La preparación de coronas completas de dientes profundamente destruidos con frecuencia se traduce en una pérdida de gran parte de las paredes dentales y tiene como resultado un debilitamiento adicional de la sustancia dental, así como una pérdida de retención. De ahí que para maximizar la conservación de la sustancia dental natural, sea aconsejable un método orientado a los defectos mediante endocoronas.
CASO CLINICO
En el siguiente caso clínico se utilizó la cerámica de feldespato VITABLOCS Mark II (VITA Zahnfabrik) para confeccionar una de estas coronas de manera rápida y económica. El primer material CAD/CAM del mundo ha acreditado su eficacia en millones de casos desde su primer uso clínico hace más de 30 años. Para restauraciones mediante endocoronas de cerámica de feldespato, los estudios clínicos revelan un índice de supervivencia del 99,6% tras un periodo de observación de siete años. A continuación, la Dra. Oxana Naidyonova explica su procedimiento.
Fig. 1. Situación inicial: el diente 34 estaba fuertemente dañado. La encía se había adentrado en la cavidad.
Fig. 2. Estado tras la revisión, la colocación de la espiga y la reconstrucción.
Fig. 3. Durante la preparación se procuró no dejar ningún borde afilado en la cavidad.
Fig. 4. Únicamente se acortaron por oclusal las paredes remanentes de la cavidad.
Fig. 5. Tras el escaneo intraoral se estableció el límite de la preparación.
Fig. 6. Mediante un escaneo vestibular se trasladó la intercuspidación habitual.
Fig. 7. Durante el diseño de la restauración se respetaron los grosores de capa mínimos.
Fig. 8. Vista oclusal de la endocorona virtual en el software CAD.
Fig. 9. Vista lingual del diseño.
Fig. 10. El bloque VITABLOCS Mark II fijado en la unidad de fresado.
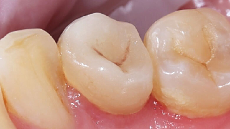
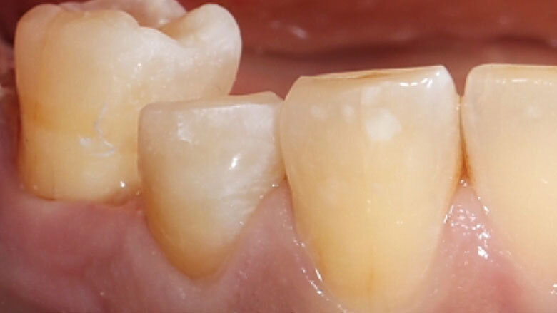
Fig. 11. La restauración de cerámica de feldespato durante la prueba clínica en boca.
Fig. 12. Desde vestibular no se observaban transiciones entre la restauración y el diente.
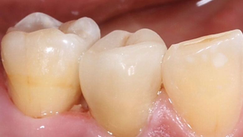
Fig. 13. Vista oclusal de la endocorona colocada de forma totalmente adhesiva.
Fig. 14. Resultado: integración altamente estética de la restauración durante la revisión al cabo de seis meses.
Dr. Oxana Naidyonova, Karagandá (Kazajistán)
Figura 8. Control a los 2 años, donde se observa cicatrización completa.
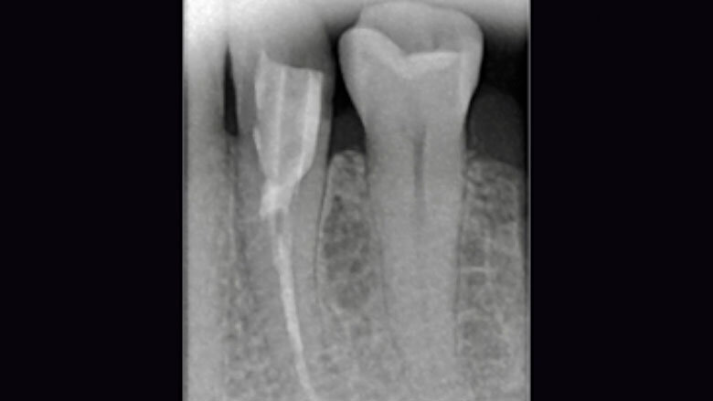
Situación inicial y tratamiento previo
Una paciente de 48 años acudió a la clínica porque el diente 34 se le había fracturado y otro odontólogo le había sido previamente que no se podía salvar. Durante el examen clínico se observó un defecto distooral muy extendido. La encía se había adentrado en la cavidad. La radiografía reveló una obturación insuficiente del canal radicular. Dado que una preparación de corona completa habría provocado una pérdida de las zonas de pared vestibulares y mesiales del diente, se decidió realizar una endocorona con VITABLOCS Mark II. Tras la gingivectomía, se reconstruyó el diente 34 con composite mediante láser y se llevó a cabo un tratamiento de revisión.
