Search Dental Tribune

Extracción atraumática mediante cirugía piezoeléctrica

sáb. 23 noviembre 2019

guardar

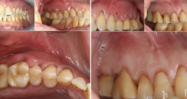
El autor describe las ventajas de la cirugía piezoeléctrica para la extracción atraumática de dientes. Esta tecnología ultrasónica permite realizar también cirugía pre-implantaria de forma segura y precisa, dando como resultado un mejor post-operatorio y una significativa reducción del dolor para el paciente.

La cirugía piezoeléctrica es una técnica desarrollada para el corte de hueso de manera precisa y atraumática basada en microvibraciones ultrasónicas a través del uso de cristales de cuarzo, los cuales vibran al ser estimulados por una corriente eléctrica, generando movimientos oscilantes que son transmitidos al inserto. El inserto tiene una actividad selectiva sobre los tejidos duros calcificados como pueden ser el hueso y el diente, mientras que el tejido blando absorbe la vibración y no produce ningún tipo de daño sobre los tejidos, ventaja importante cuando realizamos osteotomías en áreas afectadas por vasos o nervios o en técnicas de mejora de seno maxilar, donde se respeta la membrana de Schneider, del mismo modo cuando estamos trabajando cerca de la encía o mucosa alveolar.

Lea el caso completo en Artículos Clínicos

 

Odontología al instante (2)

Esta nueva línea de escáneres incluyen herramientas esenciales para capturar, refinar y preparar la imagen para la impresión digital. Foto: Alliedstar

jue. 30 octubre 2025

guardar

Este segundo artículo sobre cómo funciona un nuevo ecosistema de odontología digital de Chairside Dentistry describe la integración de tres componentes que permiten crear e imprimir restauraciones dentales en minutos utilizando inteligencia artificial.

Segunda parte

La odontología restauradora ha estado marcada por la búsqueda constante de precisión, estética y reducción de tiempos clínicos. En ese camino, la integración de escáneres intraorales e impresoras 3D en un mismo ecosistema digital representa un punto de inflexión que redefine los estándares de lo posible.

Esta alianza tecnológica no es solo la suma de dos tecnologías, sino la consolidación de un flujo digital que lleva la restauración desde la boca del paciente hasta su colocación final en la clínica en cuestión de minutos.

 

El Dr. Enrique Jadad, KOL global de Alliedstar y experto en odontología digital, prueba en Miami la impresora 3D Dental Pro 2. Foto: EJ

 

La clave del proceso está en comprender cómo implementarlo de forma correcta en nuestra práctica diaria. Este proceso se inicia con el escaneo intraoral con los dispositivos de AlliedStar, escáneres que capturan con fidelidad la anatomía dental y los registros funcionales; esos datos se transmiten a la plataforma en la nube AS Connect, desde donde la información se transmite directamente al ecosistema de impresión 3D de SprintRay.

La aceptación de las resinas impresas ha sido determinante para que esta integración tenga un impacto real en la práctica diaria. Materiales como la Ceramic Crown Resin para la impresora Pro 2 (SprintRay) o las cápsulas Crown HT para la impresora Midas (SprintRay) han demostrado no solo una estética competitiva frente a la cerámica convencional, sino también propiedades mecánicas validadas para restauraciones definitivas. Además, la variedad de colores de los cartuchos permite igualar tonalidades naturales con precisión, ofreciendo resultados estéticos inmediatos que satisfacen a los pacientes más exigentes.

A continuación describimos en detalle a los actores tres de este ecosistema: se trata de los escáneres AlliedStar, con su precisión y ergonomía; el software AS Connect; como puente integrador que conecta clínica y laboratorio; las impresoras SprintRay (Midas y Pro 2), que materializan las restauraciones, y las resinas cerámicas de última generación, que permiten alcanzar la estética y la resistencia necesarias para restauraciones definitivas. Solo al comprender cómo cada componente aporta valor en el flujo digital se puede dimensionar la trascendencia de este avance tecnológico.

