Los Sistemas Trainer® y Myobrace® han obtenido buenos resultados en la corrección de disfunciones y anomalías relacionadas con el crecimiento y desarrollo corporal, craneofacial y dental en miles de pacientes. Este artículo describe la evolución del tratamiento y la aplicación de varios de los principios de la Rehabilitación Miofuncional Postural del Método Di Rocca, incluyendo el desarrollado por el autor en México, que se enseña en su cátedra en la Facultad de Odontología de la Universidad Nacional Autónoma de México (UNAM).
Antecedentes
Desde su introducción en México a principios del presente siglo, los sistemas miofuncionales desarrollados por el Dr. Chris Farrell, Director y Fundador de Myofunctional Research Company (MRC), han probado su efectividad en la clínica y en universidades donde se imparten cursos de Ortodoncia, Odontopediatría y Ortopedia Craneofacial.
El Dr. Farrell comenzó a fabricar estos aparatos en Australia en 1989 y las primeras presentaciones en México de la aparatología del Sistema Trainer® fueron impartidas por los Drs. Farrell (Australia) y John Flutter (Inglaterra) en la Facultad de Estudios Superiores Zaragoza de la UNAM.
En el 2007, la empresa Ah Kim-Pech introdujo estos aparatos miofuncionales removibles prefabricados para su uso en tratamientos en la Facultad de Odontología, cuando ingresó como Empresa Patrocinadora Altruista de la Fundación UNAM.
En ese momento se propuso a los profesores de la asignatura de Ortodoncia y Odontopediatría, adscritos a la División de Estudios Profesionales de UNAM, que utilizaran los aparatos miofuncionales TMJ para problemas disfuncionales de las articulaciones temporo-mandibulares (ATM), así como los Trainer, en los pacientes de las Clínicas Periféricas en el 5º año en las asignaturas de Clínica Integral de Niños y Adultos. La intención de esta iniciativa era obtener resultados a mediano plazo que justificaran su efectividad en los tratamientos interceptivos de hábitos perniciosos en niños y adolescentes, así como en adultos con disfunciones de la ATM.
Algunos profesores cuestionaron al principio el hecho de que esta aparatología no tuviera sustentación científica basada en la evidencia en México. No obstante, quedó a la decisión y criterio personal el usarla o no, realizar investigaciones o abstenerse de usar aparatos de MRC como el Infant Trainer®, T4K®, T4A®, T4CII® o el TMJ®, este último en adultos.
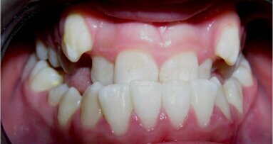
Si bien es cierto que en ese entonces se contaba con pocas publicaciones, la experiencia en el uso de estos aparatos entre 2002 y 2007 de este autor, nos llevó a intentar ayudar a otros profesores a valorar los alcances logrados en los tratamientos interceptivos con estos aparatos (Figuras 1 y 2).
Entre los autores que han publicado artículos y testimonios sobre estos aparatos se puede mencionar al Prof. Dr. John Blatter (Inglaterra); Prof. Dr. Serdar Usumez, DDS, PhD (Turquía); Carolina Scholtz, DDS, MS (EE UU); Joe Kerwin, DDS (EE.UU); Dr. Robert Foster (Australia); Dr. Helio Gomes da Silva (Brasil); Dr. Masashi Fukuoka (Japón); Dr. Germán Ramírez (Colombia); Dr. Paulo Faria (Brasil); Dr. Tancan Uysal (Turquía) Alvarado Arturo (México); Alvarado Gabriel (Mexico).
En 2003 tuve el honor de escribir el primer artículo en español sobre el Sistema Trainer, publicado en la revista mexicana "Dentista y Paciente"1 y en el año 2014 dirigí un número especial sobre Ortodoncia y Ortopedia Craneofacial con el título de "Una Visión Miofuncional Postural"36, basado en los principios de la Rehabilitación Miofuncional Postural usando el Método de Diagnóstico y Tratamiento del gran profesor Argentino-Italiano residente en Suiza y actualmente Vicepresidente de la Asociación de Posturología Suiza la APISWISS Dr. Silverio Di Rocca3,11,14,37.
Por otra parte, desde 1995 hemos mostrado a nivel nacional e internacional nuestra propia visión filosófica, la cual consideramos también como un Método para el Diagnóstico y Tratamiento en Ortodoncia y Ortopedia Craneofacial, conocida como "Técnica Híbrida Amalgamada" Método Alvarado.
Mi primer encuentro con el Profesor Di Rocca tuvo lugar en 1992 en el Centro Médico Nacional Siglo XXI, donde impartió un curso sobre la entonces llamada Técnica Funcional postural (TFP), la cual se convertiría años después en su Método de la Rehabilitación Miofuncional Postural (RMP).
embedImagecenter("Imagecenter_2_1987",1987,"small");
Sus enseñanzas desde 1992 hasta la fecha me impactaron, al darme cuenta de los alcances de su técnica, método y filosofía, que afirman que la boca y todas sus estructuras y funciones se consideran parte del cuerpo y no el "mundo exclusivo del dentista o estomatólogo" (Figura 3).
La RMP Método Di Rocca amplía el panorama de la práctica clínica al incorporar todo el cuerpo humano y sus funciones orgánicas, el cual considera a la boca como el gran perturbador de la postura y de muchas disfunciones relacionadas con lo que se conoce como el Sistema Tónico Postural.
El Profesor Di Rocca mostró las implicaciones de la boca relacionadas con la postura corporal, basadas en el estudio del equilibrio estático y dinámico y la medición de Planos Posturales corporales, captores y receptores, donde los ojos y los pies juegan un papel fundamental en el diagnóstico.
