El fundador y director de la empresa Zirkonzahn, dedicada a la fabricación y desarrollo de sistemas CAD/CAM, materiales y técnicas de trabajo, explica la filosofía de esta compañía cuyo principal distintivo es la pasión por mejorar sus productos para realizar prótesis de zirconia de alta calidad.
EL VALLE DEL SABER
He construido Zirkonzahn sobre los cimientos del orden, la dedicación, la confianza y la responsabilidad, tal y como mis padres me enseñaron. En la empresa desarrollamos nuevas y visionarias tecnologías para el mercado dental. Buscamos soluciones no convencionales y viables con objetividad. Juntos forjamos ideas y trabajamos con ahínco para materializarlas, porque amamos lo que hacemos.
De mi patria nace mi vocación, me inspira y me da la fuerza. Es el origen de mi pensamiento y es a donde siempre quiero volver después de cada uno de mis viajes, me permite reponer las energías y hacer acopio de nuevas fuerzas.
En mi tierra se conjuga el amor por la tradición, el orgullo por el trabajo bien hecho, y ello da como consecuencia el progreso que, enlazados, constituyen un todo. La tradición me ayuda a creer en mis convicciones, el avance es mi motivación y mi meta.
Sin zirconia no habría Zirkonzahn
Profundamente convencido de las propiedades de este material, decidí obtener lo mejor de él para nosotros los protésicos dentales y para los pacientes. Tomó mucho más tiempo de lo que yo pensaba inicialmente: investigación y estudio para saber escoger materias primas de alta calidad, pensar en costosos procesos de producción y depuración, desarrollar conceptos de coloración, instrumentos de elaboración, estrategias de fresado manuales y posteriormente digitales, hornos de sinterización, técnicas de trabajo... incansablemente buscando nuevas y mejores soluciones.
“El puente Prettau® se utiliza en pacientes de todo el mundo desde hace más de 10 años. El presente y el futuro nos dirigen al diseño monolítico”.
¡Nunca nos dimos por vencidos! Todo fue estudiado hasta el último detalle y luego ensamblado para crear un sistema de trabajo como si se tratara de un gran rompecabezas. Logramos obtener un producto singular, nuestra zirconia Prettau®, cuyo nombre pertenece a un pueblito del profundo valle de Sudtirol, mi tierra natal.
El puente Prettau® se utiliza en pacientes de todo el mundo desde hace más de 10 años. Millones de estructuras fueron fresadas, hábilmente pintadas a mano y luego terminadas para colocarse en cada paciente. El presente y el futuro nos dirigen al diseño monolítico.
Aspecto natural, estabilidad, confort y excelente biocompatibilidad: la zirconia cumple todos los requisitos para restauraciones dentales de alto rendimiento y de elevada durabilidad.
Sin embargo, no todos los tipos de zirconia son iguales, diferenciándose especialmente en términos de translucidez y resistencia. Dependiendo de la restauración requerida, se debe seleccionar el material con la mejor combinación de propiedades. Además de las características estéticas, el nivel de resistencia a la flexión es decisivo para la elaboración de una restauración de una arcada completa desde el punto de vista funcional.