 

Registro de oclusión obtenido con el software ScanPro del escáner Sensa, que se puede enviar al laboratorio o a la nube de Sprintray, para el diseño e impresión de la restauración. Foto: EJ

 

Escáneres intraorales

  • AS200E (Alliedstar 2024): una experiencia inalámbrica y ergonómica.

El escáner AS200E es liviano (~245–258 g; 248×48×37 mm), emite luz estructurada y cuenta con sensores de alta resolución; registra arcadas completas en ~20 s con precisión de casi 20 μm. Incorpora control remoto por movimiento (rotación/traslación del modelo sin tocar el PC), marcado de márgenes, mapas oclusales por color, impresiones digitales de implantes de alta fidelidad y registros dinámicos mandibulares (protrusiva y lateralidades). La guía visual en tiempo real resalta zonas incompletas o de baja calidad y evita la repetición de trabajos; las puntas son esterilizables siguiendo los protocolos del fabricante.

 

El escáner AS200E no solo capta dientes: registra función, movimiento y posibilidades de restauración.

 

  • SENSA (Alliedstar 2025): precisión e inteligencia artificial aplicada.

El escáner Sensa es la evolución del ecosistema Alliedstar. Con ≈230 g, autonomía >3 horas y carga rápida que en 3 minutos habilita un escaneo de caso completo, combina ligereza, robustez y flujo continuo. Este novedoso escáner mantiene la base óptica de emisión de luz estructurada, pero incorpora sensores de nueva generación y algoritmos que mejoran su rendimiento en superficies reflectivas y zonas edéntulas, reforzando la exactitud en arcadas completas e implantología.

 

La plataforma en la nube AS Connect es el puente entre el escáner y el sistema de impresión 3D. Foto: Alliedstar

 

La IA en tiempo real ofrece una guía dinámica marca con color áreas deficientes y propone correcciones instantáneas; además, detecta márgenes automáticamente, produce informes de salud oral e integra fotografía intraoral y simulaciones ortodóncicas para educación del paciente. El rango inalámbrico alcanza hasta 10 m, útil en operatorios amplios; todo con exportación STL/PLY/OBJ para un ecosistema realmente abierto. Estas herramientas de verificación en el sillón son vitales para un flujo de trabajo eficiente, ya que nos permiten confirmar la calidad y la adecuación de la preparación y el escaneo antes de que el paciente se vaya, evitando la necesidad de una segunda cita debido a una impresión defectuosa.

 

Con Sensa, el escaneo es un diálogo entre la boca, el operador y la inteligencia artificial.

 

  • AS Connect (Alliedstar 2025): el cerebro clínico del ecosistema.

La plataforma en la nube AS Connect recibe los escaneos y permite gestionarlos en tiempo real. Recordemos que un escáner intraoral, por muy avanzado que sea, es simplemente un dispositivo de captura de datos. Su valor clínico depende del ecosistema que procesa, gestiona y utiliza esos datos. AS Connect transfiere la data al sistema de impresión 3D.

La plataforma AS Connect es el centro de mando del flujo de trabajo de Alliedstar, y ha sido diseñada para unificar la sincronización de datos y un creciente conjunto de aplicaciones clínicas impulsadas por IA en un entorno digital integrado. Un aspecto clave es la conexión directa con SprintRay. Al seleccionar el ícono correspondiente, el sistema consolida los archivos escaneados con todo sus metadatos y los envía automáticamente a la plataforma de impresión 3D, eliminando pasos intermedios que antes generaban errores y pérdida de tiempo.

 

El programa de IA de las impresoras SprintRay procesando el diseño de una corona. Foto: SprintRay

 

La impresora 3D Dental Pro 2 es el “caballo de batalla” para laboratorios y clínicas de volumen medio-alto. Su motor de luz de 385 nm, combinado con un panel óptico de alta precisión, permite imprimir con resolución XY de 35 μm y mantener la exactitud incluso en plataformas completas. Puede producir modelos diagnósticos, férulas, guías quirúrgicas y prótesis dentales en lotes, con compatibilidad tanto para resinas propias como para materiales validados de terceros.