Preparación y escaneo intraoral
Antes de la preparación se determinó el color dental 2M2 mediante la VITA Toothguide 3D-MASTER (VITA Zahnfabrik) y se seleccionó la pieza en bruto correspondiente. Se colocó adhesivamente una espiga de fibra de vidrio para incrementar la retención de la posterior reconstrucción de composite. Durante la preparación, únicamente se acortaron las paredes y se incorporó un chamfer en la zona del defecto. Se redondearon sistemáticamente los bordes afilados en la cavidad. Antes del escaneo intraoral fue posible tratar con composite de forma mínimamente invasiva la caries proximal en el diente 34 gracias al buen acceso por mesial.
CAM y acabado
Acto seguido se diseñó digitalmente la endocorona y se confeccionó a partir de VITABLOCS Mark II mediante la unidad de fresado MyCrown Mill (FONA Dental, Bratislava, Eslovaquia). Tras la separación del conector se llevó a cabo la prueba en boca de la restauración y a continuación se realizó su acabado cuidadoso con un diamante fino. Posteriormente se procedió a la caracterización de las fosas con VITA AKZENT Plus EFFECT STAINS (ES06, rojo óxido) y al glaseado final. Dado que una unión adhesiva fiable a la sustancia dental es un factor clave para el éxito clínico a largo plazo, se colocó un dique de goma para garantizar la ausencia de contaminación y la sequedad absoluta.
Acondicionamiento y colocación
Se grabó la cerámica de feldespato con ácido fluorhídrico para crear un patrón de grabado microrretentivo y a continuación se silanizó. Se acondicionó la cavidad con ácido fosfórico y un adhesivo. Para la fijación adhesiva se calentó el composite Micerium (Micerium, Avegno, Italia) en el color UD2, a fin de fluidificarlo para la inserción. Tras la fotopolimerización y la eliminación de los restos de composite, la restauración se integró perfectamente en la sustancia dental natural gracias a sus excelentes propiedades fotoópticas.
Buenos dias Dra., voy a referir detalles para saber opinion suya y de otros colegas. Entre la fig, 1 y 3 hubo un desgaste de la cara distal del 35,(por alguna razón?), Los contactos interproximales del 33 y 34 parece acumular placa bacteriana.En la fig. 8 no es de la misma paciente
Buenos días Dra.
Entiendo que no era necesario un alargamiento coronario con osteotomía…de haberlo sido habría indicado igualmente la técnica?. Y cuanto tiempo habría esperado para la restauración, tres meses?. Gracias
La preparación de coronas completas de dientes profundamente destruidos con frecuencia se traduce en una pérdida de gran parte de las paredes dentales y ...
La planificación de un caso clínico en el laboratorio dental implica una colaboración multifacética entre el clínico y el técnico dental. Este proceso...
La confección de microcarillas no invasivas mediante sistemas CAD/CAM planteaba hasta ahora un difícil reto debido a la fragilidad de los materiales ...
Una nueva línea de implantes de alta calidad 100% cerámicos se presentó durante el Simposio Glidewell, que tuvo lugar del 8 al 9 de noviembre en Orlando,...
El Dr. Milko Villarroel, uno de los mayores expertos en restauraciones estéticas, especialmente en carillas de porcelana, fue uno de los dictantes en...
El doctor Howard Glazer, ex Presidente de la Academy of General Dentistry de Estados Unidos y reconocido conferencista a nivel internacional, comienza su ...
