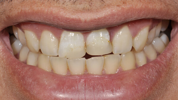
Figura 1. Situación inicial, vista frontal en proporción 1:2. El viejo adhesivo de composite y la asimetría entre las piezas 11 y 21 son claramente visibles debido a las fluorosis horizontales en la línea de transición.
La autora describe el uso del composite inteligente Amaris para la restauración del volumen dental, así como de los contornos y los matices ópticos del paciente.
Un paciente de 16 años acudió a mi consultorio derivado por un endodoncista. Las piezas 11 y 21 presentaban traumatismo grave producido al caerse el paciente de una roca a la edad de siete años. Se somentió a varios intentos de tratamiento del conducto radicular que, debido a una fuga coronal y una recontaminación, originaron un mal funcionamiento así como, debido al oscurecimiento de los dientes por el depósito de hemosiderina y la colonización bacteriana, un deterioro estético. Las piezas 11 y 21 presentaban viejas obturaciones de composite pigmentadas, irregulares e inaceptables que preocupaban al paciente. Aparte de esta compleja situación, la raíz de la pieza presentaba en la región mesiobucal una perforación subgingival restaurada que había provocado irregularidades subgingivales y una bolsa periodontal que se había tratado brevemente. Además, la cara distal de la pieza 21 no estaba contorneada, hecho que iba acompañado de un desnivel o zona retirada bajo la encía y un perfil de emergencia deficiente. El paciente quería que los incisivos centrales fueran más proporcionados, largos y estéticos. No obstante, este deseo estaba sujeto a limitaciones económicas y a las relativas al remanente de substancia dental dura sana del paciente.
Diagnóstico
El examen específico comenzó con una exploración extraoral de los ganglios linfáticos, las glándulas salivales, los músculos masticatorios y la función de la articulación temporomandibular. La amplitud de movimiento del paciente era de 50 mm, situándose dentro de los valores de referencia.
El sondaje específico en el sextante anterosuperior reveló una profundidad máxima de sondaje de 4 mm en la región de la pieza 21 d-b. El resto de las regiones revelaron una profundidad máxima de 3 mm con sangrado al sondaje. El examen del tejido duro reveló una corona más corta en la pieza 21 que en la pieza 11. Además, la pieza 21 presentaba, en comparación con la pieza 11, una bucoversión y proclinación. La cara distal de la pieza 21 presentaba una región no contorneada que iba acompañada de un déficit subgingival de substancia dura y que deterioraba el perfil de emergencia desde la región distobucal a la distolingual. Las piezas 13 a 23 no tenían sensibilidad a la percusión ni a la presión y no presentaban movilidad clínica significativa.
El examen radiológico incluyó solo una radiografía periapical de la zona, donde se apreciaron extensas obturaciones del conducto radicular sin estructuras de espiga radicular. Como después de consultarlo con el endodoncista se confirmó que no era necesaria una espiga radicular para el tratamiento posterior, fue preciso realizar una preparación que mantuviese de la mejor forma posible la substancia dental natural.
Se comentó con el paciente la opción de la restauración con dos revestimientos complejos directos con composite para realizar una corrección estética, restauración para la que solo se debía eliminar una reducida porción de substancia dental. Además, la proporción entre altura y anchura se podía mejorar de forma que mantuviera una proporción ideal de 0,8:1,0. Otra de las opciones terapéuticas presentadas suponía la reconstrucción con restauraciones cerámicas adhesivas, ya que esta alternativa contribuiría a la estabilización coronal. Aunque el paciente y su madre se mostraron interesados por esta opción, la descartaron por el deseo del paciente de conservar la posibilidad de reparación en posibles accidentes futuros y por su situación económica. El paciente aceptó mi consejo de restaurar las piezas 11 y 21 con revestimientos directos con composite.
Plan terapéutico
• Reconocimiento superficial (tejido duro y blando) extraoral e intraoral
• Radiografías periapicales preoperatorias x 1
• Declaración de conformidad
• Documentación fotográfica preoperatoria (12 imágenes)
• Determinación del color
• Anestesia, aislamiento con dique de goma (técnica «Split dam») y preparación
• Microabrasión con aire (50 µm de óxido de aluminio), grabado, pegado, obturación directa por estratificación con Amaris (VOCO) en los tonos TN, O3, O2, HT y TL en las piezas 11 y 21
• Acabado basto de la anatomía primaria y secundaria en la primera sesión
• Confirmación de la integración cromática, la modificación (en caso necesario), el contorneado y el pulido finales tras 48 horas (para esperar al fraguado definitivo del plástico antes del pulido)
• Posteriormente se realizó la documentación fotográfica postoperatoria (12 imágenes), así como una radiografía periapical postoperatoria.
