El bruxismo es una actividad parafuncional que consiste en el apriete y rechinamiento dentario, es de etiología multifactorial y está asociado principalmente con estrés y alteraciones del sueño.
De acuerdo a las características clínicas particulares, se presentan diferentes tipos de bruxismo, asociándose principalmente con adultos. Aunque se presenta escasamente en niños, se debe diferenciar del desgaste fisiológico en dicha población.
El bruxismo es el hábito involuntario de apretar o rechinar los dientes sin propósitos funcionales. En nuestra sociedad moderna, debido al ritmo de vida que llevamos, el bruxismo es un problema que afecta cada vez a más personas, tanto a adultos como a niños, y a ambos sexos por igual, aunque la edad más frecuente de inicio es entre los 17 y los 20 años, la remisión espontánea se suele producir después de los 40 años de edad, en los casos de bruxismo crónico. El bruxismo puede desaparecer solo en cualquier momento.
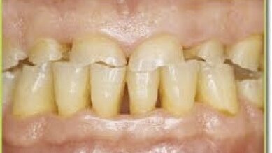
Aparte del desgaste de las piezas dentales, el bruxismo puede provocar dolor de cabeza y molestias a nivel de los músculos mandibulares, cuello y oído.
Existen 2 tipos de bruxismo: céntrico (apretamiento) y excéntrico (rechinamiento) y puede ser nocturno o diurno, aunque generalmente se da por las noches, durante el sueño. Por lo general, el paciente bruxista nocturno no es consciente del problema, y suelen ser los compañeros de cama o habitación los que alertan al paciente alarmados por el ruido de sus dientes, y los odontólogos, que observarán la destrucción del esmalte y la dentina.
El bruxismo puede ser crónico, o puede cursar con periodos de exacerbación según las circunstancias del paciente (ejemplo, períodos de trabajo estresantes, o estudiantes en exámenes).
El bruxismo es un movimiento parafuncional, es decir, es un contacto dentario distinto de los de la masticación y deglución.
Según el grado de afectación, el bruxismo se divide en tres grados diferentes:
Grado I (Hábito incipiente): la presentación no es agresiva, su reproducción es por un corto periodo de tiempo y a veces de forma ocasional; aunque puede ser inconsciente para el paciente, es reversible ya que aparece y se desvanece por sí solo. Puede desaparecer cuando el sujeto lo hace consciente, puede estar condicionado a factores locales dentro de la boca, que al ser detectados y eliminados con prontitud permiten la prevención y eliminación del mismo. La ansiedad puede estar ausente en el paciente.
Grado II (Hábito establecido): la ansiedad ya se encuentra presente, la reproducción está condicionada a los factores facilitadores, la presentación es inconsciente y desaparece cuando el sujeto lo vuelve consciente; en esta etapa pueden encontrarse presente lesiones en las estructuras dentofaciales, por lo que se requiere de un tratamiento integral para asegurar su eliminación. El hábito grado II puede ser reversible, pero si no es tratado puede desarrollarse en un hábito Grado III.
Grado III (Hábito poderoso): la presentación se encuentra fortalecida y bien establecida, es excesiva e irresistible para el sujeto, que la padece aún siendo consciente. Las lesiones en las estructuras dentofaciales son de considerable magnitud y en algunos casos son permanentes. El hábito poderoso es de difícil manejo y los resultados del tratamiento son insatisfactorios, por lo que se requiere de mayor atención y dedicación en el desarrollo de técnicas por parte del dentista.
Los signos y síntomas más comunes que los pacientes perciben son los siguientes:
• Trastornos dentales:
-Desgastes de las piezas dentales
-Fracturas dentales
• Trastornos auditivos como infecciones del oído
• Problemas de la articulación temporomandibular (ATM)
• Ansiedad, estrés y tensión:
-Se tienen dolores de cabeza recurrentes o continuos
• Depresión
• Dolor de oído (debido en parte a que las estructuras de la articulación temporomandibular están muy cerca del conducto auditivo externo y se puede percibir dolor en un lugar diferente de su fuente, lo cual se denomina dolor referido)
• Trastornos alimentarios
• Sensibilidad a alimentos calientes, fríos o dulces en los dientes
• Insomnio:
-El paciente duerme pero no descansa
• Dolor o inflamación de la mandíbula:
-Se percibe la hipertrofia de los músculos maseteros
• Apretamiento de la mandíbula durante el día y/o la noche
• Rechinamiento de los dientes durante la noche
• Fatiga muscular en el segmento hombros-cuello-cabeza
• Dolor en el cuello, la cara y/o la parte superior de la espalda.