Se integra con el ecosistema SprintRay, que incluye sistemas automáticos de lavado y curado (ProWash S y ProCure 2), garantizando biocompatibilidad y resistencia mecánica de las piezas.

 

La impresora 3D Dental Pro 2 convierte la odontología digital en producción de alto rendimiento con calidad de laboratorio y tiempos clínicos.

 

  • MIDAS (SprintRay): restauraciones inmediatas en cápsulas

La impresora MIDAS está diseñada para realizar restauraciones chairside, y su gran innovación está en que utiliza cápsulas de resina pre-dosificadas con código QR. Cada cápsula contiene la resina, el tanque y la base, lo que simplifica el proceso: basta con escanear el QR, colocar la cápsula en la impresora y esperar menos de 10 minutos para obtener coronas, inlays/onlays o carillas listas para post-procesado. Manejo limpio y mantenimiento casi nulo (limpiar el vidrio y listo). Utiliza el sistema de impresión DPS (Digital Press Stereolithography) y luz de 385 nm, permitiendo profundidad de curado controlada, mejor acabado y ajuste; imprime restauraciones en menos de ~9 minutos (corona unitaria, 2 inlays/onlays o 3 carillas por cápsula) y se acopla a AI Studio, un flujo de diseño en la nube con IA para generar propuestas de diseño en minutos.

 

El color ya no es un obstáculo: la cápsula selecciona la tonalidad y el sistema la convierte en restauración definitiva en minutos.

 

La IA incorporada propone la morfología ideal de la restauración. El odontólogo revisa y ajusta digitalmente antes de imprimir. Las cápsulas de resina están disponibles en diferentes colores clínicos (A1, A2, A3, A3.5, D2 y Bleach), lo que permite seleccionar el tono adecuado para cada paciente sin necesidad de procesos adicionales.

 

Alejandra Molina, de SprintRay, y Ariel Brenes, de Alliedstar, observan el progreso de la impresora MIDAS, que utiliza un sistema de impresión 3D por estereolitografía que permite realizar restauraciones chairside. Foto: SprintRay

 

Paso a paso: una corona en una cita

A continuación se resume el flujo digital de una corona posterior en una sola cita.

 

  1. Consulta y pre-escaneo: escaneo inicial con AS200E o SENSA para documentar la condición y explicar el plan. Los reportes y simulaciones con IA mejoran la aceptación.

 

  1. Preparación y escaneo definitivo: se escanea el diente preparado, antagonista y mordida. La guía de calidad y la detección de margen por IA evitan vacíos y permiten correcciones en tiempo real.

 

  1. Diseño asistido por IA con AS Connect: gestión de datos sistema de transferencia directa a las impresoras de SprintRay para espesores y contactos (5-10 min).

 

  1. Impresión y post-proceso: con la impresora MIDAS, cápsula del tono indicado (A1-A3.5, D2, Bleach) e impresión en menos de 9 minutos; con la impresora 3D Dental Pro 2, lotes múltiples cuando conviene. Lavado y curado según protocolo.

 

  1. Prueba y cementación: ajuste marginal/oclusal consistente y cementación en la misma sesión.

 

Archivo STL enviado desde la plataforma AS Connect al software de diseño e impresión de la impresora MIDAS para generar la restauración de resina, que se aprecia en la parte superior de la imagen. Foto: SprintRay

 

Nótese el código QR en la cápsula de la resina, el cual se escanea antes de colocar la cápsula en la impresora para obtener coronas, inlays/onlays o carillas en menos de 10 minutos. Foto: SprintRay

 

Conclusión

El nivel de integración de este nuevo ecosistema convierte la innovación de la odontología digital en rutina clínica, y en la satisfacción y fidelización de nuestros pacientes. El futuro de la odontología no espera: se escanea, se diseña y se imprime en la misma cita.