Caso clínico
El paciente fue derivado a mi consultorio por un endodoncista que había realizado obturaciones del conducto radicular en las piezas 11 y 21 con gutapercha y Roth Sealer. Para la reconstrucción del muñón se utilizó fondo cavitario (3M Espe) en la capa más profunda, así como composite fluido B1 y composite B2 de marca indeterminada. Tras el examen específico, el diagnóstico, la discusión sobre el plan terapéutico y el consentimiento, se concertó una segunda visita para la preparación y elaboración de dos revestimientos directos complejos con composite en las piezas 11 y 21 (Fig. 1). Se le administró una anestesia (ampollas de 1,5 de articaína al 4% [anestésico de tipo amida] con epinefrina en dilución 1:105). Antes del aislamiento (técnica «Split dam», Fig. 2) se realizó la determinación del color. Debe tenerse en cuenta que la evaluación del color se limita siempre a una imagen instantánea de las propiedades ópticas del diente, que varían en diferentes condiciones. La determinación del color depende de factores como la deshidratación y el tiempo/edad y se basa en cinco variables: tono de color, saturación de color, translucidez, fluorescencia y opacidad. Irfan Ahmad afirma que la adaptación cromática es volátil antes que duradera1.
Se realizó una gingivectomía mediante láser de diodo (Ezlase 940 nm, Biolase, 1,5 W en modo continuo) para eliminar en la superficie distoaxial el exceso de tejido de la región subgingival sin contornear descrita anteriormente (Fig. 3). Se eligió este láser puesto que la hemoglobina y la oxihemoglobina absorben de forma óptima la luz con longitud de onda de 940 nm. Permite la resección de tejido y la hemostasia simultáneas y crea las condiciones ideales para la restauración. En la foto se aprecia bien la perforación subgingival y la restauración, así como el composite translúcido utilizado para el muñón originario. Se decidió que la eliminación total del material de composite existente podría dañar aún más la estructura dental remanente, así que se finalizó la preparación en este punto. A continuación se aplicó un colorante detector de caries (Caries Detector, Kuraray) para la visualización y eliminación de las bacterias restantes. De esta forma se garantizó una base de dentina dura y limpia.
Tras la colocación de un hilo de retracción de grosor 0 (Ultrapak, Ultradent) en el surco bucal con técnica de compactación continua, se realizó una microabrasión con aire con 50 µm de óxido de aluminio para garantizar el mejor anclaje micromecánico posible (Fig. 4).
Se realizó un grabado con ácido ortofosfórico al 33% seguido de la aplicación en tres pasos de un sistema de adhesivo de grabado dentinario de cuarta generación (Optibond FL, Kerr).
La estratificación comenzó con la colocación de la laminilla lingual, que se creó a mano alzada con ayuda de una banda matriz de Mylar para las piezas 11 y 21 (Fig. 5). Con ayuda de una llave de silicona realizada mediante encerado diagnóstico se podría haber colocado la capa base de forma más sencilla. No obstante, el paciente decidió omitir este paso por motivos económicos.
La capa base de aprox. 0,3 mm de grosor sirve para la reconstrucción de la longitud y proporciones dentales deseadas y se realiza con un tono de esmalte translúcido y lechoso. Para este armazón se utilizó Amaris (VOCO) en el matiz TN (Translucent Neutral).
La siguiente capa servía para proporcionar la mejor cobertura posible del fondo translúcido con dentina opaca. La opacidad se regula de forma que las líneas de transición queden cubiertas. De lo contrario, el resultado es menos estético. En este caso constituyeron una dificultad adicional el tamaño y la translucidez del muñón remanente, debidos a los materiales utilizados anteriormente.
El tono base opaco Amaris O3 se utilizó para las capas más profundas en la región distoaxial para comprobar si este tono coincidía con el tono del muñón dental (Fig. 6). Tras el fraguado quedó de manifiesto que para las capas exteriores era necesario un tono opaco algo más claro (O2) para lograr la mejor adaptación posible al tono de destino (Fig. 7). La modificabilidad de Amaris facilita la odontología estética directa y es un placer. Esta capa tiene otra función importante, ya que la dentina determina el tono base del diente y equilibra de forma óptima la fluorescencia y la saturación de color de la restauración acabada4.
La capa dentinaria exterior se modeló y retocó cervicalmente en las regiones marginales para cubrir la perforación subgingival bucal. La región incisal se confeccionó con un incremento adicional de Amaris O2 y se retocó incisalmente. Una característica típica de esta capa son los «dedos» de dentina irregulares, que sientan la base para el efecto incisal del producto final. Antes del fraguado definitivo se forman además en esta capa dentinaria exterior lóbulos de dentina. Para la siguiente capa se utiliza un matiz de elevada translucidez. Se aplica como material de obturación para las regiones entre los «dedos» de dentina incisales y los lóbulos de dentina (Fig. 8). La utilización de un tono claro y translúcido aumenta la incidencia, translucidez, reflexión y refracción de la luz en esta región del producto final.
