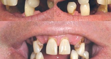
Figuras 1a-1c. Condición preoperatoria. Obsérvese la línea alta del labio, el grave deterioro cervical en los dientes restantes y la falta de apoyo gingival.
El autor demuestra que las restauraciones con prótesis fijas o removibles sobre implantes son grandes alternativas para los pacientes parcial o totalmente edéntulos que aspiran a tener mejor capacidad de masticación, mejor estabilidad y comodidad en la prótesis y mejor estética1
Si bien es cierto que el tipo de prótesis sobre implante varía dependiendo de la condición oral del paciente en cuestión de anatomía, calidad, cantidad de hueso y recursos económicos, la prótesis de arco completo ha mejorado tanto que en un gran número de casos los pacientes pueden ser restaurados con esta alternativa.
La prótesis fija sobre implantes ofrece altos niveles de estabilidad, función y satisfacción del paciente, y la removible tiene un mejor desempeño que las dentaduras completas convencionales2. Ambas opciones de tratamiento reducen eficazmente la resorción ósea producida por la pérdida de dientes, ayudando a preservar las estructuras orales y faciales y, por ende, la confianza del paciente edéntulo. Como en cualquier tratamiento, es importante determinar qué solución es la adecuada basado en una evaluación cuidadosa de las circunstancias y deseos de cada paciente en particular. Actualmente, una prótesis removible sobre implantes se puede convertir eventualmente en una restauración fija si se cuenta con la disposición y el número adecuado de implantes.
Como demuestra el caso clínico a continuación, en el que una de las arcadas se restauró con una sobredentadura sobre implantes y la otra con una prótesis tipo BruxZir® Full-Arch Implant Prosthesis, los odontólogos tienen ahora una gran flexibilidad clínica. Independientemente del enfoque protésico, este tipo de restauración proporciona a los pacientes un alivio inmediato que cambia su vida. Es más, el dramático cambio en la salud oral de este paciente demuestra el alcance positivo de la terapia con implantes, que le ayudó a superar desafíos estéticos y funcionales graves que incidían prácticamente en todas las facetas de su vida antes del tratamiento.
Caso clínico
Paciente masculino de 47 años que se presentó con "dentición terminal" en ambas arcadas causada por enfermedad periodontal y caries severa (Figs. 1a-1c). El paciente había perdido muchas piezas y la dentición restante era inestable dada su condición periodontal (Fig. 2). Había ahorrado dinero para una prótesis fija sobre implantes en la arcada superior, que quería que fuera lo más funcional y estética posible. Como no contaba con los recursos económicos para esta rehabilitación en ambas arcadas, se le planteó una sobredentadura mandibular que en un futuro pudiera modificarse a una prótesis fija.
El paciente aceptó un plan de tratamiento para restaurar el maxilar con una prótesis BruxZir Full-Arch Implant Prosthesis (Glidewell Direct, USA) y la mandíbula con una sobredentadura Inclusive® Locator Implant Overdenture. La fabricación de la restauración maxilar con circonio monolítico garantiza la máxima durabilidad a largo plazo. Esto era importante debido a la relativamente joven edad del paciente, ya que evita fracturas, astillas o manchas en la prótesis superior.
La restauración inferior sería retenida a los implantes mediante el uso de aditamentos Locator® (Zest Anchors, USA), un medio de retención más económico que una prótesis fija. Las casoletas de la sobredentadura que contienen los insertos retentivos Locator se fijarían en el sillón, aunque muchos profesionales optan porque lo haga el laboratorio.
La fase quirúrgica del tratamiento consistía en la extracción de los dientes restantes del paciente seguido de la carga inmediata de ocho implantes dentales. Se realizaron exploraciones con tomografía computarizada de haz cónico (CBCT) para determinar la colocación óptima de los implantes en el hueso y evitar el compromiso de las diferentes estructuras anatómicas del paciente. La exploración por CBCT determinó que no había suficiente altura, espesor y calidad del hueso para colocar los implantes en las posiciones y angulaciones adecuadas mediante cirugía a mano alzada. Por lo tanto, se planificó la colocación de cuatro implantes cónicos marca Inclusive® (Glidewell Direct, USA) de 3,7 mm en cada arcada para sostener la restauración fija en el maxilar superior y la prótesis removible en la mandíbula.