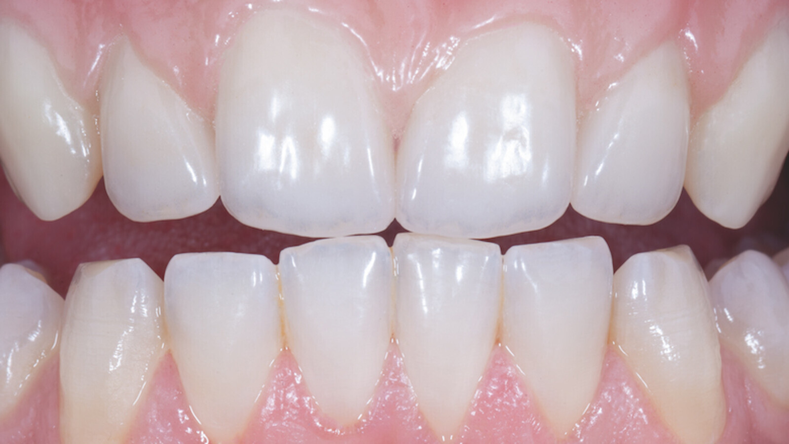
Restauración con zirconia Prettau® 2 Dispersive®: zirconia policromática con colores naturales difuminados, diseño monolítico, estratificado sólo en la zona gingival. Una muestra de la alta calidad de las restauraciones con estas prótesis monolíticas. (Foto: Zirkonzahn)
Para la elaboración del caso cuyas imágenes se muestran, se decidió utilizar la nueva zirconia Prettau® 2 Dispersive®, un material que combina excepcional resistencia a la flexión con una muy alta translucidez. Esta zirconia ha logrado combinar sus excelentes propiedades funcionales y estéticas, que permiten el diseño monolítico de las restauraciones y evita las fracturas de la cerámica (chipping).
La nueva Zirconia Prettau® 2 Dispersive® facilita a su vez también el trabajo. Ya precoloreada con una graduación de color natural, no es necesario pintarla manualmente. Para obtener un color personalizado en cada paciente, es suficiente acentuar la estructura con Colour Liquid Prettau Aquarell Intensiv y caracterizar la estructura con los "stains" o colores de maquillaje. Con la zirconia Prettau® 2 Dispersive® podemos ofrecer a los pacientes reconstrucciones muy resistentes y personalizadas que abarcan desde coronas individuales hasta arcadas completas.
* Enrico Steger es un apasionado técnico dental, inventor, visionario y fundador de la empresa Zirkonzahn. Actualmente, dirige nuevos desarrollos y participa en congresos internacionales especializados. Con la “Zirkonzahn Schule” (Escuela Zirkonzahn) ha desarrollado su propio concepto de formación, que une la enseñanza de la técnica dental con una escuela de vida y cultura para capacitar jóvenes y clientes de todo el mundo.
Orgullo de pertenecer a la empresa Zirkonzahn y un ejemplo a seguir.
Enrico Steger, gracias por crear esta empresa con pasión, visión y sobretodo compromiso con su profesión.
Dos expresidentes de la Asociación Dental Mexicana discrepan en este artículo sobre las medidas preventivas tomadas por el gobierno mexicano, que debería...
Henry Schein, Inc., el mayor proveedor del mundo de soluciones sanitarias para clínicas odontológicas y médicas, ha sido reconocida por Ethisphere, ...
Para comienzos de mayo 2019, se espera el lanzamiento del libro “Historia de la Implantología en Chile, RELATOS” de Sebastián Jiménez P., periodista ...
La profesión dental de México se vistió de gala en abril del 2014 al celebrarse ciento diez años de vida académica odontológica oficialmente, una vez ...
LIDERES DE LA INDUSTRIA / DR. DAN FISCHER
Fundador y CEO de Ultradent Products Inc., empresa que fabrica innovadores productos dentales desde hace 30 ...
“Asumir el desafío de llevar al papel la historia y el legado de quienes fueron los precursores de la implantología oral en Chile fue todo un honor y ...
Formación
Webinars en vivo mié. 29 de abril 2026 17:00 CST (Mexico City)
La ortodoncia está entrando en una nueva era marcada por la integración de tecnologías digitales y herramientas biológicas avanzadas. Entre ellas, el ...
La odontología vive una transformación profunda impulsada por la digitalización. Tecnologías como el escaneo intraoral, el diseño CAD y la impresión ...
como puedo obtener mayor informacion
Orgullo de pertenecer a la empresa Zirkonzahn y un ejemplo a seguir.
Enrico Steger, gracias por crear esta empresa con pasión, visión y sobretodo compromiso con su profesión.