El matiz se determina a partir del matiz del diente colindante deshidratado. Se debe apuntar que una vez concluida la determinación del tono no es posible una modificación intraoperatoria, o lo es solo de forma muy limitada. El aspecto más claro de los dientes deshidratados durante un periodo de tiempo prolongado puede llevar a confusión, e induce a muchos profesionales clínicos a confeccionar los dientes de tal forma que tras la rehidratación de los dientes colindantes tienen un aspecto demasiado blanco. En este caso el paciente solicitó un tono ligeramente más claro, ya que deseaba realizar posteriormente un blanqueamiento de los dientes vitales colindantes. Dado que los incisivos centrales son a menudo algo más claros por naturaleza que los incisivos laterales, nos decidimos por el tono de esmalte TL (Translucent Light), más claro, en lugar del TN (Translucent Neutral) previsto. También en este punto la modificabilidad de Amaris permite un control del tono del producto final durante las diferentes fases de la reconstrucción.
En la pieza 11 se colocan dos bolas de composite Amaris fotopolimerizadas que sirven como escala de colores durante la operación: La bola colocada en el área más incisal representa el matiz TN (Translucent Neutral) y la colocada en el área más cervical el matiz TL (Translucent Light). Si se aplicase exclusivamente una capa gruesa de TL, el valor cromático de la pieza superaría nuestro valor objetivo (Fig. 9). Por este motivo, es imprescindible evaluar desde el plano incisal el grosor y la morfología de las capas dentinarias aplicadas1. En este caso solo era necesaria una fina capa final de composite del tono de esmalte para elaborar todo el perfil de emergencia y las líneas marginales. Por este motivo se utilizó TL para elevar ligeramente el valor cromático de la capa dentinaria (Fig. 10).
Tras el fraguado definitivo se separaron los puntos de contacto aplicando una suave fuerza de separación interdental («Mopper Pop»). El acabado se realizó mediante finas tiras abrasivas metálicas (GC) y tiras abrasivas Epitex de plástico (GC). Con un rotulador se realizaron marcas en las superficies labiales para señalizar las líneas marginales y el perfil de emergencia a conservar. El acabado final de la anatomía primaria y secundaria se realizó mediante discos abrasivos de grano grueso (Soflex, 3M ESPE) y fresas de diamante en forma de aguja de grano fino (Mani Dia-Burs). Para el pulido de alto brillo se utilizó el sistema Double Diamond de dos fases (Clinician's Choice) a 5.000 r.p.m., seguido del pulido de alto brillo final con una pasta de óxido de aluminio (Enamelize, Cosmedent, Fig. 11) aplicada sobre un disco de fieltro (Flexibuff, Cosmedent). Se dio de alta al paciente para que la encía pudiera curar antes del pulido definitivo en la consulta de revisión (Fig. 12).
Elección del material de obturación
En el caso de este paciente de 16 años con múltiples defectos coronales estructurales de los incisivos centrales superiores, era importante elegir un sistema de composite que dispusiera tanto de propiedades físicas extraordinarias como de un moderno sistema de color, para así poder restaurar los matices ópticos naturales. El objetivo de este tratamiento era obtener un resultado biomimético mediante la restauración del volumen dental natural y de los efectos y anatomía individuales.
En este caso, solo fue necesaria una pequeña reducción dental, alrededor de un 15-20% del volumen total.
El volumen dental remanente incluía una fuerte unión de material para reconstrucción de muñones y estructura dental irregular. Se consideró sensato no romper esta unión, ya que no había ningún indicio de ataque carioso más profundo y se corría un elevado riesgo de perder aún más estructura dentinaria. Pascal Magne defiende la utilización de restauraciones cerámicas adhesivas en los casos en los que los daños coronales estructurales suponen más del 60% del volumen dental natural. Esta cifra representa el umbral crítico de la estabilidad coronal mínima necesaria para una eficacia duradera. Una pérdida mayor requiere un material con propiedades físicas más resistentes. El composite es un material más flexible que la cerámica y, cuando se utiliza para la estabilización de una pieza muy dañada tiene como resultado una pieza propensa a fracturas2. En este caso, la pieza 21 presentaba una estructura dental remanente de menos del 40% y, en una situación ideal, se le hubiera aplicado una restauración cerámica adhesiva, pero la situación económica del paciente no permitía este procedimiento. Desde el principio se hizo constar que si la pieza presentaba dentina intacta se produciría una desviación respecto al tono del muñón restante. Por este motivo la opción de una adaptación cromática intraoperatoria era irrenunciable. La solución era la aplicación de un composite universal que no solo poseyera propiedades físicas extraordinarias, sino también un sistema de color inteligente que permitiese una modificación del tono en todas las fases.
