Los Sistemas Trainer® y Myobrace® han obtenido buenos resultados en la corrección de disfunciones y anomalías relacionadas con el crecimiento y desarrollo corporal, craneofacial y dental en miles de pacientes. Este artículo describe la evolución del tratamiento y la aplicación de varios de los principios de la Rehabilitación Miofuncional Postural del Método Di Rocca, incluyendo el desarrollado por el autor en México, que se enseña en su cátedra en la Facultad de Odontología de la Universidad Nacional Autónoma de México (UNAM).
Caso clínico
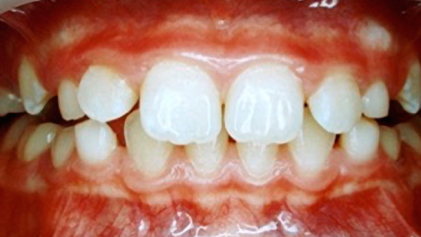
Paciente de 5 años de clase II División 2 con mordida profunda y excesivo crecimiento vertical, retrognatismo, postura inadecuada con alteración del Sistema Tónico Postural (STP); pies, ojos y boca desequilibrados. Utilizando la Metodología RMP seguimos varios pasos: primero DESPROGRAMAR con aparatos removibles ortopédicos funcionales, después RE-EQUILIBRAR y, finalmente, RE-PROGRAMAR (Figuras 15, 16, 17).
El caso se inició en 2001 y en 2004 ya teníamos al paciente en clase II div 1, con una notables mejora de la zona premaxilar y de la sonrisa gingival.
Para lograr lo anterior se colocó un aparato removible miofuncional postural en el plano de la mordida anterior y se vigiló la alineación dental para mantener una buena guía anterior incisiva. Esta placa se puede usar día y noche para obtener mejores resultados en el recambio dental, una buena guía incisiva y movimientos de lateralidad que ayuden a mejorar el desarrollo mandibular.
En 2004 se vuelven a solicitar estudios de ortodoncia y se coloca al paciente un aparato T4B® para reeducación de los músculos, desarrollo óseo dentario y vigilar el cuerpo y el STP. Su arcada es cuadrada en este paso del tratamiento. Se colocan placas activas con tornillo de acción transversal y resortes de distalización para el molar superior tipo Placa de Cetlin, modificada y llamada Placa Activa Tipo Artureitor-Margolis-Cetlin-Schwarz-Hawley para clase II (Figuras 18, 19, 20).
De 2004 a 2005 se utilizó el aparato Trainer T4B® combinado con Placas Híbridas Tipo Artureitor (PATA) de uso continuo que el paciente solamente se quitaba una hora para comer, descansar, usar una hora el Trainer y dormir con él (Figuras 21, 22, 23).
Entre 2005 y 2006 cambiamos la PATA por una placa con resortes de distalamiento en canino, primer premolar y primer molar superior derecho.
Entre 2004 y 2006 logramos avance mandibular, desarrollo dental posterior, guía anterior, expansión de las arcadas y armonía de las mismas. Del lado izquierdo faltaba distalar más el canino y cerrar espacios (Figuras 24, 25, 26).
En 2006 recibimos de Australia el Sistema Myobrace® con DynamiCore™ Cuerda Dinámica (MB) e inserto de nylon para mayor firmeza del aparato, el cual viene con 7 números distintos de medida, lo que sirve para medir la cara mesial del canino derecho a la del izquierdo del lado opuesto utilizando una pequeña regla que indica con flechas la posición y medida exactas (Figuras 27, 28, 29).
Existe también un Myobrace sin cuerda Dinámica (MBN), que es más flexible que el anterior. Ambos buscan alinear los dientes sin uso de ningún bracket, de ahí el nombre de MYO BRACES de acción miofuncional y postural. Este Myobrace se le colocó al paciente en 2007. Fotos .26.27.28.
Existe también un Myobrace sin cuerda Dinámica (MBN), que es más flexible que el anterior. Ambos buscan alinear los dientes sin uso de brackets, de ahí el nombre de MYO BRACES de acción miofuncional y postural. Este Myobrace se le colocó al paciente en 2007 (Figuras 30, 31, 32).
Para 2008, cuando el paciente tenía 12 años, habíamos terminado la fase interceptiva y correctiva y solo restaba vigilar sus hábitos, desarrollo y crecimiento cada 6 meses.