La odontología moderna ya no depende únicamente de la excelencia clínica.
Hoy, dirigir un consultorio rentable exige saber interpretar datos financieros,...
Decenas de miles de odontólogos, técnicos dentales y estudiantes recorrieron los stands comerciales de los principales distribuidores de la industria ...
Las camisetas y otras referencias al Campeonato Mundial de Fútbol fueron uno de los temas de la 82 Expo AMIC Dental. En la imagen, Enrique Edwards, Coordinador de recursos audiovisuales de UNAM, con su equipo. Fotos: Maritza de los Ríos
Decenas de miles de odontólogos, técnicos dentales y estudiantes recorrieron los stands comerciales de los principales distribuidores de la industria dental durante la 82ª edición de Expo AMIC Dental.
El cuarto día de la exposición demostró que la combinación de innovación tecnológica y actualización científica es la fórmula que ha consolidado este evento como uno de los principales encuentros dentales de América Latina, respaldado por una buena dosis de networking internacional.
Desde primeras horas de la mañana, los salones de la exposición mostraron una alta afluencia de asistentes interesados en conocer las nuevas soluciones clínicas y digitales presentadas por compañías nacionales e internacionales. La digitalización, la odontología mínimamente invasiva y la optimización de los flujos de trabajo clínicos siguen marcando las principales tendencias de esta edición de Expo AMIC Dental.
Así de concurridas estuvieron las presentaciones de GC, reconocida por productos como MI Paste con Recaldent.
Nadie se quiere perder el Simposio Internacional en Tokio de los 70 años de GC.
Tres representantes mexicanos de la compañía.
Soluciones digitales
Uno de los espacios más visitados fue el de W&H, donde la compañía realizó demostraciones continuas de su micromotor eléctrico para cirugía oral y mostró el módulo Implantmed Plus, tecnología enfocada en cirugía piezoeléctrica que ha despertado gran interés por su precisión y menor invasividad quirúrgica.
El poder está con ellos y con la línea Power Edition de piezas de mano de W&H.
También destacó la participación de la compañía japonesa GC, que mantuvo una intensa agenda de actividades y demostraciones como parte de las celebraciones internacionales por los 70 años de la compañía. La empresa continúa promoviendo el gran simposio internacional que celebrará en octubre en Tokio, considerado el evento científico más importante de su aniversario.
El stand de Dentsply Sirona fue uno de los polos de atracción de la exposición gracias a su amplio ecosistema digital. Los asistentes pudieron interactuar con soluciones como Primescan, CEREC y diversos sistemas de radiología digital y restauración, que reflejan el avance de los flujos digitales integrados en odontología.
Maritza de los Ríos, representante de Dental Tribune en México, con la camiseta de la selección mexicana.
La presencia de FGM también generó una importante respuesta entre los profesionales interesados en estética dental y blanqueamiento, especialmente por las nuevas alternativas clínicas orientadas a tratamientos conservadores y protocolos de alta eficiencia estética.
Por su parte, Ivoclar mantuvo una constante actividad en torno a sus soluciones restauradoras y sistemas cerámicos, reforzando la importancia de la estética y la precisión en rehabilitación oral contemporánea.
Empresas como Laboratorios Gayz, Uniseal y Toletek también aprovecharon la exposición para presentar novedades orientadas a optimizar procesos clínicos y de laboratorio, así como soluciones enfocadas en productividad y precisión.
La actividad comercial fue igualmente intensa en espacios como Depósito Dental Villa de Cortés y Equipos Dentales Villa de Cortés, donde numerosos odontólogos analizaron nuevas opciones de equipamiento y tecnología para modernizar sus clínicas.
Mientras tanto, el Congreso Nacional e Internacional de Odontología de la Universidad Nacional Autónoma de México continuó ofreciendo actividades académicas centradas en nuevas terapias interdisciplinarias.
Los equipos de Dentsply Sirona ya están listo para jugar sus partidos para la clasificación.