En la cita quirúrgica se extrajeron los dientes restantes del paciente y se hizo un colgajo para visualizar el alveolo y los sitios de colocación de los implantes. A continuación se realizó una regularización ósea de la arcada maxilar del paciente para elevar la línea de transición de la sonrisa del paciente por encima del labio superior.
Las osteotomías maxilares posteriores se inclinaron para maximizar la extensión anterior-posterior (A-P), evitar los senos y tener en cuenta las limitaciones óseas del paciente (Fig. 3). Se realizaron osteotomías para colocar cuatro implantes mandibulares, en vez del mínimo de dos requerido para retener una sobredentadura con aditamentos tipo Locator. Esto mejora la retención de la sobredentadura y permite la posibilidad de actualizarla en un futuro a una restauración fija.
Después de las osteotomías se colocaron los implantes (Figs. 4a-4c). Se utilizaron los pilares Inclusive® Multi-Unit Abutments (Glidewell Direct) que se unieron a los implantes maxilares, corrigiendo la angulación de los implantes angulados. Esto posiciona la plataforma de restauración de manera que sitúa los orificios de acceso a los tornillos de la eventual prótesis hacia el aspecto palatino para permitir una restauración de molar a molar (Fig. 5).
Hay que tener en cuenta que a los pacientes con dentición terminal suele preocuparles el efecto que la pérdida de dientes pueda tener sobre la fonética y la capacidad para masticar. Por ello, es importante hacer todo lo posible para asegurar que el paciente salga de la clínica con restauraciones funcionales. Así, se fabricaron dentaduras tradicionales de las impresiones preliminares antes de la cita quirúrgica para modificarlas y colocarlas después de cargar los implantes (Fig. 6).
Después de obtener la suficiente estabilidad primaria fue posible realizar la carga inmediata de los implantes cónicos en el maxilar del paciente. La dentadura superior se recortó y modificó para conectarla a los pilares multi-unit mediante cilindros temporales (Figs. 7a, 7b). Esto satisfizo el deseo del paciente, que quería salir de la cirugía con una prótesis maxilar fija totalmente funcional. Obsérvese que los dos molares más distales se eliminaron para reducir al mínimo los cantilevers y las fuerzas transmitidas a los implantes durante la osteointegración. Los pilares de cicatrización se colocaron en los implantes mandibulares para comenzar a conformar los espacios transmucosa. A continuación, se modificó y rebasó la dentadura inferior inmediata para asentarla sobre los implantes durante la cicatrización.
Este enfoque permite que el paciente salga de la clínica con prótesis provisionales en el mismo día, y, en el caso de este paciente, con dientes funcionales por primera vez en muchos años. El efecto de esta nueva comodidad, funcionalidad y apariencia en el paciente fue tan inmediato como profundo (Figs. 8a, 8b). La radiografía final tomada después de colocar los dispositivos temporales confirmó un excelente posicionamiento de los implantes (Fig. 9).
El paciente volvió a los tres meses y medio para evaluar la estabilidad de los implantes y la salud de los tejidos blandos. La remoción de los aparatos temporales reveló una excelente salud tisular alrededor de los pilares de cicatrización de la mandíbula y de los pilares multi-unit del maxilar (Figs. 10a, 10b). Se tomaron impresiones de vinil polisiloxano (VPS) para iniciar el proceso de restauración (Figs. 11a-11c). Debido a que los pilares multi-unit y los tornillos de cicatrización se colocaron el día de la cirugía, el proceso de restauración se realizó sin necesidad de realizar una segunda fase de cirugía o de utilizar anestesia.
El protocolo de restauración para ambas prótesis incluyó rodetes de cera y placas base, que el laboratorio fabricó a partir de las impresiones de los modelos de trabajo (Figs. 12a, 12b). El rodete de cera maxilar tenía cilindros provisionales a través de los cuales podrían conectarse los tornillos a los implantes. El rodete de cera y la placa base inferior fue diseñada para que se asentara sobre los aditamentos Locator.