El paciente tuvo tendencia a la recidiva por hábito de chupeteo del labio y aprendimos que cambiar la forma del arco de cuadrada a oval no es siempre conveniente en pacientes mestizos. Los Sistemas Trainers y Myobrace tienen forma oval y fueron diseñados para pacientes anglosajones, por lo que solicitamos al Dr. Farell un aparato con la forma del arco cuadrada y pantallas vestibulares más altas para darle el efecto de Frankel y más largo en el extremo distal de la zona oclusal, llegando hasta el segundo molar, para poder cubrir el límite distal de los segundos molares. De aquí surgieron el TK4 Broad y el Myobrace A1 y este paciente fue el primero en usarlos y ser reportado en una publicación en 2012, en la tesina de Titulación del alumno Jesús Alberto Aguirre quien hoy en día realiza estudios de posgrado en Ortodoncia (Figuras 33, 34, 35).
El resultado final del tratamiento ha sido consolidación de la oclusión y forma cuadrada de ambas arcadas utilizando el Myobrace A 1 (Figuras 36, 37, 38).
embedImagecenter("Imagecenter_2_1987",1987,"small");
Propuestas y Conclusiones
El desarrollo de los sistemas TMJ, Trainer y Myobrace ha posicionado a MRC como líder en la producción y venta mundial de estos aparatos. Sin embargo, los profesionales de la estomatología deben tener un conocimiento profundo del cuerpo humano, su anatomía y fisiología, su crecimiento y desarrollo y las implicaciones del uso de estos aparatos para corregir malos hábitos.
La Rehabilitación Miofuncional Postural del Método Di Rocca muestra claramente que la la Posturología y la Posturometría son aplicables para cualquier tratamiento miofuncional y postural de los pacientes, considerando como factores de diagnóstico la psique, la bioquímica y la postura. Si un paciente tiene una postura desarmónica, esta suele estar causada en la mayoría de la veces por un desequilibrio del Sistema Estomatognático, sin olvidar que también los receptores podales y oculares pueden ser causativos. Pies, boca y ojos componen el Sistema Tónico Postural.
Así, lo que hagamos en las estructuras musculares, esqueletales y dentales de la boca con los aparatos de MRC repercutirá en las cadenas musculares y en la postura corporal y craneofacial.
Por lo anterior, aconsejo firmemente resolver primero los hábitos perniciosos de los pacientes. Si no hacemos algo por desprogramar y re-equilibrar las funciones, difícilmente alcanzaremos el éxito en el tratamiento de las anomalías.
NOTA: El Dr. Alvarado imparte conferencias diarias durante la 64 AMIC Dental en el segundo piso del Stand #414 de Ah Kim Pech. Si desea más información, visite www.ahkimpech.com.
Bibliografía
1. Alvarado Rossano A. El Sistema Trainer. Dentista y Paciente, julio 2003.
2. Alvarado Rossano A. Crónica del Curso Magistral Internacional "Diagnóstico y Tratamiento Ortopédico Miofuncional y Ortodóntico con los Sistemas y Aparatos de Myofunctional Research Company" visto a través de la Técnica Híbrida Amalgamada” Publicada en https://es.scribd.com/doc/53580614/Cronica-del-Curso-Magistral-Internacional-Diagnostico-y-Tratamiento-Ortopedico-Miofuncional-y-Ortodontico-con-los-Sistemas-y-Aparatos-de-Myofunctional
3. Alvarado Rossano A. Ventajas de los Sistemas Miofuncionales; Rehabilitación Miofuncional Postural del Dr. Silverio Di Rocca; Dental Tribune DT Study Club. http://www.dtstudyclubspanish.com/Ventajas-de-los-Sistemas-Miofuncionales-956.html?message=LoginComplete#.VEmyvvmG_-s
4. Alvarado Rossano A. Fundamentos y Aplicaciones Clínicas de la Técnica Hibrida Amalgamada. Apuntes y Fototeca de Casos Clínicos con los Sistemas y Aparatos de MRC y combinaciones con Artureitors. Material elaborado para para conferencias internacionales en Latinoamérica. Autoedición. México, D.F., 1995-2014.
5 Alvarado Rossano A. Documento guía elaborado para las unidades teóricas y prácticas de laboratorio. Primer Diplomado Interdisciplinario en Ortopedia Craneofacial impartido en la Facultad de Odontología de la UNAM, 1999-2000.
