El tratamiento de pacientes que necesitan restauraciones en la zona anterior plantea siempre retos. En estos casos, es preciso coordinar de manera inteligente los métodos de confección, los materiales de la estructura y los grosores para que la restauración se integre armónicamente en la dentadura natural. Esto requiere de cerámicas de recubrimiento que permitan un uso intuitivo y flexible, y al mismo tiempo posean una elevada fidelidad cromática. Además, estas cerámicas deben posibilitar tanto una estratificación básica sencilla como la reproducción de todas las facetas del juego de colores y de la luz natural. El protésico dental Marcio Breda muestra cómo restaurar la zona estética con coronas metal-cerámicas y carillas sin preparación de cerámica libres de metal.
Situación inicial compleja
Una paciente de 34 años se presentó en la clínica del Dr. Henrique Breda Rafalski, insatisfecha con la estética de sus dientes anteriores superiores. Las coronas metal-cerámicas en los dientes anteriores 11 y 21 presentaban un aspecto apagado y una integración cromática deficiente. Se observó una falta de armonía entre los ejes dentales y el contorno de los bordes incisales y de la arcada dentaria, así como de la morfología. Debido a la reconstrucción metálica de perno-muñón en el diente 11, se debían restaurar los incisivos centrales con nuevas coronas metal-cerámicas. A su vez, la estética rosa y blanca en la zona cervical debía restablecerse mediante un hombro cerámico. Además, se planificaron carillas sin preparación para los dientes 12 y 22, a fin de nivelar la arcada dentaria. Para la confección de coronas y carillas se decidió utilizar la cerámica de recubrimiento VITA VMK Master (VITA Zahnfabrik, Alemania).
Determinación del color
Para posibilitar la reproducción cromática sistemática se determinaron en varios pasos el color dental básico y otros matices y efectos cromáticos. En el primer paso, se determinó el color dental básico A1 mediante la guía de colores VITA classical A1–D4 y se documentó fotográficamente. A continuación, se utilizaron las guías de color VITA VMK Master LUMINARY y TRANSLUCENT para determinar los matices cromáticos translúcidos y efectos fluorescentes de la dentadura natural. Finalmente, se desprendieron y retiraron las coronas de los dientes 11 y 21 bajo anestesia local. Se procedió a la preparación y la toma de impresión de los muñones dentales. Se confeccionó un modelo maestro con muñones refractarios en los incisivos laterales. Tras el escaneo del modelo, se pudieron diseñar estructuras de corona de aleación no preciosa en los dientes 11 y 21 y se fresaron con el Ceramill Motion 2 a partir de Ceramill Sintron (ambos de Amann Girrbach, Alemania).
Dos tipos de restauración, un sistema de recubrimiento
Las estructuras de la corona de aleación no preciosa se recubrieron con una fina capa de VITA NP BOND, que como amortiguador del CET posibilita un recubrimiento sin tensiones y resistente. Para la cocción wash se roció además VITA SPRAY-ON OPAQUE POWDER A1 (OP1). Para la regulación de la fluorescencia desde la profundidad se llevó a cabo la primera cocción de dentina con VITA VMK Master LUMINARY 1 (blanco) y 4 (marrón-naranja claro). A continuación, se estratificó el núcleo de dentina con A1 DENTINE de forma anatómicamente reducida y se personalizó por proximal con TRANSLUCENT 5 (T5: azul claro) y con NECK 4 (N4: naranja) en la zona de los mamelones. Las partes de esmalte de las coronas se construyeron con una mezcla de ENAMEL 1 blanquecino (70%) y TRANSLUCENT 4 neutro (30%). Para la confección de las carillas sin preparación con la técnica de estratificación se utilizaron también los materiales ENAMEL y TRANSLUCENT en la proporción de mezclado mencionada.
Caracterización y acabado
Tras la segunda cocción de dentina de las coronas, se procedió a su acabado con diamantes finos y pulidores de goma y finalmente se caracterizó con color blanco en la zona incisal mediante los maquillajes VITA AKZENT Plus EFFECT STAINS 01 (ES01). Por proximal, se incrementó la saturación cromática con ES02 (crema) y ES07 (caqui). Tras la cocción de fijación de los maquillajes y la subsiguiente cocción de glaseado con VITA AKZENT Plus GLAZE, por último se procedió al pulido mediante un pulidor de goma fino. El acabado de las carillas se llevó a cabo de forma análoga mediante maquillajes y pulido. Tras la prueba clínica en boca, se fijaron adhesivamente las cuatro restauraciones. El recubrimiento de las estructuras de corona metálicas y las carillas sin preparación de VITA VMK Master cementadas adhesivamente sobre esmalte ofrecieron un resultado global absolutamente armónico en la zona estética. La paciente quedó muy satisfecha con el resultado altamente estético.