“Today”, lectura obligada en la expo
Uno de los fenómenos editoriales más visibles de la jornada fue nuevamente la distribución masiva de Today Expo AMIC Dental, el periódico oficial de exposiciones de Dental Tribune International, cuya edición tuvo una extraordinaria aceptación entre odontólogos y expositores.
La publicación se convirtió en uno de los materiales más consultados del evento gracias a la variedad y actualidad de sus contenidos editoriales, especialmente aquellos enfocados en las nuevas tecnologías que están transformando la odontología contemporánea.
Entre los artículos que generaron mayor interés destacó el análisis sobre la innovación tecnológica que se presenta en la exposición, donde se exploran los principales avances en digitalización, inteligencia artificial, impresión 3D y automatización clínica.
Otro de los contenidos más comentados fue el perfil dedicado a tres destacados líderes de la industria dental, un artículo que despertó gran interés por mostrar las estrategias, visión empresarial y trayectoria de figuras clave del sector odontológico internacional.
También tuvo una excelente recepción el reportaje con recomendaciones para adquirir tecnología dental, un tema especialmente relevante para odontólogos interesados en invertir de manera eficiente en equipos digitales y sistemas clínicos de última generación.
Los automóviles se rifan entre los compradores en la feria, pero nuestras revistas se regalan.
La felicidad de tener las maletas llenas de productos dentales no tiene precio.
Nuevas tendencias
La Medicina Dental del Sueño fue igualmente protagonista en las páginas de Today, mediante un artículo que explora esta nueva vía terapéutica para odontólogos y el creciente papel de la odontología en el diagnóstico y manejo de trastornos respiratorios del sueño.
En el ámbito estético, llamó especialmente la atención el artículo sobre la nueva estrategia de blanqueamiento dental aplicada durante tratamientos de ortodoncia, un enfoque que combina estética y funcionalidad para responder a las demandas de pacientes cada vez más orientados hacia resultados inmediatos.
Otro de los temas con gran impacto fue la presentación del nuevo ecosistema digital desarrollado por Alliedstar y SprintRay para realizar restauraciones chairside mediante la integración de escáner intraoral e impresión 3D. El artículo despertó gran interés entre clínicos interesados en acelerar tratamientos y optimizar flujos digitales.
La entrada a la exposición cuenta ahora con murales y esculturas alusivas a la odontología.
La representante de Dental Tribune, Maritza de los Ríos, en el stand de la editorial desde donde sale toda la magia de nuestras publicaciones.
Asimismo, los asistentes mostraron gran interés por los artículos orientados a la gestión clínica y relación con pacientes, especialmente el dedicado a las estrategias para manejar pacientes conflictivos en la consulta dental, así como el reportaje sobre los programas de posgrado ofrecidos por la Universidad La Salle del Bajío.
Finalmente, uno de los textos más comentados de la edición fue el relacionado con la necesidad de valorar adecuadamente el trabajo del odontólogo y fortalecer el reconocimiento profesional dentro de un entorno cada vez más competitivo.
La intensa actividad científica, comercial y editorial en el cuarto día de Expo AMIC Dental 2026 confirmó nuevamente la capacidad del evento para reunir innovación, educación y debate profesional en un mismo escenario.
Ver más artículos sobre 82 edición de Expo AMIC Dental:
La odontología moderna ya no depende únicamente de la excelencia clínica.
Hoy, dirigir un consultorio rentable exige saber interpretar datos financieros,...
El tercer día de la 82ª edición de Expo AMIC Dental confirmó el enorme dinamismo de la industria odontológica en México, con pasillos llenos, intensa ...
Y la Endodoncia pobre? Sobre eso montaron la corona? …mmm no sé
Buenos dias Dra., voy a referir detalles para saber opinion suya y de otros colegas. Entre la fig, 1 y 3 hubo un desgaste de la cara distal del 35,(por alguna razón?), Los contactos interproximales del 33 y 34 parece acumular placa bacteriana.En la fig. 8 no es de la misma paciente
Buenos días Dra.
Entiendo que no era necesario un alargamiento coronario con osteotomía…de haberlo sido habría indicado igualmente la técnica?. Y cuanto tiempo habría esperado para la restauración, tres meses?. Gracias