En este caso se aplicó la técnica del Dr. Newton Fahl con tono de esmalte acromático3. Para la capa de esmalte se aplicó un matiz «no Vita» (Amaris TN: Translucent Neutral) en el que la saturación de color se compone de dos tonos de dentina (Amaris O3 y O2). El valor O3 se consideró demasiado bajo respecto a nuestro valor cromático objetivo. Mediante la aplicación del sistema de color inteligente de VOCO existía la posibilidad de modificación con un tono de dentina más claro (O2). El valor cromático se volvió a modificar mediante la aplicación de un tono de esmalte más claro (Amaris TL: Translucent Light) que el tono previsto anteriormente. Para lograr una óptima coincidencia del tono se debe realizar la adaptación por incrementos del grosor de la capa con la máxima precisión. Una capa de esmalte demasiado gruesa conduce a un valor cromático más bajo del previsto. Una capa dentinaria demasiado gruesa repercute en el valor cromático, el tono y la saturación de color1. A lo largo de la construcción por fases del volumen, este aspecto se supervisó con frecuencia y de forma sistemática desde el plano incisal.
La necesidad de conservar la dentina intacta remanente fue crucial para la decisión de dejar intacta la mayor parte de la estructura del muñón. En este caso, en el que se produjo una alteración cromática intraoperatoria, la utilización de un sistema de composite inteligente que ofrece la posibilidad de modificaciones fue indispensable para el éxito del tratamiento. Amaris permite la restauración del volumen dental destruido, así como de los contornos y los matices ópticos en un único sistema inteligente con el que se pueden resolver fácilmente las complicaciones estéticas intraoperatorias imprevistas. Estas propiedades hacen de Amaris un composite universal ultramoderno y un instrumento clave de la odontología estética conservadora. Las extraordinarias características de pulido, junto con la mínima rugosidad superficial y la abrasión a tres cuerpos, proporcionaron un resultado funcional, altamente estético y duradero a este paciente. Amaris ofrece una solución que proporciona predictibilidad en problemas estéticos graves en la zona anterior y al mismo tiempo permitió, con un sencillo concepto, regalar a nuestro paciente una sonrisa duradera.
Presidenta de la New Zealand Academy of Cosmetic Dentistry y directora de una clínica especializada en odontología estética y restauradora en Newmarket, Auckland. Graduada por la Universidad de Western Ontario (Canadá) con especialización en la Universidad de Toronto/Hospital for Sick Children. Contacto: www.clarencetam.co.nz
1) Ahmad, I. Chromatically-Crafted Restorations: Shade Matching with Resin-Based Composites. J. Cosmetic Dent. 2013; 29(1): 43-50.
2) Magne, P. and Belser, U. Bonded Porcelain Restorations in the Anterior Dentition: A Biomimetic Approach. (2003) Quintessence Publishing Co, Inc., pp. 50-55.
3) Fahl, N. Jr. Step-by-Step Approaches for Anterior Direct Restorative Challenges: Mastering Composite Artistry to Create Anterior Masterpieces – Part 2. J. Cosmetic Dent. 2010; 26(4): 42-55.
4) Milnar, F.J. and Wohlberg, J. Direct Resin Veneers: Case Type V for AACD Accreditation. J. Cosmetic Dent. 2013; 29(1): 110-118.
La Dra. Clarence Tam, Presidenta de la New Zealand Academy of Cosmetic Dentistry, describe el uso de un composite para restaurar el volumen dental, los ...
La Dra. Clarence Tam, Presidenta de la New Zealand Academy of Cosmetic Dentistry, describe el uso de un composite para restaurar el volumen dental, los ...
Definir el color correcto del diente es el aspecto más importante para obtener una restauración con un buen resultado estético. Pero saber cuál es el ...
Cada vez más, los pacientes optan por solicitar tratamientos basados en restauraciones estéticas o sin metal, lo que ha generado que la oferta de estos ...
Investigadores en Australia han recibido recientemente fondos del gobierno para un proyecto que tiene como objetivo desarrollar un sistema que permita a los...
Formación
Webinars en vivo mar. 19 de mayo 2026 9:00 CST (Mexico City)
La odontología moderna ya no depende únicamente de la excelencia clínica.
Hoy, dirigir un consultorio rentable exige saber interpretar datos financieros,...
Decenas de miles de odontólogos, técnicos dentales y estudiantes recorrieron los stands comerciales de los principales distribuidores de la industria ...
To post a reply please login or register