Search Dental Tribune

Cambio de paradigma en la remoción de caries

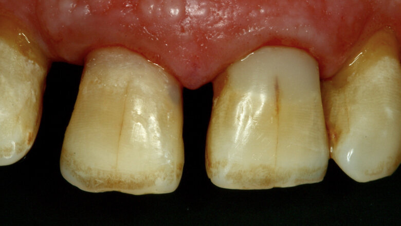
Figura 1. Lesiones de caries cavitadas en dentina activa (ICDAS 5) en dientes 11 y 21 en paciente másculino (Caso 1).
Eraldo Pesaressi, Fernando Varea

Eraldo Pesaressi, Fernando Varea

sáb. 10 agosto 2019

guardar

Los investigadores Eraldo Pesaressi (Perú) y Fernando Varea (Argentina) proponen una actualización de las técnicas de remoción atraumática de caries, utilizando un compuesto eficaz que distingue entre la estructura dentinaria que se debe remover y la que se debe preservar.

  CASO CLINICO  

La Odontología moderna, siguiendo las tendencias actuales en Medicina, comienza a virar hacia la mínima intervención, la preservación de los tejidos y la promoción de la remineralización de esmalte y dentina. Los abordajes clínicos actuales buscan preservar la estructura dentaria, garantizando extender la función de los dientes tratados a lo largo de la vida.

En nuestra profesión, desde mediados de la década de 1980, el prestigioso investigador Jo E. Frencken, creador y promotor del ART (Atraumatic Restorative Treatment), promulga la eliminación de tejido dentinario infectado (descompuesto) mediante el uso exclusivo de instrumentos manuales1. El ART preserva la dentina vital, que se remineraliza y regenera, permitiendo preparar cavidades de forma mínimamente invasiva, salvaguardando así la salud pulpar. Este abordaje genera menos ansiedad para el paciente, ya que se evade el ruido y vibración de la pieza de mano y, en muchos casos, no es necesario aplicar anestesia local.

Tras la publicación de investigaciones que comprobaron su efectividad, tanto la Organización Mundial de la Salud (OMS) como la Federación Dental Internacional (FDI) reconocieron dicha técnica y la recomiendan especialmente en programas de Salud Pública por ser segura, confiable y de alto impacto2.

La remoción atraumática de caries permite preparar cavidades de forma mínimamente invasiva, un abordaje que genera menos ansiedad para el paciente, ya que evita el ruido de la pieza de mano y, en muchos casos, no es necesario aplicar anestesia local".

En paralelo, empiezan a aparecer en el mercado productos químicos destinados a remover la dentina infectada, facilitando el trabajo de diferenciación para el clínico entre la estructura dentinaria que se debe remover y la que se debe preservar. Desde la década de 1970 se utiliza el cloro, conocido por su alta proteólisis, pero a la vez inespecífico y demandante de un extenso tiempo de trabajo. Asimismo, genera irritación y toxicidad a los tejidos pulpares. Posteriormente surgen productos como Caridex® y Carisolv®, derivados del hipoclorito de sodio con agregados, el segundo con selectividad comprobada y aplicabilidad segura.

Las enzimas, sustancias biológicas presentes en los seres vivos, también se suman a los productos que promueven la remoción selectiva de tejido infectado3. Su primera aparición en la Odontología, viene de la mano de un conocido endodoncista de Philadelphia, Dr. A.W. Harlam, quien demostró la capacidad del compuesto para remover tejido necrótico en conductos radiculares a principios de siglo pasado.

En 2003, tras años de investigación aparece el Papacarie, constituido por papaína, cloramina, azul de toluidina y agregados. Años después aparece Brix3000®, que a diferencia de las soluciones a base de papaína tradicionales, posee papaína bio-encapsulada, logrando altas concentraciones que se traducen en una remoción más eficaz, menor irritabilidad y durabilidad sin pérdida de eficacia.Esta tecnología EBE (emulsión buffer encapsulate) otorga reciprocidad enzima-paciente, lo que se traduce en que la enzima no se ve afectada por cambios externos (saliva, pH, temperatura) ni produce irritabilidad o inflamación como consecuencia del contacto con los tejidos vivos.Esta selectividad se atribuye a la presencia de anti-tripsinas en los tejidos vitales que frenan la digestión enzimática preservando las fibras colágenas.La papaína es así un agente intermediario para que hace más fácil la distinción de ambas dentinas a través de un ablandamiento, desinfección y desinflamación de la dentina afectada remanente. De esta manera, logramos una remoción selectiva con instrumentos manuales (curetas o excavadores de dentina), logrando cavidades mínimamente invasivas, en muchos casos auto-retentivas, que promueven alojar el material restaurador a elección del clínico.