Fig. 1. Situación inicial en la que las coronas metal-cerámicas de los dientes 11 y 21 presentaban déficits estéticos. En los dientes 21 y 22 se habían colocado carillas cerámicas para obtener una transición más natural hacia los dientes adyacentes.
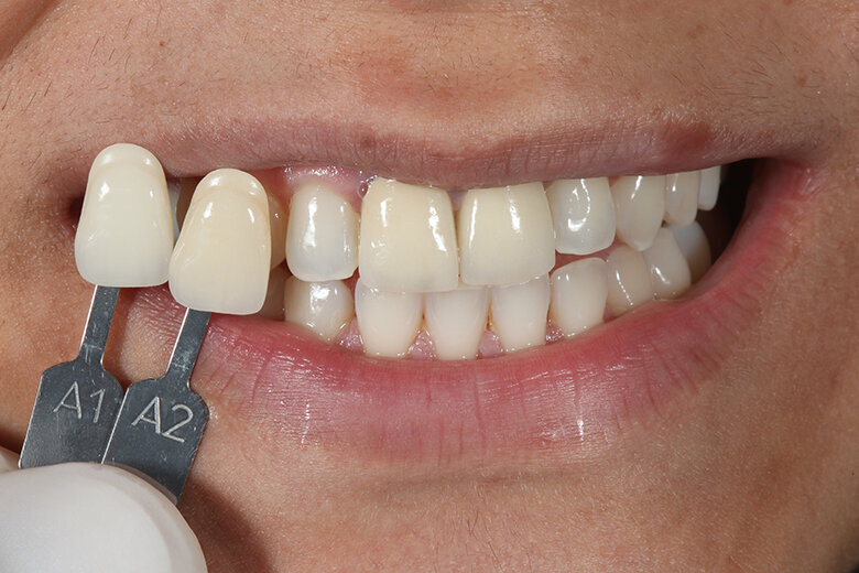
Fig. 2. El color dental básico A1 se determinó mediante la guía de colores VITA classical A1–D4.
Fig. 3. Las guías de color VITA VMK Master LUMINARY se utilizaron para determinar los efectos de fluorescencia.
Fig. 4. Mediante las guías de color VITA VMK Master TRANSLUCENT se determinaron los matices cromáticos translúcidos.
Fig. 5. Dado que el diente 11 había sido sometido a una reconstrucción de perno-muñón metálica, se optó por utilizar estructuras de aleación no preciosa.
Fig. 6. Sobre las estructuras de aleación no preciosa confeccionadas por CAD/CAM se aplicó el amortiguador de CET VITA NP BOND entre la cerámica y la aleación metálica.
Fig. 7. Para la cocción "wash" se roció VITA SPRAY-ON OPAQUE POWDER A1 (OP1).
Fig. 8. Se llevó a cabo la primera cocción de dentina con VITA VMK Master LUMINARY 1 (blanco) y 4 (marrón-naranja claro).
Fig. 9. El núcleo de dentina se estratificó con DENTINE A1 de manera reducida anatómicamente.
Fig. 10. A continuación se personalizó con TRANSLUCENT 5 (T5: azul claro) y con NECK 4 (N4: naranja).
Fig. 11. Se reprodujo el esmalte mediante una mezcla de ENAMEL 1 (70%) y TRANSLUCENT 4 (30%).
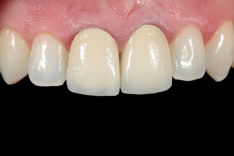
Fig. 12. El resultado final tras el acabado, la caracterización y el glaseado con VITA AKZENT Plus y el pulido.
Fig. 13. Los bordes incisales simétricos armonizan con el contorno de los labios.
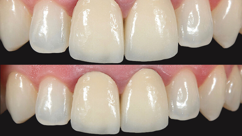
Fig. 14. Los dos tipos de restauración distintos presentan un juego de luces natural.
Fig. 15a. Vista frontal que muestra la conseguida estética de la restauración.
