Search Dental Tribune

Infiltración de diente hipomineralizado reconstruido con resina compuesta

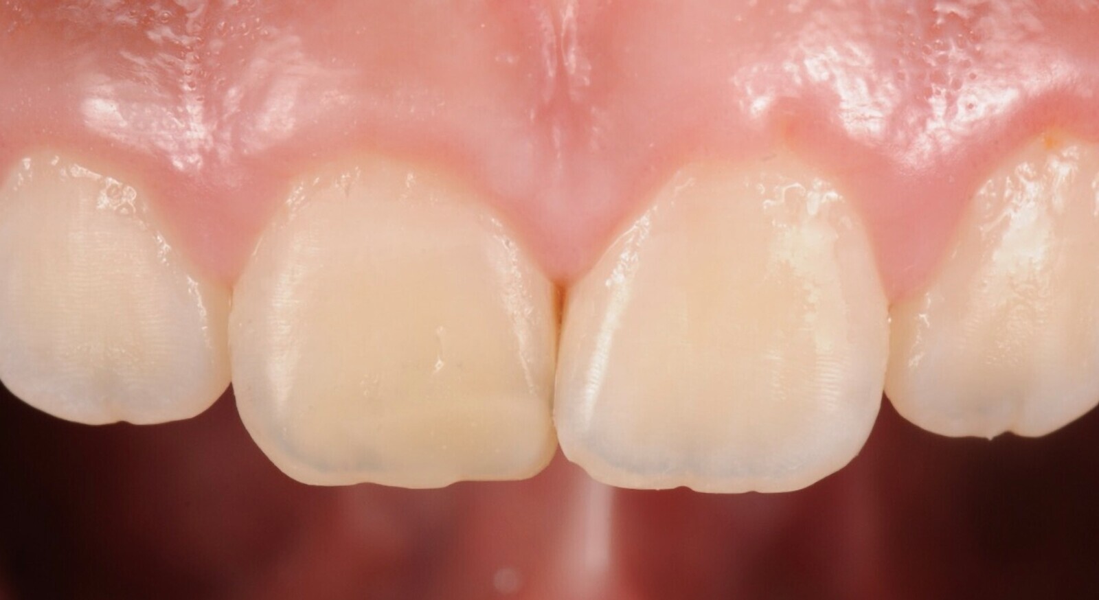
Nótese la opacidad blanco lechosa en el tercio incisal del diente (a), y el aspecto final tras infiltración y reconstrucción con resina compuesta (b). Fotos: Pesaressi-Cabeza
Eraldo Pesaressi y Paul Cabeza

Eraldo Pesaressi y Paul Cabeza

mié. 26 febrero 2025

guardar

Los autores explican el procedimiento realizado para solucionar una mancha blanco-lechosa en el incisivo central superior derecho de un paciente de 11 años de edad, el cual fue tratado exitosamente mediante una infiltración y reconstrucción con resina compuesta.

La hipomineralización del esmalte, que incluye condiciones como la hipomineralización molar-incisiva (HMI), la amelogénesis imperfecta y la fluorosis dental, se caracteriza por defectos en la mineralización del esmalte (segunda fase de la amelogénesis). Esto da como resultado un esmalte más fragil y por ende más propenso al desgaste, fracturas y lesiones de caries. El diagnóstico de la hipomineralización del esmalte generalmente implica un examen clínico, donde los dientes afectados pueden presentar decoloración blanquecina o café, sensibilidad y mayor susceptibilidad a lesiones de caries.

Las opciones de tratamiento para la hipomineralización del esmalte varían según la gravedad y la condición específica. Para la HMI, se utilizan comúnmente tratamientos no invasivos como la aplicación de fosfato de calcio amorfo y fosfopéptido de caseína (CPP-ACP) así como barnices de fluoruro de sodio para promover la remineralización y reducir la hipersensibilidad, aunque su eficacia puede variar (1).