6. Alvarado Rossano A. Diagnóstico y Tratamiento de los Trastornos de la ATM con el Sistema TMJ y la Técnica Híbrida Amalgamada. Dental Tribune DT. STUDY CLUB. http://www.dtstudyclubspanish.com/Diagnostico-y-Tratamiento-de-los-Trastornos-de-la-ATM-con-el-Sistema-TMJ--y-la-a-719.html#.VEm0kfmG_-s
7. Alvarado Rossano A 2do. Seminario Internacional Sistema Trainer de MRC http://www.red-dental.com/O_N57501.HTM.
8. Alvarado Rossano A. Diagnóstico Diferencial Simplificado de la Hipoplásia Maxilar y la Clase III. Visto a través de la Técnica Híbrida Amalgamada. Revista Australasian Dentist México y Latino America, 2008.
9. Alvarado Rossano A. Antecedentes Historicos de la Introducción en México y en la UNAM de los Sistemas y Aparatos de Myofunctional Research Company; Material en Autoedición; Escrito y con Material Audiovisual como evidencia Clínica para Cursos, Conferencias y Diplomados 2002 a 2014.
10. Alvarado Rossano A. Intercepción y Prevención de la Hipoplasia Maxilar con el i-3 interceptivo de MRC; Boletín Número 9 de MRC. Enero 2008 http://www.myoresearch.com/enewsletter/issues/2008january_esp/
11. Alvarado Rossano A. Presentación de la Rehabilitación Miofuncional Postural Método Di Rocca y la Técnica Híbrida Amalgamada. Video Publicado el 22/11/2012 durante la 58 Amic Dental en Ciudad de México. http://youtu.be/b9EuDWzrWAk.
12. Alvarado Rossano A. Consideraciones sobre los Sistemas de MRC. Dental Tribune Hispanic and Latin America. Número 4, 2012 http://www.oemus.com/epaper/dti/4f917854376cc/#/4.
13. Alvarado Rossano Arturo; Intercepción y Prevención de la Hipoplasia Maxilar con el i-3 interceptivo de MRC; Boletín Número 9 de MRC. Enero 2008
http://www.myoresearch.com/enewsletter/issues/2008january_esp/
14. Alvarado Rossano A. Presentación de la Rehabilitación Miofuncional Postural Método Di Rocca y la Técnica Híbrida Amalgamada. Video Publicado el 22/11/2012 durante la 58 Amic Dental en Ciudad de México. http://youtu.be/b9EuDWzrWAk.
15. Alvarado Rossano Arturo; Consideraciones sobre los Sistemas de MRC. Dental tribune Hispanic and Latin America. Número 4-2012 http://www.oemus.com/epaper/dti/4f917854376cc/#/4
16. Asociación Americana de Ortodoncia. Las Evaluaciones de Ortodoncia son recomendadas por la AAO que se realicen a más tardar a los 7 años de edad. https://www.aaoinfo.org/system/files/media/documents/PTWF_7yr%20olds-MLMS-span-hl.pdf
17. Cárdenas Camacho I. Tesina Profesional. Análisis descriptivo y comparativo de los sistemas Nite-guide, MYOBRACE™ e Invisalign. Facultad de Odontología, UNAM, México D.F., 2006.
18. Company Research Myofunctional; Testimonios. http://old.myoresearch.com/cms/index.php?mrc_testimonials
19. De la Fuente J. La odontología estriba en superar la inequidad. Discurso en la inauguración de la 50 Expo Dental Internacional Amic, Centro de Exposiciones de la Ciudad de México; WTC; 29 de octubre; 2008. http://www.colegiodentistas.org/descargas/administrativo/dentaltribune/DTHLA09.pdf
20. Escandón Fernández A. Tesina Profesional. Aplicación Clínica del Sistema Trainer en Ortodoncia y Ortopedia Craneofacial, Facultad de Odontología, UNAM, México D.F., 2004.
21. Flores Fonseca, X. Tesina Profesional. Análisis descriptivo y fundamentos para el tratamiento de la maloclusión clase III con el aparato interceptivo i3 de Myofunctional Research Company. Facultad de Odontología. UNAM. México.D.F. 2008.