A continuación, se presentan dos casos de abordajes de mínima intervención mediante una técnica de remoción químico-mecánica, utilizando como materiales restauradores resina compuesta e ionómero de vidrio, respectivamente:

Caso 1 (ver fotos en la parte inferior de la página)

Paciente masculino de 65 años de edad se presenta al consultorio con lesiones de caries cavitadas en dentina activa (ICDAS 5) en dientes 11 y 21 (Figura 1). La lesión de la pieza 21 es extensa, mediante examen radiográfico y pruebas de vitalidad se diagnostica ausencia de compromiso pulpar. Como la lesión se extiende infra-gingivalmente, se opta por colocar dos hilos retractores 000 y 00 (Ultrapack, Ultradent, EE UU) y aislamiento absoluto con hilo dental tipo teflón y un clamp para anteriores (Figuras 2 y 3). Se inicia el procedimiento de remoción químico-mecánica utilizando un agente enzimático (Brix3000, Brix Medical Science, Argentina) durante 2 minutos (Figura 4). Utilizando curetas (Maillefer, EE UU) se elimina la dentina infectada (Figura 5) y el esmalte sin soporte dentinario (Figura 6) es eliminado con una fresa multilaminada (Figura 7) para mejorar el mimetismo y la adhesión al esmalte. Se complementa la instrumentación mecánica en el límite amelo-dentinario (Figuras 8 y 9).

La cavidad es lavada con un micro-cepillo con piedra pómez y clorhexidina 0,12% (Figura 10) para colocar silicato de calcio modificado por resina (Theracal LC, Bisco, EE UU) por la proximidad a la pulpa (Figuras 11 y 12). Se condiciona el esmalte mediante la técnica de grabado selectivo (Figura 13) y se utiliza un adhesivo self-etch de dos pasos (Figuras 14 y 15), se adiciona la resina compuesta (Forma, Ultradent, EE UU) y finalmente se realiza el protocolo de pulido (Figura 16). La restauración finalizada se presenta en la Figura 17 y al remover el aislamiento en la Figura 18.

Caso 2 (ver fotos en la parte inferior de la página)

Paciente femenino de 17 años se presenta en la consulta con sintomatología dolorosa tras estímulos térmicos. Clínicamente no se evidencia lesión, por lo que se indica una radiografía bite-wing y se observan lesiones de caries en piezas 24 y 25 (Figura 19) interproximales. Se coloca anestesia tópica y se procede con mínima apertura del esmalte con una fresa redonda (Figura 20). A través de esa cavidad se coloca el agente enzimático (Brix3000, Brix Medical Science, Argentina) para la remoción químico-mecánica (Figuras 21, 22 y 23). Tras limpiar la cavidad distal de la 24 a través de la cavidad de la 25 (Figura 24) se coloca una cuña y matriz (Figuras 25 y 26) para restaurar (Figura 27) con ionómero de vidrio encapsulado (EQUIA, GC Corporation, Japón).

En un segundo tiempo, se prepara una matriz preformada y un anillo interproximal (Figura 28) para posteriormente inyectar el ionómero en la pieza 25 (Figuras 29 y 30). La restauración final se aprecia en la Figura 31. Debido a que se trata de una paciente joven, se optó por utilizar ionómero de vidrio encapsulado para promover la remineralización de la dentina afectada y preservar la estructura dental sana.

Conclusión

El Tratamiento Restaurador Atraumático complementado por un agente enzimático es una alternativa clínica para el manejo contemporáneo de caries dental, independientemente del material restaurador a utilizar. Además, un abordaje de mínima intervención permite preservar la estructura dentaria y la salud pulpar, prolongando la vida de los dientes tratados.