Así, comenzamos a darle mayor importancia al estudio del cuerpo y sus funciones relacionadas con la oclusión, prótesis, ortodoncia, ortopedia craneofacial y odontopediatría, aéreas de mi trabajo diario como profesor universitario y clínico.
Para actualizar y capacitar a los profesores de la FO-UNAM en el uso de los sistemas Trainer se programaron cursos de actualización para profesores de Ortodoncia y Odontopediatría y tuvimos la oportunidad de colaborar en ellos. En 2008, junto con mi hermano, Gabriel Alvarado Rossano, Profesor de Ortodoncia en la Clínica Periférica Azcapotzalco y el Dr. Adolfo Pérez Brignani, impartimos un curso interanual para profesores de Ortodoncia I y II, Odontopediatría y Clínica Integral de Niños y Adolescentes con 8 horas de Educación Continua, llamado "Manejo preventivo e interdisciplinario con el sistema Trainer, Myobrace y TMJ, visto a través de la Técnica Híbrida Amalgamada" de nuestra autoría.
Poco a poco, los profesores de Ortodoncia indicaron a sus alumnos de las Clínicas Periféricas el uso de estos aparatos en pacientes y llevaron un protocolo de investigación de los Sistemas Trainer. De 2008 a la fecha, en los Foros Estudiantiles de Clínicas Periféricas, en los Congresos Internacionales de la Facultad de Odontología de la UNAM y en AMIC Dental, los alumnos de licenciatura del último año de la carrera de Cirujano Dentista han mostrado los resultados obtenidos en niños con el Infant Trainer, el T4K, el T4A, el T4B, i2 Interceptivo, i3 Interceptivo y en adultos con el TMJ para corregir disfunciones de la ATM en la modalidad de carteles, tesis y exposiciones orales (Figura 4).
Nos dimos a la tarea de trabajar en publicaciones en la modalidad de tesina, asesorando a alumnos del Seminario de Titulación en Ortodoncia y ofreciéndoles escoger casos clínicos interesantes con el consentimiento informado de los pacientes, que pudieran dar ejemplo de sus usos y aplicaciones y ser consultadas en la Biblioteca Central o en la Biblioteca de la Facultad de Odontología. Entre ellas se han publicado las que aparecen en la referencia 41.
Durante el Congreso de la International Functional Association (IFUNA) en Barcelona (España) en 2010, coincidí con el Dr. Di Rocca y de este nuevo encuentro nació un proyecto para introducir cursos de capacitación profesional sobre Rehabilitación Miofuncional Postural Método Di Rocca con objeto de medir y comparar los resultados de los sistemas de MRC. El profesor Di Rocca ha mostrado desde 2011 en México su RMP y comparado los efectos del Sistema Trainer en el Sistema Tónico Postural con resultados más que interesantes, usando la Técnica Híbrida Amalgamada Método Alvarado (Figura 5).
NOTA: El Dr. Alvarado imparte conferencias diarias durante la 64 AMIC Dental en el segundo piso del Stand #414 de Ah Kim Pech. Si desea más información, visite www.ahkimpech.com.
Leer Segunda Parte
Bibliografía
Los Sistemas Trainer® y Myobrace® han obtenido buenos resultados en la corrección de disfunciones y anomalías relacionadas con el ...
Los Sistemas Trainer® y Myobrace® han obtenido buenos resultados en la corrección de disfunciones y anomalías relacionadas con el...
Han pasado 27 años desde que el ortodoncista australiano Dr. Chris Farrell fundara en 1989 la empresa Myofunctional Research Company (MRC), cuyos ...
Este artículo describe mediante un caso clínico las características, indicaciones y efectos que tiene el activador abierto ...
El reconocido Sistema Trainer de MRC es actualmente el método de tratamiento miofuncional precoz preferido por dentistas y ortodoncistas de todo el ...
El experto en ortodoncia australiano Derek Mahony, reconocido por sus artículos científicos y por haber dirigido el Programa de Ortodoncia Internacional ...
La odontología contemporánea se encuentra ante un desafío cada vez más evidente: garantizar la salud bucal de la población sin ignorar el impacto ...
El autor propone que el Sistema Damon es un paso importante en la evolución de la Ortodoncia, especialidad que no ha cambiado mucho en los ...
El especialista en ética odontológica, Benjamín Herazo Acuña, explica en esta ocasión que un excelente profesional solamente hace lo que sabe hacer.
El presidente del Colegio de Cirujanos Dentistas de Puerto Rico (CCDPR), Dr. Fernando Joglar, inauguró ayer una nueva edición del Congreso ...
Webinars en vivo
mar. 19 de mayo 2026
9:00 CST (Mexico City)
Webinars en vivo
mar. 19 de mayo 2026
11:00 CST (Mexico City)
Prof. Dr. med. dent. Ivo Krejci
Webinars en vivo
mié. 20 de mayo 2026
5:00 CST (Mexico City)
Dr. Graham Carmichael BDSc (Hons), DClinDent (Pros), FRACDS, Dr. Robert Gottlander DDS
Webinars en vivo
mié. 20 de mayo 2026
7:00 CST (Mexico City)
Webinars en vivo
mié. 20 de mayo 2026
9:00 CST (Mexico City)
Webinars en vivo
mié. 20 de mayo 2026
11:00 CST (Mexico City)
Prof. Dr. med. dent. Tim Joda PhD, MSc, eMBA
Webinars en vivo
jue. 21 de mayo 2026
10:00 CST (Mexico City)
Dr. Leonardo Muniz DDS, MSC
To post a reply please login or register