Las estadísticas de pacientes con cáncer aumentan considerablemente en el mundo y la cirugía, radioterapia (RT) y quimioterapia (QT) siguen siendo las terapéuticas más utilizadas para su tratamiento.
Los pacientes con cáncer de cabeza y cuello tratados con RT y QT padecen diferentes efectos colaterales, siendo la orofaringe la zona más afectada1. La mucositis oral (MO) es la complicación más común en la cavidad oral, u una entidad causada principalmente por la disminución de la respuesta inmunológica y la alteración del proceso de cicatrización2.
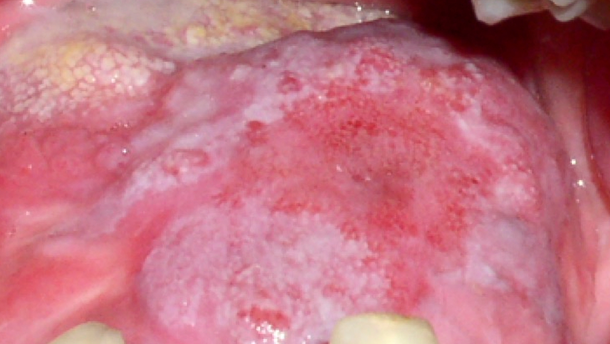
La MO generalmente se presenta en toda la mucosa oral, manifestándose por eritema, edema, descamación, sangrado, úlceras, exudación y dolor3; compromete las áreas labial, lingual, piso de boca, paladar blando, duro y se extiende a la orofaringe.
Adicionalmente, la xerostomía causada principalmente por la radioterapia de cabeza y cuello, agrava el cuadro, presentándose infecciones bacterianas, fúngicas y virales4 que afectan la ingesta de alimentos y la calidad de vida del paciente5 debido principalmente al dolor.
La OMS clasifica 5 grados de severidad de la mucositis oral.
0. No hay síntomas de mucositis oral
1. Enrojecimiento, eritema, dolor
2. Eritema y ulceración, el paciente puede tragar alimentos sólidos
3. Ulceración y eritema, el paciente no puede tragar alimentos sólidos
4. Ulceración y formación de pseudomembrana, la alimentación no es posible.
En el manejo de la MO son varios los esquemas y productos que se utilizan, siendo la mayoría paliativos; sin embargo, el enfoque es multifactorial, abarcando el control del dolor para permitir al paciente alimentarse adecuadamente y, lo más importante, controlar las infecciones colaterales que pueden agravar el cuadro y producir septicemia.
Entre las diversas moléculas o sustancias que se utilizan para paliar sus efectos están la bencidamida6, L-glutamina7, xilocaína, difenhidramina8, sucralfato9, nistatina, vitamina E10 y la clorhexidina.
La clorhexidina es recomendada por la Multinational Association of Supportive Care in Cancer (MASCC) y la International Society of Oral Oncology (ISOO). Es el agente más utilizado y estudiado en el manejo de la MO en concentraciones al 0.2% y 0.12 %11. Debido a sus propiedades antisépticas que reducen la carga bacteriana oral, previene las complicaciones causadas por infecciones moderadas y severas12.
Varias investigaciones han estudiado también el uso de aloe vera y la caléndula en el manejo de la MO.
El aloe vera contiene componentes como emolina, emodina y barbolina, que tienen propiedades antiinflamatorias y analgésicas. Los estudios indican que tiene una acción inhibidora en la ruta del ácido araquidónico a través de la ciclooxigenasa12; estimula el factor de crecimiento queratinocítico y endotelial vascular y la producción de colágeno tipo 113. Su efecto cicatrizante es resultado del contenido de fosfato de manosa y carricina, que activa el crecimiento celular14.
Se han reportado efectos benéficos en la cicatrización, protección de las mucosas, propiedades antiinflamatorias, antifúngicas, incremento en la formación de colágeno y prevención de la MO inducida por RT, siendo una alternativa para estos pacientes15.
Un estudio triple ciego reportó una eficacia comparativa de un enjuague de aloe vera con bencidamida en MO en pacientes con cáncer de cabeza y cuello, concluyendo que puede recomendarse en estos casos16.