Cuando el bruxismo no se trata adecuadamente, aparecen otros problemas asociados, además del desgaste de las piezas dentales. Por ejemplo, sensibilidad en los dientes al frío o al calor; tensión muscular en cuello y espalda; dolores de cabeza e insomnio, entre otros síntomas. Es comprensible que la persona que padece bruxismo termine generando cuadros de irritación, ansiedad o incluso depresión.
En algunas personas, sólo la relajación, incluyendo biorretroalimentación, autohipnosis y otras terapias alternativas, y la modificación de comportamientos diurnos son suficientes para reducir el bruxismo nocturno. Se suele implementar la relajación de la musculatura corporal como alternativa viable para la reducción y eliminación de los estados de nerviosismo, estrés y ansiedad.
La etiología del bruxismo no está clara, existiendo diversas opiniones contrapuestas al respecto. Sin embargo, diferentes investigaciones han establecido una correlación entre estrés y bruxismo.
Lo que sí sabe es que determinados factores han demostrado aumentar el riesgo de bruxismo nocturno:
-Estrés o ansiedad psicológica.
-Apnea del sueño.
-Tabaquismo.
-Cafeína.
-Alcohol.
-Abuso de drogas (cocaína, anfetaminas, etc).
-Desórdenes temporomandibulares (se cree que el bruxismo es uno de los factores de riesgo para los desórdenes temporomandibulares).
-Edad. Es común en niños pero usualmente desaparece alrededor de los 10 años. En adultos, la condición es común antes de los 20 hasta mediados los 40 años. Tiende a decrecer con la edad.
-Factores genéticos/familiares.
-Factores oclusales.
-Factores del sueño.
Por lo que respecta al tratamiento del bruxismo, veremos algunos de los modelos de intervención que se han puesto en práctica:
1. El MODELO ODONTOLÓGICO o estructural, que atribuye al bruxismo una etiología orgánica, ha utilizado tres tipos de tratamientos:
1.1 El ajuste oclusal, consistente en la restauración de la oclusión por medio de la equilibración de los dientes, a través del limado selectivo de los mismos, ante el cual se ha criticado que no existe evidencia de que el bruxismo sea causado por un desajuste oclusal.
1.2 La utilización de relajantes musculares, tales como el diazepam, entre otros.
1.3 La utilización de ajustes oclusales, como férulas y dispositivos interoclusales, construidos en material acrílico que previenen el contacto entre los dientes mandibulares y maxilares.
El tratamiento está relacionado con el riesgo de lesión dentaria y su posible afección muscular. Si las lesiones son mínimas, el odontólogo instará al paciente a buscar los factores que causen el problema, generalmente de tipo emocional, con el fin de intentar controlarlos.
En casos más severos, será necesaria la colocación de una protección dental de resina, conocida como férula de descarga, para impedir la lesión permanente y afección de los dientes.
El mecanismo de la férula de descarga consiste en llevar la mandíbula a una posición de relajación, de modo que el paciente no pueda apretar con fuerza. Esto, aparte de prevenir el avance de la destrucción dentaria, también elimina el dolor de mandíbula, de cabeza o de oídos que se produce como consecuencia de la sobrecarga muscular de los músculos masticadores.
La férula trata el síntoma y no la causa. Es el tratamiento por tradición y más comúnmente implementado por los odontólogos generales. El paciente la utiliza de día (diurno), de noche (nocturno) o todo el día en los casos de bruxismo intenso.
Es importante señalar que las férulas no eliminan el bruxismo: su función en el tratamiento es de evitar el contacto brusco entre las estructuras dentales, desprogramar la articulación temporomandibular para un ajuste de la oclusión, acompañado de una posterior programación propioceptiva, reducir la afección de los músculos masticatorios (miorrelajante) y otras querencias.