Fig. 15b. Vista lateral, donde se aprecia la morfología natural de la superficie.
* Marcio Breda, protésico dental que ejerce en Vitória, Espírito Santo (Brasil), es autor de numerosas publicaciones sobre estética e implantología aparecidas en "The Journal of Prosthetic Dentistry". Ponente de VITA Zahnfabrik en Latinoamérica, actualmente dirige el “Centro de Estudios y Formación”. Contacto: marciomanzoli@gmail.com
Las Newsletters semanales de Dental Tribune donde aparecen estos artículos ofrecen contenido exclusivo para suscriptores y también artículos de acceso ...
Una nueva línea de implantes de alta calidad 100% cerámicos se presentó durante el Simposio Glidewell, que tuvo lugar del 8 al 9 de noviembre en Orlando,...
VITA ENAMIC se ha consolidado desde 2013 como una solución para confeccionar restauraciones funcionales y, desde 2017, por su enfoque en soluciones ...
Una encuesta realizada entre un amplio grupo de población indica que la mayoría de las personas encuestadas piensa que el papel del equipo de salud ...
Formación
Webinars en vivo mar. 19 de mayo 2026 9:00 CST (Mexico City)
La odontología moderna ya no depende únicamente de la excelencia clínica.
Hoy, dirigir un consultorio rentable exige saber interpretar datos financieros,...
Decenas de miles de odontólogos, técnicos dentales y estudiantes recorrieron los stands comerciales de los principales distribuidores de la industria ...
Las camisetas y otras referencias al Campeonato Mundial de Fútbol fueron uno de los temas de la 82 Expo AMIC Dental. En la imagen, Enrique Edwards, Coordinador de recursos audiovisuales de UNAM, con su equipo. Fotos: Maritza de los Ríos
Decenas de miles de odontólogos, técnicos dentales y estudiantes recorrieron los stands comerciales de los principales distribuidores de la industria dental durante la 82ª edición de Expo AMIC Dental.
El cuarto día de la exposición demostró que la combinación de innovación tecnológica y actualización científica es la fórmula que ha consolidado este evento como uno de los principales encuentros dentales de América Latina, respaldado por una buena dosis de networking internacional.
Desde primeras horas de la mañana, los salones de la exposición mostraron una alta afluencia de asistentes interesados en conocer las nuevas soluciones clínicas y digitales presentadas por compañías nacionales e internacionales. La digitalización, la odontología mínimamente invasiva y la optimización de los flujos de trabajo clínicos siguen marcando las principales tendencias de esta edición de Expo AMIC Dental.
Así de concurridas estuvieron las presentaciones de GC, reconocida por productos como MI Paste con Recaldent.
Nadie se quiere perder el Simposio Internacional en Tokio de los 70 años de GC.
Tres representantes mexicanos de la compañía.
Soluciones digitales
Uno de los espacios más visitados fue el de W&H, donde la compañía realizó demostraciones continuas de su micromotor eléctrico para cirugía oral y mostró el módulo Implantmed Plus, tecnología enfocada en cirugía piezoeléctrica que ha despertado gran interés por su precisión y menor invasividad quirúrgica.
El poder está con ellos y con la línea Power Edition de piezas de mano de W&H.
También destacó la participación de la compañía japonesa GC, que mantuvo una intensa agenda de actividades y demostraciones como parte de las celebraciones internacionales por los 70 años de la compañía. La empresa continúa promoviendo el gran simposio internacional que celebrará en octubre en Tokio, considerado el evento científico más importante de su aniversario.
El stand de Dentsply Sirona fue uno de los polos de atracción de la exposición gracias a su amplio ecosistema digital. Los asistentes pudieron interactuar con soluciones como Primescan, CEREC y diversos sistemas de radiología digital y restauración, que reflejan el avance de los flujos digitales integrados en odontología.
Maritza de los Ríos, representante de Dental Tribune en México, con la camiseta de la selección mexicana.
La presencia de FGM también generó una importante respuesta entre los profesionales interesados en estética dental y blanqueamiento, especialmente por las nuevas alternativas clínicas orientadas a tratamientos conservadores y protocolos de alta eficiencia estética.
Por su parte, Ivoclar mantuvo una constante actividad en torno a sus soluciones restauradoras y sistemas cerámicos, reforzando la importancia de la estética y la precisión en rehabilitación oral contemporánea.
