescencia de la dentina; en incisal sucede lo contrario, al ser más gruesa la capa de esmalte, no se aprecia con tanta intensidad la luminiscencia de la dentina.
Materiales dentales y fluorescencia
Existen porcelanas, resinas indirectas y resinas directas que son altamente fluorescentes, otras que apenas lo son y algunas que no son fluorescentes. Pero también existen materiales que tienen la fluorescencia correcta: tonos de esmalte con la fluorescencia menor del esmalte natural, y tonos de dentina con la fluorescencia mayor de la dentina natural.
Las porcelanas han avanzado en las últimas décadas, presentado en general una fluorescencia aceptable. Sin embargo, la fluorescencia de esmalte y dentina es igual y la regulación de este parámetro no es posible.
Las resinas compuestas indirectas, y todavía más aún las directas, imitan las diferencias que se encuentran en la naturaleza entre esmalte y dentina, y presentan promedios de fluorescencia muy cercanos a cada una de las partes del diente.
Infelizmente, son muy pocos los fabricantes que lo han logrado esto. La enorme mayoría de las resinas compuestas, tanto directas como indirectas, o no presentan sin fluorescencia o tienen muchísima, y en general de igual magnitud en tonos de esmalte y tonos de dentina. El autor ha podido constatar que existen marcas que presentan fluorescencias diferentes entre esmalte y dentina, aunque exactamente al contrario se lo que se necesita: es más fluorescente su esmalte que su dentina, haciendo imposible la Técnica de Regulación de Fluorescencia.
Técnica de regulación de fluorescencia
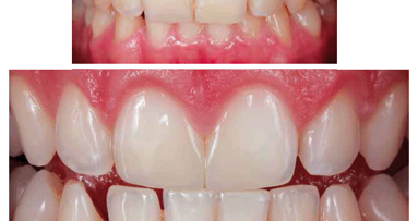
Contando con una lámpara ultravioleta, con resinas compuestas cuyos tonos de esmalte tengan menos fluorescencia que los tonos de dentina, tal como sucede en la naturaleza, solamente se debe colocar una capa de esmalte con la forma histológica de la misma sobre la capa de dentina apropiada. Es así que, por ejemplo, en una carilla vestibular de un incisivo central, la zona cervical llevará un espesor menor de esmalte mostrando más fluorescencia el trabajo final en esa zona; en incisal, el espesor mayor de esmalte dará como resultado en el trabajo terminado menor fluorescencia, al igual que el diente natural.
Es importante tener en cuenta que se deberá aumentar o disminuir la fluorescencia general (mas allá de los cambios por áreas) de acuerdo a cada paciente. Para ello, se debe observar bajo luz ultravioleta la fluorescencia a alcanzar e ir colocando primero las capas de dentina y luego de esmalte necesarias. Como corolario, para aumentar la fluorescencia se debe disminuir el espesor de la capa de esmalte (aumentando ligeramente por debajo de ésta la de dentina). Para disminuir la fluorescencia, se aumentará la capa de esmalte (disminuyendo ligeramente la dentina por debajo).
El caso precedente presenta claramente la técnica, y demuestra los conceptos expuestos en el artículo. Sin embargo, no se puede percibir el aumento de fluorescencia en la zona cervical normal: esto es debido a la ubicación del tubo de luz ultravioleta colocado debajo de la cámara fotográfica, iluminando desde inciso vestibular.
Conclusión
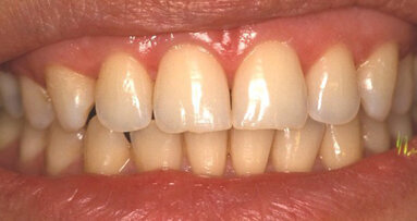
La "naturalidad" y alta estética que se intentan alcanzar dependen, además de otros factores, de lograr una fluorescencia perfecta. La Técnica de Equilibrado de la Fluorescencia ayuda a conseguir este objetivo.
Recusos
• Ultradent
Curso online que desmitifica el concepto de que la estética en odontología es puramente artística y empírica, dirigido a los clínicos que buscan ...
Uno de los desafíos más habituales en las restauraciones estéticas parciales es mimetizar la restauración con el tejido dentario...
Los nuevos composites no sólo han mejorado la estética, sino que ahora es también posible realizar restauraciones de manera más ...
Ariel Labanca Mitre, profesor docente y especialista en implantología oral y rehabilitación protésica, fue uno de los líderes de opinión que impartió ...
La toma de decisiones respecto a los tejidos blandos es uno de los aspectos más personales en el tratamiento estético, tema que discutió el doctor ...
El experto en cariología y odontología de mínima intervención, Eraldo Pesaressi Torres, ha dedicado gran parte de su carrera a promover la salud oral ...
Los nuevos bloques de fresado totalmente sinterizados de zirconio permiten hacer restauraciones en una sola cita con un sencillo flujo de trabajo de ...
Este trabajo muestra la utilización del sistema Opallis (FGM), asociado al adhesivo Ambar (FGM), en una rehabilitación de dos incisivos ...
El autor, miembro del grupo Fradeani Education que dirige Mauro Fradeani en Italia, describe la etiológía multifactorial de la caries y subraya que los ...
COLONIA, Alemania — La técnica de incremento por capas requiere mucho tiempo, especialmente cuando se trata de restaurar cavidades de gran tamaño, pero ...
Webinars en vivo
mar. 19 de mayo 2026
9:00 CST (Mexico City)
Webinars en vivo
mar. 19 de mayo 2026
11:00 CST (Mexico City)
Prof. Dr. med. dent. Ivo Krejci
Webinars en vivo
mié. 20 de mayo 2026
5:00 CST (Mexico City)
Dr. Graham Carmichael BDSc (Hons), DClinDent (Pros), FRACDS, Dr. Robert Gottlander DDS
Webinars en vivo
mié. 20 de mayo 2026
7:00 CST (Mexico City)
Webinars en vivo
mié. 20 de mayo 2026
9:00 CST (Mexico City)
Webinars en vivo
mié. 20 de mayo 2026
11:00 CST (Mexico City)
Prof. Dr. med. dent. Tim Joda PhD, MSc, eMBA
Webinars en vivo
jue. 21 de mayo 2026
10:00 CST (Mexico City)
Dr. Leonardo Muniz DDS, MSC
Cuanto cuesta restaurar un diente, y donde se ubican