Una vez diagnosticado el problema, el odontólogo mandará fabricar la férula y realizará los ajustes necesarios para que el paciente la utilice, generalmente por las noches. Al principio del tratamiento es normal que los pacientes noten presión sobre sus dientes, e incluso algunos llegan a quitarse la férula en mitad de la noche.
Esto forma parte de proceso de adaptación; sin embargo, es importante que los pacientes tomen conciencia de la importancia de utilizar la férula a diario y de acudir a las revisiones periódicas que les indique su odontólogo.
Estas técnicas, aunque presentan una eficacia inmediata, si se abandona el tratamiento, normalmente las personas vuelven a sufrir los episodios bruxísticos, por lo que constituyen una solución paliativa pero no permanente.
2. El MODELO CONDUCTUAL pone de relieve la importancia de los factores psicológicos en la etiología del bruxismo.
Entre estos se encuentra la entrevista, donde es importante obtener datos acerca del problema, viendo inicio, duración, severidad, localización del dolor, factores precipitantes, factores modificadores, antecedentes familiares, curso del trastorno durante todo el día y otros síntomas relacionados; además de explorar la situación laboral, familiar y social del paciente y revisar su historial médico.
Por su lado, los tratamientos conductuales, en consonancia con la comprensión del modelo funcional, han dividido sus intervenciones según fuera el tipo de bruxismo, ya sea nocturno o diurno. En el caso del bruxismo nocturno se han utilizado:
2.1 El biofeedback asociado con relajación facial basado en el hecho de que uno de los aspectos más característicos del bruxismo es el incremento en la actividad eletromiográfica de determinados grupos musculares, fundamentalmente los maseteros. Puesto que la actividad electromiográfica del masetero puede ser controlada voluntariamente cuando se recibe feedback visual y/o auditivo de la misma, el principal objetivo de entrenamiento en biofeedbak es que el paciente aprende a diferenciar entre niveles altos y bajos de tensión del músculo masetero, a través de la información que le proporciona el aparato de biofeedback. Algunos autores combinan esta práctica con el entrenamiento en relajación de los músculos faciales, para mejorar la eficacia del biofeedback. En este sentido, son varios los estudios que han señalado le eficacia de este tratamiento en la reducción significativa de los niveles de dolor facial
2.1.2 El feedback electromiográfico con alarma, se usa en el paciente dormido, de tal manera que el aparato de biofeedback dispare una alarma que despertará al paciente, sometiéndole a un tipo de condicionamiento operante de castigo. Una vez despertado, el paciente debe apagar la alarma y levantarse para anotar diversos aspectos relacionados con la calidad del sueño. Los resultados obtenidos con esta técnica, según diversos estudios, parecen prometedores.
2.3 Técnicas de relajación. Se conoce que los elevados niveles de tensión diurna incrementan el comportamiento disfuncional bruxístico durante la noche. Por tanto, el entrenamiento en la relajación suele aportar una mejoría notable a estas personas.
2.4 Práctica masiva. Esta es una técnica ampliamente utilizada para controlar hábitos nerviosos como los tics. Se fundamenta en la idea de que el comportamiento bruxista es una respuesta aprendida para aliviar las tensiones. Así, se somete a la persona a que realice de manera consciente el movimiento bruxístico infinidad de veces. Esta "sobredosis" provoca la fatiga o inhibición reactiva, de forma que la persona es físicamente incapaz de continuar realizando el movimiento. A partir de ese momento se producirá un proceso inverso: el comportamiento bruxista irá desapareciendo. Hay que puntualizar que, si bien esta técnica ha sido muy efectiva en el tratamiento de los tics, en el caso del bruxismo los datos sobre su eficacia resultan muy contradictorios.
Respecto al bruxismo diurno se han empleado dos técnicas de intervención:
2.1 La reversión del hábito, consistente en dos fases. En la primera se enseña al paciente a ser consciente de la ocurrencia del hábito y a emitir una respuesta opuesta. En la segunda fase se entrena al paciente para que pueda identificar qué situaciones o personas pueden provocar que el hábito se dispare. El objetivo básico es la interrupción de la respuesta del bruxismo, y la emisión de una respuesta incompatible, reforzando conductas adaptativas y funcionales.
