Los pacientes modernos buscan tratamientos que no sólo son estéticos, sino también inofensivos, curativos y que tengan una influencia beneficiosa en su salud general. De hecho, en las últimas décadas, la odontología está atravesando un cambio del tratamiento reactivo de las enfermedades dentales a un modelo preventivo y conservador mediante tecnologías bioactivas. Esto abarca materiales bioactivos que fomentan la remineralización de la estructura dental y contribuyen a la salud y el bienestar a largo plazo del paciente.
Si bien los materiales restauradores promedio tienden a ser inactivos con respecto a los tejidos biológicos del diente, algunos tienen también propiedades biomiméticas que imitan a la naturaleza. Estos nuevos materiales se integran eficazmente en el tejido dental para remineralizar y curar. A diferencia de los materiales tradicionales, los materiales bioactivos presentan una serie de propiedades únicas. Por ejemplo, mediante la formación de apatita, crean una interfaz resistente a la caries que contribuye eficazmente a un mejor resultado clínico.
Los giómeros son la más nueva generación de materiales híbridos con características bioactivas para la restauración. Estos compuestos utilizan una tecnología de superficie de vidrio pre-reaccionada (S-PRG) en la que las partículas de vidrio multifuncionales atrapadas en una matriz de poliácido liberan y recargan de forma sostenida iones benéficos, tales como fluoruro, estroncio, boro, aluminio, silicato y sodio.
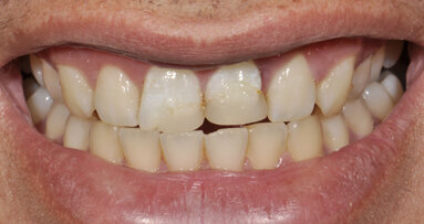
Los materiales restauradores con tecnología de giómero combinan los beneficios clínicos del ionómero de vidrio (liberación y recarga de fluoruro y otros iones beneficiosos, capacidad para inhibir la formación de placa y establecer un pH estable en el medio oral, disminuyendo así el riesgo de caries secundarias), con las propiedades mecánicas y estéticas superiores intrínsecas a los materiales nanohíbridos (Figura 1).
Los atributos de los giómeros han sido clínicamente comprobados en una serie de ensayos clínicos a largo plazo. Por ejemplo, una investigación clínica de ocho años publicada en JADA en 2007 indicó una tasa de retención del 100% con estética intacta, sin caries secundarias, fallas o sensibilidad postoperatoria. Además, un estudio de trece años presentado en la sesión de pósters de 2013 de la International Association for Dental Research (IADR) demostró una tasa de retención del 66% sin caries secundarias en el 96% de las restauraciones. Shofu ha incorporado con éxito la tecnología de los giómeros en una línea versátil de productos, que incluyen los compuestos nanohíbridos (empacables, inyectables, fluidos, a granel), cementos, sistemas adhesivos, sellador y barniz de curado ligero.
Las propiedades de Beautifil II
El galardonado compuesto nanohíbrido con composición química patentada de giómero, Beautifil II, permite realizar restauraciones que se asemejan a los dientes naturales, son reversibles y reparables de forma costo-efectiva.
Este compuesto bioactivo de liberación y recarga de fluoruro demuestra propiedades tixotrópicas mejoradas de excelente adaptación marginal y un contorno eficiente sin grumos ni adherencias. La elevada resistencia a la compresión y flexión del material (330 MPa y 130 MPa, respectivamente), ya sea colocado en las regiones anterior o posterior, lo hacen ideal para facilitar una estabilidad funcional a largo plazo en la cavidad oral.
Las principales características de la línea de composites de Beautifil II son:
• Manejo ideal optimizado para obtener una consistencia no pegajosa
• Acabado y pulido rápido y fácil con un brillo duradero
• Estabilidad de la sombra con efecto camaleón
• Fluorescencia natural con alto nivel de radiopacidad.
Recursos
• Shofu
Un equipo multidisciplinario de investigadores de la Universidad de Leuven (Bélgica) ha desarrollado un implante dental que libera gradualmente ...
Las Newsletters semanales de Dental Tribune donde aparecen estos artículos ofrecen contenido exclusivo para suscriptores y también artículos de acceso ...
El doctor Roberto Tello Torres es el pionero a nivel internacional de la Filosofía ROA (Rehabilitación Oral Adhesiva), una nueva forma de trabajar en ...
Shofu, compañía japonesa que fabrica materiales de restauración dental de alta calidad, presentó en Ciudad de México una amplia variedad de sus nuevos ...
Shofu Dental Corporation, fabricante líder de galardonados materiales y equipos dentales, presentó en el Greater New York Dental Meeting un nuevo material...
El experto en estética dental francés Yassine Harichane continúa con la presentación de este caso clínico con una serie de tres artículos realizados ...
Se han investigado numerosos métodos para controlar la caries dental, que es, junto con otras enfermedades orales, la enfermedad no transmisible más ...
La Odontología ha identificado a la caries dental como la enfermedad más prevalente de la cavidad bucal, constituida como un problema de salud...
La autora describe el uso del composite inteligente Amaris para la restauración del volumen dental, así como de los contornos y los matices ...
Cada vez más, los pacientes optan por solicitar tratamientos basados en restauraciones estéticas o sin metal, lo que ha generado que la oferta de estos ...
Webinars en vivo
mar. 19 de mayo 2026
9:00 CST (Mexico City)
Webinars en vivo
mar. 19 de mayo 2026
11:00 CST (Mexico City)
Prof. Dr. med. dent. Ivo Krejci
Webinars en vivo
mié. 20 de mayo 2026
5:00 CST (Mexico City)
Dr. Graham Carmichael BDSc (Hons), DClinDent (Pros), FRACDS, Dr. Robert Gottlander DDS
Webinars en vivo
mié. 20 de mayo 2026
7:00 CST (Mexico City)
Webinars en vivo
mié. 20 de mayo 2026
9:00 CST (Mexico City)
Webinars en vivo
mié. 20 de mayo 2026
11:00 CST (Mexico City)
Prof. Dr. med. dent. Tim Joda PhD, MSc, eMBA
Webinars en vivo
jue. 21 de mayo 2026
10:00 CST (Mexico City)
Dr. Leonardo Muniz DDS, MSC
To post a reply please login or register