22. Farrell C. The Orthodontic Trainer System. Myofunctional influences on Facial and Dental Development in the Growing Child. Video informativo, version en Español Myofunctional Research Co. Sidney, Australia, 2001.
23. Farrell C. The Orthodontic Trainer System. El Trainer TMJ para disfunciones de las articulaciones temporamandibulares. Video en Formato VHS. Versión en Español. Myofunctional Research Co. Sidney, Australia, 2001.
24. Farrell C. The pre-orthodontic Trainer System for corrección of poor facial and dental development in the growing child. Video. Myofunctional Research Co. Sidney, Australia, 2002.
24. Farrell C. Conferencia sobre los sistemas y aparatología de Myofunctional Research Co. Comunicación Personal Auditorio Siglo XXI del IMSS. México DF, Febrero 2003.
26. Farrell C. Breve historia de la evolución de la especialidad. Los beneficios de la Ortodoncia Miofuncional. Dental Tribune Hispanic and Latin America. http://www.oemus.com/epaper/dti/4f917854376cc/#/2.
27. Graber TM, Bedrich N. Aparatología Ortodóntica Removible. Buenos Aires, Argentina, Edit. Médica Panamericana, 1982, pp. 155-167.
28. Ramirez Yañez G. El Tratamiento de las Maloclusiones con el Sistema Trainer. Dental Tribune Hispanic and Latin America; Volumen 6; Número 1; 2009.
29. Ramirez Yañez G, Farrell C. Cómo evitar extracciones en el tratamiento de las maloclusiones con el Sistema Trainer. Dental Tribune Hispanic and Latin America. http://www.oemus.com/epaper/dti/508eafb879211/page28.html
30. Myofunctional Research Co, AhKim Pech. El trainer pre-ortodoncia. Tratamiento para niños en la fase de dentición mixta con una maloclusión incipiente. Manual informativo. México 2002.
31. Myofunctional Research Co., Ah-Kimpech/ Trainer Funcional. Universal T4U, Manual informativo, México 2002.
32. Myofunctional Research Co. Sidney, Ah Kin Pech, El Trainer Pre Ortodoncia, Tratamiento Para Niños En Fase De Dentición Mixta Con Una Mal Oclusión Incipiente. Manual Informativo. 2008.
33. Alvarado Rossano G, Tijerino R. Sistema Dental Trainer, un estudio multidisciplinario No. 4385, 01 de diciembre de 2011. http://www.gaceta.unam.mx/index.php/gum10/article/view/66885
34. Vargas Figueroa C. Tratamiento de las maloclusiones en edad temprana con aparatos miofuncionales, sistema trainer. Congreso Internacional de la Facultad de Odontología UNAM. Mayo 2013. http://www.odonto.unam.mx/pdfs/programaunamamic2013.pdf
35. Pereyra H. ML. Tratamiento de las maloclusiones en edad temprana con aparatos miofuncionales, sistema trainer. Congreso Internacional de la Facultad de Odontología UNAM, Mayo 2013. http://www.odonto.unam.mx/pdfs/programaunamamic2013.pdf
36. Wijey R. Farrell C, Alvarado Rossano A. Treatment for class III malocclusion. Australasian Dentist, October 2008. http://australasiandentist.realviewtechnologies.com/default.aspx?iid=9933&startpage=page0000070.
37. Alvarado Rossano Arturo. Especial de la revista Dentista y Paciente; Ortodoncia y Ortopedia Craneofacial “Una Vision Miofuncional Postural” en línea
http://issuu.com/dentistaypaciente/docs/ortodoncia_2
38. CD. Edith Elizalde Ramírez. Tesina. Diagnóstico y Tratamiento Temprano de Hábitos Perniciosos con Infant Trainer y T4K®; Director: C.D.E.O. Arturo Alvarado Rossano. 2009
39. Caballero Neira Norma. C.D. Tesina. Análisis descriptivo y aplicaciones clínicas del aparato i-2® de MRC. CDirector, C.D.E.O. Director: Arturo Alvarado Rossano. 2010.