2.2 El uso de procedimientos de condicionamiento aversivo, que consisten en tratar de asociar de forma contingente el estímulo que estimula el bruxismo con alguna experiencia desagradable, con el fin de que disminuya su frecuencia. Este procedimiento se ha usado preferentemente con pacientes que no pueden hacer uso de otros tratamientos, tal es el caso principalmente de pacientes con déficits intelectuales profundos, comprobándose que este procedimiento consigue reducir considerablemente los episodios bruxísticos.
2.3 Manejo del estrés: cualquier estrategia que promueva la relajación será útil, ya sea leer, hacer ejercicio, escuchar música, etc. Si el estrés es muy fuerte o frente a ciertos problemas emocionales, es útil conseguir ayuda profesional para lograr un mejor manejo de estos problemas.
Hoy en día está alcanzando gran éxito la aplicación de Botox (toxina botulínica tipo A) en los músculos masticadores. Ha probado ser una excelente herramienta para ayudar a combatir las secuelas y alteraciones del bruxismo. Este fármaco es un potente e inocuo relajante muscular local que actúa por un largo plazo de tiempo (3 a 6 meses), relajando sólo los músculos masticadores afectados, sin producir los indeseables efectos secundarios de los relajantes musculares sistémicos (somnolencia, relajación de musculatura no afectada, disminución de reflejos, etc.). El Botox es utilizado en forma estratégica en la terapia, reduciendo radicalmente y en corto tiempo los puntos dolorosos en los músculos, permitiendo así un mejor desempeño de la terapia convencional (estabilización de la mordida a través de un plano de relajación, fisioterapia y kinesiología).
Existen dos tipos de bruxismo:
Céntrico (apretamiento)
Excéntrico (rechinamiento)
El bruxismo puede ser
Nocturno (el más común)
Diurno
Crónico
Puntual
De ttiología multifactorial
Los signos y síntomas más comunes
Trastornos dentales
Patología de la ATM
Sensibilidad dental
Dolor mandibular
Los factores de riesgo comunes
Estrés
Apnea del sueño
Cafeína, tabaco, alcohol
Tratamientos para el bruxismo
Odontológicos (férula de descarga)
Conductuales(biofeedback)
Toxina botulínica (Botox)
Conclusión
El tratamiento del bruxismo requiere un diagnóstico correcto de las causas de esta condición que, en muchas ocasiones puede ser reducido o eliminado.
* Odontóloga en la Clínica Dental Dental Madrid. Especializada en Pacientes Especiales en Odontología. Contacto: arola@dentalmadrid.com.
____________________________________________________________________________
Primera parte
Una de las afecciones que más ha crecido durante los dos largos años de la pandemia de Covid-19 ha sido el bruxismo. La ansiedad personal, ...
Segunda parte
Una de las afecciones que más ha crecido durante los dos largos años de la pandemia de Covid-19 ha sido el bruxismo. La ansiedad personal, ...
René García, ingeniero con más de 15 años de experiencia en el sector privado, es el fundador de bth4, compañía que fabrica un nuevo e innovador tipo ...
El Dr. Juan Manuel Cortés Mejía, fundador de la Academia Mexicana de Medicina Dental del Sueño, explica la etiología de este trastorno, tema que será ...
El Dr. Enrique Jadad escribe que la pandemia ha generado un incremento de casos de dolor mandibular, muscular, sensibilidad dental y migrañas, muchos de ...
El autor afirma que el estrés que genera el ritmo de vida que llevamos actualmente es uno de los factores que está provocando en cada vez más personas ...
El autor afirma que el estrés que genera el ritmo de vida que llevamos actualmente es uno de los factores que está provocando en cada vez más personas ...
Los autores, especializados en Medicina Dental del Sueño, describen los síntomas del bruxismo, sus concomitancias con otros trastornos del sueño y sus ...
Formación
Webinars en vivo mié. 29 de abril 2026 17:00 CST (Mexico City)
La ortodoncia está entrando en una nueva era marcada por la integración de tecnologías digitales y herramientas biológicas avanzadas. Entre ellas, el ...
La odontología vive una transformación profunda impulsada por la digitalización. Tecnologías como el escaneo intraoral, el diseño CAD y la impresión ...
Mi esposa tiene broximo me lleva loco no consigo como ayudarla que remedios o terapias me recomienda