En la siguiente cita se asentaron las placas base y los rodetes de cera, se registró la relación de la mandíbula usando la técnica de prótesis convencional y se tomó un registro de la mordida (Figs. 13a, 13b). También se tomó un impresión con VPS del arco mandibular, con los rodetes de cera, la placa base y los copings de impresión del Locator colocados (Fig. 14). Esto ayuda al laboratorio a diseñar una sobredentadura que descansa totalmente sobre el tejido en vez de sobre los implantes.
El caso fue enviado al laboratorio, que hizo el enfilado de los dientes (Figs. 15a-15c). Durante la cita para la prueba en boca, se evaluó la dimensión vertical, la relación interoclusal, la fonética, la estética, la línea media, la disposición, el color y la forma, los bordes incisales y la función (Figs. 16a-16c).
Después de la aprobación final de la prueba, los protocolos de restauración para las dos prótesis fueron diferentes: el laboratorio se ocupó directamente de fabricar la sobredentadura final sobre implantes, mientras que el proceso para la prótesis BruxZir Full-Arch Implant Prosthesis requirió fabricar una plantilla de verificación de implantes, una impresión final individual y una prótesis sobre implantes provisional. Se tomaron estas medidas adicionales para asegurar que el diseño de la prótesis definitiva fuera preciso, antes de que se fresara la restauración final de circonio monolítico.
La plantilla de verificación se unió a los implantes para tomar una impresión final precisa (Figs. 17a-17c). La cubeta individual proporcionada por el laboratorio se llenó de VPS y asentó sobre la plantilla de verificación del implante. A medida que el VPS se endurecía, la posición relativa de los implantes en la plantilla de verificación se mantuvo fija, asegurando así una impresión final precisa.
Los modelos de cera aprobados y la impresión maxilar definitiva se enviaron al laboratorio para que fabricara la sobredentadura mandibular sobre implantes y la prótesis maxilar provisional sobre implantes. La restauración final inferior fue fabricada en el modelo maestro e incluía un espacio para las cazoletas de metal con los insertos retentivos de la sobredentadura (Fig. 18a, 18b). Estos insertos proporcionan retención y estabilizan la prótesis, asentándose sobre los aditamentos Locator y manteniendo la sobredentadura en su lugar durante la función.
Se fabricó un nuevo modelo de trabajo del maxilar a partir de una impresión a cubeta abierta. El nuevo modelo de trabajo y el enfilado final en cera aprobado por el paciente se escanearon. Se generó un modelo virtual en el que se diseñó la prótesis fija monolítica utilizando software CAD (Figs. 19a, 19b). Debido a que este modelo digital se basa en la impresión final que contiene la plantilla de verificación, los orificios de acceso de los tornillos se crearon basados en las posiciones de los implantes maxilares.
El diseño CAD se utilizó para fresar una prótesis provisional de polimetil metacrilato (PMMA) (Figs. 20a, 20b). La restauración provisional se probó y el paciente la portó durante un período de prueba, lo que garantiza un diseño preciso de la prótesis. La prótesis provisional sobre implantes es un elemento esencial del proceso de restauración, ya que no se pueden hacer ajustes importantes en la restauración una vez fresada la estructura de circonio sólido BruxZir.
En la siguiente cita se colocó la sobredentadura y se comprobó el ajuste, la función y el apoyo sobre los tejidos blandos. A continuación, se atornilló la prótesis provisional sobre los implantes y se verificó su posicionamiento en los dientes, función y estética (Figs. 21a, 21b). La relación interoclusal se comprobó con las dos restauraciones colocadas en el paciente (Figs. 22a, 22b). Se hicieron pequeños ajustes oclusales directamente en la prótesis provisional maxilar, ya que el PMMA se puede modificar fácilmente.