PUBLICIDAD

 

Equipos mencionados

  • AS200E (Alliedstar): escáner inalámbrico y ligero, con registros funcionales, marcado de márgenes y guía visual para evitar la repetición de trabajos.
  • SENSA ((Alliedstar 2025): escáner con autonomía ampliada y algoritmos mejorados para superficies reflectivas y zonas edéntulas, con IA en tiempo real.
  • AS Connect + ScanPro (Alliedstar): plataforma de gestión de casos, herramientas de análisis y puente directo con SprintRay; software de los escáneres de Alliedstar.
  • 3D Dental Pro 2 (SprintRay): impresora 3D para clínica y laboratorio de alta precisión, con capacidad de producción en lotes.
  • MIDAS (SprintRay): impresora 3D de cápsulas con resina + tanque + base y QR, que permite impresiones en minutos para realizar verdaderas restauraciones chairside.

 

Autor

El doctor Enrique Jadad Bechara, Key Opinion Leader Global de Alliedstar, es Especialista en Rehabilitación Oral, investigador y conferencista internacional con práctica privada en Barranquilla, Colombia.

 

Ver la Primera parte de este artículo.

Bibliografía

  1. Digital Dentistry Market Size, Share & Trends Report, 2032, accessed September 18, 2025, https://www.fortunebusinessinsights.com/digital-dentistry-market-110462
  2. Dental 3D Printing Market Size | Industry Report, 2030 - Grand View Research, accessed September 18, 2025, https://www.grandviewresearch.com/industry-analysis/dental-3d-printing-market
  3. AI in Dental Market Progress Supported by North America Lead - Towards Healthcare, accessed September 18, 2025, https://www.towardshealthcare.com/insights/ai-in-dental-market-sizing
  4. Digital Vs Analog Dentistry - Quantifying the Real-World Benefits, accessed September 18, 2025, https://instituteofdigitaldentistry.com/cad-cam/digital-vs-analog-dentistry-quantifying-the-real-world-benefits/
  5. Ender A, Mehl A. Accuracy of complete-arch dental impressions: a new method of measuring trueness and precision. J Prosthet Dent. 2013;109(2):121-128.
  6. Revilla-León M, Att W, Özcan M. Impact of digital technology on the dental workflow: accuracy, efficiency, and patient experience. J Prosthodont. 2020;29(8):623-635.
  7. Ahlholm P, Sipilä K, Vallittu P, Jakonen M, Kotiranta U. Digital versus conventional impressions in fixed prosthodontics: a review. J Prosthodont. 2018;27(1):35-41.
  8. Revilla-León M, Sadeghpour M, Özcan M. A review of the applications of 3D printingtechnologies in dentistry. J Prosthodont. 2020;29(8):579-597.
  9. Canullo L, Colombo M, Menini M, Sorge P, Pesce P. Trueness of intraoral scanners considering operator experience and three different implant sce- narios: a preliminary report. Int J Prosthodont. 2021;34:250e253.
  10. Revilla-León M, Methani MM, Zandinejad A, Özcan M. The applications of 3D printing in prosthodontics. J Prosthodont Res. 2019;63(2):97-103.
  11. Arjumand B, Khurshid Z, Zafar MS. Artificial intelligence in restorative dentistry: a comprehensive review. J Formos Med Assoc. 2024;123(10):1801-1817.
  12. Revilla-León M, et al. Digital workflow in restorative dentistry: from data acquisition to treatment execution. J Prosthet Dent. 2021;126(4):512-520.
  13. Methani MM, Revilla-León M, Zandinejad A. The potential of addi- tive manufacturing technologies and their processing parameters for the fabrication of all-ceramic crowns:A review. J Esthet Restor Dent 2020;32:182–192.
  14. Frăţilă AM, Gălbinașu BM, Bîrțoiu R, Bîrțoiu A. Enhancing intraoral scanning accuracy: from the scanning process to the digital workflow. J Clin Med. 2025;14(10):3562. doi:10.3390/jcm14103562
  15. Eggmann F, Movasaghi Z, Zitzmann NU, Rohr N. Recent advances in intraoral scanners. J Dent Res. 2024;103(6):671-684. doi:10.1177/00220345241229620
  16. Gehrke P, Sader R, Kämmerer PW. Factors influencing the accuracy of intraoral scanning in implant dentistry: a systematic review. Clin Oral Implants Res. 2024;35(7):750-764. doi:10.1111/clr.14293
  17. Balestra D, Nold J, Pospiech P. Three-dimensional printed materials for permanent crowns in indirect restorations: a systematic review. J Clin Med. 2024;13(2):315. doi:10.3390/jcm13020315
  18. Alammar A, Al-Kahtani FA, Alhazzazi TY, Alghamdi M, Almutairi B. The accuracy of 3D-printed fixed dental restorations: a systematic review. Materials (Basel). 2024;17(24):8117. doi:10.3390/ma17248117
  19. Button H, Cameron P, Koo C, Banerjee A. Scanning distance and angulation effects on area captured and accuracy of intraoral scanners. J Prosthet Dent. 2024;132(4):365-372. doi:10.1016/j.prosdent.2023.10.002