La infiltración de resina es una técnica micro-invasiva que ha demostrado ser prometedora en el manejo de los defectos hipomineralizados, particularmente en pacientes pediátricos, al mejorar la estética, reducir la acumulación de biopelícula, incrementar la microdureza y prevenir una mayor desmineralización (2-3).

La infiltración de resina se desarrolló inicialmente para detener la progresión de lesiones de caries no cavitadas y se ha utilizado para el tratamiento estético de lesiones de caries vestibulares y lesiones fluoróticas, idiopáticas y traumáticas del esmalte. La mejora estética se logra infiltrando el cuerpo poroso de las lesiones con una resina de baja viscosidad (Icon Infiltrant; DMG, Hamburgo, Alemania) después de que se hayan hecho accesibles mediante la eliminación de la capa superficial relativamente hipermineralizada. El infiltrante de resina tiene un índice de refracción similar al del esmalte y, por lo tanto, la lesión infiltrada cambia a una translucidez y color semejante al esmalte sano circundante, enmascarándo de manera efectiva y a la vez mejorando el potencial adhesivo del esmalte hipomineralizado.

Para los casos más graves de hipomineralización, pueden ser necesarios tratamientos restauradores. Estos pueden incluir el uso de cemento de ionómero de vidrio o restauraciones de resina compuesta para restaurar la forma, función y la estética, especialmente en casos en los que se ha producido una ruptura del esmalte (4-5). En algunos casos, en particular con HMI grave, se pueden considerar coronas de acero inoxidable, restauraciones indirectas o incluso extracciones seguidas de un tratamiento de ortodoncia (6).

En general, el tratamiento de la hipomineralización del esmalte requiere un enfoque personalizado en función de la condición específica y la gravedad del defecto del esmalte. La evidencia actual sugiere una combinación de estrategias preventivas, mínimamente invasivas y restauradoras para controlar los síntomas y mejorar el pronóstico a largo plazo de los dientes afectados (7).

Caso clínico

Un paciente masculino de 11 años de edad se presenta en la consulta solicitando alternativas de solución conservadoras para una mancha blanco-lechosa en el incisivo central superior derecho (diente 11). Al evaluar el caso, y realizando una anamesis con la madre, se determina que la lesión se categoriza como un TNI 2 (Treatment Need Index 2: afección estética, sin sensibilidad y con una ligera pérdida estructural).

Se observa una opacidad blanco lechosa localizada en el tercio incisal con una ligera pérdida estructural (Figura 1). Tras realizar aislamiento absoluto con dique de hule, se realiza una limpieza de la superficie con una escobilla de Robinson y pasta profiláctica (Figura 2). Luego de proteger los dientes vecinos con cinta teflón (Figura 3), se aplica ICON etch (Figura 4) que consiste de ácido clorhídrico al 15% durante 120 segundos (Figura 5) y luego de lava profusamente con agua de la jeringa triple.

Figura 1. Se observa una opacidad blanco lechosa localizada en el tercio incisal con una ligera pérdida estructural.

 

Figura 2. Tras realizar aislamiento absoluto con dique de hule, se realiza una limpieza de la superficie con una escobilla de Robinson y pasta profiláctica.

 

Figura 3. Después se protegen los dientes vecinos con cinta teflón.

 

Figura 4. El primer paso de la secuencia ICON etch.

 

Figura 5. Aplicación de ICON etch (ácido clorhídrico al 15%) durante 120 segundos.

 

Una vez secada la superficie, se aplica el ICON dry (Figura 6) a base de etanol, durante 30 segundos (Figura 7) para luego evaporarla con chorro de aire la jeringa triple. El propósito de este segundo paso es deshidratar el esmalte (Figura 8) para permitir que la resina infiltrante (Figura 9) pueda ingresar en los espacios interprismáticos por medio de capilaridad.

Figura 6. Una vez secada la superficie se aplica ICON dry.

 

Figura 7. Aplicación de ICON dry durante 30 segundos para ayudar a evaporar restos de agua.