Se realizaron también ligeras alteraciones en la sobredentadura inferior sobre implantes. A continuación, se colocaron cuñas de bloqueo y los insertos retentivos de la sobredentadura en los aditamentos Locator (Figs. 23a, 23b). Se virtió el material de autocurado rápido Quick Up (VOCO America, USA) en los espacios que se dejaron en la base de la sobredentadura antes de colocarla sobre las cazoletas de metal. Después de dejar que el material polimerizara durante unos tres minutos, se retiró la sobredentadura, sacando las cofias de la prótesis. A continuación, se llenaron los pequeños espacios que rodean las cazoletas con composite rosado de fotocurado Quick Up (Fig. 24). Los insertos de retención, que están disponibles con diversas fuerzas según la capacidad funcional del paciente y el número de implantes utilizado, se colocaron en los armazones de metal (Fig. 25). La sobredentadura sobre implantes volvió a asentarse, proporcionando una excelente retención, estabilidad y función en el paciente.
Una vez se tuvo la restauración definitiva de la mandíbula, el paciente portó la prótesis provisional de la arcada completa durante un período de prueba de dos semanas (Fig. 26). La oportunidad de usar la restauración brindó un alto grado de confianza en el diseño de la prótesis, tanto en el paciente como en el odontólogo. Tras la aprobación del paciente, la prótesis sobre implantes provisional se envió al laboratorio como modelo de la restauración final para que incorporara en el diseño de la prótesis definitiva los pequeños ajustes realizados.
La prótesis final de arcada completa BruxZir se fabricó digitalmente con precisión (Fig. 27). Siendo una reproducción exacta de la prótesis provisional basada en pruebas, ajustó perfectamente, ofreciendo la estética y función que el paciente esperaba (Figs. 28a, 28b). La restauración final solucionó de forma eficaz las particularidades del caso, mediante la prótesis más duradera y estable posible en la parte superior, y una restauración de la arcada inferior que mejoró la retención de la prótesis, teniendo la opción de modificarla a prótesis fija si el paciente lo desea.
Conclusión
Los profesionales tienen ahora la alternativa clínica de ofrecer a los pacientes una amplia gama de opciones de tratamiento, desde prótesis sobre implantes removibles económicas como el Locator Implant Overdenture, a una prótesis fija de gran durabilidad como BruxZir Full-Arch Implant Prosthesis. Este es un método para tratar a casi todos los pacientes, independientemente del estado de su salud oral, necesidades y economía. Esta oportunidad debe ofrecerse a todos los pacientes que se enfrentan a los retos que presenta el edentulismo total.
NOTA: El Dr. Patel dictará una conferencia sobre este tema en el Congreso Internacional de la Asociación Dental Méxicana, que se celebra en Ciudad de México del 17 al 19 de noviembre. Más información en congresoadm.mx.
Cofundador de la American Academy of Small Diameter Implants e instructor clínico en el Reconstructive Dentistry Institute que ejerce en Carolina del Norte (Estados Unidos). Contacto: www.dentalminiimplant.com.
Referencias 1. Yunus N, Masood M, Saub R, Al-Hashedi AA, Taiyeb Ali TB, Thomason JM. Impact of mandibular implant prostheses on the oral health-related quality of life in partially and completely edentulous patients. Clin Oral Implants Res. 2015 Jul 14.
2. Martín-Ares M, Barona-Dorado C, Guisado-Moya B, Martínez-Rodríguez N, Cortés-Bretón-Brinkmann J, Martínez-González JM. Prosthetic hygiene and functional efficacy in completely edentulous patients: satisfaction and quality of life during a 5-year follow-up. Clin Oral Implants Res. 2015 Apr 20.
La colocación de implantes cigomáticos es una alternativa en pacientes de alto riesgo que requieren aumentos complejos de tejido óseo en el maxilar ...
El Dr. Enrique Jadad, reconocido colaborador de Dental Tribune desde hace años, cuenta en este artículo la génesis de una idea que ha culminado con el ...
Dental Tribune le ofrece a sus lectores Premium otras dos medias becas valoradas en $11,000 dólares cada una para realizar un postgrado en Ortodoncia...
La odontología moderna ya no depende únicamente de la excelencia clínica.
Hoy, dirigir un consultorio rentable exige saber interpretar datos financieros,...
Decenas de miles de odontólogos, técnicos dentales y estudiantes recorrieron los stands comerciales de los principales distribuidores de la industria ...
To post a reply please login or register