40. Aguirre López Jesus Alberto. C.D. Tesina. Rehabilitación Miofuncional Postural del Dr. Di Rocca aplicada a Tratamientos con el Sistema Trainer® del Dr. Farrell. Director: C.D.E.O. Arturo Alvarado Rossano. 2012
41. 2004. Aplicaciones Clínicas del Sistema Trainer en Ortodoncia y Ortopedia Craneofacial. C.D. Angélica Escandón Fernández. Director: C.D.E.O. Arturo Alvarado Rossano. Asesor: Dr. Francisco Javier Marichi Rodríguez. (20)
2006. Análisis descriptivo y comparativo de los Sistemas Nite-guide, Myobrace® e Invisalgin. C.D. Iudicaely Cardenas Camacho. Director: C.D.E.O. Arturo Alvarado Rossano. Asesor: C.D.E.O. Fabiola Trujillo Estéves. (17)
2007. Análisis Descriptivo y Fundamentos para el Tratamiento de la Maloclusión Clase III con el Aparato Interceptívo i3® de Myofunctional Research Company. Autora C.D. Xochtil Flores Fonseca. Director: C.D.E.O. Arturo Alvarado Rossano. (21)
2009. Diagnóstico y Tratamiento Temprano de Hábitos Perniciosos con Infant Trainer y T4K®; CD. Edith Elizalde Ramírez. Director: C.D.E.O. Arturo Alvarado Rossano. (38)
2010. Análisis descriptivo y aplicaciones clínicas del aparato i-2® de MRC. C.D. Norma Caballero Neira. Director, C.D.E.O. Director: Arturo Alvarado Rossano. (39)
2012. Rehabilitación Miofuncional Postural del Dr. Di Rocca aplicada a Tratamientos con el Sistema Trainer® del Dr. Farrell. C.D. Jesús Alberto Aguirre López. Director: C.D.E.O. Arturo Alvarado Rossano. (40)
Los Sistemas Trainer® y Myobrace® han obtenido buenos resultados en la corrección de disfunciones y anomalías relacionadas con el...
Los Sistemas Trainer® y Myobrace® han obtenido buenos resultados en la corrección de disfunciones y anomalías relacionadas ...
Han pasado 27 años desde que el ortodoncista australiano Dr. Chris Farrell fundara en 1989 la empresa Myofunctional Research Company (MRC), cuyos ...
Este artículo describe mediante un caso clínico las características, indicaciones y efectos que tiene el activador abierto ...
El reconocido Sistema Trainer de MRC es actualmente el método de tratamiento miofuncional precoz preferido por dentistas y ortodoncistas de todo el ...
El experto en ortodoncia australiano Derek Mahony, reconocido por sus artículos científicos y por haber dirigido el Programa de Ortodoncia Internacional ...
La odontología contemporánea se encuentra ante un desafío cada vez más evidente: garantizar la salud bucal de la población sin ignorar el impacto ...
El autor propone que el Sistema Damon es un paso importante en la evolución de la Ortodoncia, especialidad que no ha cambiado mucho en los ...
El especialista en ética odontológica, Benjamín Herazo Acuña, explica en esta ocasión que un excelente profesional solamente hace lo que sabe hacer.
El presidente del Colegio de Cirujanos Dentistas de Puerto Rico (CCDPR), Dr. Fernando Joglar, inauguró ayer una nueva edición del Congreso ...
Webinars en vivo
mar. 19 de mayo 2026
9:00 CST (Mexico City)
Webinars en vivo
mar. 19 de mayo 2026
11:00 CST (Mexico City)
Prof. Dr. med. dent. Ivo Krejci
Webinars en vivo
mié. 20 de mayo 2026
5:00 CST (Mexico City)
Dr. Graham Carmichael BDSc (Hons), DClinDent (Pros), FRACDS, Dr. Robert Gottlander DDS
Webinars en vivo
mié. 20 de mayo 2026
7:00 CST (Mexico City)
Webinars en vivo
mié. 20 de mayo 2026
9:00 CST (Mexico City)
Webinars en vivo
mié. 20 de mayo 2026
11:00 CST (Mexico City)
Prof. Dr. med. dent. Tim Joda PhD, MSc, eMBA
Webinars en vivo
jue. 21 de mayo 2026
10:00 CST (Mexico City)
Dr. Leonardo Muniz DDS, MSC
DISCULPE DONDE PUEDO CHECAR EL ARTICULO COMPLETO PARA PODER VISUALIZAR LAS IMAGENES DEL CASO CLINICO?
ME INTERESA VISUALIZARLAS
LE AGRADECERIA ME INDICARA COMO PUEDO REALIZARLO