 

Figura 8. El propósito de este segundo paso del procedimiento es deshidratar el esmalte a través de desecado con aire de la jeringa triple.

 

Figura 9. ICON infiltrant (resina sin relleno a base de TEGMA) ocupa los espacios interprismáticos por medio de capilaridad.

 

Se aplica las resina infiltrante ICON infiltrant y se deja actuar por 180 segundos (Figura 10). Se procede a fotopolimerizar el infiltrante por 40 segundos (Figura 11). Debido a la pérdida estructural, sobre el esmalte infiltrado (Fig 12) se aplica un incremento de resina (Figura 13) opaca de mediano valor (Essentia - Medium Dentine, GC Corporation, Japón) y se procede a fotopolimerizarla (Figura 14). Finalmente, se procede a iniciar el acabado y pulido (Figura 15) para finalmente retirar el aislamiento (Figura 16).

Figura 10. Aplicación de las resina infiltrante ICON infiltrant, que se deja actuar por 180 segundos.

 

Figura 11. Se procede a fotopolimerizar por 40 segundos.

 

Figura 12. Nótese la pérdida estructural sobre el esmalte infiltrado.

 

Figura 13. Para compensar la pérdida estructural del esmalte infiltrado se aplica un pequeño incremento de resina opaca (Essentia - Medium Dentine) de mediano valor.

 

Figura 14. Fotopolimerización de la resina.

 

Figura 15. Inicio del acabado y pulido.

 

Figura 16. Estado final del incisivo tras la retirada del aislamiento.

 

La infiltración resinosa representa una alternativa micro-invasiva eficiente para mejorar la calidad del sustrato de un esmalte hipomineralizado (con restos de proteínas que disminuyen su calidad adhesiva) y en combinación con resina compuesta, permiten dar una solución aditiva a los defectos del esmalte que garanticen resultados estéticamente satisfactorios y duraderos.

Autores

El Dr. Eraldo Pesaressi, que ejerce en Lima, Perú, es Doctor en Ciencias Médicas Odontológicas por Rabdoud University en Nijmegen, Países Bajos.

El Dr. Paul Cabeza es especialista en Rehabilitación Oral con práctica en Lima, Perú.

Referencias

1. Cavalcante BGN, Mlinkó É, Szabó B, et al. Non-Invasive Strategies for Remineralization and Hypersensitivity Management in Molar-Incisor Hypomineralization-a Systematic Review and Meta-Analysis.  Journal of Clinical Medicine. 2024;13(23):7154.
2. Casaña-Ruiz MD, Marqués Martínez L, García Miralles E. Management of Hypoplastic or Hypomineralized Defects With Resin Infiltration at Pediatric Ages: Systematic Review. International Journal of Environmental Research and Public Health. 2023;20(6):5201.
3. Tavares MI, Saraiva J, do Vale F, et al. Resin Infiltration in White Spot Lesions Caused by Orthodontic Hypomineralisation: A Minimally Invasive Therapy. BDJ. 2021;231(7):387-392.
4. Hahn B, Krastl G, Halbleib K, Soliman S. Management of a Patient With Hypomineralized Teeth From the Mixed to Permanent Dentition Stage - A Case Report With 6-Year Follow-Up. The Journal of Adhesive Dentistry. 2020;22(5):455-463.
5. Mendonça FL, Di Leone CCL, Grizzo IC, et al. Simplified Occlusal Replica Adapted Technique With Glass Ionomer Cement for Molar-Incisor Hypomineralization-Affected Molars: An 18-Month Follow-Up. JADA. 2020;151(9):678-683.
6. Bandeira Lopes L, Machado V, Botelho J, Haubek D. Molar-Incisor Hypomineralization: An Umbrella Review. Acta Odontologica Scandinavica. 2021;79(5):359-369.
7. da Cunha Coelho ASE, Mata PCM, Lino CA, et al. Dental Hypomineralization Treatment: A Systematic Review. Journal of Esthetic and Restorative Dentistry: Official Publication of the American Academy of Esthetic Dentistry. 2019;31(1):26-39.
8. Ritto FP, Tiwana KR, Schmitz TA, et al. A Qualitative Analysis of Treatment Patterns for Mild and Severe Molar Hypomineralization in Permanent Teeth: A Systematic Review. Pediatric Dentistry. 2023;45(4):281-291.

