La simetría, el equilibrio, la armonía, el color y la forma son los dos objetivos y los retos principales de cualquier tratamiento estético odontológico, como ilustra el autor mediante un caso clínico.
La valoración del aspecto estético es una realidad en el mundo contemporáneo. La búsqueda de una apariencia saludable y juvenil se detecta fácilmente por la cantidad de recursos y tratamientos disponibles en el mercado. Dentro de los parámetros estéticos que se proponen actualmente, el rostro ocupa un lugar de gran importancia, y en este contexto la sonrisa se considera esencial.
El blanqueamiento dental se ha convertido en uno de los primeros pasos de la estética y representa un paso importante antes de la realización de las restauraciones. Entre los materiales de restauración disponibles en el mercado, las dos categorías anteriormente mencionadas ocupan un lugar de gran importancia, cada una con sus propias características, que siempre deben ser respetadas y estudiadas por el odontólogo, según las necesidades o prioridades de cada situación clínica. Por lo tanto, corresponde al profesional discernir correctamente cuándo realmente se indica el uso de una cerámica o una resina compuesta, con el objetivo de aprovechar al máximo las características de estos dos materiales diferentes, optimizando de esta forma el resultado del tratamiento.
Caso clínico
Este caso muestra el tratamiento cosmético de un paciente joven que tenía una inadecuada estética con alteraciones de forma, color y resinas filtradas y deterioradas (piezas 11 y 21). El tratamiento llevado a cabo consistió en el blanqueamiento dental, seguido de la sustitución de dos restauraciones con resina compuesta.
1a-c. Diferentes ángulos de la apariencia inicial del paciente. La sonrisa es antiestética debido al color amarillento de los dientes y la presencia de elementos de las restauraciones en 11:21, que presentan desgaste y deficiencias cromáticas (apariencia monocromática y pérdida de brillo).
2a-c. Cubetas y el gel ambulatório (Whiteness Perfect 16%, FGM) para el tratamiento y vista frontal de la paciente después de 25 días de tratamiento.
3a-b. Después de eliminar las restauraciones defectuosas y realizar la selección de color.
4. Aspecto frontal después de la toma del ensayo restaurador para confirmar el color de la resina compuesta seleccionada..
5. Aislamiento absoluto del campo operatorio.
6. Prueba de guía/matriz de silicona.
7a-d. Grabado ácido (Condac, 37%, FGM) y aplicación de adhesivo (Ambar, FGM).
8a-c. Aplicación de la primera capa de resina (Opallis E-Bleach H, FGM) con la matriz de silicona para restaurar la capa del esmalte palatino, el posicionamiento correcto del conjunto de la matriz de silicona/vista palatina y su polimerización.
10a-b. Aspecto vestibular durante la inserción de un incremento del compuesto (053 Opallis, FGM) para reproducir el efecto halo opaco en el borde incisal y vestibular después de la reconstrucción del efecto de halo opaco.
11. Aspecto frontal después de la inserción de un incremento (0A3) para reconstruir lóbulo cuerpo/dentina..
12. Vista luego de la inserción y curar el incremento de resina (T-Blue) para reproducir el efecto opalescente en el incisal y regiones proximales respectivamente..
13. Apariencia frontal después de la inserción y el curado de la primera capa de material compuesto (E Bleach-M) para reconstruir el esmalte labial inicial.
14. Vista fotográfica a mayor aumento tomadas durante la aplicación de un blanco, imitando manchas de colorante para reproducir las hipoplasias en los dientes adyacentes. Tenga en cuenta el uso de un pincel y espátulas para este procedimiento.
15. Tras la aplicación y el curado de tinte blanco, la última capa de esmalte se aplica sobre toda la superficie bucal de la restauración. Nota: en esta etapa, se utiliza un pincel especial para proporcionar un ajuste inicial de las restauraciones.
16a-b. Imágenes secuenciales durante el alisado inicial de restauraciones por discos
secuenciales de pulido (Diamond Pro, FGM).
17a-d. Se hacen pequeñas marcas con grafito para establecer posicionar los surcos de desarrollo/crestas verticales. Secuencia de imágenes hechas durante la realización de los surcos y los lóbulos de desarrollo por medio de una fresa extra fina de diamante (KG Sorensen) y gomas abrasivas.
18a-b. Vista secuencial del acabado proximal puliendo con tiras (Epitex).
19a-b. Aspecto frontal al momento de la realización de pequeños detalles. Aspecto incisal: recontorneado de los bordes de las restauraciones. Se observan detalles de reproducción de las periquematías de texturizado (textura horizontal) de las restauraciones con una fresa de diamante extrafina (KG Sorensen 2135FF)..
20. Imagen de los discos de fieltro (Diamond Flex, FGM), que se utilizan junto con una secuencia de pastas de pulido para obtener brillo. Pulido final de la restauración.
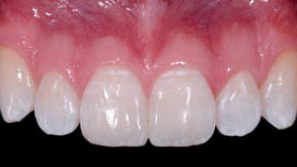
21a-c. Fotografías aumentadas: de frente después de completar el tratamiento de restauración. Diferentes ángulos y aumentos en el aspecto final del tratamiento. Nótese el resultado natural y estético obtenido.
* Especialista, Maestro y Doctor en Operatoria Dental de la Universidad Federal de Santa Catarina (Brasil), Profesor del centro Avanzado de Educación Continua Zenith.
____________________________________________________________________________
Cursos de actualización hay muchos, pero son muy pocos los que abordan temas verdaderamente relevantes para el crecimiento del consultorio dental, como el ...
Un técnico dental italiano reconocido a nivel internacional por su profundo conocimiento del comportamiento de los materiales de restauración ofreció ...
El doctor Sergio Kohen fue uno de los prominentes odontólogos argentinos seleccionados para impartir una conferencia en el Congreso Dental Mundial de la ...
La odontología moderna ya no depende únicamente de la excelencia clínica.
Hoy, dirigir un consultorio rentable exige saber interpretar datos financieros,...
Decenas de miles de odontólogos, técnicos dentales y estudiantes recorrieron los stands comerciales de los principales distribuidores de la industria ...
To post a reply please login or register