Empresas como Laboratorios Gayz, Uniseal y Toletek también aprovecharon la exposición para presentar novedades orientadas a optimizar procesos clínicos y de laboratorio, así como soluciones enfocadas en productividad y precisión.
La actividad comercial fue igualmente intensa en espacios como Depósito Dental Villa de Cortés y Equipos Dentales Villa de Cortés, donde numerosos odontólogos analizaron nuevas opciones de equipamiento y tecnología para modernizar sus clínicas.
Mientras tanto, el Congreso Nacional e Internacional de Odontología de la Universidad Nacional Autónoma de México continuó ofreciendo actividades académicas centradas en nuevas terapias interdisciplinarias.
Los equipos de Dentsply Sirona ya están listo para jugar sus partidos para la clasificación.
“Today”, lectura obligada en la expo
Uno de los fenómenos editoriales más visibles de la jornada fue nuevamente la distribución masiva de Today Expo AMIC Dental, el periódico oficial de exposiciones de Dental Tribune International, cuya edición tuvo una extraordinaria aceptación entre odontólogos y expositores.
La publicación se convirtió en uno de los materiales más consultados del evento gracias a la variedad y actualidad de sus contenidos editoriales, especialmente aquellos enfocados en las nuevas tecnologías que están transformando la odontología contemporánea.
Entre los artículos que generaron mayor interés destacó el análisis sobre la innovación tecnológica que se presenta en la exposición, donde se exploran los principales avances en digitalización, inteligencia artificial, impresión 3D y automatización clínica.
Otro de los contenidos más comentados fue el perfil dedicado a tres destacados líderes de la industria dental, un artículo que despertó gran interés por mostrar las estrategias, visión empresarial y trayectoria de figuras clave del sector odontológico internacional.
También tuvo una excelente recepción el reportaje con recomendaciones para adquirir tecnología dental, un tema especialmente relevante para odontólogos interesados en invertir de manera eficiente en equipos digitales y sistemas clínicos de última generación.
Los automóviles se rifan entre los compradores en la feria, pero nuestras revistas se regalan.
La felicidad de tener las maletas llenas de productos dentales no tiene precio.
Nuevas tendencias
La Medicina Dental del Sueño fue igualmente protagonista en las páginas de Today, mediante un artículo que explora esta nueva vía terapéutica para odontólogos y el creciente papel de la odontología en el diagnóstico y manejo de trastornos respiratorios del sueño.
En el ámbito estético, llamó especialmente la atención el artículo sobre la nueva estrategia de blanqueamiento dental aplicada durante tratamientos de ortodoncia, un enfoque que combina estética y funcionalidad para responder a las demandas de pacientes cada vez más orientados hacia resultados inmediatos.
Otro de los temas con gran impacto fue la presentación del nuevo ecosistema digital desarrollado por Alliedstar y SprintRay para realizar restauraciones chairside mediante la integración de escáner intraoral e impresión 3D. El artículo despertó gran interés entre clínicos interesados en acelerar tratamientos y optimizar flujos digitales.
La entrada a la exposición cuenta ahora con murales y esculturas alusivas a la odontología.
La representante de Dental Tribune, Maritza de los Ríos, en el stand de la editorial desde donde sale toda la magia de nuestras publicaciones.
Asimismo, los asistentes mostraron gran interés por los artículos orientados a la gestión clínica y relación con pacientes, especialmente el dedicado a las estrategias para manejar pacientes conflictivos en la consulta dental, así como el reportaje sobre los programas de posgrado ofrecidos por la Universidad La Salle del Bajío.
Finalmente, uno de los textos más comentados de la edición fue el relacionado con la necesidad de valorar adecuadamente el trabajo del odontólogo y fortalecer el reconocimiento profesional dentro de un entorno cada vez más competitivo.
La intensa actividad científica, comercial y editorial en el cuarto día de Expo AMIC Dental 2026 confirmó nuevamente la capacidad del evento para reunir innovación, educación y debate profesional en un mismo escenario.
Ver más artículos sobre 82 edición de Expo AMIC Dental:
La odontología moderna ya no depende únicamente de la excelencia clínica.
Hoy, dirigir un consultorio rentable exige saber interpretar datos financieros,...
El tercer día de la 82ª edición de Expo AMIC Dental confirmó el enorme dinamismo de la industria odontológica en México, con pasillos llenos, intensa ...
To post a reply please login or register