 

ARTICULOS RELACIONADOS

FDI REGIONAL DENTAL CONGRESS 2025

_______________________________________________________________________________________________________________________________

FDI REGIONAL DENTAL CONGRESS

El país ideal para el
FDI Regional Congress

Javier de Pisón

_______________________________________________________________________________________________________________________________

FDI REGIONAL DENTAL CONGRESS

Protocolos para
selladores en lesiones cariosas

Eraldo Paressi

_______________________________________________________________________________________________________________________________

FDI REGIONAL DENTAL CONGRESS

Prevención de lesiones
del nervio alveolar inferior

Arturo Bilbao

_______________________________________________________________________________________________________________________________

FDI REGIONAL DENTAL CONGRESS

Un evento con proyección mundial

Brian Murdoch

_______________________________________________________________________________________________________________________________

FDI REGIONAL DENTAL CONGRESS

Tratamiento personalizado + Inteligencia Artificial

Mariela Padilla

_______________________________________________________________________________________________________________________________

FDI REGIONAL DENTAL CONGRESS

El equilibrio entre la identidad personal y profesional

Mónica Fumero

_______________________________________________________________________________________________________________________________

 

OTRAS NOTICIAS

_______________________________________________________________________________________________________________________________

ESTETICA

Buscando la belleza en
los dientes de la Historia

Javier de Pisón

_______________________________________________________________________________________________________________________________

INVESTIGACION

El impacto de la Ortodoncia Médica 

David Suárez Quintanilla

_______________________________________________________________________________________________________________________________

ODONTOLOGIA DIGITAL

El motor del Summit
de Odontología Digital

Elizabeth Hernández Puerto

_______________________________________________________________________________________________________________________________

CASO CLINICO

Infiltración de diente hipomineralizado reconstruído
con resina compuesta

Eraldo Pesaressi

_______________________________________________________________________________________________________________________________

ODONTOLOGIA DIGITAL

Fotografía dental inteligente

Miguel Ángel Saravia

_______________________________________________________________________________________________________________________________

ORTODONCIA

Cómo cambiar
el rostro humano

David Suárez Quintanilla

_______________________________________________________________________________________________________________________________

ESTETICA

Aclaramiento dental
con alineadores para Ortodoncia

Sergio Kohen & Enrique Jadad

_______________________________________________________________________________________________________________________________

CLINICA

Cómo cortar circonio
con precisión

Bobbi Stanley

_______________________________________________________________________________________________________________________________

EQUIPAMIENTO

Lanzan una avanzada
línea de radiología

W&H

_______________________________________________________________________________________________________________________________

ENTREVISTA

Cómo prosperar
en el mundo digital

Javier de Pisón

_______________________________________________________________________________________________________________________________

EDUCACION CONTINUA

Un compromiso
con la excelencia

Rafael Mejicano Díaz

_______________________________________________________________________________________________________________________________

MEDICINA DENTAL DEL SUEÑO

Odontología que va
más allá de los dientes

Juan Manuel Cortés Mejía

_______________________________________________________________________________________________________________________________

 

 

EDICIONES RECOMENDADAS

 

Pura vida: la FDI en Costa Rica

• Edición Especial sobre Piezocirugía

 

• Especial sobre Blanqueamiento Dental

 

• Especial sobre Técnicas de escanear

 

• Especial sobre Formación en Odontología

 

• Edición Especial sobre Láser en Odontología

 

• Edición Especial sobre Odontogeriatría

 

Edición Especial sobre Cáncer Oral

 

 

 

 

 

 

 

 

Temas:
To post a reply please login or register
advertisement