En oncología pediátrica, se ha utilizado gel de aloe vera con resultados favorables en la prevención y manejo de la MO17.
Por su parte, a la caléndula se le atribuyen propiedades antiinflamatorias, antifúngicas, antivirales, antibacterianas, antioxidantes18 y antitumorales19 (inhibición de crecimiento de células tumorales in vitro). Adicionalmente, estudios fitoterapéuticos le confieren actividad citogenotóxica20. Sus beneficios reportados se deben a sus metabolitos:
• Triterpenos y flavonoides: propiedades antiinflamatorias
• Saponinas y caratenoides: acción antimicrobiana y cicatrizante21
• Quercetina: acción sobre el fibroblasto gingival que inhibe la degradación del colágeno por acción de la matriz de las metaloproteinasas22.
Estudios clínicos reportan que la caléndula ha sido efectiva en la prevención de radiodermatitis en pacientes con cáncer sometidos a radioterapia23. Sus polifenoles disminuyen la formación de radicales libres de oxígeno y de nitrógeno, así como de ácido nítrico24.
Un estudio de Babaee y cols. para determinar la efectividad del extracto de flores de caléndula en gel en MO causada por RT en pacientes con cáncer de cabeza y cuello concluyó que esta preparación puede ser una alternativa en el manejo de esta entidad, atribuyendo su eficacia a las capacidades antioxidantes de la caléndula25.
* El Dr. Herrera, periodoncista que ejerce en Barranquilla (Colombia), es Magister en Farmacovigilancia, Especialista en Dermocosmética y autor de numerosos artículos.
NOTA: Pulse aquí para ver el número especial sobre Cáncer Oral de Dental Tribune..
Benjamín Herazo Acuña explica que momentos de crisis como el actual confirman la relevancia de principios éticos fundamentales, como que el bien ...
El autor afirma que el estrés que genera el ritmo de vida que llevamos actualmente es uno de los factores que está provocando en cada vez más personas ...
El autor afirma que el estrés que genera el ritmo de vida que llevamos actualmente es uno de los factores que está provocando en cada vez más personas ...
Un equipo del Máster de Endodoncia Online de la Universitat Internacional de Catalunya (UIC Barcelona) presenta un caso clínico sobre el manejo clínico ...
Un equipo del Máster de Endodoncia Online de la Universitat Internacional de Catalunya (UIC Barcelona) presenta un caso clínico sobre el manejo clínico ...
La Dra. Cristina Barboza Solís, experta en epidemiología enfocada en el estudio de las inequidades sociales en la salud oral, explica en este artículo la...
La detección temprana es clave para mejorar la supervivencia a medio y largo plazo, y los dentistas son, a menudo, los primeros en identificar lesiones ...
El endodoncista norteamericano Rajiv Patel será uno de los oradores principales en el próximo congreso internacional de endodoncia ROOTS SUMMIT, que ...
El Consejo General de Odontólogos y Estomatólogos de España lanzó una iniciativa para realizar análisis y estudios sobre ...
Prostodoncista con Postgrado realizado en la Universidad Hokkaido de Japón, Roberto Rendón Yúdice es uno de los conferencistas del Congreso ...
Webinars en vivo
mar. 19 de mayo 2026
9:00 CST (Mexico City)
Webinars en vivo
mar. 19 de mayo 2026
11:00 CST (Mexico City)
Prof. Dr. med. dent. Ivo Krejci
Webinars en vivo
mié. 20 de mayo 2026
5:00 CST (Mexico City)
Dr. Graham Carmichael BDSc (Hons), DClinDent (Pros), FRACDS, Dr. Robert Gottlander DDS
Webinars en vivo
mié. 20 de mayo 2026
7:00 CST (Mexico City)
Webinars en vivo
mié. 20 de mayo 2026
9:00 CST (Mexico City)
Webinars en vivo
mié. 20 de mayo 2026
11:00 CST (Mexico City)
Prof. Dr. med. dent. Tim Joda PhD, MSc, eMBA
Webinars en vivo
jue. 21 de mayo 2026
10:00 CST (Mexico City)
Dr. Leonardo Muniz DDS, MSC
To post a reply please login or register