____________________________________________________________________

  1. El Dr. Eraldo Pesaressi ejerce en Lima, Perú y es egresado de la Facultad de Odontología de la Universidad Nacional Federico Villarreal. Diplomado en Gestión en Odontología por la Universidad Peruana de Ciencias Aplicadas. Diplomado en Estadística Aplicada a la Investigación por la Universidad San Martín de Porres. Maestría en Docencia e Investigación de la Universidad de San Martín de Porres . Doctorado en Salud Pública en Radboud University (Nijmegen, Holanda). Docente de la Facultad de Odontología de la Universidad San Martín de Porres y Miembro de la International Association for Dental Research.
  2. El Dr. Fernando Varea ejerce en Rosario, Argentina y es egresado de la Universidad Nacional de Rosario.Especialista en Endodoncia clínica y cariología, Hospital Español.Coordinador de Campañas Salud Bucal. Investigador y dictante en Simoes Institute, Cepecraf. (São Paulo, Brasil./Rosario, AR).Autor de estudios sobre cariología y remoción química de caries. Autor del libro “Odontología y Discapacidad”.Coordinador de campañas de prevención de cáncer oral, conferencista internacional y consultor científico.

Referencias

  1. Frencken J, Pilot T, van Amerongen E, Phantumvanit, P, Songpaisan, Y. Manual for the Atraumatic Restorative Treatment Approach to Control Dental Caries, 3rd ed.; WHO Collaborating Centre for Oral Health Services Research: Groningen, The Netherlands, 1997.
  2. Pesaressi E, Villena RS. Tratamiento Restaurador Atraumático (TRA): una alternativa preventiva/restauradora en salud pública. Actualidad Odontol. Salud 2010:7(2);30-33.
  3. Bsereni ML, Varea F. Eficacia del método de remoción de caries con papaína en adultos. Revista Asociación Paulista de Cirujanos Dentistas 2018;9(2).

La impresión 3D transforma la práctica odontológica

Arturo Arciniega destaca que la impresión 3D permite mejorar la precisión de las restauraciones en rehabilitación oral. Fotos: Cortesía del autor

jue. 23 abril 2026

guardar

La odontología vive una transformación profunda impulsada por la digitalización. Tecnologías como el escaneo intraoral, el diseño CAD y la impresión 3D están redefiniendo la forma en que los clínicos planifican, ejecutan y comunican sus tratamientos.

El Dr. Arturo Arciniega Valverde, especialista en rehabilitación oral, implantología y estética, analiza en este artículo cómo estos avances permiten ofrecer una odontología más precisa, eficiente y personalizada.

La incorporación de flujos de trabajo digitales completos ya no es una tendencia, sino una realidad en expansión. En la práctica clínica diaria, estas herramientas permiten optimizar procesos que antes dependían de múltiples pasos analógicos, reduciendo tiempos y mejorando la predictibilidad de los resultados.

“La odontología digital no es una tendencia, es una evolución natural de la profesión”, afirma el Dr. Arciniega.

 

Con más de quince años de experiencia, el Dr. Arciniega ha integrado la tecnología digital en todas las áreas de su consulta. Desde el escaneo intraoral hasta la fabricación mediante impresión 3D, su enfoque se basa en la creación de flujos de trabajo digitales que mejoran la eficiencia y la personalización de los tratamientos.

 

La impresión 3D en la consulta

Uno de los pilares de esta transformación es la impresión 3D, que permite fabricar dispositivos como guías quirúrgicas, restauraciones provisionales o guardas oclusales de forma rápida y precisa en la propia consulta o clínica. Esta tecnología no solo optimiza el trabajo clínico, sino que también mejora la comunicación con el paciente al facilitar la visualización de los resultados.

En el Dental Summit CoLife 2026, donde será uno de los conferenciantes, el tema de la plática del Dr. Arciniega abordará la integración de la impresión 3D en el flujo clínico diario, particularmente en rehabilitación estética y restauradora.

 

El experto presentará casos clínicos de aplicación diaria, sobre fabricación de guías quirúrgicas, guardas oclusales, restauraciones provisionales y planificación estética.

 

“La presentación se centra en cómo la tecnología digital —escaneo intraoral, diseño CAD y fabricación mediante impresión 3D— permite optimizar procesos clínicos, reducir tiempos de tratamiento y mejorar la precisión en múltiples procedimientos”, explica el experto mexicano.

“También discutiré casos clínicos donde esta tecnología se aplica en la práctica diaria, como guías quirúrgicas para implantes, guardas oclusales, restauraciones provisionales y planificación estética”, agrega.

La tecnología digital facilita tratamientos más eficientes, personalizados y predecibles para los pacientes.

 

La precisión es otro de los grandes beneficios de la odontología digital. La captura de datos tridimensionales con alta exactitud mejora la adaptación de restauraciones y dispositivos, reduciendo errores y aumentando la calidad final de los tratamientos.