 

ARTICULOS RECOMENDADOS

_______________________________________________________________________________________________________________________________

ENTREVISTA

"La IA no reemplazará la creatividad detrás de cada sonrisa"

August Bruguera cree que siempre habrá un técnico y un odontólogo detrás de cada restauración, "interpretando, decidiendo, sintiendo".

Enrique Jadad 

VER MAS

_______________________________________________________________________________________________________________________________

GESTION DE LA CLINICA

Marketing del Deseo

El deseo por la estética dental representa el 80% de los ingresos de nuestras clínicas, por lo que tenemos que saber cómo funciona el deseo en estos pacientes.

David Suárez Quintanilla y Pedro Suárez Suquía

VER MAS

_______________________________________________________________________________________________________________________________

GESTION DE LA CLINICA

Cómo fijar precios en Odontología 

Cuando el paciente entiende el valor, el precio deja de ser un problema: quien compite por precio pierde, quien construye valor gana.

Juan Carlos Mejía Ossa 

VER MAS

_______________________________________________________________________________________________________________________________

ESPECIAL FORMACION 

Estrategias para triunfar

Serie de artículos sobre la gestión de clínicas dentales universitarias a raíz de la irrupción de las nuevas tecnologías digitales.

Varios autores

VER MAS

_______________________________________________________________________________________________________________________________

ODONTOLOGIA DIGITAL

Una obra pionera en habla hispana

El "Manual de Inteligencia Artificial en Odontología" es una propuesta creativa y pionera en el mundo de habla hispana.

Javier de Pisón

VER MAS

_______________________________________________________________________________________________________________________________

ODONTOLOGIA DIGITAL

La nueva era de la Odontología en el Summit Digital

Hablamos con organizadores, dictantes y participantes en este evento que permite probar los equipos más avanzados con el asesoramiento de expertos.

Enrique Jadad

VER MAS

_______________________________________________________________________________________________________________________________

ESTETICA

Buscando la belleza en
los dientes de la Historia

Un libro investiga las intervenciones realizadas en los dientes desde los egipcios y los mayas hasta nuestros días.

Javier de Pisón

VER MAS

_______________________________________________________________________________________________________________________________

CLINICA

La gran estafa de la Odontología Holística

Las nuevas sectas aprovechan los ingresos de tratamientos de alineadores dentales después de realizar cursos de fin de semana.

David Suárez Quintanilla

VER MAS

_______________________________________________________________________________________________________________________________

CIRUGIA ORAL

Todo lo que necesita saber sobre Cirugía Piezoeléctrica

Serie de artículos del libro de José Rosas que explica las aplicaciones de la cirugía piezoeléctrica, tecnología que permite cortar hueso sin afectar tejidos blandos adyacentes.

José Rosas Díaz

VER MAS

_______________________________________________________________________________________________________________________________

 

Temas:

One thought on “Extracción atraumática mediante cirugía piezoeléctrica

  1. William Cordova says:

    Excelente, donde y como puedo conseguir la piezaelectrica, gracias

To post a reply please login or register
advertisement
advertisement