Además, la digitalización permite una mayor eficiencia en los tiempos de tratamiento. Muchos procedimientos pueden realizarse en menos citas, lo que beneficia tanto al clínico como al paciente.

La inteligencia artificial comienza a desempeñar un papel relevante. Herramientas basadas en IA ayudan a analizar imágenes diagnósticas, automatizar el diseño de restauraciones y optimizar la planificación implantológica.

 

Mejorar resultados

Aunque estas tecnologías no sustituyen al profesional, sí potencian su criterio clínico, permitiendo tomar decisiones más informadas y mejorar los resultados terapéuticos.

El crecimiento de la odontología digital es especialmente notable en países como México, donde cada vez más clínicas adoptan estas tecnologías para responder a la demanda de tratamientos más estéticos y personalizados.

A pesar de los avances, el Dr. Arciniega insiste en que la clave está en la integración progresiva de estas herramientas, comenzando por aplicaciones prácticas que permitan a los profesionales adaptarse de forma gradual al flujo de trabajo de la odontología digital.

“Mi interés es compartir cómo estas herramientas pueden integrarse de manera práctica en la consulta diaria, no solo en grandes centros o laboratorios, sino también en clínicas privadas”, concluyó el Dr. Arciniega.

___________________________________________________________________________________________________________________________________

El Dental Summit CoLife 2026 se celebrará en Barranquilla, Colombia del 21 al 23 de mayo en el Centro de Convenciones Comfamiliar.

___________________________________________________________________________________________________________________________________

 

 

ARTICULOS RELACIONADOS

_______________________________________________________________________________________________________________________________

DENTAL SUMMIT COLIFE 2026 

La impresión 3D transforma la práctica odontológica

Arturo Arciniega

_______________________________________________________________________________________________________________________________

DENTAL SUMMIT COLIFE 2026 

El camino hacia la pasividad perfecta en implantología

Marinelly Mendes

_______________________________________________________________________________________________________________________________

DENTAL SUMMIT COLIFE 2026

“La odontología digital potencia nuestro criterio clínico”

Alvaro Reuter

_______________________________________________________________________________________________________________________________

DENTAL SUMMIT COLIFE 2026 

Promover la salud oral para reducir la necesidad de restauraciones

Eraldo Pesaressi

_______________________________________________________________________________________________________________________________

DENTAL SUMMIT COLIFE 2026

La odontología digital es el nuevo standard clínico

Ahmad Al-Hassiny 

_______________________________________________________________________________________________________________________________

 

 

ARTICULOS RECOMENDADOS

_______________________________________________________________________________________________________________________________

EXPODENTAL MADRID

La robótica, nueva frontera en cirugía implantológica

Javier de Pisón

VER MAS

_______________________________________________________________________________________________________________________________

EXPODENTAL MADRID

El imparable ímpetu de Expodental Madrid

Javier de Pisón 

VER MAS

_______________________________________________________________________________________________________________________________

EXPODENTAL MADRID

Factores esenciales para adquirir un escáner intraoral 

Enrique Jadad 

VER MAS

_______________________________________________________________________________________________________________________________

REPORTAJE, PARTE 1

"Todo sistema que no tenga medición no es fotogrametría"

Javier de Pisón

VER MAS

_______________________________________________________________________________________________________________________________

REHABILITACION & IMPLANTOLOGIA ORAL

Relevancia de la fotogrametría en casos All-on-X

Enrique Jadad 

VER MAS

_______________________________________________________________________________________________________________________________

REVISION

Los dientes, guardianes silenciosos de nuestra salud

D. Suárez Quintanilla

VER MAS

_______________________________________________________________________________________________________________________________

GESTION DE LA CLINICA

Cómo fijar precios en Odontología 

Juan Carlos Mejía

VER MAS

_______________________________________________________________________________________________________________________________

FORMACION - EDICION ESPECIAL

Nuevas tecnologías en las clínicas universitarias

Varios autores

VER MAS

_______________________________________________________________________________________________________________________________

CIRUGIA ORAL

Todo lo que necesita saber sobre Cirugía Piezoeléctrica

José Rosas Díaz

VER MAS

_______________________________________________________________________________________________________________________________

ESTETICA

La belleza dental a través de la historia 

Javier de Pisón

VER MAS

_______________________________________________________________________________________________________________________________

 

 

 

 

 

 

 

 

 

Temas:
To post a reply please login or register
advertisement
advertisement